What bacteria causes tuberculosis?
Mycobacterium tuberculosis
TB bacili are aerobic, acid and alcohol fast bacili. How are they stained and cultured? How long does it take?
Ie what method and what medium
Stained: Ziehl-Nielsen method
Culture: Lowenstein-Jensen medium
How long?: 2-6 weeks to culture

How is TB transmitted? (ie in what form are the TB)
Infected droplets
A patient with pulmonary TB must be on anti-TB chemotherapy for 6 months. How long after commencing treatment is their sputum no longer infective?
2 weeks- infectivity of sputum= minimal
Who is particularly at risk of acquiring TB in the UK?
(TB requires prolonged contact- likely to be someone you live with etc)
How is a patient tested for a latent TB infection? (2) Explain how they work.

What % of people infected with TB will develop primary TB and what % will develop post primary TB?
(post primary- up to 60 yrs post initial infection)

Where (in the lungs) is post primary TB most often seen and why?
Upper lobes
Higher pO2 favoured by Mycobacteria
How does latent TB develop into active TB? (5)
What sites might be involved in extra pulmonary TB?
Lymph nodes, bones, joints, CNS, GI tract, urinary tract
How might a patient with TB present clinically?
Gradual onset (weeks/months)
Symptoms:
Signs:
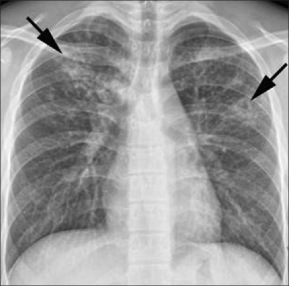
What may be seen on a chest x-ray for a patient with TB?

How is TB treated? (RIPE)
COMBINATION OF 4 ANTIBIOTICS - several months
Why is vitamin B6 given with INAH (isoniazid)?
To prevent preripheral nerve damage
Why are 4 drugs used to treat TB?
Single drugs would allow selection of resistant strains
Unlilely that strains= resistant to all 4 drugs
Outline the pathophysiology of TB:
