2- Système sanguin Flashcards

(104 cards)

1
Q

Qu’est-ce que le sang?

A

Moyen de transport pour les gaz, nutriments, produits du catabolisme, cellules et hormones

How well did you know this?
1
Not at all
2
3
4
5
Perfectly
2
Q

Quelles sont les protéines plasmiques

A

Albumine
Facteurs de coagulation
Anti-protéases
Protéines de transport
Anticorps (immunoglobulines)

How well did you know this?
1
Not at all
2
3
4
5
Perfectly
3
Q

Quelles sont les classes fonctionnelles des cellules sanguines

A

GR
GB
Plaquettes

How well did you know this?
1
Not at all
2
3
4
5
Perfectly
4
Q

Que sont les GR

A

Érythrocytes ou hématies
Contiennent l’Hb. Transportent O2 à partir des poumons et le CO2 en retour

How well did you know this?
1
Not at all
2
3
4
5
Perfectly
5
Q

Qu’est-ce que l’hématocrite

A

% du volume de sang occupé par GR

How well did you know this?
1
Not at all
2
3
4
5
Perfectly
6
Q

Que sont les GB

A

Leucocytes
Jouent un rôle important dans les systèmes de défense et d’immunité de l’organisme.
Principalement actifs dans les tissus

How well did you know this?
1
Not at all
2
3
4
5
Perfectly
7
Q

Que sont les plaquettes

A

Thrombocytes
Se fixent sur les plaies vasculaires, les colmatent et contribuent à l’activation de la cascade de coagulation. Indispensables à l’hémostase, processus de contrôle des hémorragies

How well did you know this?
1
Not at all
2
3
4
5
Perfectly
8
Q

Où sont formées les cellules sanguines chez l’adulte

A

Moelle osseuse durant l’hématopoïèse

How well did you know this?
1
Not at all
2
3
4
5
Perfectly
9
Q

Quels sont les sortes et caractéristiques de granulocytes

A

Neutrophiles, basophiles, éosinophiles
- Doivent leur nom aux granulations de leur cytoplasme qui sécrètent des produits pro-inflammatoires
- Noyau unique plurilobé
- Participent aux défenses innées (non acquise) contre l’infection
- ùExercent leurs fonctions dans les tissus
Courte durée de vie (3-12 jours)

How well did you know this?
1
Not at all
2
3
4
5
Perfectly
10
Q

Quel pouvoir ont les neutrophiles

A

Phagocytair (i.e. absorbent des micro-organismes et débris cellulaires).

How well did you know this?
1
Not at all
2
3
4
5
Perfectly
11
Q

Quels sont les leucocytes mononucléés et leurs caractéristiques communes

A

Lymphocytes et monocytes
- Appellation visant à les distinguer des plurinucléés
- Noyau unique non-lobé
- Possèdent une grande variété de récepteurs de surface
- Sécrètent des médiateurs chimiques liés à l’inflammation

How well did you know this?
1
Not at all
2
3
4
5
Perfectly
12
Q

Caractéristiques des lymphocytes

A
  • Participent aux réactions immunitaires (inflammation p/e)
  • Agissent contre des pathogènes étrangers (antigènes) en produisant une réponse ciblée à composante humorale (anticorps) et cellulaire
  • Peuvent proliférer dans les tissus et ganglions lymphatiques, recirculent dans le sang
  • Très longue durée de vie
How well did you know this?
1
Not at all
2
3
4
5
Perfectly
13
Q

Caractéristiques des monocytes

A
  • Noyau en u
  • Cellules phagocytaires capables d’ingérer des micro-organismes et débris cellulaires
  • Pénètrent dans les tissus ou ils se transforment en macrophages résidents
  • Produisent des cytokines
How well did you know this?
1
Not at all
2
3
4
5
Perfectly
14
Q

Décrit la méthode d’analyse du sang et de la moelle osseuse adulte

A

Sang: étalement ou frottis et coloration de type Wright Giemsa
Moelle:
- prélèvement au niveau du squelette axial, habituellement sur la crête iliaque (ponction par aspiration ou biopsie d’une carotte médullaire) ou le sternum (ponction).
- Les produits de ponction sont étalés sur lame et colorés (Wright Giemsa).
- Les biopsies sont traitées histologiquement et colorées par hématoxyline et éosine

How well did you know this?
1
Not at all
2
3
4
5
Perfectly
15
Q

Qu’est-ce que la numération et formule leucocytaire

A

Dans le cas d’inflammation et infections, nombre de granulocytes dans le sang augmente

How well did you know this?
1
Not at all
2
3
4
5
Perfectly
16
Q

Neutrophilie (déf.)

A

Hausse du nombre de neutrophiles réflétant une inflammation aigüe (infection bactérienne eg)

How well did you know this?
1
Not at all
2
3
4
5
Perfectly
17
Q

Hyperéosinophilie (déf.)

A

Hausse des éosinophiles reflétant une réaction allergique ou infection parasitaire

How well did you know this?
1
Not at all
2
3
4
5
Perfectly
18
Q

Hyperlymphocytose (déf.)

A

Hausse des lymphocytes s’observant dans les infections virales

How well did you know this?
1
Not at all
2
3
4
5
Perfectly
19
Q

Neutropénie

A

Diminution transitoire du nombre de neutrophiles dans le sang pouvant résulter de la sécrétion de cytokines au début d’une infection virale

How well did you know this?
1
Not at all
2
3
4
5
Perfectly
20
Q

Cytopénie

A

Persistance de la neutropénie, ou baisse de tous les types sanguins, implique que la demande en neutrophiles est supérieure à la production au niveau de la moelle

How well did you know this?
1
Not at all
2
3
4
5
Perfectly
21
Q

« Déviation à gauche » de la granulopoïèse (transformation leucémique)

A

Apparition dans le sang circulant de formes immatures de granulocytes

How well did you know this?
1
Not at all
2
3
4
5
Perfectly
22
Q

C’est quoi l’hématopoïèse

A
  • Processus de formation des cellules sanguines matures à partir de leurs progéniteurs
  • Unidirectionel
  • Provient d’une population rare de cellules souches hématopoïétiques (CSH) multipotentes situées dans la moelle osseuse adulte
  • Est régulée par des interleukines, cytokines et facteurs de croissance
  • Certains progéniteurs sont appelés colony forming unit ou burst forming unit

CONCEPTS À RETENIR :

Le compartiment des ¢ souches est hétérogène. Les ¢ souches sont multipotentes (i.e. peuvent générer d’autres types de ¢ sanguines). Ces ¢ souches ont un potentiel d’autorenouvellement (lorsqu’elles se divisent, elles donnent naissance à 2 ¢ filles dont au moins une est identique à la mère).

How well did you know this?
1
Not at all
2
3
4
5
Perfectly
23
Q

Quels sont les types de CSH (¢ souches hématopoïétiques)

A

Long term: auto-renouvellement
Short term: auto-renouvellement
Multipotent progenitor (très court terme): pas d’autorenouvellement

Donc, le compartiement de cellules souches est hétérogène

How well did you know this?
1
Not at all
2
3
4
5
Perfectly
24
Q

Quelles voies peuvent emprunter les CSH

A

Voie lymphoïde pour aboutier en lymphocytes ou NK cells ou dendritic cell
Voie myéloïde pour aboutir en dendritic cell, granulocytes, macrophages, plaquettes ou GR

How well did you know this?
1
Not at all
2
3
4
5
Perfectly
25
Comment sont fonctionnellement définies les CSH
1) Leur capacité à médier une repopulation à long terme de toutes les lignées cellulaires matures du sang périphérique=multipotente 2) Population rare de ¢ hétérogènes capables de s'auto-renouveller
26
Proportion de CSH dans la moelle
Population rare (0,0001%)
27
Quels marqueurs cellulaires expriment-ils ou non
Lineage- Sca-1+ c-Kit+ (LSK) qui comprend 5% des cellules de la moelle
28
Sur quoi sont fonctionnellement étudiés les CSH
Modèles de transplatation animal in vivo ou de culture cellulaire à court ou long terme in vitro
29
Dans quelle phase du cycle cellulaire sont majoritairement les CSH
Quiescence (i.e. entrent en cycle slm au besoin) (G0) ce qui explique leur résistance aux drogues cytotoxiques in vivo
30
Quels marqueurs immunophénotypiques permet de trouver les CSH au potentiel repopulatif à long terme
CD150+ CD48- Lineage- Sca-1+ c-Kit+ (+ = l'exprime, - = l'exprime pas)
31
Quels sont les modes de divisoon des CSH
Symétrique: peuvent générer 2 CSH ou 2 cellules filles plus différenciés, ce qui, par conséquent expand le compartiment de cellules souches ou de progéniteurs différenciés Asymmétrique: préservent le nombre de CSH dans un état d'équilibre (ce qu'on cherche surtout chez les adultes).
32
Décrit la transition de fétale à adulte des CSH
CSH fétales sont PROLIFÉRATIVES, engagées dans des divisions symétriques d'AR et génèrent des greffes biaisées vers la lignée myéloïde en transplantation Entre la 3e ET 4e SEMAINE après la naissance, las CSH entre dans une phase de transition régulée de façon INTRINSÈQUE (gènes) CSH adultes sont majoritairement quiescentes, génèrent des divisions asymmétriques d'AR et des greffes biaisées vers la lignée lymphoïde
33
Décrit l'ontologie (sites anatomiques de l'hématopoïèse)
Des cellules du mésoderme s'engagent dans les lignées hématopoïétiques et endothéliales en formant des progéniteurs bipotents appelés hémangioblastes Les hémangioblastes migrent dans le sac vitellin (in utero), la région aorta-gonad-mesonephros (AGM) de l'embryon et le placenta=hématopoïèse primitive Les CSH de l'AGM migrent dans le foie fétal pour l'expansion=hématopïèse définitive Les CSH du foie fétal migrent dans la moelle osseuse autour de la naissance=hématopoïèse adulte (définitive) INFOS GÉNÉRALES : Chez l'embryon en dév. l'hématopoïèse se fait dans le foie, alors que chez l'adulte c'est dans la moelle osseuse.
34
Qu'est-ce que la niche ou microenvironnement physiologique de la CSH
Attachements cellule-cellule qui produisent des signaux et sécrétion localisée de facteurs de croissance Garde la CSH en quiescence et active sa prolif en cas de besoin (renouvellement du tissu, réparation suite à une blessure) Maintient l'état d'homéostasie: protège la CSH des stress physiologiques et empêche sa différenciation (anémie aplasique) ou sur-prolif (leucémie) À RETENIR : GARDE LA CSH DASNS UNE BALANCE DYNAMIQUE ENTRE L'AUTO-RENOUVELLEMENT ET LA DIFFÉRENCIATION
35
Ou sont les déterminants du destin des cellules dans la DIVISION asymmétrique
a) Localisés asymétriquement dans 1 des 2 cellules filles qui se différencie, tandis que l'autre cellule fille retient le caractère souche=cellule autonome. (¢ autonome = tout est régulé par la ¢ elle-même)
36
Ou sont les déterminants du destin des cellules dans un ENVIRONNEMENT asymmétrique
b) Après division, 1 des 2 cellules filles identiques demeure dans la niche d'AR tandis que l'autre se relocalise en dehors de la niche, dans un microenvironnement favorisant la différenciation= non cellule autonome (¢ non autonome = toutes influences viennent d'ailleurs (extrinsèques))
37
Quels sont les mécanismes de contrôle de la fonction des CSH par la niche
Contact direct entre cellule et niche Release of solublre factors comme des facteurs de croissance Regulate function of intermediate cell
38
Caractéristiques des facteurs de croissance hématopoïétiques
- Plurifonctionnels (sauf érythhropoiétine (EPO)) - Stimulent la prolif, différenciation, maturation, sortie de la moelle et la survie intratissulaire - Effet sur la cellule-cible dépend de son stade de différenciation, des récepteurs membranaires exprimés et autres signaux reçus
39
Donne des facteurs de croissance hématopoïétique
- Thrombopoïétine (TPO)joue un role primordia dans la production des magakaryocytes et des plaquettes et intervient dans les étapes précoces de la production des GR - EPO controle la phase tardive de la production des GR à partir des CFU-E, peu d'effet sur les prgéniteurs érythroïdes précoces - Facteurs de croissance des granulocytes (G-CSF) et des monocytes (M-CSF) controlent la différenciation granulocytaire et monocytaire - IL-5 influence la production des éosinophiles - IL-1 et le facteur de nécrose tumorale (TNF) influencent les cellules de soutien du micro-environnement
40
Décrit la greffe de moelle
1) TRANSPLANTATION des CSH dont le but est de fournir au receveur un nouveau système hématopoïétique et immunitaire (par le biais des lymphocytes) 2) CSHs sont recueillis par PONCTION DE MOELLE OSSEUSE ou à partir du sang périphérique après mobilisation des CSH (injection de G-CSF) 3) Système hématopoïétique du receveur est détruit par des médicaments cytotoxiques et l'irradiation, le greffon transfusé et les CSH vont coloniser le micro-environnement ou elles pourront se développer 4) Donneur peut-être un étranger (ALLOGREFFE ou GREFFE ALLOGÉNIQUE) ou le receveur lui-même (AUTOGREFFE) 5) En cas d'allogreffe, compatibilité HLA est indispensable pour prévenir une RÉACTION DU GREFFON CONTRE L'HÔTE (GVH) où les lymphocytes du donneur reconnaissent le receveur comme étranger et l'attaquent 6) Utilisée dans traitement des déficits immunitaires et des hémopathies sévères, comme l'anémie aplasique et les leucémies
41
Stades de l'érythropoïèse (pas besoin de les reconnaître ou des les nommer, mais comprendre l'idée générale)
1) Diminution progressive de la taille des cellules 2) Perte des organites cytoplasmiques 3) Arrêt de division, inactivation et expulsion finale du noyau 5) Synthèse progressive d'Hb Cellule anuclée qui en résulte = GR précoce ou réticulocyte
42
Que sont les corps de Howell-Jolly
Petis amas de matériel nucléaire condensé si le processus de condensation nucléaire et d'explusion est incomplet durant érythropoïèse.
43
Comment sont éliminés les GR anormaux
Par les macrophages spléniques
44
Composition du réticulocyte et érythrocyte
R=GR immature quittant la moelle, contenant encore des mitochondries, ribosomes, restes d'AG et continue à synthétiser de l'Hb E=GR mature transportant l'O2 et le CO2. Constitué d'une membrane plasmique externe et un cytosquelette protéique de soutien renfermant des molécules d'Hb concentrées et enzxymes indispensables à sa survie
45
Qu'est-ce que l'Hb
Prtotéine riche en Fe qui fixe et relargue l'O2 et assure son transport dans le sang
46
Décrit le cytosquelette du GR
- Membrane composée d'une bicouche lipidique stabilisée par des protéines - Antigènes du groupe sanguin sont constitués d'hydrates de carbone et d'Antigènes protéiques superficiels - Spectrine = longue protéine élastique qui forme un réseau sous la membrane - Dimères de spectrine ou rayons se lient aux moyeux (protéine 4.1, actine et tropomyosine) - Globules difformes ou plus flexibles = éliminées par les macrophages dans la rate et le foie.
47
Durée de vie des GR érythrocytes
120 jours
48
Qu'est-ce que l'anémie
DIMINUTION de la CONCENTRATION SANGUINE EN Hb en-dessous des valeurs normales - PRODUCTION MÉDULLAIRE DE GR PEUT ÊTRE RÉDUITE du fait de carences en nutriments comme le fer, vitamine B-12 et B9 (acide folique), d'une insuffisance médullaire primitive (anémie aplastique) ou anomalie génétique (thalassémie) - GR PEUVENT ÊTRE DÉTRUITS (anémie hémolytiques) par différents mécanismes (anticorps auto-immuns ou hémorragies) - Dans les carences en fer, production d'Hb réduite (HYPOCHROMIE) et GR produits sont petits (MICROCYTOSE) - Vitamines B12 et B9 (acide folique) sont indispensables aux divisions cellulaires et à la maturation nucléaire. Carence donne naissance à de gros précurseurs appelés MÉGALOBLASTES = ANÉMIE MÉGALOBLASTIQUE.
49
Comment se fait la granulopoïèse (dév. des granulocytes neutrophiles)
Myéloblaste: grosse cellule à chromatine non condensée avec nucléles et cytoplasme basophile Promyélocyte: nombreux granules primaires (azurophiles) Myélocyte: granules secondaires/spécifiques et condensation progressive de la chromatine Métamyélocyte: début de la segmentation du noyau et maturation du cytoplasme pour former les band cells Controlée par de nombreux facteurs de croissance et cytokines: G-CSF, GM-CSF, IL- et 5 PAS AVOIR À IDENTIFIER LES DIFFÉRENTES SORTES DE ¢ OU LES STADES DE DIFFÉRENCIATION.
50
Quel est le rôle des neutrophiles
- Quittent l'espace vasculaire en RÉPONSE À DES SIGNAUX CHIMIOTACTIQUES libérés par les tissus lésés ou produits par l'interaction d'anticorps avec des antigènes de surface de moo - SÉCRÈTENT LE CONTENU DE LEURS GRANULES par fusion de leur membrane plasmique=DÉGRANULATION ou externalisent le contenu des granules liés à la membrane=EXOCYTOSE, incluant des facteurs pro-inflammatoires, protéines antibactériennes et enzymes destructrices de la matrice tissulaire Phagocytent les bactéries par fusion de leurs phagosomes et granules primaireds
51
Que sont les mégacaryocytes
- Cellules les plus VOLUMINEUSES de la moelle, responsables de la PRODUCTION des PLAQUETTES sanguines - Cellules matures sont POLYPLOÏDE du fait de leur réplication nucléaire sans division cellulaire=ENDOMITOSE. Peut survenir jusqu'à 7 fois. - Près des sinusoïdes médullaires à travers lesquels ils libèrent des pseudopodes appelés PROPLAQUETTES qui se fragmentent, libérant les plaquettes -Différenciation controlée par thromboprotéine (TPO), IL-3 et 11
52
Que sont les plaquettes (Thrombocytes)
- Petites cellules anucléées=fragements de cytoplasme de mégacaryocytes - Renferment la plupart des organites cytoplasmiques des autres cellules sauf le noyau -Contiennent granules alpha (adhésion plaquettaire et formation de caillots), facteurs de croissance (réparation vasculaire), granules denses (sérotonine, ADP, ATP, Ca2+, Mg2+) et lysosomes - Activation provoque la contraction de leur système de MT et dégranulation stimulant le recrutement de plaquettes sup=clou plaquettaire
53
Monopoïèse
FORMATION DES MONOCYTES - En réponse aux signaux chimiotaxiquyes produits par la nécrose, moo ou inflammation, monocytes MIGRENT dans les tissus et se transforment en MACROPHAGES RÉSIDENTS (d) - Pouvoir PHAGOCYTAIRE et ACTIVITÉ LYOSOMALE. - SÉCRÈTENT des chimiotaxines, cytokines et facteurs de croissance impliqués dans inflammation, immunité réparation tissulaire et cicatrisation Transforment antigène et le présente au lymphocytes T, DÉCLENCHANT UNE RÉPONSE IMMUNITAIRE ADAPTATIVE.
54
Lymphopoïèse
FORMATION DES LYMPHOCYTES - Principaux acteurs de la DÉFENSE IMMUNOLOGIQUE. - Dans la moelle, lymphoblastes donnent naissance à LYMPHOCYTES B, T (via le thymus) et cellules NATURAL KILLER (NK). - Lymphocytes matures circulent entre les différents tissus lymphoïdes par intermédiaire du sang et vaisseaux lymphatiques - Lymphocytes B activés peuvent s'installer dans ls tissus, se transformant en PLASMOCYTES qui sécrètent des anticorps
55
Qu'est-ce que le système immunitaire et les lignes de défense
Mécanisme de défense contre agents étrangers et micro-organismes PATHOGÈNES pouvant envahir l'organisme, s'y multiplier et détruire le tissu fonctionnel Trois lignes de défense principales : Mécanismes de protection sup (peau, tractus digesif, respiratoire et génito-urinaire) Ssytème immunitaire inné Système immunitaire adaptatif (avec apprentissage)
56
Qu'est-ce que le sys immunitaire inné
- Caractérisé par une RX INFLAMMATOIRE RAPIDE AUX INFECTIONS, de MÊME AMPLITUDE À CHAQUE RENCONTRE avec le patho, jusqu'à ce que le sys adaptatif prenne le relais - SANS CAPACITÉ D'APPRENTISSAGE (car pas de ¢ mémoires) - Comprend neutrophiles, éosinophiles, macrophages, ¢ NK, cellules résidantes des tissus (eg mastocytes et histiocytes) - Implique complément, protéines de la rx inflammatoire aigue, chémokines et IL - INFLAMMATION AIGUË : caractérisée par MODIF VASCULAIRES (vasodilatation, hausse de la perméabilité capillaire et du débit circulatoire) abouttisant à formation d'un EX-SUDAT INFLAMMATOIRE riche en fibrine et l'ARRIVÉE DE CELLULES ET FACTEURS permettant une défense rapide
57
Sys immunitaire adaptatif
- CAPACITÉ D'APPRENTISSAGE, de sorte que les RENCONTRES ULTÉRIEURES avec le patho provoquent une RÉPONSE IMMUNITAIRE PLUS IMPORTANTE, SPÉCIFIQUE ET RAPIDE. - À la base de l'IMMUNITÉ DURABLE ACQUISE après première infection ou vaccination - REPOSE SUR SYST. INNÉ. - FONDÉ sur la DIVISION CELLULAIRE : permet d'obtenir un grand nombre de lymphocytes spécifiques contre un patho/antigène particulier - Lymphocytes peuvent tuer/neutraliser les agents pathogènes par une RÉPONSE CELLULAIRE (lymphocytes T) ouy humorale via production d'anticorps (lymphocytes B) ou une combinaison des 2
58
Quels sont les organes primaires du sys imm
Déf. : Site de génération des lymphocytes Exemples : Thymus: maturation des lymphocytes T Moelle: contient progéniteurs (¢ intermédiaire (pas une ¢ souche, spécialisée ou mature) qui prolifère bcp et qui est souvent engagée dans une voie de différenciation) lymphoides et lieu de maturation lymphocytes B
59
Quels sont les organes secondaires du sys imm
Déf. : Site d'activation et de multiplication des lymphocytes. Exemples : Ganglions lymphatiques: lieux de rencontre des lymphocytes B/T avec es antigènes et CPA de la lymphe circulante Rate: permet aux lymphocytes B/T de rencontrer les antigènes transportés par le sang Tissu lymphoïde associé aux muqueuses (MALT): inclut amygdales, végétations, plaques de Peyer et une population diffuse de lymphocytes/plasmocytes des muqueses
60
Caractéristiques des lymphocytes T
- 20-50% des leucocytes circulants - ¢ T immatures migrent de la MOELLE VERS LE THYMUS pour devenir matures - MATURATION comprends prolif, réarrangement des gènes des TCR (récepteurs T), acquisition de récepteurs de surface et de molécules accessoires - T capables de réagir avec antigènes du soi sont éliminés par apoptose, aboutissant à l'état de TOLÉRANCE AU SOI. - Matures colonisent tissus lymphoides secondaires et circulent continuellement dans le sang À LA RECHERCHE D'ANTIGÈNE
61
Quel est le mécanisme d'activation des lymphocytes B/T
Ils PATROUILLENT en permanence dans le sang, lymphe et autres fluides extracellulaires et s'arrêtent dans les organes lymphoides secondaires, lieux de RENCONTRE AVEC LES ANTIGÈNES, favorisant leur ACTIVATION. Reconnaissance des antigènes repose sur la DIVERSITÉ DES RÉCEPTEURS À L'ANTIGÈNE: BCR comprenant les immunoglobulines de surface (Igs) et des molécules accessoires et le TCR Interaction du TCR avec antigène repose sur une RÉCIPROCITÉ DE FORME ET DE CHARGE ÉLECTRIQUE et fait intervenir le COMPLEXE MAJEUR D'HISTOCOMPATIBILITÉ (CMH) de la CPA (¢ présentatrice d'antigène). Plus le site d'Activation de l'Antigène est précis, plus le lien formé est fort et la probabilité de stimulation du lymphocyte importante
62
Quels sont les 5 groupes fonctionnels de lymphoctes T
Auxiliaires ou helper Cytotoxiques Régulateurs Mémoire Gamma delta
63
Décrit les Th (auxillaires ou « helper »)
Aident d'autres lymphocytes dans leurs fonctions en sécrétant des interleukines. Les Th1 sont impliqués dans les réactions à médiation cellulaire et les Th2 dans la réponse humorale (production d'anticorps) et les Th17 dans l'inflammation aigue Expriment CD2, 3 et 4
64
Décrit les Tc (cytotoxiques)
Tuent les cellules infectées par un virus et les cellules cancéreuses. Leur activation requiert une intéraction avec des cellules Th. Ils expriment CD2, 3 et 8
65
Décrit les Treg (régulateurs)
Peuvent neutraliser la réponse immunitaire aux antigènes du soi et stopper la réaction immunitaire une fois l'antigène éliminé. Expriment CD4 et FOXP3
66
Décrit les lymphocytes T mémoires
Dérivent de cellules T activées et permettent une réaction rapide lors d'une rencontre ultérieure avec l'antigène. Ils sont à la base de l'imm persistante après l'infection et la vaccination
67
Décrit les lymphocytes T gamma delta (γδ)
Cellules dont le récepteur T est un hétérodimère composé d'une chaine gamma et d'une chaine delta (au lieu des chaines alpha et béta habituelles). Siègent dans l'épithélium du tube digestif et sont CD8 positives
68
Décrit la fonction des CPA (¢ présentatrices d'antigènes) dans la réponse immunitaire adaptative (à bien connaître)
Les CPA (macrophages, cellules dendritiques et lymphocytes B) sont nécessaires à l'ACTIVATION DES LYMPHOCYTES et l'induction de la RÉPONSE IMMUNITAIRE ADAPTATIVE. L'ANTIGÈNE (eg : bactérie) capté par la CPA se retrouve dans le cytoplasme à l'intérieur d'un ENDOSOME PRÉCOCE qui FUSIONNE avec un LYOSOME CONTENANT DES CMH II L'antigène est ensuite DÉGRADÉ en courts PEPTIDES ANTIGÉNIQUES (PA) par le protéasome qui se fixe aux CMH II Les COMPLEXES PEPTIDES-CMH II sont transportés jusqu'à la MEMBRANE PLASMIQUE dans le phagolysosome et sont exposés à la surface des CPA Si le TCR d'une CELLULE Th se fixe spécifiquement sur un COMPLEX PEPTIDE-CMH II, la réponse immunitaire adaptative est déclenchée
69
Décrit comment se fait l'activation des lymphocytes B
Les lymphocytes B dérivent de précurseurs B situés dans la moelle osseyse. La cellule B ACTIVÉE par un antigène entre en division et se transforme en PLASMOCYTE capable de SYNTHÉTISER DES ANTICORPS (immunoglobulines: IgG, IgD, IgD, IgM, IgE) correspondant à la spécificité antigénique qui sont sécrétés dans le sang et fixés à la surface des cellules L'activation se fait via les IgG de surface (RÉCEPTEURS À L'ANTIGÈNE DES CELLULES B ou BCR) souvent avec l'aide de lymphocytes Th répondant au même antigène
70
Comment se fait la première rencontre entre un antigène et un lymphocyte B
Lors de la première rencontre avec un antigène (RÉPONSE IMMUNITAIRE PRIMAIRE) quelques cellules du clone se transforment en CELLULES B « MÉMOIRES » capables de répondre rapidement à une nouvelle rencontre avec l'antigène
71
Comment se passe la réponse immunitaire secondaire
La production d'anticorps est plus rapide, plus importante et constituée d'IgG plutôt que d'IgM
72
Quelles sont les étapes clés de la réponse immunitaire adaptatve
1) Reconnaissance de l'antigène 2) Activation de la réponse immunitaire 3) Mise en oeuvre des mécanismes effecteurs 4) Destruction ou inactivation de l'antigène
73
Décrit la reconnaissance de l'antigène
- Les lymphocytes possèdent à leur surface des RÉCEPTEURS À L'ANTIGÈNE: TCR et BCR - Le BCR est constitué d'une immunoglobuline de surface associée à des molécules accessoires - Le RÉARRANGEMENT ALÉATOIRE DES GÈNES DE LA RÉGION VARIABLE du récepteur donne naissance à des sites de fixation pour une infinité d'antigène différents
74
Décrit l'activation de la réponse immunitaire
Nécessite un CONTACT entre un ANTIGÈNE et un TCR mature de SPÉCIFICITÉ APPROPRIÉE En général, les Tc reconnaissent les peptides liés aux CMH I Presque TOUTES LES CELLULES de l'organisme expriment le CMH I Seules les CPA expriment habituellement le CMH II
75
Décrit la mise en oeuvre des mécanismes effecteurs
Production d'anticorps par les plasmocytes = RÉPONSE HUMORALE. Destruction par apoptose de cellules anormales par des lymphocytes Tc ou cellules NK = RÉPONSE CELLULAIRE Activation des cellules T auxiliaires (Th1) par certains organismes qui sécrètent des cytokines pouvant ACTIVER DES MACROPHAGES DESTRUCTEURS.
76
Décrit l'arrêt de la réponse immunitaire
Plusieurs mécanismes PROTÈGENT LES TISSUS NORMAUX d'une réponse excessive et PRÉVIENNENT L'AUTO-IMMUNITÉ: - Élimination de l'antigène - Courte durée de vie des plasmocytes - Activité inhibitrice des lymphocytes Treg et autres mécanismes qui inhibent l'activité des cellules B/T
77
Décrit la mémoire immunologique et l'immunité durable
- Lorsque des lymphocytes activés subissent une EXPANSION CLONALE au cours d'une RÉACTION IMMUNITAIRE, certains d'entre eux deviennent des CELLULES B ou T "MÉMOIRES" MATURES. - Ils ont un aspect identique à celui des lymphocytes naïfs mais sont capables de produire une RÉPONSE PLUS RAPIDE et EFFICACE vis-à-vis d'une PLUS FAIBLE QUANTITÉ D'ANTIGÈNE - Ce phénomère appelé RÉPONSE IMMUNITAIRE SECONDAIRE est à la base de l'IMMUNITÉ DURABLE à la suite d'une infection ou vaccination.
78
Quels sont les organes lymphoïdes
Thymus Rate Ganglions lymphatiques Tissu lymphoïde associé aux muqueuses (MALT)
79
Ou est le thymus
À la base du cou
80
Que fait le tymus
Site de maturation des lymphocytes T
81
Quelle est l'évolution du thymus avec l'âge
Très actif à l'enfance, subit une INVOLUTION PROGRESSIVE à partir de la puberté et devient difficile à différencier macroscopiquement du tissu adipeux chez l'adulte
82
Quelles sont les zones du thymus
Le cortex (zone externe très cellulaire) et la médullaire (zone centrale moins cellulaire)
83
Comment migrent les thymocytes en cours de maturation
Du cortex à la médullaire
84
Quelles sont les autres structures du thymes médullaire
1) Cellules épithéliales réticulées (petites cellules au cytoplasme abondant et au noyau clair) 2) Corpuscule de Hassall à grosseur variable (formations en oignon, lamelles concentriques de cellules épithéliales en dégénerescence)
85
Quelles sont les fonctions du thymus
1) DÉVELOPPEMENT DE L'IMMUNOCOMPÉTENCE des lymphocytes T à partir de précurseurs T de la moelle oesseuse (eg lymphocytes Th et Tc) 2) PROLIF DE CLONES DE CELLULES T NAÏVES MATURES pour alimenter le pool de lymphocytes circulants et les tissus périphériques 3) DÉV. DE LA TOLÉRANCE IMMUNOLOGIQUE AUX « ANTIGÈNES DU SOI » - plus de 98% des lymphocytes en maturation meurent par apoptose dans le thymus et plusieurs réagissent au soi= DÉLÉTION CLONALE ou sélection négative 4) SÉCRÉTION de polypeptides/HORMONES (eg thymuline, thymopoïétine et thymosine) régulant la fonction des cellules T et des tissus périphériques
86
Quelle est la structure de la rate
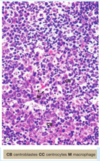
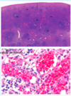
- Recouverte d'une fine CAPSULE fibro-élastique, dont la face externe est recouverte d'un mésothélium (le péritoine), à partir duquel de courtes TRAVÉES CONJONCTIVES s'étendent dans le parenchyme. Les fibres réticulées du parenchyme forment le squelette des CORDONS DE BILLROTH. - Le parenchyme splénique (PULPE ROUGE = PR) est richement vascularisé et parsemé de petits nodules lymphoïdes blanchâtres (PULPE BLANCHE = PB) Les sinus veineux sont entourés de cellules endothéliales et remplis de GR
87
Fonctions de la rate
1) Production de RÉPONSES IMMUNOLOGIQUES contre les antigènes 2) ÉLIMINATION de particules circulantes et cellules sanguines agées/anormales, surtout GR 3) RECYCLAGE DU FER vers la moelle 4) HÉMATOPOÏÈSE chez le foetus et l'adulte lors de certaines maladies
88
Circulation splénique
- Le sang pénètre dans la rate par l'ARTÈRE SPLÉNIQUE (AS) qui se divise en de nombreuses branches dans le parenchyme - ARTÈRES CENTRALES (A) sont entourées d'un MANCHON LYMPHOÏDE PÉRIARTÉRIOLAIRE (MLPA) constitué de cellules Th - L'artère centrale donne naissance à de nombreuses ARTÈRES PÉNICILLÉES et se terminent en 2 ou 3 CAPILLAIRES À HOUSSE entourrés de MACROPHAGES Le sang arrivant dans un capillaire à housse doit traverser ce mur de macrophages pour pénétrer dans la PULPE ROUGE Les capillaires à housse représentent le premier élément du mécanisme de filtration de la rate Le PARENCHYME est parcouru par un réseau de SINUSOÏDES qui se drainent dans la veine splénique et dans la VEINE PORTE HÉPATIQUE=CIRCULATION OUVERTE
89
De quoi est composée la pulpe blanche de la rate
Lymphocytes B et T (5-20% de la rate) Les B forment des FOLLICULES habituellement situés autour d'une ARTÉRIOLE. Chez l'enfant, de nombreux folicules contiennent des CENTRES GERMINATIFS. En PÉRIPHÉRIE du follicule, on observe une zone étroite de petits lymphocytes appelée ZONE DU MANTEAU (ZMn), entourée d'une zone plus large appelée ZONE MARGINALE (ZMr) contenant des lymphocytes B et macrophages. Autour, on retrouve la PULPE ROUGE PÉRILYMPHOÏDE (PL) contenant également des lymphocytes
90
Que sont les ganglions lymphatiques
Structure en forme d'haricot (env. 450), encapsulées, hautement organisées, réparties le long des plus gros vaisseaux régionaux du système circulatoire lymphatique
91
Où sont les ganglions lymphatiques?
Regroupés dans les zones ou les lymphatiques convergent pour former des troncs plus larges
92
Que se passe aux ganglions?
Quand tous les éléments nécessaires à la stimulation d'une RÉPONSE IMMUNITAIRE ADAPTATIVE sont réunis dans le ganglion, les lymphocytes subissent une EXPANSION CLONALE et une MATURATION. Cellules B ACTIVÉES se transforment en PLASMOCYTES sécrétant des anticorps (réponse humorale) Lymphocytes T EFFECTEURS et PLASMOCYTES quittent le ganglion dans la lymphe efférente et RECIRCULENT VERS LES TISSUS LÉSÉS OU INFECTÉS.
93
Décrit la circulation des lymphocytes dans un ganglion
- SINUS SOUS-CAPSULLAIRES (S), TRABÉCULAIRE (ST), CORTICAL (SC) et MÉDULLAIRES (SM) qui longent la TRABECULAE (T) transportent les lymphocytes, antigènes, cellules dendritiques et macrophages de la lymphe dans le ganglion - VEINULES À ENDOTHÉLIUM HAUT (VEH=*) haut permettent l'entrée des lymphocytes circulant dans le ganglion Lymphocytes qui n'ont pas reconnu d'antigène vont quitter le ganglion par la circulation vers d'autres ganglions.
94
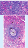
Distribution des lymphocytes B dans le ganglion
Partie externe du cortex contient follicules lymphoïdes (aggrégats de lym B) qui peuvent rester à l'état de repos sous forme de FOLLICULES PRIMAIRES. Rencontre avec antigène adéquat modifie l'aspect du follicule qui devient un FOLLICULE SECONDAIRE (FS) FS sont constitués d'un centre pâle, le CENTRE GERMINATIF (CG) entouré d'une zone sombre appelée ZONE DU MANTEAU (ZM) Centre germinatif = site d'activation, d'expansion clonale et de la différenciation des lymB Zone du manteau = formée des lymB quiescents et est asymétrique (plus large du côté de la capsule)
95
Qu'ont les lymB quiescents
Chromatine condensée
96
Comment se fait la maturation des lymphocytes B dans le centre germinatif (CG) d'un follicule secondaire
- Après rencontre avec un Ag adéquat, cellules B quiescentes donnent naissance à des CENTROBLASTES à division active qui se différencient en CENTROCYTES. Centrocytes migrent vers la zone capsulaire ou ils SE TRANSFORMENT après plusieurs divisions en IMMUNOBLASTES = cellule B mémoire Immunoblastes gagnent les cordons médullaires ou ils achèvent leur DIFFÉRENCIATION EN PLASMOCYTES capables de sécréter des anticorps Dans le CG, les centroblastes subissent des mutations des gènes des immunoglobulines (HYPERMUTATION SOMATIQUE) créant davantage de diversité = anticorps de haute affinité RECOMBINAISON ISOTYPIQUE DES IGS fait en sorte que les plasmocytes produits sécrètent préférentiellement des IgG ou des IgA (plutôt que des IgM)
97
Qu'est-ce que le tissu lymphoïde associé aux muqueuses (MALT)
Masse totale de tissu lymphoïde localisée dans les tractus gastro-intestinal, respiratoire et uro-génital est énorme=MALT Ces agrégats contiennent des ZONES CELLULAIRES B ET T DISCONTINUES discontinues ainsi que des CELLULES ACCESSOIRES capables de transformer l'antigène. Plus gros agrégats fonctionnent de la même manière que les ganglions lymphatiques et peuvent initier des RÉPONSES IMMUNITAIRES HUMORALE ET CYTOTOXIQUE.
98
Décrit la greffe d'organes
- RISQUE DE REJET de l'organe transplanté - Sys imm du receveur RÉAGIT CONTRE LES ANTIGÈNES appelés HLA (human leucocytes antigens) - Chaque classe d'HLA inclut un certain nombre de protéines distinctes codées par un certain nombre d'allèles différents. Un ind possède 2 variants dofférents de chaque type de HLA= PHÉNOTYPE HLA - La plupart des greffes concernent des ind ayant un certain degré de discordance HLA=HLA MISMATCH - L'utilisation d'IMMUNOSUPPRESSEURS limite la réponse imm du receveur. - Ces médicaments suppriment aussi les réponses imm souhaitables contre les pathogènes, exposant le patient à des infections; ÉQUILIBRE entre le RISQUE DE REJET et le DANGER INFECTIEUX. Identification de nouvelles drogues anti-rejets plus spécifiques est un important sujet de recherche
99
Comment sont appelées les tumeurs malignes
Lymphomes (organes solides) ou leucémies (sang)
100
Comment peuvent être les lymphomes
DISPERSÉS ou LOCALISÉS à un organe lymphoïde particulier ou TOUCHER UN ORGANE NON LYMPHOÏDE (ex. peau ou cerveau)
101
Signes de pathologies tumorales du sys imm
- Hausse du volume des ganglions (adénopathies), de la rate (splénomégalie) et du foie (hépatomégalie). - Fièvre. - Oerte de poids.
102
Comment se répartissent les lymphomes
Lymphomes hodkiniens et non-hodgkiniens (constitués de lymB malins (+ agressifs, participation des ganglions périphériques et extraganglionnaire, propagation noncontigue) peuvent avoir une architecture folliculaire similaire à un follicule lymphoïde normal)
103
Comment sont classés les lymphomes
Selon leur grade de malignité (haut ou bas)
104
Que contient le sang et ses composants
Plasma: 90% eau, 8% protéines, 1% sels inorganiques, 0,5% lipides, 0,1% glucose et autres substances en moindre quantité GB et plaquettes GR