What is the lymph system made up of?
What is lymph?
Similar to plasma. Excess fluid collected from the interstitial space.
What are the primary and secondary organs of the lymphatic system, and what are the functions of primary and secondary?
Primary:
Secondary:
What is tertiary lymphoid tissue?
Formed during autoimmune diseases, e.g rheumatoid arthiritis. Assume a role when challenged with antigens tha result in inflammation.
Ectopic lymphoid follicles
What is the function of the thymus and what happens to it over a life span?

What is the structure of the thymus?
Lobules joined by septa and encapsulated by a capsule.
Capsule and Septa made mainly by reticulun fibres in ECM
ONLY HAS EFFERENT LYMPH VESSELS

What is the structure of the spleen and where is it located?
Left side of abdomen, posterior to stomach, inferior to diaphragm.
ONLY HAS EFFERENT LYMPH VESSELS

What is the function of the spleen?
FILTER BLOOD LIKE LYMPH NODE FILTERS LYMPH
Haemopoietic:
Immune:
What is a germinal centre?
Sites within secondary lymphatic organs where B-cells proliferate and undergo monoclonal selection
Contain memory cells and IgA produced here

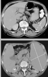
What is splenomegaly?
Where the spleen enlarges in response to localised/systemic infection due to proliferation B-cells.
Can lead to rupturing and exsanguiation

What would you do with a ruptured spleen and why would you try to avoid it?
Splenectomy
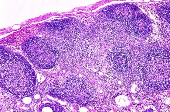
What is the structure of a lymph node?

How many lymph nodes are there and where are they mainly located?
What are sentinel lymph nodes?
Lymph nodes closest to major organs, that interact with foreign antigens or tumour cells.
First lymph node to interact with metastasising cancer.
What is the function of a lymph node?
Acts as a filter as the lymph goes back to the vascular system. Traps antigens and mediates immune response using macrophages, T-cells and B-cells
What is an enlarged lymph node called and why is it enlarged?
What is local and generalised lymphadenopathy?
Local: Few nodes locally are enlarged due to infection
Generalised: Nodes in different areas enlarged. Can be due to cancer or infection
What is MALT?
Mucosae-associated LT

What do follicular dendritic cells do? APC

What are the main differences between T and B cells?

What are tonsils?
What is Waldeyer’s Tonsillar ring?

Why are tonsils poorly encapsulated, apart from tubal?
Allow ingress of pathogens and egress of immune cells.
Poor capsulated areas are where M cells are. Capture antigens and present them to underlying immune cells

Where is the vermiform appendix and what is it’s structure?
Where?
Attached to area where SI and LI attach.
What?
Tube that has longitudinal and circular smooth muscle laying over submucosa. Nodules below crypts and M-cells on surface
Why?
Prevent ingress of pathogens,
