2. Developmental Failure Mimics Flashcards

(6 cards)

1
Q

What are the developmental failure mimics?

A

— Hydranencephaly and the Porencephalic Cyst?

How well did you know this?
1
Not at all
2
3
4
5
Perfectly
2
Q

How do the Hydranencephaly and the Porencephalic Cyst differ from the their mimics?

A

They are acquired. - classically by vascular insult = or anything that can caus encephalomalacia (focal necrosis of both gray and white matter with eventual cystic degeneration).

How well did you know this?
1
Not at all
2
3
4
5
Perfectly
3
Q

Key findings of Hydranencephaly and the Porencephalic Cyst?

A

Abscene of Gray matter lining along the defect

t’s almost like someone took an icecream scoop to the brain.

Porencephaly = one scoop of ice cream

Hydrancephaly = the glutinous pig took pretty much the entire brain

How well did you know this?
1
Not at all
2
3
4
5
Perfectly
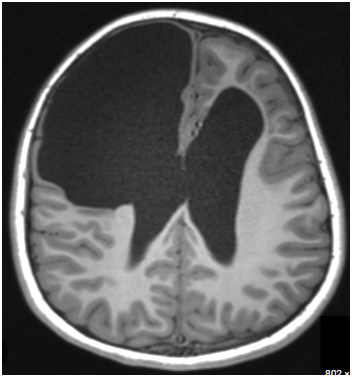
4
Q
A

Porencephalic cyst

How well did you know this?
1
Not at all
2
3
4
5
Perfectly
5
Q
A

Hydranencephaly

How well did you know this?
1
Not at all
2
3
4
5
Perfectly
6
Q

Proencephalic cyst vs Open Lip Schizencephaly

A
How well did you know this?
1
Not at all
2
3
4
5
Perfectly