What is the definition of a stroke and a TIA?
- Stroke: a ‘cerebrovascular accident’, is a ‘serious life threatening condition that occurs when the blood supply to part of the brain is cut off’. The symptoms and signs persist for more than 24 hours and cause an infarction
- TIA: have similar clinical features of a stroke but completely resolve within 24 hours as only temporary blockage

What are the different categories of strokes?
- Ischaemic (85%): thromboembolic
- Haemorraghic (10%): subarachnoid, intracerebral
- Other (5%): dissection, venous sinus thrombosis (occlusion of veins causes backpressure and ischaemia due to reduced blood flow), hypoxic brain injury (e.g after MI)

Why shouldn’t you give aspirin when you suspect a stroke?
Need to wait till youve done a CT to see if haemorraghic as if so could make things worse
How do we manage strokes in the ED?
proceed with thrombolysis)
What are some risk factors for a stroke?

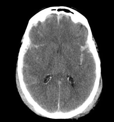
What does a stroke look like on imaging?
CT: bleed will show up as bright white with possible mass effect, ischaemia won’t show up early on but as it establishes it becomes hypodense
MRI: rarely done due to takes a long time, ischaemia shows up as high energy signal

Describe the general blood supply to each lobe of the brain?
ACA: medial
MCA: lateral
PCA: also supplies midbrain and thalamus

What stroke syndrome would you get if somebody had a stroke involving the anterior cerebral artery?
- Contralateral lower limb and genital weakness
- Contralateral lower limb and genital sensory deficit
- Urinary incontinence (paracentral lobule that has excitatory and inhibitory neurones on M centre is damaged)
- Split brain or Alien Hand Syndrome (corpus callosum)
- Apraxia (left frontal lobe, cannot motor plan)
- Posible dysarthria/aphasia
- Frontal lobe features (e.g sexual disinhibition, personality changes)

What stroke syndrome would you get if somebody had a stroke involving the proximal middle cerebral artery?
- Contralateral full hemiparesis (face, arm and leg affected as internal capsule affected)
- Contralateral sensory loss (mainly face and arm due to homunculus but larger areas if internal capsule involved)
- Global aphasia (if left hemisphere affected)
- Contralateral neglect (if lesion in right parietal lobe)

Why does a stroke occuring in the MCA have such a high mortality rate?

What is hemispatial neglect?

- Tactile extinction
- Visual extinction
- Anosognosia (won’t acknowledge theyve had a stroke)

What stroke syndrome would you get if somebody had a stroke involving the lenticulostriate arteries?
Lacunar strokes: Destruction of small areas of internal capsule and basal ganglia

What stroke syndrome would you get if somebody had a stroke involving the distal middle cerebral artery?
Superior division:
Inferior division:

What stroke syndrome would you get if somebody had a stroke involving the posterior cerebral artery?

What stroke syndrome would you get if somebody had a stroke involving the cerebellum?
- DANISH signs ipsilateral
supply brainstem as they loop round to the cerebellum
- Possible contralateral sensory signs as predecussation

How do brainstem strokes present?

What stroke syndrome would you get if somebody had an occlusion of the distal basillar artery?
- Behavioural abnormalities
- Somnolence, hallucinations and dream like behaviour as brain stem controls sleep

What stroke syndrome would you get if somebody had an occlusion of the proximal basillar artery (at level of pontine branches)?
- Locked in syndrome

How do we classify stroke?
Bamford (Oxford) Stroke Classification
TACS: unilateral weakness (+/- sensory deficit) of FAL, homonymous hemianopia, higher cerebral dysfunction e.g aphasia
PACS: only 2/3 of the above
POCS: one of the following… CN palsy with contralater motor/sensory deficit, bilateral motor/sensory deficit, conjugate eye movement disorder, cerebellar dysfunction, homonymous hemianopia with macular sparing
LACS: one of the following… pure sensory deficit, pure motor deficit, sensorimotor deficit, ataxic hemiparesis

What is the rule of 4s for brainstem strokes?

Would you expect any visual field defects in this patient?

Yes - MCA occluded so will wipe out optic radiations
Which vessel is involved and why is there issues with continence?


Which parts of the brain have been affected and what vessel is involved?

What Oxford classification does this belong to and how may have the patient presented?

