What is the difference between histology and cytology and what are the advantages and disadvantages of both?
Cytology is looking at disaggregated cells, e.g spinal fluid, rather than tissues that pathology looks at

How do you tell a cell is malignant?

What is a serous carcinoma?
Epithelial malignancy from the lining of a cavity that produces a serum-like fluid

What questions does a histopathologist ask when looking at a tissue?
What is staging and grading of cancer?
Grading - indication of how quickly it is likely to grow and spread. More normal looking = lower grade
Staging - Size and extent of tumour and whether it has spread or not

What is Mohs surgery?
Precise surgical technique for skin cancer where thin sheets of skin are removed and examined until only cancer-free tissue remains

Summarise the pathway of a tissue sample being made for analysis.

What are some antigenic substances that can be identified with immunohistochemistry?
What is molecular pathology?
Study of how disease is caused by alterations in normal cellular molecular biology, e.g FISH
What are some issues with frozen section?
What is a sample frame of a histology report?

What substance in the blood would confirm MI?
Trop I or T
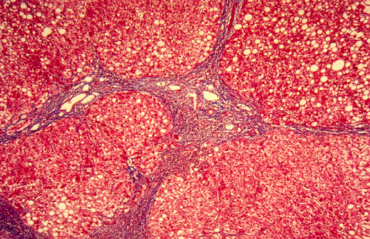
What conditions will a fatty liver be seen in?

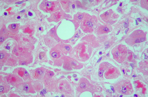
What accumulates in hepatocytes in patients who drink excess alcohol?
- Mallory’s hyaline (damaged keratin filaments)

- Fat
How does cirrhosis appear histologically?
Bands of fibrosis surrounding nodules of regenerating hepatocytes

What is an opsonin and give some examples?
A substance that coats foreign materials and makes them easier to phagocytose

An appendicectomy is performed. The appendix is found to be covered in an inflammatory exudate.
Describe briefly how such an exudate forms.

What is diapedesis?
Diapedesis is the passage of blood cells through intact blood vessel walls
What are some examples of chemokines?

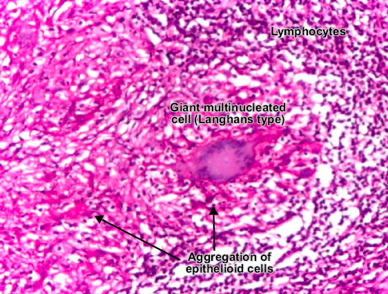
What diseases can cause granulomas and what cells can be seen in a granuloma?
• Tuberculosis
• Aspergillosis

Why do scars appear white, stretched and hairless when they age?
Hairless: damage to hair follicles and they cannot regenerate after damage as it is complex
Stretched: elastin is damaged and cannot be regenerated so scars can stretch
White: melanocytes cannot regenerate and the small blood vessels regress leaving a fibrous scar
with few vessels

What are abdominal adhesions?

Why is PT raised after a paracetamol overdose?
What is warfarin used for and why is it not used first in emergencies, which drug is used first?
Heparin used as acts immediately but warfarin takes a few days
