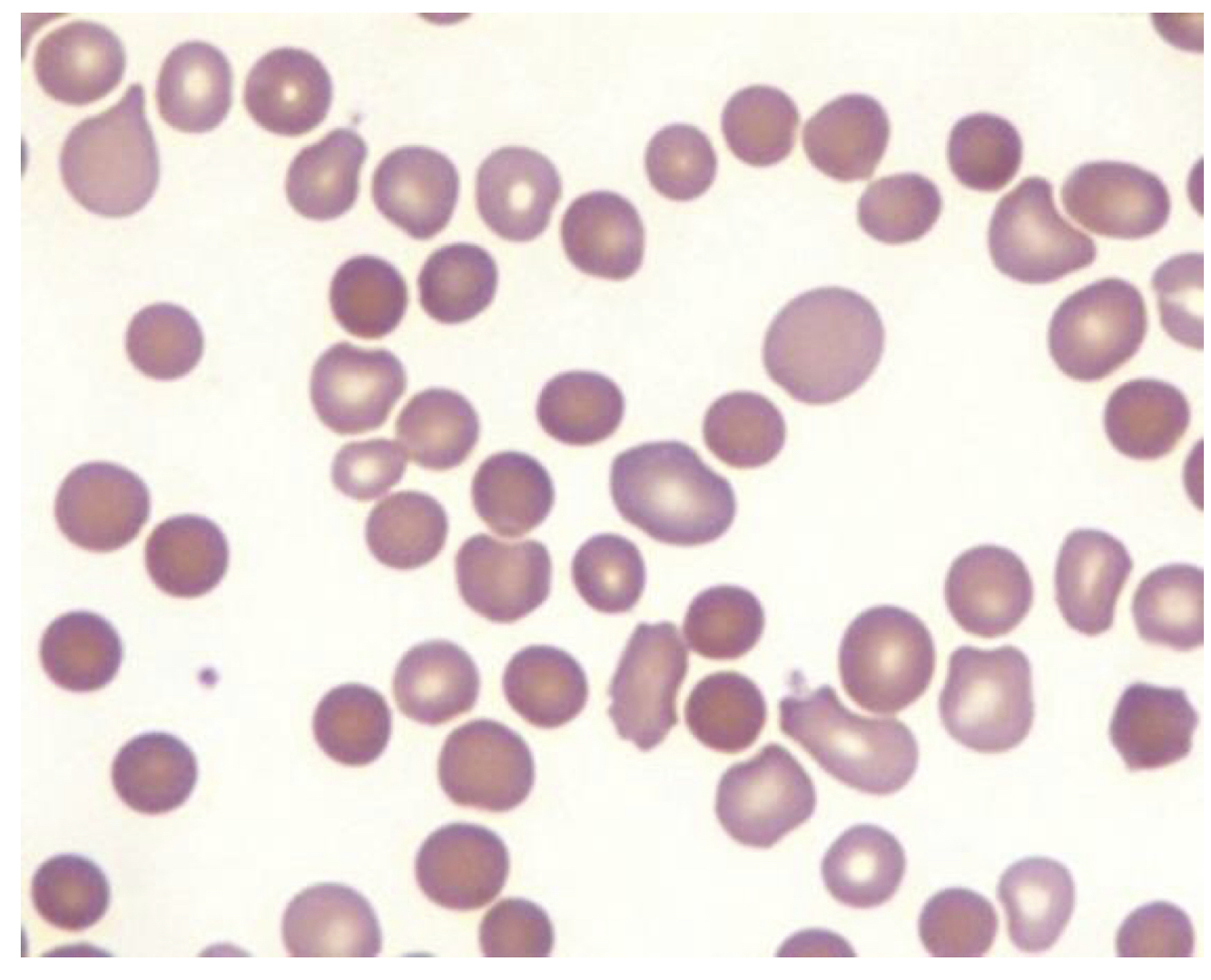
What pathology does this image show?

Spherocytes! (normal sized RBCs with increased Hb concentration… less flexible and shortened life span)
What is the most likely RBC parameter associated with spherocytes? What are 3 major diseases that can cause this?
Increased mean cell Hb concentration (MCHC)
**could be hereditary spherocytosis (inherited), autoimmune hemolytic anemia, or thermal injury (acquired)
What are 3 examples of congenital RBC membrane disorders?
Hereditary:
What is the pathogenesis of hereditary spherocytosis?
Unstable membrane forms blebs which are cleaved off by macrophages… this results in membrane loss but no change in RBC volume

How common is hereditary spherocytosis? What are the possible defects that cause it?
What are the clinical features of hereditary shperocytosis?
How do you diagnose hereditary spherocytosis?
How do you manage a patient with hereditary spherocytosis?
What is DAT?
The direct antiglobulin test (you add antibodies to a sample of a patient’s blood that detect the anti-RBC antibodies causing the disease)

What are some major features of autoimmune hemolytic anemias (AIHAs)
Describe warm autoantibody AIHA
Describe cold autoantibody AIHA
What is the pathogenesis of AIHAs?
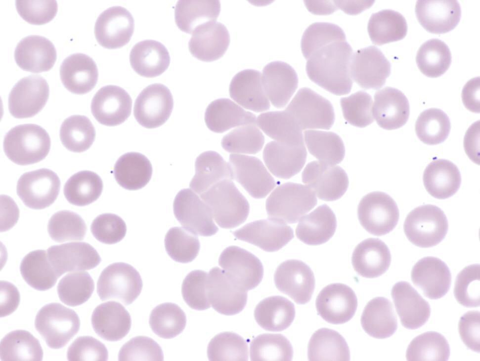
What is seen in this image?
Cold agglutinins (may be seen in cold AIHA… usually doesn’t cause anemia but may cause obstructive symptoms)
What are the clinical symptoms of warm AIHA?
**She said to know this!!
What are the clinical symptoms of cold AIHA?
**she said to know this!
How do you manage AIHA?
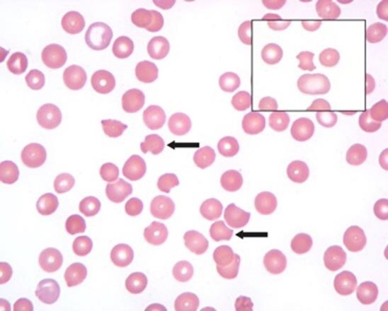
What does this image show? What could cause this morphology?
Bite cells! Can be secondary to mononuclear cell phagocytosis of denatured proteins (due to oxidative stress)
What are 2 major congenital red cell enzyme disorders and what pathways do they affect?
Describe G6PDH deficiency
What is a Heinz body?
What drugs are known oxidant stressors?
How common is G6PDH deficiency? What are some variants?

Describe G6PD A-