What do the words cranial and caudal mean?

Which of the following is the saggital, coronal and transverse plane?


What is the embryological developmental origin of Bone, Connective Tissue and Skeletal Muscle?
Mesoderm of trilaminar disc
What are the functions of bone? (6)
Describe the general structure of skeletal muscle.
Striated muscle
Voluntary control
What are the functions of skeletal muscle? (6)
Name the 4 main types of connective tissue that have important roles in the MSK system.
What is the purpose of synovial membrane and what is it made up of?
= in joints, bursae, tendon sheaths
= produce synovial fluid - LUBRICATES joints
What is hydroxyapatite and what does it do?
=Calcium phosphate
=Mineralises extracellular matrix in bone
What is the major fibre type found in bone?
Collagen
Which part of bone gives it its:
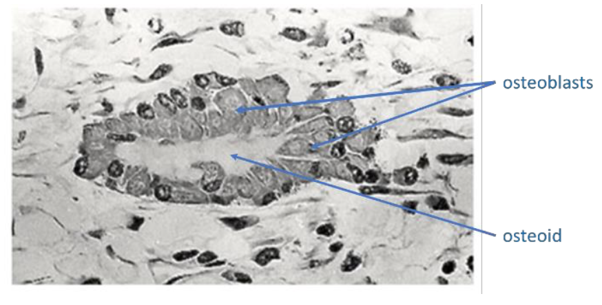
What do osteoblasts do?
Synthesise new bone, deposit osteoid
What is osteoid?
Matrix protein of bone: collagen, osteocalcin, osteopontin
Fill in the missing labels:


Describe osteoclast structure.
Multinucleate cell
Formed- fusion of progenitor cells (from macrophage lineage)

What is the function of osteoclasts?
Secrete acidic chemicals- dissolve bone matrix- forms pit- cortical bone
Releases absorbed minerals- blood
Once an osteocyte is formed it is trapped in lacunae. How does it communicate with other osteocytes?
Filipodia (projections)
Whats the difference between the axial and appendicular skeleton?
What are the 5 possible shapes of bone? Provide examples of each
Fill in the missing labels:


Fill in the missing labels with:


Fill in the missing labels:


What is a fovea?
Pit like landmark (bone)
What is a fissure?
Narrow slit-like opening- for passage of blood vessels/nerves through bone