<p>OBJECTIVE: What are the 4 general layers of the gastric wall? What is their importance in the staging of gastric carcinoma?</p>
<ol>
<li>Mucosa</li>
<li>Submucosa</li>
<li>Muscularis Propria</li>
<li>Serosa</li>
</ol>

<p>Where is the incisura angularis?</p>
<ul>
<li>small notch on lesser curvature near thepyloricend of stomach</li>
<li>used as separation point between R and L portions of stomach</li>
<li>imaginary line drawn perpendicular to the lesser curvature thru here = body-pylorus boundry</li>
</ul>

<p>OBJECTIVE: Define the basic cellular composition of the different regions of the stomach and describe how diseases such as chronic gastritis and gastric carcinoma affect these regions differently</p>
<p>There mucosa in the stomach varies depending on whcih part of the stomach you are in: the foveolar (superficial, mucin-producing) compartment remains the same, but the glandular compartment deep to it ∆s.</p>
<ul>
<li>Cardia - mucus-secreting</li>
<li>Body/fundus - gastric juice secreting (oxyntic glands)</li>
<li>Pylorus/Antrum - muscus secreting
<ul>
<li>even though small % of stomach surface area, this area is preferred area for development of H. pylori infection and adenocarcinoma</li>
</ul>
</li>
</ul>
<p>mucus vs. mucous</p>
<p>"Mucous" is an adjective whereas "mucus" is a noun, i.e. mucous cells secrete mucus. [Wiki]</p>
<p>definition of ulcer</p>
<p>erosion/loss of tissue that goes at least into submucosa</p>
<ul>
<li>acute gastritis may lead to ulcer</li>
</ul>
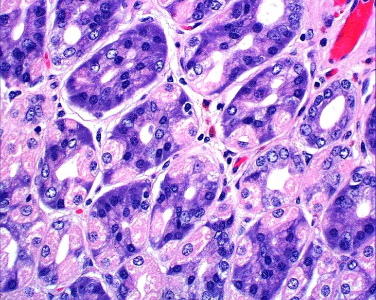
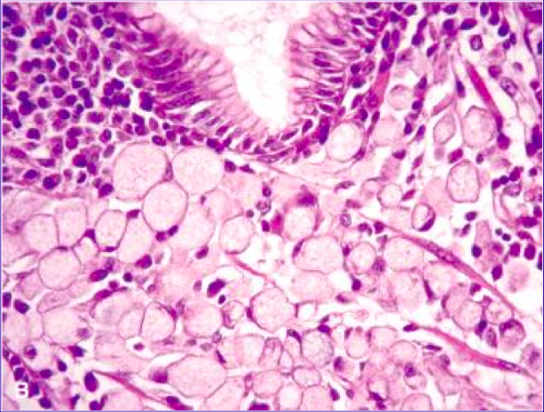
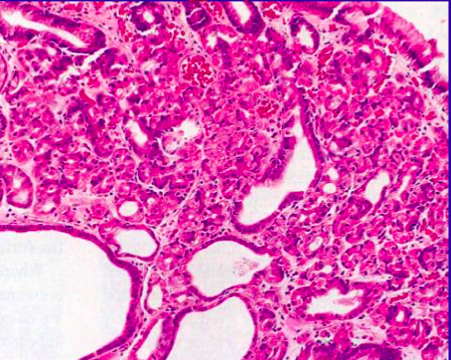
<p>What type of glands are shown here? Describe them</p>

<p>oxyntic; combination of both basophilic and eosinophilic cells</p>
<p>Dx? In what parts of stomach does this usually occur?</p>

<p>H. pylori infection</p>
<ul>
<li>infects foveolar epithelium</li>
<li>ofren antral involvement or <u>pan</u>gastritis</li>
</ul>
<p>Is this ulcer benign or malignant? Why do you say that?</p>

<p>malignant</p>
<ul>
<li>firm, elevated borders</li>
<li>irregular, necrotic base</li>
<li>no nice central congruence of rugae</li>
</ul>

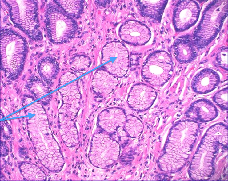
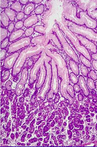
<p>What type of glands are shown here? Describe</p>

<p>mucin glands, pale and eosinophilic</p>
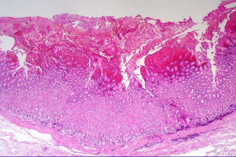
<p>What is your diagnosis for this stomach biopsy? Defining features?</p>

<p>acute gastritis</p>
<ul>
<li>defining features include: necrosis of superficial mucosa, hemorrhage, fibrin deposition</li>
</ul>
<p>Is this lesion benign or suspicious/malignant?</p>

<p>benign</p>
<ul>
<li>has smooth base</li>
<li>margins not elevated</li>
<li>in this histo view here, however, the ulcer is already down to muscularis; if it went deeper→ rupture/perf</li>
</ul>

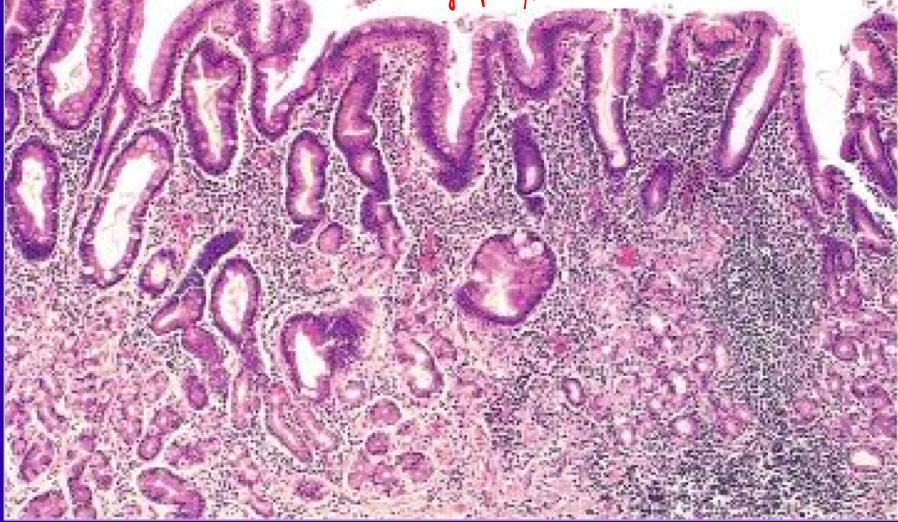
<p>What is the diagnosis of the stomach biopsy? Key feature?</p>

<p>chronic gastritis</p>
<ul>
<li>key feature is the lymphocytic infiltration</li>
</ul>
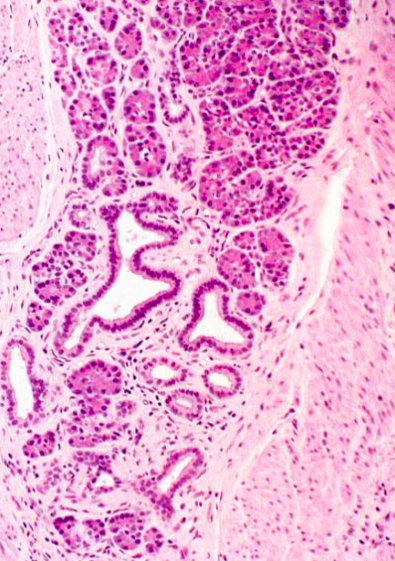
<p>Describe what is going on in this bx from a gastric wall mass.</p>

<p>These are normal pancreatic cells growing in the wall of the stomach.</p>
<ul>
<li>benign proliferation of cells from a pancreatic rest left by the budding of the pancreas from primordial gut tube.</li>
<li>most common congenital deformity of stomach to present in adults.</li>
<li>It can be dx'd just by gross appearance (seen here)</li>
</ul>

<p>OBJECTIVE: What are the different etiologic mechanisms accounting for acute gastritis?</p>
<ul>
<li>Stress (shock, burns, sepsis, trauma, ∆ in ICP
<ul>
<li>often times pts will have several</li>
<li>resolves with resolution of cause</li>
<li>IMAGE here is gross picture of stress ulcer</li>
</ul>
</li>
<li>EtOH</li>
<li>smoking</li>
<li>NSAIDs</li>
<li>ischemia</li>
<li>bile salt regurg</li>
<li>chemo</li>
</ul>

<p>OBJECTIVE: What are the different etiologic mechanisms accounting for chronic gastritis?</p>
<ol>
<li>Infectious
<ul>
<li>90% is caused by <em>H. pylori</em> infection</li>
<li>usu. found in antrum</li>
<li>?found further up w/ PPIs</li>
<li>assoc'd w/ MALT tumors</li>
</ul>
</li>
<li>Auto-immune
<ul>
<li>10% due to pernicious anemia</li>
<li>Abs against parietal cells and/or IF</li>
<li>assoc'd w/ adenoCA (2-4% LT risk) and carcinoids*</li>
</ul>
</li>
</ol>
<p>*neuroendocrine tumors</p>
<p>OBJECTIVE: What are the long term risks associated with chronic gastritis? (i.e. "Why is f/u important in chronic gastritis?")</p>
<ol>
<li>Benign cell ∆s
<ul>
<li>Atrophy, intestinal metaplasia, dysplasia</li>
</ul>
</li>
<li>Malignant cell ∆s
<ul>
<li>dysplasia (pre-malig)</li>
<li>carcinoma (esp adenoCA w/ <em>H. pylori</em>)</li>
<li>gastric (MALT) lymphoma</li>
</ul>
</li>
<li>duodenal ulcer
<ul>
<li>~100% of duodenal ulcers are 2° to <em>H. p.</em> and > 70% of gastric ones are, too</li>
</ul>
</li>
</ol>
<p>OBJECTIVE: Define benign vs. malignant and how this terminology may not apply to GIST, Gastrointestinal stromal tumor.</p>
<p>.</p>
<p>What is meant by signet ring?</p>
<p>seen in diffuse gastric adenocarcinoma</p>
<ul>
<li>> 50% of the cells in tumor have large mucin vacuole w/ a flattened peripheral nucleus that looks ring-like (see image here)</li>
</ul>

<p>Ménétrier's Disease</p>

<p>a.k.a. "hypertrophic gastropathy"</p>
<ul>
<li>foveolar hyperplasia</li>
</ul>

<p>What type of polyp is this mass found in the fundus?</p>
<ul>
<li>Etio</li>
<li>Prognosis</li>
</ul>

<p>Gastric Fundic Gland Polyp</p>
<ul>
<li>Assoc'd w/ FAP</li>
<li>Long-term PPI use</li>
<li>sporadic</li>
</ul>
<p>Almost always benign</p>

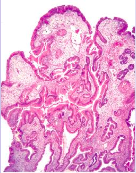
<p>What type of stomach polyp is this?</p>
<ul>
<li>Cause?</li>
</ul>

<p><u>Hyperplastic polyp</u> caused by either:</p>
<ul>
<li><em>H. pylori</em>OR</li>
<li>Auto-immune gastritis</li>
</ul>

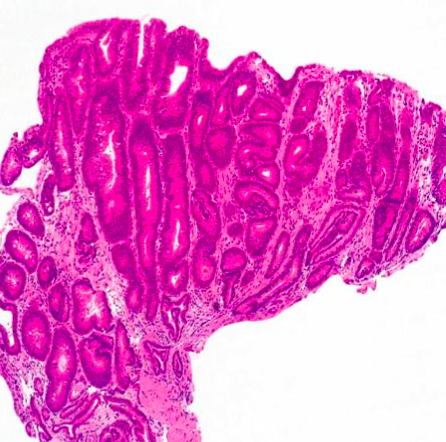
<p>What kind of stomach polyp?</p>

<p>Peutz-Jegers (hamartomatous) Polyp</p>
<ul>
<li>arborizing smooth muscle layer</li>
</ul>

<p>What type of stomach polyp?</p>
<p></p>

<p>Adenomatous (pre-malignant) Polyp</p>

<p>OBJECTIVE: Describe the two histological patterns of gastric carcinoma and compare risk factors, precursor lesions and their differential dx</p>
<p>95% of gastric tumors are carcinomas. There are two kinds: intestinal-type and diffuse-type.</p>
<ul>
<li>Gross
<ul>
<li><u>Intestinal</u>: exophytic</li>
<li><u>Diffuse</u>: signet-ring morphology, may show "linitis plastic" (leather bottle) stomach</li>
</ul>
</li>
<li>Histo
<ul>
<li><u>Intestinal</u>: </li>
<li><u>Diffuse</u>: </li>
</ul>
</li>
<li>Pattern
<ul>
<li><u>Intestinal</u>: like colonic pattern (i.e. accumulation of mutations → dysplasia → carcinoma)</li>
<li><u>Diffuse</u>: de novo malignant cells infiltrate individually</li>
</ul>
</li>
<li>Risk Factors</li>
<li>Precursor Lesions
<ul>
<li>Intestinal: area of dysplasia → malignant cells from glands</li>
<li>Diffuse: no precursor</li>
</ul>
</li>
<li>DDx</li>
</ul>
Dx here?
Gastrointestinal Stromal Tumor
Histo
Tx
Dx here?
MALT Lymphoma
CAUSE
PATHOGENESIS
Dx here?
Gastric Carcinoid