What are some different methods of imaging the brain in vivo?
What different features of the brain can we look at through imaging?
Summarise how different imaging methods range from covering anatomy to biology, and what the relative scales of resolution are.
What are the features of MRI?
[EXTRA?]
What is the resolution of MRI and what allows this?
What are some measurements enabled by MRI?
What are some applications for MRI?
How are MR signals generated?
[EXTRA]

What features are bright and which are dark on a T1 weighted MRI image?
[IMPORTANT]
Bright on a T1 weighted image:
Dark on a T1 weighted image:
Which features are bright and which are dark on a T2 weighted MRI image?
[IMPORTANT]
Bright on T2 weighted image:
Dark on T2 weighted image:
What are some simple tissue characteristics when being imaged in MRI T1, MRI T2 and X-ray/CT for normal tissue?
[IMPORTANT]
What are some simple tissue characteristics when being imaged in MRI T1, MRI T2 and X-ray/CT for abnormal tissue?
[IMPORTANT]
What are some issues with imaging pathology using MRI?
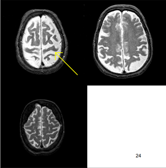
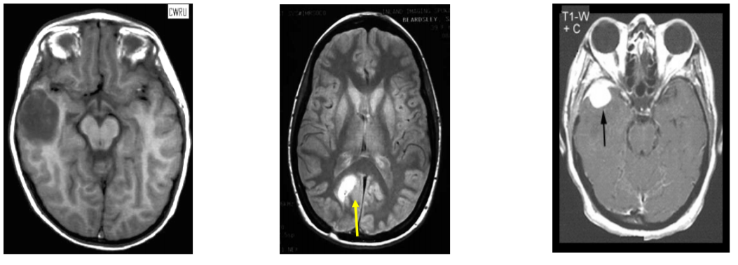
What is the pathology shown in these images?
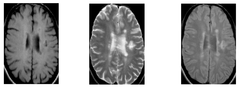
What is the best weighting to view MS lesions?
[EXTRA]
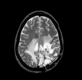
What can be seen in this scan?
[EXTRA? Possible MCQ]
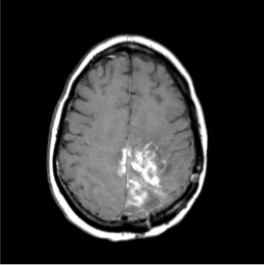
What can be seen in this scan?
[EXTRA? Possible MCQ]
What can be seen in this scan?
[EXTRA? Possible MCQ]
What can be seen in this scan?
[EXTRA? Possible MCQ]
How can radioligands be used to visualise the brain (e.g. BBB breakdown or tumours)?
[EXTRA?]
What do these scans show?
(Pathology on left scan, right scan is an age-matched control)
How can diffusion imaging be used?
[EXTRA]
What is magnetic resonance spectroscopy?
[EXTRA]
What is proton magnetic resonance spectroscopy?
[EXTRA]