General definition of vasculitis
Inflammatory destruction of the vessels (usually arteries: can effect any arterial bed from caps. to aorta.) —causing sx of: ischemia, dysfunction or embolism through vessel narrowing or aneurysm
Use diascopy (pushing on skin w/ your finger) to differentiate extravasated blood (non-blanching) from dilation and stasis (blanching)

Systemic clues that suggest vasculitis
1° vs. 2° Vasculitis?
Primary
Secondary
Etiology of Idiopathic (Primary) Vasculitis
SMALL VESSEL VASCULITIS
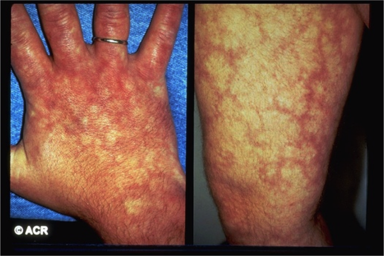
DZ: HSP
Henoch Schoenlein Purprua
[A similar skin picture is found in vasculitis caused by drug reactions, other infections and in connective tissue diseases]

Name this skin sign?

livido reticularis
usually more violet than red
on legs, arms, phlanks
How could you tell if this ulcer were vasculitic or not?

Hard to tell when this big
biopsy from the middle of the ulcer
Patient presents with this pulsatile, red bump under the skin. Dx?

Erythema nodosum
50 yo man visits Thailand. On returning to NH he develops malaise, fever, anorexia followed by jaundice and elevated LFTs.
MEDIUM-VESSEL VASCULITIS

Name the queen:

Sharon Needles

America’s Season 4 Drag Super Star
Cryoglobulinema is caused by?
35 yo man is seen with eye inflammation [see image here], sinusitis, lung lesions, hemoproteinuria and gangrene of the fingers.

SMALL VESSEL VASCULITIS

ANCA


A 70 yo man is seen because of new headaches located where his hat rubs on his temples. He finds his scalp painful when he combs his hair, his vision has momentarily gone black and his jaws hurt to chew steak. He has lost 10 pounds and he has a low grade fever of 100 on a daily basis.

LARGE VESSEL VASCULITIS

DZ: What is Takayasus aortitis?
LARGE VESSEL VASCULITIS
Very similar pathology at GCA
A 65 yo woman is seen with necrotic skin lesions on the thighs and calves, severe pain associated with the skin lesions and weight loss.

Think vasculopathy - processes that cause vessel obstruction or narrowing that is non-inflammatory.
TX: How do you tx vasculitis?
Generally same treatment for most of these
Ask, is this still active inflammation or sequlae from past inflamm?
Continue with:
Summary
Thumbnail sketch: Churg-Strauss Syndrome
SMALL VESSEL VASCULITIS
Thumbnail sketch: Kawasaki’s Disease
MEDIUM VESSEL VASCULITIS
A febrile illness in children under the age of 6 includes inflammation of the oral mucous membranes, lymphadenopathy, rash and irritability. Coronary arteritis is the vasculitic complication in this otherwise limited disease.
Thumbnail sketch: Behcet’s disease
Behcet’s – peculiar in involving veins as well as arteries. Associated with intensely painful oral and genital ulcers, thrombophlebitis, retinal vasculitis and anterior eye disease, encephalitis and rash.
Thumbnail sketch: Buerger’s disease
thromboangiitis obliterans.