Prokaryote
Prokaryotes: simple organisms which are small in size, do not have a nucleas not membraneous organelles.
Typical organelles in prokaryotes
Nucleoid vs plasmid
Nucleoid: circular DNA molecule, not aassodiated with proteins which stores all the genetic material of the organism
Plasmid: additional autonomous DNA molecule of circular shape which can be transferred in bacterial conjugation
Pili
Attachement pili: used to attach to surfaces and one another
Sex pili: used in bacterial conjugation to exchange plasmids
Cytokinesis
Cytokinesis: process in binary fission when the cytoplasm of the mother cells divides into two daughter cells
Resolution
Resolution: making separate parts of an object distinguishable by an eye
Eukaryotes
Eukaryotes: complex living organisms with a nucleus and single or double membrane compartmentalised ultrastructure.
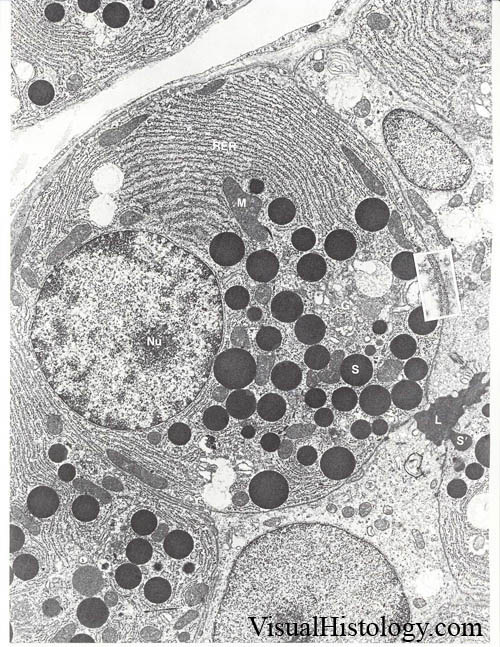
Typical organelles in eukaryotes
Advantages of compartmentalisation
Role of nucleus and nucleolus
NUCLEUS: enclose nucleolus, store genetic material, transport mRNA out into cytoplasm - double membrane with pores
NUCLEOLUS: ribosomes are assembled
Role of rER and sER
rER: from citernae, ribosomes on surface, synthesise proteins for secretion, carried by vesicles to Golgi
sER: citernae, syntheiss and transport of lipids, steroids, involved in carbohydrate metabolism
Role of Golgi app
GOLGI APP: membraneous sacs - cisternae (more curved than ER), process (store, sort, modify) secretory products
Role of lysosome
LYSOSOME: spherical, formed from Gogli vesicles, many enzymes inside - appear dark in e micrographs, hydrolyse macromolecules into monomers, can digest organelles, cells
Role of mitochondria
MITOCHONDRIA: double membrane (inner invaginated - cristae), fluid inside - matrix, spherical, produce ATP by aerobic respiration, fat is digested of used as E source
Role of free ribosomes
RIBOSOMES: made up from rRNA and proteins (appear dark in micrographs), not membraneous, subunits synthesisesd in nucleus, synthesise proteins from mRNA
Prokaryote: 70S
Eukaryote: 80S
PROKARYOTE vs EUKARYOTE cell
D: DNA: circular - linear, naked - histones, introns
O: organelles: membraneous, compartmentalisation, nucleous, 70S- 80S ribosomes
R: reproduction; binary fission - mitosis/meiosis, haploid - diploid
A: average size: smaller (1-5 um) - bigger (50-100 um)
Role of chloroplasts, tonoplasts, plasmodesmata
CHLOROPLASTS: double membrane, membrane sacs thylakoids, spherical, produce org. comp. by photosynthesis, starch grains if rapid photosynthesis
TONOPLAST: membrane surrounding plant cell
PLASMODESMA: channels in plant cell walls to connect to adjacent cells

Role of vacuoles and vesicles
BOTH: single membrane, used for storage
VACUOLES: larger, can be digestive vacuoles, can experll water (Paramecium)
VESICLES: small vacuoles, used for transporting materials inside the cell
Role of microtubules and centrioles
MICROTUBULES: small cylindrical fibres, move chromosomes in cell division,
CENTRIOLES: from two gorups of nine microtub., form an anchor for microtub. to attach in cell division, for microtubules in cilia, flagella

PLANT vs ANIMAL cell
Role of cilia and flagellum
BOTH: containa ring of nine double microtubules and two central ones, fro locomotion
CILIA: small, many, can be used to create currents in surrounding fluids
FLAGELLUM: larger, in sperm
Extracellular components of plant/animal cells
PLANTS: cell wall (support, shape, prevents excess water uptake, against infection)
ANIMALS: from glycoproyeins (support, attach to form tissues, intercellular communication)
Palisade mesophyll cell

Exocrine gland cell of the pancreas
