1-Carious Lesion Detection
2-Carious Lesion Assessment
3-Caries Disease Diagnosis
1-recognition of changes in enamel/dentin/cementum that are consistent w/ having been caused by caries process
2-severity/extent—evaulation of characteristics of caries lesion once its been detected. Characteristics= optical, physical, chemical, or bio, color, size
3-caries disease diagnosis= professional summation of all signs/symptoms of disease to arrive at ID
1-Lesion Detection Assessment
2- Diagnostic Tests
1-establish level of destruction present, aid in caries diagnosis, determine treatment decisions
2- Valid-test measures what is intended to measure= white spot lesion
Reliability- test can be repeated w/ same result—same lesion
1- true +
2- false +
3- true -
4- false -
1-caries= present and test identifies it
2- diagnostic test incorrectly IDs when caries is absent
3- test correctly identifies individual as caries free
4-has caries & test incorrectly= caries free
1-Sensitivity
2-Specificity
1-proportion of true positive that are correctly identified
2-proportion of true negatives that are correctly identified
Detection Methods—Ideal Method
Visual Examination of Caries
Explorer
Occlusal Surfaces
-low sensitivity= 0.30 and high spec.
ICDAS
0- sound surface
1-first visual change in enamel
2-distinct visual change in enamel
3-localized enamel breakdown bc of caries w/ no visible dentin
4-non cavitated surface w/ underlying dark shadow from dentin
5-distinct cavity w/ visible dentin
6-extensive distinct cavity w/ visible dentin
Interproximal Detection
Caries—
1-E Classification
2-D1 Classification
3- D2 Classification
1-lesion penetrates through part of the enamel
-radiolucent triangle w/ base at enamel and point to DEJ
2-lesion penetrates into dentin but is less than 1/2 through dentin toward pulp…radiolucent triangular lesion in enamel
3- lesion extends= more than 1/2 but less toward pulp, deeeeep appearance
1-Transillumination
2-DIAGNOdent
1-intense beam of white light, tip on facial surface, caries has lower index of transmitted light, detection of proximal lesions, inexpensive (light through tooth)
2-detection of early occlusal lesions, fluorescence from lesion=produced from bacterial porphyrins, tip on tooth, normal enamel exhibits, intensity=size…drawbacks= heavely stained fissues and false positives
Caries Disclosers
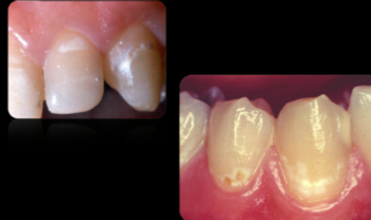
Active Lesion
Inactive Lesions

Active Lesion

Inactive White Spot Lesion—–reversible & stable
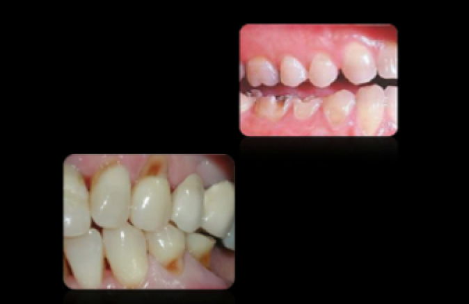
Differential Diagnosis
—loss of tooth structure

Decalcification

Fluorosis
1- alginate
2-gypsum
3- Dental impression media
1-impression making
2-dental casts
3- used to reproduce accurate replicas of intraoral and extraoral tissues
Impression Making Goals
1-obtain accurate negative images, all anatomic details from patients
2-transform images into positive physical or virtual casts= diagnostic, planning, and treatment
Digital Impression Media
-digitally imaged impressions to create virtual casts on restorations may be fabricated