2 Tuberculosis Flashcards

(27 cards)

1
Q

Epidemiology of tuberculosis

A
  1. More than 1/3 of overall population worldwide harbors the bacterium
  2. Second leading infectious cause of death, especially among those with HIV
How well did you know this?
1
Not at all
2
3
4
5
Perfectly
2
Q

Patients with a high prevalence of Tuberculosis (from highest to lowest risk)

A

Immigrants from high-prevalence countries
Patients with the human immunodeficiency virus
Residents and staff of prisons or shelters for the homeless
Alcoholics and illicit drug users
Elderly and nursing home patients

How well did you know this?
1
Not at all
2
3
4
5
Perfectly
3
Q

Tubercles and Ghon complex

A

Tubercles are granulomas and are a sign of primary infection and may progress to caseation necrosis and calcification.

These tubercles create a protective area for bacterial growth.

In the lung, the Ghon complex is a tubercle, appearing as a calcified hilar lymph nodes.

How well did you know this?
1
Not at all
2
3
4
5
Perfectly
4
Q

Remarks on tuberculin skin test

A

aka Mantoux skin test

Becomes positive 1 to 2 months after initial exposure

The test interpretation is between 48 and 72 hours after administration.
Results are less reliable after 72 hours, with repeat testing required.

A negative tuberculin skin test does not rule out the disease, because 20% of patients with active TB have a negative test result

How well did you know this?
1
Not at all
2
3
4
5
Perfectly
5
Q

The most common extrapulmonary site of tuberculosis

A

Lymphatic system - painless lymphadenopathy
(i.e., scrofula, cervical lymphadenitis)

How well did you know this?
1
Not at all
2
3
4
5
Perfectly
6
Q

≥5-mm induration in skin test is positive in

A

Patients with Close contact with a TB-infected individual
Patients with abnormal CXR suggestive of healed TB

Patients with HIV
Patients with organ transplants
Patients with other immunosuppressed patients receiving equivalent of prednisone >15 mg/day for >1 month

How well did you know this?
1
Not at all
2
3
4
5
Perfectly
7
Q

≥10-mm induration in skin test is positive in

A

Children <4 y/o
High-prevalence groups (immigrants, long-term care facility residents, persons in local high-risk areas)
Patients with conditions that increase the risk of progression to active disease (silicosis; diabetes; carcinoma of the head, neck, or lung)
Injection drug users

How well did you know this?
1
Not at all
2
3
4
5
Perfectly
8
Q

Remarks on IGRAs

A

Interferon-y release assays
1. The test seeks the response to peptides present in all M. tuberculosis proteins, which trigger the release of interferon-y by the infected host

  1. These proteins are absent in the bacillus Calmette-Guerin vaccine and in most nontuberculous mycobacteria ⚡️
  2. IGRA has a Sp of >95% and Sn 90% for latent tuberculsois
  3. Results in 16 to 24 hours
  4. ❌Cannot distinguish between latent and active infection , and it ❌may be falsely negative in immunocompromised patients
How well did you know this?
1
Not at all
2
3
4
5
Perfectly
9
Q

Remarks on CXR in tuberculosis

A
  1. No singular findings are pathognomonic for primary tuberculosis.
  2. The most common finding is a normal CXR, especially in immunocompromised patients.
How well did you know this?
1
Not at all
2
3
4
5
Perfectly
10
Q

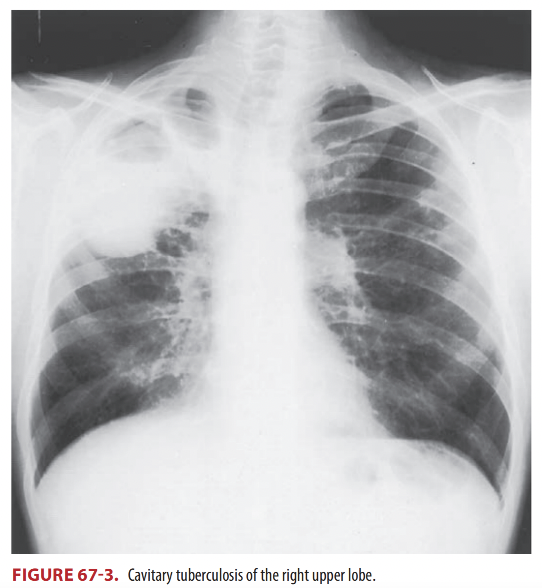
Remarks on cavitary pulmonary tuberculosis

A
  1. Patients with cavity have a bacterial load of up to 10^11 bacilli/gram, making it highly contagious. (Lond, 2012)
  2. Start or maintain therapy while awaiting smear and culture results on all patients with suspicious findings of active tuberculosis, notably cavitary lesions or known previous infecdtion with new weakness or fevers
  3. Use prolonged therapy in immunocompromised patients, patients with cavitary pulmonary tuberculosis and positive sputum culture after 2 months of therapy
  4. The yield of sputum smears and cultures is lower in children because of difficulty in obtaining adequate samples in addition to lower incidence of cavitary disease
How well did you know this?
1
Not at all
2
3
4
5
Perfectly
11
Q

Best method for confirming diagnosis of tuberculosis

A

Sputum or other tissue cultures for M. tuberculosis are the best method of confirming diagnosis and the most specific test for the disease, detecting as few as 10 bacteria/mL

How well did you know this?
1
Not at all
2
3
4
5
Perfectly
12
Q

Remarks on NAAT

A

NAAT will remain positive in the setting of adequate therapy, as it detects dead and live organisms, making it best used for diagnosis of tuberculosis

A negative NAAT result cannot exclude tuberculosis.

How well did you know this?
1
Not at all
2
3
4
5
Perfectly
13
Q

Remarks on tuberculosis ED management.

A

In most cases, antituberculous medications will not be started in the ED unless done in consultation and for classic cases.

How well did you know this?
1
Not at all
2
3
4
5
Perfectly
14
Q

Major adverse effect of isoniazid

A

Hepatotoxicity
If serum transaminases are >5x the upper limit of normal or if serum bilirubin is >3 mg/dL, stop anti-TB medications

How well did you know this?
1
Not at all
2
3
4
5
Perfectly
15
Q

A portion of patients treated for TB worsen after the initiation of anti-TB medications. This effect is called

A

Paradoxical reaction
or immune reconstitution syndrome
More commonly seen in those with HIV infection, specifically with CD4 ≤50 cells/mm3
Hypercalcemia is a unique finding in paradoxical reactions.

How well did you know this?
1
Not at all
2
3
4
5
Perfectly
16
Q

Isoniazid

A

5 mg/kg PO (300 mg)
Hepatitis, peripheral neuropathy

17
Q

Rifampin

A

10 mg/kg PO (600 mg)
Hepatitis, thrombocytopenia

18
Q

Pyrazinamide

A

15-30 mg/kg (2 grams)
Hepatitis, arthralgia, hyperuricemia

19
Q

Ethambutol

A

15-20 mg/kg (1.6 grams)
Retrobulbar neuritis, peripheral neuropathy

20
Q

May cause exacerbation of porphyria

A

Rifapentine
*may also cause thrombocytopenia
*only for HIV-negative patients

21
Q

Used for patients who cannot tolerate rifampin

22
Q

Treatment of latent TB

A

Isoniazid for 9 months

23
Q

Strongest known risk factor for tuberculosis

A

HIV infection
- Once active tuberculosis develops, the risk of rapid progression and drug resistance is higher in the HIV patient
- Successful treatment with antiretroviral therapy lowerst he rate of tuberculsois and reduces the incidence of extrapulmonary involvement
- For these reasons, physicians considering a diagnosis of tuberculosis should obtain HIV testing to provide early diagnosis and therapy

24
Q

Remarks on MDR TB

A

These forms are highly infectious, with conversion rates approaching 50% in those exposed.

Treatment of MDR TB is challenging as INH provides the strongest bactericidal action, and RIF has important action against dormant bacilli.

25
XDR TB
Resistance to INH, RIF, any fluoroquinolone, and at least one injectable second-line medication
26
Miliary tuberculosis
1. Classic miliary tuberculosis shows diffuse nodules on radiographs **(1 to 3 mm)** in a patient with positive laboratory testing or by demonstration of mycobacteria in multiple organs. 2. Miliary disease during primary tuberculosis is generally **more rapid and severe**, often presenting with _multiorgan failure, shock, and ARDS._ ## Footnote diverticulosis: 5-10 mm , up to 20 mm aneurysms >5-10mm are more likely to rupture (SAH)
27
Remarks of tuberculous meningitis
1. Often are not accompanied by neck stiffness or irritation; *this is in contrast with findigns in other forms of bacterial meningitis*. 2. CSF: - lymphocytic pleocytosis - elevated protein *[100-500 mg/dL]* - increased opening pressures - CSF-to-*[serum glucose ratio]* of <0.5 3. Cranial CT may be normal in 30% of patients with mild CNS disease. 4. Tuberculous meningitis often seeds after a miliary infection 5. Adjunctive corticosteroids reduce complicatons.