20.1 Flashcards

(155 cards)

1
Q

20.1 Of the following, the maternal cardiac condition that represents the highest risk of mortality associated with pregnancy is

a. Bicuspid aortic valve with significantly dilated aortic root
b. Fontan circulation
c. HOCM
d. PDA

A

A - Modified WHO class 4

B - Modified WHO class 3 (4 if ANY complication)
C - Modified WHO class 2-3 (if severe AS - 4)
D - Modified WHO class 1

Class 4 = 40-100% risk of event

Source
https://academic.oup.com/eurheartj/article/39/34/3165/5078465

Table:
https://academic.oup.com/view-large/186437995

How well did you know this?
1
Not at all
2
3
4
5
Perfectly
2
Q

20.1 A 45-year-old man has poor oxygenation in the post anaesthesia care unit after a low anterior resection. His chest x-ray is below. The most likely diagnosis is

a) Left pneumothorax
b) Right pneumothorax
c) Left lower lobe collapse
d) Right lower lobe collapse
e) Normal XR

A

repeat

How well did you know this?
1
Not at all
2
3
4
5
Perfectly
3
Q

Complications from dural puncture and resultant intracranial hypotension do NOT include

a. Stroke
b. Encephalitis
c. Subdural haematoma
d. Cortical vein thrombosis

A

REPEAT
B

How well did you know this?
1
Not at all
2
3
4
5
Perfectly
4
Q

20.1 If group A Rh-ve cryoprecipitate is not available for use in an A Rh-ve patient, of the following your next best choice should be

a. AB Rh +
b. B Rh +
c. B Rh –
d. O Rh +
e. O Rh –

A

If no A, use AB Rh + cryo (Ie; no anti A or anti B)

Cryo incompatible can be given, but large volumes are high risk for DIC

https://litfl.com/cryoprecipitate/

How well did you know this?
1
Not at all
2
3
4
5
Perfectly
5
Q

20.1 A new antiemetic drug ‘X’ is being evaluated. The percentage of patients who suffered postoperative nausea and vomiting (PONV) after administration of either the drug ‘X’ or placebo is as follows: percentage of patients with PONV after drug X = 20%; percentage of patients with PONV after placebo = 25%. The number needed to treat (NNT) is

a. 5
b. 20
c. 22.5
d. 25
e. 45

A

B

RR = 0.25-0.2 = 0.05
NNT = 1/RR
= 20

How well did you know this?
1
Not at all
2
3
4
5
Perfectly
6
Q

20.1 The radial artery pressure trace shown below is from a patient who has an intra-aortic balloon pump in situ. The device has been switched to 1:2 augmentation to assess the timing. The trace shows an augmented beat followed by an un-augmented beat. With respect to the augmentation, the trace shows

a. Correct timing
b. Early inflation
c. Late inflation
d. Early deflation
e. Late deflation

A

D

How well did you know this?
1
Not at all
2
3
4
5
Perfectly
7
Q

20.1 IgE-related penicillin anaphylaxis crossover rate with cephazolin

a. 0.1%
b. 1%
c. 5%
d. 10%

A

1%

BJA ED

How well did you know this?
1
Not at all
2
3
4
5
Perfectly
8
Q

20.1 Abuse of nitrous oxide may lead to

a. Anaemia due to decreased erythropoietin
b. Anaemia due to glutathione deficiency
c. Neurological damage due to methionine deficit
d. Pulmonary HTN

A

C

Methionine Synthetase Inhibitor

How well did you know this?
1
Not at all
2
3
4
5
Perfectly
9
Q

20.1 Hepcidin production decreased due to

a) Infection
b) Inflammation
c) Acute leukaemia
d) Anaemia
e) Excess iron stores

A

REPEAT

Anaemia

nfection, inflammatory disease, malignancy & iron
overload all PROMOTE hepcidin production.

Hepcidin reduces iron absorption - therefore it is reduced in IDA

How well did you know this?
1
Not at all
2
3
4
5
Perfectly
10
Q

20.1 Hypertension is LEAST reduced by which of the following lifestyle modifications

a. Reduced salt intake
b. Increased physical exercise
c. Increased potassium intake
d. Decreased alcohol intake
e. Decreased caffeine intake

A

REPEAT

E

How well did you know this?
1
Not at all
2
3
4
5
Perfectly
11
Q

20.1 A patient has prolonged surgery with a laryngeal mask airway. The following day she reports a problem with her tongue. You examine her and see the following when she protrudes her tongue. The most likely cause of the abnormality is (facial picture shown)

a. Left hypoglossal nerve
b. Left glossopharyngeal
c. Right hypoglossal
d. Right glossopharyngeal
e. Right recurrent laryngeal

A

C

Ipsilateral deviation

https://www.ncbi.nlm.nih.gov/pmc/articles/PMC4308816/

How well did you know this?
1
Not at all
2
3
4
5
Perfectly
12
Q

20.1 Patient on chronic daily oral hydromorphone 12mg, what is an appropriate daily parenteral morphine dose

a. 5
b. 10
c. 15
d. 20
e. 25mg

A

20mg

12mg PO hydromorphone = 60mg PO morphine
(Factor of 5)

PO - IV Morphine = factor of 3

FPM App

How well did you know this?
1
Not at all
2
3
4
5
Perfectly
13
Q

20.1 Patient with Fontan circulation and peritonism having induction for laparotomy. Drops sats on induction. Best move?

a. Decrease volatile
b. Reverse Trendelenberg
c. Decrease FiO2
d. Increase PEEP
e. Increase tidal volume

A 22-year-old man with a Fontan circulation is on your emergency list for an appendicectomy. He has had abdominal pain and vomiting for 3 days, and has a peritonitic abdomen. His preoperative arterial oxygen saturation is 95%. Shortly after induction he becomes hypotensive BP 80/45, and saturations fall to 75%. His condition is most likely to be improved by:

A. Increasing the inspiratory time.
B. Decreasing the ventilator tidal volumes.
C. Adding positive end-expiratory pressure (PEEP).
D. Positioning reverse trendelenberg.

A

A

Couldn’t find a clear source but we know;

A - will decrease venoplegia and improve venous return
B - Would not help, decrease VR
C - Don’t drop FiO2 when desatting…
D - increases PVR (unless below FRC) and reduces pulmonary flow
E - Same as above, increased PVR and reduces flow through pulmonary circuit

B. Decreasing the ventilator tidal volumes.

Patients who have undergone the Fontan procedure depend on blood flow through the pulmonary circulation without the assistance of the right ventricle. The difference between central venous pressure and systemic ventricular end-diastolic pressure (termed the “transpulmonary gradient”) is the primary force promoting pulmonary blood flow and, more importantly, cardiac output.

Circulation in the Fontan patient is promoted by low pulmonary vascular resistance. Positive-pressure ventilation with increased tidal volumes, as described above, can result in excessive intrathoracic pressures, leading to decreased venous return to the heart and increased pulmonary vascular resistance.
In periods of low oxygen saturation, 100% inspiratory oxygen is appropriate.
The addition of PEEP will increase intrathoracic pressure, reducing venous return.
Trendelenberg positioning would increase CVP and therefore bloodflow through pulmonary circulation.

How well did you know this?
1
Not at all
2
3
4
5
Perfectly
14
Q

20.1 he relatively slower onset of action of bupivacaine with adrenaline in brachial plexus anaesthesia compared to other local anaesthetics relates to

a. Adrenaline used in preparation
b. Higher pH
c. Higher pKa
d. Highly protein bound
e. Less lipophilic

A

REPEAT

Onset = pKa
Duration = Lipophilicity
Offset = protein binding

How well did you know this?
1
Not at all
2
3
4
5
Perfectly
15
Q

20.1 In a Blalock–Taussig shunt, blood passes to the pulmonary artery via the

a. Aorta
b. Subclavian artery
c. IVC
d. SVC
e. Left atrium

A

B

How well did you know this?
1
Not at all
2
3
4
5
Perfectly
16
Q

20.1 The Brain Trauma Foundation guideline for management of severe head trauma recommend the treatment of intracranial pressures greater than

a. 5mmHg
b. 10
c. 15
d. 22
e. 25

A

22

How well did you know this?
1
Not at all
2
3
4
5
Perfectly
17
Q

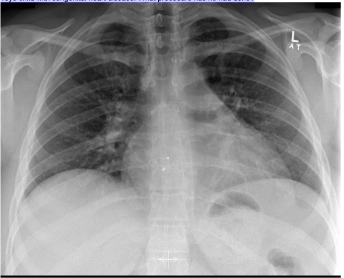
20.1 A 15-year-old boy undergoes a cardiac procedure for congenital heart disease. The intrathoracic device is a(n) (chest X-Ray shown)

a) AV repair
b) PV repair
c) ASD closure device
d) Parachute device
e) Right atrial appendage closure
device

A

c) ASD closure device
Amplatzer Device

How well did you know this?
1
Not at all
2
3
4
5
Perfectly
18
Q

20.1 Benztropine ameliorates the side effects of drugs that antagonise

b. Cholinergic muscarinic receptors
c. Cholinergic nicotinic receptors
d. Dopamine receptors
e. Serotonin 2A receptors

A

REPEAT

D

How well did you know this?
1
Not at all
2
3
4
5
Perfectly
19
Q

20.1 What is the abnormality in this CXR?

a. Pneumonectomy
b. Pleural effusion
c. Pneumonia
d. Unilateral pulmonary oedema

A

c. Pneumonia

Complete white-out of left lung with air bronchogram sign consistent with total consolidation. Patchy areas of ground glass opacities in right lung. There is silhouetting of the left heart border and left hemi-diaphragm. There is no rib crowding to suggest atelectasis.

Complete white-out of the hemithorax with air bronchograms and trachea in a central position is consistent with consolidation secondary to pneumonia. The patient is on linezolid, micafungin, and piperacillin-tazobactam pending culture and susceptibility studies.

Differential diagnosis of hemithorax white-out with a midline trachea include:
- consolidation
- pulmonary edema/ARDS
- pleural mass
- chest wall mass

How well did you know this?
1
Not at all
2
3
4
5
Perfectly
20
Q

20.1 Patient presents with hemisensory loss and right homonymous hemianopia. Which vessel is affected?

a. Anterior communicating artery
b. Posterior cerebral artery
c. Posterior inferior cerebellar artery
d. Vertebral artery
e. Basilar artery

A

REPEAT

PCA Contralateral

How well did you know this?
1
Not at all
2
3
4
5
Perfectly
21
Q

20.1 What is the arrow pointing to?

a. Ilioinguinal
b. Iliohypogastric
c. Genitofemoral
d. Lateral cutaneous nerve of thigh
e. Obturator

A

e. Obturator

How well did you know this?
1
Not at all
2
3
4
5
Perfectly
22
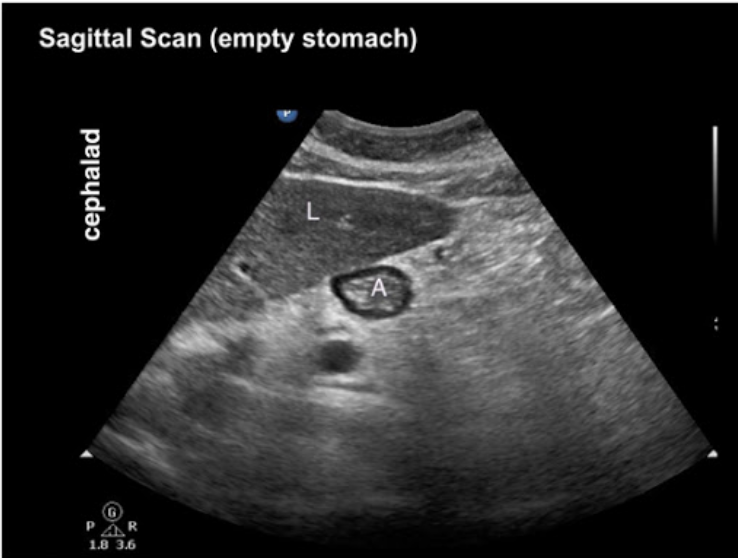
Q

20.1 The structure labelled A shows

a. Empty stomach
b. Clear fluids
c. Solids, early stage
d. Solids, late stage

A

a. Empty stomach

How well did you know this?
1
Not at all
2
3
4
5
Perfectly
23
Q

20.1
a. Left anterior hemiblock
b. Left posterior hemiblock
c. RBBB
d. LBBB

A

FHB

How well did you know this?
1
Not at all
2
3
4
5
Perfectly
24
Q

20.1 The concept of response surface modelling in anaesthesia refers to:

a. The combined effect of two drugs at varying doses on a given response
b. Probability of something
c. Effect of one drug on something
d. Overlap of something

A

None of those?

Mathematical model for plotting responses to 2 varying drugs when used in conjunction (Ie opioid and propofol)

How well did you know this?
1
Not at all
2
3
4
5
Perfectly
25
20.1 a. Arndt blocker b. Cohen blocker c. Microlaryngeal tube d. Husaker tuber e. Parker Flex-tip tube
B
26
20.1 To reduce the risk of ?re-bleed, Neuroradiology society recommend:(uncertain source of this question) a. Coiling <24hrs b. Coiling >24hrs c. Clipping <24hrs d. Clipping >24hrs
A or D International subarachnoid aneurysm trial (ISAT) of neurosurgical clipping versus endovascular coiling in 2143 patients with ruptured intracranial aneurysms: a randomised comparison of effects on survival, dependency, seizures, rebleeding, subgroups, and aneurysm occlusion Findings: In patients with ruptured intracranial aneurysms suitable for both treatments, endovascular coiling is more likely to result in independent survival at 1 year than neurosurgical clipping; the survival benefit continues for at least 7 years. The risk of late rebleeding is low, but is more common after endovascular coiling than after neurosurgical clipping.
27
20.1 The threshold plasma fibrinogen level at which you should start replacement during postpartum haemorrhage is a. 1.0 b. 1.5 c. 2.0 d. 2.5 e. 3.0
Repeat. C https://ranzcog.edu.au/wp-content/uploads/2022/05/Prevention-and-Management-of-Postpartum-Haemorrhage.pdf
28
20.1 A patient has foam sclerotherapy to treat a number of varicose veins. Following the procedure she stands, immediately loses consciousness and develops a unilateral limb weakness. The most likely mechanism is a. Anaphylaxis b. Intracranial bleed c. Paradoxical gas embolus d. Thromboembolic stroke
C Although liquid-injection sclerotherapy is the criterion standard, foam sclerotherapy is becoming a popular alternative because of its efficacy and success rate.1 A potential complication of foam sclerotherapy is the formation of gas microemboli in the brain, which can lead to neurologic deficits. https://www.degruyter.com/document/doi/10.7556/jaoa.2016.063/html?lang=en
29
20.1 Of the following agents, haemodialysis is most effective in clearing (list of anticoagulant drugs given) a. Warfarin b. Clopidogrel c. Apixaban d. Dabigatran e. Rivaroxaban
Dabigatran definitely, almost entirely renal clearance Warfarin no Rivaroxaban no Clopidogrel yes (renal excretion) Apixaban yes
30
20.1 The function of the bottle labelled D in the diagram is to protect against the consequences of a. Loss of vacuum b. Kinking ICC c. Overflow of first bottle d. High negative pressure
REPEAT A
31
20.1 The coagulopathy that can result from intrahepatic cholestasis of pregnancy is due to a. 2, 7, 9, 10 b. All clotting factors c. Thrombocytopenia d. Platelets dysfunction
REPEAT A
32
20.1 Compared to a normothermic patient, a patient with mild intraoperative hypothermia (35.0o C) will have a. increased bleeding and normal aptt and inr b. Increased bleeding and decreased inr c. Increased bleeding and decreased aptt d. Decreased bleeding
A Bleeding because cold = we know this Haemtology analyzer in labs warms blood to 37.2 degrees (fixes hypothermia on sample)
33
20.1 Laryngoscope handle cleaning if not visibly soiled a. Chlorhex b. Wipe with cleaning detergent and cloth c. No need d. Send to CSSD
REPEAT B
34
20.1 A patient has bipolar disorder and is on long term lithium therapy. An analgesic which should be avoided is
Avoid NSAIDs AMH ○ Avoid lithium or use it carefully in situations where its renal clearance may be decreased, eg with NSAIDs
35
20.1 In planning the induction of anaesthesia in a morbidly obese patient, the total body weight should be used to calculate the dose of
a) Suxamethonium
36
20.1 A 30 kg ten-year-old boy has a displaced distal forearm fracture that requires manipulation and plaster. The volume of 0.5% lidocaine that should be used for intravenous regional anaesthesia (Bier’s block) is a. 6ml b. 12ml c. 18ml d. 30ml e. 40ml
a) 18ml https://www.rch.org.au/clinicalguide/guideline_index/Bier_block/ Recommend using 3mg/kg and diluting 1% down to 0.5% lignocaine So: 30kg x 3mg/kg = 90mg 90mg / 5mg/ml = 18ml
37
20.1 Cardiovascular effects of hyperthyroidism include a) decreased diastolic relaxation b) decreased SVR c) decreased PVR d) increased diastolic BP
Decreased SVR - increased CO, increased SBP and decreased DBP with widened PP Up to Date Cardiovascular - Patients with hyperthyroidism have an increase in cardiac output, due both to increased peripheral oxygen needs and increased cardiac contractility. Heart rate is increased, pulse pressure is widened, and peripheral vascular resistance is decreased
38
20.1 During a tracheostomy, what vessel is most at risk beneath tracheostomy and above sternal notch? a) Brachiocephalic artery b) Brachicephalic Vein c) Superior thyroid artery d) Inferior thyroid artery e) Carotid artery
brachiocephalic artery BJA: Emergency FONA in airway management "Major vessels, most commonly the brachiocephalic artery, traverse the anterior tracheal wall in up to 53% patients at the suprasternal notch."
39
20.1 This type of tracheal tube is best described as a (picture of airway device shown) a) Laryngectomy tube b) South facing RAE c) Laser tube d) Mini tracheostomy tube e) Fenestrated tracheostomy tube
laryngectomy tube Rusch Larygoflex Reinforced Laryngectomy tube -
40
20.1 You are asked to review a patient two days after a difficult total knee replacement, which was undertaken under tourniquet with spinal anaesthesia in combination with an ultrasound- guided adductor canal block and high volume local anaesthetic infiltration by the surgeon. The patient complains of a new onset of leg weakness on the operative side. The nerve LEAST likely to be involved in this weakness is the a) Common peroneal b) Deep peroneal c) Sciatic d) Femoral e) Saphenous
Saphenous nerve It is a purely sensory nerve - rapid onset more suggestive or direct injury to nerve, later onset suggestive of ischaemia relating to oedema - mulscular injury related to tourniquet results in swelling/pain/weakness of affected muscle - post tourniquet syndrome - swollen, pale, stiff, weakness but not paralysis - L5 radiculopathy would affect knee flexion, but would have presented immediately post op if spinal related
41
20.1 Methylene blue can be used in treatment of all except? a) Priapism b) Methaemoglobinaemia c) Hepatopulmonary Syndrome d) G6PD deficiency
repeat
42
20.1 Nitrous oxide chronic use complications:
Chornic neurological symptoms from methionine depletion
43
20.1 A patient with a history of hereditary angio-oedema requires an appendectomy for acute appendicitis. The most effective therapy for the prevention of an acute attack in the perioperative period is a) FFP b) Icatibant c) Hydrocortisone d) Danazole
Icatibant BJA HAE
44
20.1 Techniques to improve the speed of onset and spread of a peribulbar block include all of the following EXCEPT a) Honan Balloon b) Digital Pressure c) Hyalase d) Ocular massage
repeat
45
20.1According to the ANZCA PS 50 "Recommendation on Practice Re-entry for a Specialist Anaesthetist" it is recommended that after an absence of more than 12 month from practicing clinical anaesthesia a re-entry program should be offered. The duration of the program for every year of absence would usually be at least A) 2 weeks per year off B) 3 weeks per year off C) 4 weeks per year off D) 6 weeks per year off E) 8 weeks per year off
c) 4 weeks ANZCA PS
46
20.1 A 75-year-old man has this right heart catheter trace as part of his investigation of dyspnoea. His pulmonary capillary wedge pressure is 24mmHg. The most likely diagnosis is (pressure trace shown) Right heart cath: PA pressure 75/26, CWP24 a) LV failure b) Pulmonary Arterial Hypertension c) Pulmonary embolus d) Emphysema E) aortic stenosis
Left heart failure (pulmonary htn with raised Left sided pressure (PCWP 24mmHg) PCWP >15mmHg. Therefore post-capillary or combined pre-and post-capillary PH = Left heart failure (clinical group 2) Other Options are clinical groups 1,3,4 of PH and therefore not correct (as characteristic is PAWP<15mmHg).
47
20.1 Sublingual (intralingual) sux 15kg kid what dose: a) 20mg b) 40mg c) 50mg d) 60mg e) 15mg ? 30mg as other option
30 (2 mg/kg) CEACCP Laryngospasm in anaesthesia (2014) https://academic.oup.com/bjaed/article/14/2/47/271333 Intravenous (IV): - 0.1-2 mg/kg - lower doses used to break laryngospasm, but keep patient spont vent Intramuscular (IM): - 4 mg/kg (max 200 mg) - break laryngospasm: 45-60 seconds - full paralysis: 3-4 minutes Intralingual (IL): - 2 mg/kg - an IM injection into body of tongue - full relaxation after 75 seconds Intraosseous (IO): - 1 mg/kg - onset 35 seconds
48
20.1 A 55-year-old lady scheduled for a transphenoidal hypophysectomy undergoes an oral glucose tolerance test with the following results: GH normal <10 Time 0, BSL 5.5, GH 30, IGF-1 790 (elevated) Time 30, BSL 7.6, GH 24 Time 60, BSL 7.2, GH 28 Time 90, BSL 6.5, GH 26 Time 120, BSL 5.8, GH 29 These results are most consistent with a diagnosis of A. Prolactinoma B. Acromegaly C. Cushing's D. MEN 2 E. Normal
Acromegaly IGF-2 is consistently elevated GH should be suppressed by glucose load in healthy pt. The continued elevation of GH despite glucose is suggestive of acromegaly
49
20.1 A 64-year-old man presenting for elective surgery is on thyroxine 100 mcg daily. His thyroid function tests are: (Thyroid function tests shown). These results are most consistent with TFTs thryoxine TSH < .05 T4 and T3 completely normal a) Hypophysectomy b) Subclinical Hyperthyoirdism c) Sick euthyroid d) Toxic Multinodular goitre
Subclinical hypothyroidism: high TSH, normal T3 + T4 Clinical hypothyroidism: high TSH, low/normal T3, i T4 Amiodarone: high/normal TSH, low T3 (2o to inhibition of pituitary T4 to T3 conversion) Sick euthyroid: low TSH, low T3 Hypophysectomy (central hypothyroidism): low/normal TSH/T3/T4 Subclinical hyperthyroidism: low TSH, normal T3 + T4 Clinical hyperthyroidism: low TSH, high T3, high/normal T4 Compliant on thyroxine: normal TSH, high/normal T3, low T4 Non-compliant w thyroxine (pt taking several tabs prior to Dr’s appointment): high TSH, normal T4
50
20.1 In the treatment of diabetic ketoacidosis, the most important initial therapeutic intervention is to a) Electrolyte correction b) Insulin c) IV hydration d) Bicarbonate
IV hydration Fluid first (hartmanns or saline w k+) then insulin BJA Developments in the management of diabetic ketoacidosis 2015 Diabetic ketoacidosis (DKA) is a medical emergency and bedside capillary ketone testing allows timely diagnosis and identification of successful treatment. >0.9% saline with premixed potassium chloride should be the main resuscitation fluid on the general wards and in theatre; this is because it complies with National Patient Safety Agency recommendations on the administration of potassium chloride. >Weight-based fixed rate i.v. insulin infusion (FRIII) is now recommended rather than a variable rate i.v. insulin infusion (VRIII). >The blood glucose must be kept above 14 mmol litre−1 with the FRIII. >Precipitating factor(s) needs to be identified and treated. Surgery and also critical care may be indicated to manage the patient presenting with DKA.
51
20.1 You are asked to review a previously well 48-year-old woman two hours after hysteroscopic myomectomy and endometrial ablation under general anaesthesia. Her observations are: Heart rate 70 /minute, blood pressure 130/80 mmHg, SpO2 98% on 2 litres per minute of oxygen via nasal prongs. She is drowsy but rousable, oriented to person but not to time and place. Her electrolytes show: (List of electrolytes given) The most appropriate treatment is Na 118, K 3.0, Cr 56, Ur normal. What is your management? A. 500ml 0.9% NaCl B. 3% NaCl 100ml C. 10mmol KCl D. Fluid restriction
a) 3% saline 100ml 100ml bolus of 3% saline (should raise serum Na by 2-3 meq/L). If no improvement in neurological symptoms, can repeat bolus 1-2 more times at 10 minute intervals. Frusemide only recommended if APO
52
20.1Of the following, the LEAST appropriate treatment in the management of severe acute respiratory distress syndrome (ARDS) is a) High PEEP b) Recruitment maneuvers c) Neuromuscular blockade d) Prone e) Negative fluid balance
Muscle relaxation or Recruitment maneuvers A, D and E are all appropriate for ARDS. Muscle relaxation and lung recruitment are controversial. Best answer is probably A muscle relaxation (not recommended unless there is dyssynchrony). Recruitment and higher PEEP are conditional. UP TO DATE: RE: Muscule relaxation: " Until a clear benefit is demonstrated, we suggest not routinely administering NMBs to patients with moderate to severe ARDS, unless other indications are present (eg, severe ventilator dyssynchrony, particularly if it leads to double triggering, or unwanted motor movement refractory to ventilator adjustment and sedation). " Recruitment manoeuvres – no positive influence on survival. https://derangedphysiology.com/main/required-reading/respiratory-medicine-and-ventilation/Chapter%20512/ventilation-strategies-ards Does this strategy improve survival? Probably not, according to this Cochrane review. In fact, in the ART trial (Cavalcanti et al, 2017) they probably caused harm. But, they can improve oxygenation temporarily. One can see the benefit of recruitment manoeuvres in patients who have accidentally become disconnected from the ventilator. The 2017 ATS guidelines were published in May of 20117, whereas the ART trial came out in September that year, and so the ATS guidelines still recommend recruitment manoeuvres whereas the rest of the world probably does not. In fact, in their answer to Question 8 from the first paper of 2018 the college remarked that if any trainee who confesses to the routine use of recruitment manouvres, "they were should be marked down" by the examiners.
53
20.1 The muscle or muscle group with the greatest resistance to the action of non-depolarising neuromuscular blocking agents is the a) Diaphragm b) Abdominal muscles c) Obicularis Oculi d) Adductor pollicis e) Laryngeal muscles
repeat a) Diaphragm
54
20.1 Following uneventful sinus surgery, a 40-year-old, otherwise healthy male taking no medications, wakes up with confusion, agitation, headache and photophobia. The anaesthetist provided induced hypotension with a 40 % reduction in mean arterial pressure intraoperatively. It is suspected that there has been a period of cerebral ischaemia. Over 24 hours the patient makes a full recovery. The best description of this episode is: a) Near miss b) Adverse event c) Sentinel event d) Malfeasance e) Misconduct
C) Adverse event—a clinical incident in which unintended or unneccessary harm resulted. Sentinel event: Sentinel events are a subset of adverse patient safety events that are wholly preventable and result in serious harm to, or the death of, a patient Adverse event—a clinical incident in which unintended or unneccessary harm resulted. Harm—impairment of structure or function of the body and/or any deleterious effects arising there from. Harm includes disease, injury, suffering, psychological harm, disability and death.* Near miss: an incident or potential incident that was averted and did not cause harm, but had the potential to do so. Near miss = an act that could have caused harm but was avoided Sentinel event = serious permanent harm (there are 12 listed) Adverse event = preventable event that did result in harm Malfeasance = less clear, more lawyer talk, but caused harm Misconduct = deliberate wrongful act
55
20.1 What lesion stroke right homonymous hemianopia and right hemisensory loss a) Posterior Cerebral b) Superior cerebellar c) Inferior cerebellar
PCA repeat
56
20.1 ECG with infarct what territory a) PDA b) Obtuse marginal c) LAD d) RCA e) Left circumflex
RCA Source: LITFL RCA occlusion is suggested by: ST elevation in lead III > lead II Presence of reciprocal ST depression in lead I Signs of right ventricular infarction: STE in V1 and V4R
57
20.1 What order to you remove your PPE? a) Gloves, gown, goggles, mask, wash hands b) Gloves, gown, wash hands, goggle, mask c) Gown, goggles, mask, glove, wash hands d) Goggles, mask, gown, glove, wash hands
Gown and gloves, hand hygiene, eye protection, mask. CDC
58
20.1 The risk of major bleeding in patients taking non-vitamin K oral anticoagulants (NOACs) is significantly increased by commencing administration of a) Diltiazem b) Clarithromycin c) Atorvastatin e) Fluconazole
Among patients taking NOACs for nonvalvular atrial fibrillation, concurrent use of amiodarone, fluconazole, rifampin, and phenytoin compared with the use of NOACs alone, was associated with increased risk of major bleeding JAMA 2017 ACC/AHA
59
20.1 The substance that should be avoided in a patient with history of anaphylaxis to MMR vaccine is a) Protamine b) Penicillin c) Sulphonamides d) Gelofusine
gelofusin Anaphylaxis after vaccination is probably due to anaphylactic sensitivity to gelatin or neomycin, not an egg allergy
60
20.1 In patients with IgE-mediated allergy to penicillin, the rate of anaphylaxis to cefazolin is estimated to be a) 1% b) 2% c) 5% d) 10% e) 20%
1% the overall cross-reactivity rate is approximately 1% when using first-generation cephalosporins or cephalosporins with similar R1 side chains." J Emerg Med. 2012 May;42(5):612-20. doi: 10.1016/j.jemermed.2011.05.035.Epub 2011 Jul 13.
61
20.1 Best resolution US probe for median nerve visualisation: d) 5-10mHz e) 6-13mHz
High frequency probe at 90 degrees to the skin - to best visualise superficial structures have the probe at 90 degrees to the skin with a high frequency transducer it is best to use high-frequency transducers (up to 10–15 MHz range) to image superficial structures (such as for stellate ganglion blocks) and low-frequency transducers (typically 2–5 MHz) for imaging the lumbar neuraxial structures that are deep in most adults.
62
20.1 A 22-year-old patient is scheduled for resection of a large extra-adrenal paraganglionoma. The tumour is secreting metanephrine. The most likely therapy to be commenced at the preassessment clinic prior to surgery is a) Prazocin b) Phentolamine c) Magnesium d) Phenoxybenzamine e) Ca channel blocker
Phenoxybenzamine UpToDate Phenoxybenzamine​ is the preferred drug for preoperative preparation to control blood pressure and arrhythmia in most centers in the United States. It is an irreversible, long-acting, nonspecific alpha-adrenergic blocking agent. With their more favorable side-effect profiles and lower financial cost, selective alpha-1-adrenergic blocking agents (eg, ​prazosin​, t​ erazosin​, or d​ oxazosin​) are utilized in many centers or are preferred to ​phenoxybenzamine​ when long-term pharmacologic treatment is indicated (eg, for metastatic pheochromocytoma).
63
20.1 Differential hypoxia is seen during what? a) Ecco2 device b) VV ecmo c) VA ecmo d) Haemodialysis e) Peritoneal Dialysis
VV ecmo VA - bleeding (large bore arterial puncture)
64
20.1 You are resuscitating a 60 kg man in cardiac arrest secondary to severe hyperkalaemia. You decide to give intravenous sodium bicarbonate. Australian and New Zealand resuscitation guidelines state the initial dose of 8.4% sodium bicarbonate should be
a) 60mls
65
20.1 Perioperative hypothermia down to 35degrees - effect on bleeding: a) More bleeding with normal INR and APTT b) More bleeding with normal INR and raised APTT c) More bleeding with raised INR and normal APTT d) Unchanged bleeding and normal INR and APTT e) Unchanged bleeding and elevated INR and APTT
More bleeding with normal INR and APPT https://academic.oup.com/bja/article/117/suppl_3/iii18/2664400 Bleeding observed at reduced temperatures (33 – 37 °C) often occurs because of defects in platelet adhesion, while at temperatures below 33 °C, both reduced platelet function and coagulation enzyme activity contribute Also lab INR and APTT are not temperature corrected
66
20.1 In a patient with known COPD, which of the following post bronchodilator spirometry results is consistent with a GOLD 3 classification? (Global initiative for chronic Obstructive Lung Disease) a) FEV1 83% b) FEV1 57% c) FEV1 43% d) FEV1 27% e) FEV1 19%
c) FEV1 43%
67
20.1 RFTS: Normal ratio, low FVC, low FEV1, Normal DLCO: a) Sarcoid b) Myasthenia Gravis c) Asthma d) Emphysema
b) Myasthenia Gravis
68
20.1 You are urgently called to assist a colleague in a neighbouring theatre who has been having difficulty with intubation of a large adult male. They have managed to pass a double lumen tube airway exchange catheter. If the tip of the catheter is at the level of the carina, the approximate length outside of the mouth will be a.31 cm b.40 cm c.45 cm d.58 cm e.75 cm
Answer : e. 75cm DLT exchange catheter is 100cm long (AEC, extra firm with soft tip) Mouth to carina ~28cm Outside of mouth ~72cm Aintree Catheter 56cm outside of mouth 31cm
69
20.1 NAP 5 incidence of awareness with GA LSCS: A) 1:700 B) 1:4,000 C) 1:8,000 D) 1:16,000 E) 1:32,000
repeat Answer: a) 1:700 NAP5 Summary The incidence of reports of AAGA after general anaesthetic Caesarean section was much higher, ~1:670.
70
20.1 a) Gas trapping b) Patient triggering c) COPD d) Circuit leak
c) gas trapping Specific features of increased airway resistance seen here are: High peak airway pressure, but a normal plateau pressure Slow return of the flow-time curve to baseline The flow-time curve does not reach baseline (indicating that emptying is incomplete)
71
20.1 A patient with RA has been on 5mg of prednisone long term and is coming in for a joint replacement what is the appropriate management of their steroids? a) 5mg oral pred b) 10mg oral pred c) No steroids d) 50mg hydrocortisone IV e) 100mg hydrocortisone IV
e) 100mg hydrocortisone IV > note: alternatively, 6-8mg dexamethasone IV would suffice
72
20.1 Perioperative overheating is most likely to cause worsening of symptoms of A) Duchenne Muscular dystrophy B) Myasthenia gravis C) Multiple sclerosis D) Myotonica dystrophia E) Eaton Lambert syndrome
Answer: c) MS CEACCP 2012 Neuromuscular disorders and anaesthesia. Part 2: specific neuromuscular disorders Multiple sclerosis This is the most frequently occurring demyelinating neuromuscular disorder. It is a chronic relapsing condition characterized by the formation of plaques within the brain and spinal cord. These plaques cause demyelination around the axons, resulting in weakness and spasticity as well as sensory dysfunction. Anaesthetic considerations. Local anaesthetics may exacerbate symptoms due to the increased sensitivity of demyelinated axons to local anaesthetic toxicity. Non-depolarizing neuromuscular blocking agents may be used in normal doses. Caution should be exercised when using depolar- izing neuromuscular blocking agents if the patient is debilitated. Temperature maintenance is important as symptoms can deteriorate with an increase in temperature, as demyelinated axons are also more sensitive to heat. BJA: Perioperative management of myasthenia gravis (2021 - written after this MCQ): Several factors, many associated with surgery and anaesthesia, may exacerbate myasthenia or lead to a myasthenic crisis, a life-threatening condition in which severe respiratory muscle insufficiency leads to respiratory failure. Crises are most commonly precipitated by infection. Other precipitants include surgery, residual neuromuscular block, pain, many drugs, hypo- and hyperthermia, reduction or withdrawal of treatment, pregnancy, stress and sleep deprivation.
73
20.1 70 year old patient for revision THR, in clinic 10 days prior Hb 110 Ferritin 51 CRP 10 What should you do? a Transfuse 2u pRBC b Give oral iron therapy and continue with surgery c Give oral iron therapy and defer surgery for 6 weeks d Give IV iron e Do nothing
c Oral iron and defer - most assume its IV iron and proceed but - Assuming IDA and raised CRP then iron therapy but 'deferable' surgery? then oral and come again in 6 weeks if not deferrable then IV iron - surely a revision THR is deferable??
74
20.1 According to the Australian and New Zealand Resuscitation Guidelines the immediate treatment for an adult conscious victim with a severe airway obstruction due to a foreign body inhalation is a) a single back blow b) two back blow c) up to 5 blows to back, then up to 5 chest thrusts d) up to 5 chest thrusts e) sweep mouth
c) 5 back, 5 chest 4.1 Assess Severity The simplest way to assess severity of a FBAO is to assess for effective cough. 4.2 Effective Cough (Mild Airway Obstruction) The person with an effective cough should be given reassurance and encouragement to keep coughing to expel the foreign material. If the obstruction is not relieved the rescuer should call an ambulance. 4.3 Ineffective Cough (Severe Airway Obstruction) Conscious person If the person is conscious send for an ambulance and perform up to five sharp, back blows with the heel of one hand in the middle of the back between the shoulder blades. Check to see if each back blow has relieved the airway obstruction. The aim is to relieve the obstruction with each blow rather than to give all five blows. An infant may be placed in a head downwards position prior to delivering back blows, i.e. across the rescuer’s lap [Class B; LOE IV].1,2 If back blows are unsuccessful the rescuer should perform up to five chest thrusts. To perform chest thrusts, identify the same compression point as for CPR and give up to five chest thrusts. These are similar to chest compressions but sharper and delivered at a slower rate. The infant should be placed in a head downwards and on their back across the rescuer’s thigh, while children and adults may be treated in the sitting or standing position [Class B; LOE IV].1,2 With each chest thrust, check to see whether the airway obstruction has been relieved. The aim is to relieve the obstruction rather than deliver all five chest thrusts. If the obstruction is still not relieved and the person remains responsive, continue alternating five back blows with five chest thrusts. Unconscious person If the person becomes unresponsive a finger sweep can be used if solid material is visible in the airway.1,2 [Class A; LOE IV] Call an ambulance and start CPR.
75
20.1 What is the level below which we need to replace fibrinogen in a pregnant patient with a PPH A. <1 g/L B. <1.5 g/L C. <2 g/L D. <2.5 g/L E. <3 g/L
<2g/L
76
20.1 A 55-year-old man with no past history of ischaemic heart disease is 3 days post total hip replacement surgery. He has an episode of chest pain that sounds ischaemic, began at rest and lasts thirty minutes before resolving fully. There are no ECG changes. 6 hours later there is a troponin rise above the 99th percentile upper reference limit. The diagnosis is A. STEMI B. NSTEMI C. Myocardial injury for non cardiac surgery (MINS) D. No diagnosis E. Unstable angina
B. NSTEMI https://resources.wfsahq.org/atotw/perioperative-myocardial-ischaemia-in-non-cardiac-surgery/ MI is defined as myocardial cell death due to prolonged myocardial ischaemia. It is diagnosed by22 a rise of cardiac biomarker value above the 99th percentile limit with at least 1 of the following: 1. Symptoms of ischaemia, 2. New ST-segment T wave changes or new left bundle branch block, 3. New pathological Q waves, 4. Imaging evidence of new loss of viable myocardium or new regional wall motion abnormality 5. Identification of an intracoronary thrombus by angiography or autopsy OR: Cardiac death with symptoms suggestive of myocardial ischaemia. It is important to note that the above diagnostic criteria have not been created for the perioperative setting. An elevated troponin after noncardiac surgery, even without other features of ischaemia independently increases the risk of 30-day mortality.21 With this in mind, a new perioperative diagnosis has been created—myocardial injury after noncardiac surgery (MINS). MINS is diagnosed by a postoperative peak troponin T of 0.03 ng/mL or greater due to myocardial ischaemia.21 Although a diagnosis of MINS has prognostic significance, the clinical utility remains uncertain. MINS is defined as myocardial cell injury during the first 30 days after noncardiac surgery due to an ischemic etiology (ie, no evidence of a nonischemic etiology like sepsis, rapid atrial fibrillation, pulmonary embolism, cardioversion, chronically elevated troponin, etc) and is independently associated with mortality. MINS includes MI (both symptomatic and non-symptomatic) and patients with postoperative elevations in troponin but who do not have symptoms, electrocardiographic abnormalities, or other criteria that meet the universal definition described above, and have no evidence of a nonischemic etiology for their troponin elevation)
77
20.1 Patients with obstructive sleep apnoea undergoing surgery, have been shown to have an increased incidence of A) AMI B) Acute renal failure C) AF D) Perioperative mortality E) Unplanned admission after ambulatory surgery
A) AMI The association between OSA and perioperative mortality is unclear [19], with various studies showing increased [12,23] or comparable [14] mortality. While decreased mortality [7,18,43] has been reported in retrospective studies, this may be due to unrecognized or undiagnosed OSA in the control or non-OSA groups, and/or the possibility that patients with diagnosed OSA received monitoring and treatment of their OSA. SOBA 2015: Severe OSA occurs in 10–20% of patients with BMI > 35 kg.m2 and is often undiagnosed. Overall, a diagnosis of OSA is associated with a greater than doubling of the incidence of postoperative desaturation, respiratory failure, postoperative cardiac events and ICU admission [16]. The presence of multiple and prolonged oxygen desaturations increases the sensitivity to opioid-induced respiratory depression [17]. However, if identified pre-operatively and treated appropriately with continuous positive airway pressure (CPAP), the risk of complications is much reduced [18]. Obesity has no influence on the rate of unanticipated admission, postoperative complications, readmission or other unplanned contact with health professionals after home discharge.
78
20.1 Severe obstructive sleep apnoea in a 6-year-old child is confirmed if during polysomnography the apnoea/hypopnea index (AHI) is greater than or equal to a) >10 b) >15 c) >30 d) > 20 *
REPEAT
79
20.1 A patient with persistent pain on oral hydromorphone 12mg per day is admitted to hospital unable to tolerate oral intake. The equivalent parenteral morphine dose per day is: a) 12mg b) 20mg c) 40mg d) 60mg e) 80mg
b) 20mg hydromorphone PO: morphine PO = 1: 5 So 12mg x 5= 60mg Morphine PO Which to convert to PO morph: IV morph is 3:1, so 60mg/3 = 20mg of parenteral morphine IV hydromorphone: IV hydromorphone 1mg = 15mg PO Morphine = 5mg IV morphine. How to remember this: - hydromorphone PCA is a 200mcg (1ml) bolus; 20mg into 100mls for PCA; therefore 20mg IV hydromorphone = 100mg IV morphine (i.e. 300mg PO morphine) - vial in recovery for pain protocol also comes as 2mg (i.e. 10mg IV morphine equivalent)
80
20.1 Which drug not metabolised by CYP2D6? a) Oxycodone b) Tramadol c) Amitryptiline d) Codeine e) Hydromorphone
e) Hydromorphone
81
20.1 The catheter type most likely to be associated with bloodstream sepsis per days insertion is: a) Peripheral venous catheter b) PICC c) non-tunneled CVL d) tunneled CVL e) Peripheral arterial catheter
c) non-tunneled CVL UTD: In a systematic review that included 200 studies, the risk of catheter-related blood stream infection per 1000 catheter-days and varied by types of intravascular catheter were as follows [38]: ●Peripherally inserted central catheters (PICCs) – 1.1 (95% CI 0.9-1.3) ●Cuffed and tunneled central venous catheters – 1.6 (95% CI 1.5-1.7) ●Noncuffed central venous catheters *Nonmedicated and tunneled – 1.7 (95% CI 1.2-2.3) *Nonmedicated and nontunneled – 2.7 (95% CI 2.6-2.9) However, there was no adjustment for severity of illness. Therefore, a particular type of catheter could be associated with an increased risk of infection if it was preferentially used in more severely ill or vulnerable patients.
82
20.1 10 days post cardiac surgery most inappropriate to give in ALS: a) Atropine 3mg b) Adrenaline 1mg c) 1L crystalloid d) Amiodarone 300mg e) 3 stacked shocks
Repeat
83
20.1 ECG calibration, 10mm on Y axis is equal to: a. 0.2 sec b. 0.4sec c. 1sec d. 0.1mV e. 1mV
b) 1mV
84
20.1 A condition that is NOT associated with a raised baseline serum mast cell tryptase level is a) Chronic renal failure b) Alcoholic liver disease c) Chronic eosinophilic leukaemia d) Mastocystosis e) Acute myeloid leukaemia
b) Alcoholic liver disease A raised serum tryptase (hypertryptasemia) has numerous diagnostic uses. The main use is in the diagnosis of anaphylactic reactions; however, it does not distinguish between IgE-mediated versus non-IgE-mediated reactions. Tryptase is a serine protease primarily produced by MCs, and to a lesser extent by mature basophils and myeloid progenitors. (Eosinophils have myeloid progenitor) Elevated serum tryptase is an independent prognostic factor for progression to ESRF in patients treated with ACEi or ARB https://associationofanaesthetists-publications.onlinelibrary.wiley.com/doi/10.1111/j.1365-2044.2004.03757.x Systemic Anaphylaxis: levels peak at 15-120mins and with half life of 1.5-2.5hrs histamine levels peak at 5 mins and decrease to baseline within 15-30mins B-Tryptase testing can be performed on blood samples obtained 1-6hrs after onset Hihg tryptase concentration can be found 3 days after death from suspected anaphylaxis Other allergic conditions: Asthma In asthma, β-tryptase is usually overexpressed or released from mast cells prematurely. It causes a cascade of events such as airway inflammation and bronchoconstriction. A mutation of the β-tryptase gene causes the overexpression Sudden Infant Death Syndrome: Anaphylaxis has been suggested to be a cause of the sudden infant death syndrome (SIDS), although allergen sensitivity and mast cell activation have not been demonstrated. Elevated postmortem levels of β-tryptase in victims of SIDS have been reported. Amniotic Fluid Embolism: A case study of an autopsy-proven fatal case of amniotic fluid embolism reported a significantly elevated serum β-tryptase level, suggesting possible mast cell activation. However, there are other reported cases of amniotic fluid embolism diagnosed clinically whose tryptase levels were not elevated. Systemic Mastocytosis: Characterised by mast cell hyperplasia in bone marrow, skin, liver, spleen and gastrointestinal mucosa. A study of tryptase levels in patients with biopsy-proven mastocytosis reported concentrations of total tryptase > 20 ng.ml−1 and ratios of total tryptase to β-tryptase > 20, whereas normal patients had total tryptase levels < 14 ng.ml−1 MC activation Syndrome These heterogeneous conditions are often associated with biochemical evidence of MC activation, but total tryptase may be normal. Urticaria/Agioedema: Basal total serum tryptase tends to be higher in patients with chronic urticaria over atopic and non-atopic healthy controls, likely due to increased MC burden and/or greater release of tryptase per MC. Other studies have found tryptase ≥15 μg/L in 12% of patients with urticaria/angioedema without anaphylaxis Familial Hypertryptasaemia These patients have a baseline tryp­tase of >8 μg/L and commonly have complaints of arthralgias, gastroesophageal reflux disease, flushing, urticaria, hypermobility, postural orthostatic tachycardia syndrome, increased risk of anaphylaxis to stinging insects, and irritable bowel syndrome CKD and ESRF Tryptase may be raised in patients with chronic kidney disease (CKD), accounting for around 7% of all elevated tryptase samples in one laboratory’s retrospective review of elevated tryptases. It tends to be elevated with more severe CKD, correlating with other markers of CKD including creatinine and proteinuria Haematological conditions: Hypereosinophilic syndrome (HES) is a heterogeneous group of systemic diseases of unknown cause characterised by excessive eosinophils invading the heart, lungs, brain and nerves, causing organ damage Patients with HES and elevated serum tryptase levels were more likely to develop fibroproliferative end organ damage and had a shorter life expectancy. Myelodysplastic syndrome (MDS) is a large group of acquired neoplastic disorders of the bone marrow most common in the elderly and is caused by an abnormal differentiation and maturation of haemopoietic cells. Elevated levels of total tryptase (α-tryptase and β-tryptase) are found in a group of patients with MDS Parasitic infection MCs and tryptase play a significant role in parasitic infections [72], so it is of no surprise that serum tryptase can be elevated in these infections. Gausher's disease Rare genetic disorder caused by the deficiency of β-glucocerebrosidase, an enzyme for the catabolism of glucocerebroside, a component of cell membranes. A single case report exists of an 18-month-old boy who had an immediate hypersensitivity to imiglucerase enzyme replacement and an elevated baseline tryptase of 63.2 μg/L.
85
20.1 A change in respiratory physiology which occurs during pregnancy is DECREASED a) Oxygen consumption b) Diaphragmatic excursion c) Minute ventilation d) FEV1 e) ERV
e) ERV e) ERV - diaphragm displaced by gravid uterus = reduced ERV and RV = decreased FRC FRC decreases by approximately 20 percent during the latter half of pregnancy, due to a decrease in both ERV and residual volume Chest wall configuration — Outward flaring of the ribs, which begins early in pregnancy, and the progressively enlarging uterus raise the diaphragm up to 4 cm above its usual resting position [6]. However, diaphragmatic excursion during respiration is not impaired and actually increases by up to 2 cm.
86
20.1 The recommended cleaning protocol for a laryngoscope handle which has been used but which has no visible soiling is A. Alcohol wipes only B. Sterilisation in an autoclav C. Wipe with detergent and water D. No cleaning required E. Chlrohexidine and alcohol
Repeat
87
20.1 You are planning to perform an adductor canal block for a patient prior to a total knee arthroplasty. The principal advantage of this approach compared to a conventional femoral nerve block below the inguinal ligament is : a) less motor block to quads b) better analgesia c) lower dose of LA needed for same analgesia d) better block of infrapatellar nerve
a) less motor block to quads APMSE 5th edition: Other regional and local analgesic techniques "Adductor canal block results in similar postoperative pain outcomes following total knee arthroplasty versus femoral nerve block with less quadriceps weakness, earlier mobilisation and better functional recovery
88
20.1 The anti-emetic action of aprepitant is via receptors for A. Serotonin B. Neurokinin-A C. Dopamine D. Substance P E. Glycine
D. Substance P Development of aprepitant, the first neurokinin-1 receptor antagonist for the prevention of chemotherapy-induced nausea and vomiting (2011) https://www.ncbi.nlm.nih.gov/pubmed/21434941 Aprepitant acts centrally at NK-1 receptors in vomiting centres within the central nervous system to block their activation by substance P released as an unwanted consequence of chemotherapy.
89
20.1 A postpartum woman presents with numbness over the anterior thigh, and weakness on flexion of the hip and extension of the knee. An epidural was sited for labour and she underwent an instrumental delivery. The most likely site of the injury is the: a) Femoral nerve b) Lateral femoral cutaneous nerve c) Lumbosacral plexus d) Obturator nerve e) Sciatic nerve
a) Femoral nerve Nerve roots: L2-L4 Motor functions: Innervates the anterior thigh muscles that flex the hip joint (pectineus, iliacus, sartorius) and extend the knee (quadriceps femoris: rectus femoris, vastus lateralis, vastus medialis and vastus intermedius), Sensory functions: Supplies cutaneous branches to the anteromedial thigh (anterior cutaneous branches of the femoral nerve) and the medial side of the leg and foot (saphenous nerve).
90
20.1 Which tooth is most commonly damaged in anaesthesia practise A. Right middle maxillary incisor B. Left central maxillary incisor C. Left middle mandibular incisor D. Right middle mandibular incisor E. Right 2nd mandibular molar
B. Left central maxillary incisor BJA Education Dental Knowledge for Anaesthetists 2016 Abeysundera "Direct laryngoscopy is implicated in 50-75% of all cases of dental injury. Maxillary incisors are the most commonly injured under GA. Representing 50% of cases, they are particularly prone to fracture, being small-rooted, of narrow cross-sectional area with a slight anterior axis. The left central maxillary incisor is most vulnerable to damage from the flange of the laryngoscope blade if used as a fulcrum, usually when attempting to improve the view during a difficult intubation."
91
20.1 A 26-year-old man is brought into the Emergency Department four hours after an accidental chemical exposure during crop spraying. His clinical signs include bradycardia, vomiting, diarrhoea, coughing, miosis and weakness. A drug which is NOT recommended during his resuscitation and treatment is a) Atropine b) Pralidoxime c) Suxamethonium d) Glycopyrrolate e) Midazolam
d) Suxamethonium repeat
92
20.1 The neurosurgical registrar has telephoned about a patient with a spinal cord tumour who is on the list for tomorrow. The registrar tells you the patient has Brown-Séquard syndrome (hemisection of the spinal cord). On clinical examination, below the level of the lesion, you would expect to find all EXCEPT ipsilateral A. Hyperreflexia B. Loss of tactile stimulation C. Paralysis D. Loss of pain/temperature E. Loss of vibration/proprioception
D. Loss of pain/temperature Brown-Sequard syndrome: - Also known as Lateral hemi-section syndrome - Causes ○ Common § Knife or bullet injuries § Demyelination ○ Rare § Spinal cord tumours § Disc herniation § Infarction § infection Ipsilateral: - Motor weakness - Loss of vibration sensation - Loss of proprioception sensation Contralateral: - Loss of pain sensation - Loss of temperature Segmental Syndrome: - Pathologies that affect all functions of the spinal cord at one or more levels - Total cord transection: ○ Cessation of function in all ascending and descending spinal cord pathways ○ Loss of all types of sensation below the level of the lesion ○ Loss of movement below the level of the lesion - Acute transection: ○ Spinal shock ○ Flaccid paralysis ○ Urinary retention ○ Diminished tendon reflexes ○ This is usually temporary followed by: § Increased tone § Spasticity § Hyperrelfexia § supervene days or weeks after the event - Transverse injuries above C3 involve sensation of respiration and are often fatal if acute - Lesions above L2 will cause impotence and spastic paralysis of bladder - Causes: ○ Myelopathies § Traumatic injury § Spinal cord haemorrhage ○ Epidural or intramedullary abscesses or tumours and transverse myelitis may have a more subacute presentation Dorsal (posterior) cord syndrome: - Bilateral involvement of: ○ Dorsal Columns ○ Corticospinal tracts ○ Descending central autonomic tracts to bladder control centres in the sacral cord - Symptoms/signs: ○ Gait Ataxia (DC) ○ Paraesthesias (DC) ○ Weakness (CST) § Acute □ Muscle flaccidity □ Hyporeflexia § Chronic □ Muscle hypertonia □ Hyperreflexia ○ Extensor plantar response ○ Urinary incontinence (Auto) - Causes: ○ MS ○ Tabes dorsalis ○ Friedrich ataxia ○ Sub-acute combined degeneration ○ Vascular malformations ○ Epidural and intradural extrameduallry tumours ○ Atlantoaxial subluxation Ventral (anterior) cord syndrome - Involves cords in the anterior 2/3rds of the spinal cord ○ Corticospinal tract ○ Spinothalamic tract ○ Descending autonomic tracts to the sacral centers for bladder control - Signs/symptoms ○ Weakness (CST) ○ Reflex changes (CST) ○ B/L temp and pain sensation (Spino) ○ Tactile and vibratory sense are normal ○ Urinary incontinence (Auto) - Causes: ○ Spinal cord infarction ○ Intervertebral disc herniation ○ Radiation myelopathy
93
20.1 A 34-year-old woman with cystic fibrosis has had a recent transthoracic echocardiogram to evaluate pulmonary pressure and suitability for lung transplantation. Below is a continuous wave Doppler trace through the tricuspid valve. Her central venous pressure is 5 mmHg. Her estimated right ventricular systolic pressure (RVSP) is a) 39 b) 41 c) 45 d) 50 e) 61
a) 41mmHg Answer: RVSP = 4v2 + CVP 4x3x3+5 = 41
94
20.1 The drug which has the LEAST impact on somatosensory evoked potentials (SSEPs) monitored in a 15-year-old patient undergoing scoliosis surgery is a) Sevoflurane b) Dexemedetomidine c) Ketamine d) Fentanyl e) Midazolam
REpeat d) Fentanyl
95
20.1 You are inserting a pulmonary artery catheter in an intubated patient prior to cardiac surgery, and a significant amount of blood appears in the endotracheal tube. The most appropriate specific initial management is to: A. Remove PAC and insert DLT B. Wedge PAC and insert DLT C. Wedge PAC and insert bronchial blocker D. Withdraw PAC 2 cm and insert DLT E. Withdraw PAC and insert bronchial blocker F. Inflate balloon
D. Withdraw PAC 2 cm and insert DLT LITFL: Pulmonary haemorrhage after PAOP measurement a life threatening time-critical emergency pulmonary artery rupture caused by inflation of the pulmonary artery catheter (PAC) balloon during ‘wedging’ (measurement of the pulmonary artery occlusion pressure) some experts advise against measuring PAWP because of the risk of pulmonary artery rupture 0.2% risk, 30% mortality RISK FACTORS pulmonary hypertension mitral valve disease anticoagulants age >60 years MANAGEMENT Goals prevent further pulmonary haemorrhage stop bleeding resuscitate Call for help ICU consultant anaesthetist/ OT cardiothoracic surgeon interventional radiology Resuscitation A may have to be emergently intubated if not already B FiO2 1.0 controlled ventilation if able to recognize which lung is haemorrhaging may be able to perform lung isolation (insert single lumen tube into unaffected side, exchange for a double lumen tube or use bronchial blocker with bronchoscopic assistance) apply PEEP to tamponade wound C large bore IV cannulae, fluids, blood products, inotropes Specific therapy Lay the patient ruptured side down withdraw pulmonary catheter 2-3 cm with balloon down then refloat PAC with balloon inflated to occlude pulmonary artery (to try to tamponade bleeding) stop antiplatelet agents and anticoagulants give reversal agents: — protamine for heparin — platelets for anti-platelet agents give blood products as indicated by FBC, coags and clinical state interventions — angiogram or bronchoscopy to isolate pulmonary vessel involved — if bleeding doesn’t settle will require lobectomy
96
20.1 To perform regional anaesthesia suitable for a fourth toe amputation, it is essential to block the: a) posterior tibial b) superficial peroneal c) deep peroneal d) sciatic
d) sciatic Sciatic best answer given dermatomes and osteotomes
97
20.1 Complications of dural puncture with intracranial hypotension do not cause A) Cortical vein thrombosis B) Seizure C) Subdural haematoma D) Encephalitis E) Stroke
d) Encephalitis UTD: OTHER COMPLICATIONS OF DURAL PUNCTURE PDPH is the most common adverse outcome of dural puncture and is generally self-limited and benign. -Hearing loss (hypoacusia) may occur after dural puncture, and has been variably reported in up to 10 to 50 percent of patients after spinal anesthesia - unilateral or bilateral, and may occur even in the absence of headache. - Hearing loss is usually transient, but there are reported cases of hearing loss lasting for years after spinal anesthesia, unintentional dural puncture (UDP) and diagnostic lumbar puncture (LP). - thought to relate to intracranial hypotension, with risk factors similar to risk factors for PDPH. - In small studies, larger needle size and cutting needles have been associated with increased incidence of hearing loss. - Epidural blood patch (EBP) has been performed with resolution of hearing loss. - Injection of air into the subarachnoid space during placement of neuraxial block may result in acute onset of severe headache and other neurologic signs and symptoms. - This complication may occur with an UDP if air, rather than saline, is used for loss of resistance to identify the epidural space. - A pneumocephalus headache can occur within a few seconds if the epidural is placed with the patient in the sitting position, but may be delayed until the patient sits up if the epidural is placed in the lateral decubitus position. - Regardless of onset delay, the headache is usually maximal at onset (ie, "thunderclap"). - Treatment of pneumocephalus headache is symptomatic. - Limited data suggest that normobaric oxygen therapy leads to more rapid resolution; hyperbaric oxygen therapy may be indicated for more severe cases of pneumocephalus. - Dural puncture is rarely associated with long-lasting complications. - Cases of persistent headache have been reported, some of which have required surgical repair of the dural rent or fluoroscopically-guided blood patch. - Increased chronic back pain has also been reported in patients who have had UDP, with no increased risk conferred by EBP as treatment for the PDPH. - PDPH may also be associated with persistent headache, chronic low back pain, bacterial meningitis, and postpartum depression. - EBP is not indicated as treatment for any of these complications. - In rare cases, dural puncture has been associated with reversible cerebral vasoconstriction syndrome (RCVS) and posterior reversible encephalopathy syndrome (PRES), but causation is uncertain; several of these reports involved obstetric patients with possible preeclampsia or eclampsia, which are also associated with RCVS and PRES.
98
20.1 Bleeding post AFE what’s contraindicated? a) FFP b) Cryoprecipitate c) Platelets d) Novoseven (Factor 7a) *? e) Prothombinex
e) Prothrombinex may potentiate DIC due to increasing thrombotic tendancy Australian redcross
99
20.1 You are using ultrasound with colour flow Doppler to scan a patient's neck prior to placing an internal jugular line. In the short axis view of the carotid artery, the colour Doppler image will be A. Red because blood is going away from the probe B. Blue because blood is going away from the probe C. Blue when the blood is coming to the probe, red when the blood is going away from the probe D. Red when the blood is coming toward the probe, blue when the blood is going away from the probe E. The colour depends on the angle you hold the probe at
E. The colour depends on the angle you hold the probe at Radiopaedia article: change of wording may change the answer to the question
100
20.1 A patient with von Willebrand deficiency Type 1 presents with mild but persistent epistaxis. First-line medical therapy should include: a) Factor VII b) Factor VIII c) Recombinant von Willebrand factor d) TXA e) FFP
d) TXA VWD Types: 1 - quantitative - minor effect on bleeding - DDAVP useful 2 - qualitative - spectrum of effects on bleeding - (2a,2b,2m,2n) - DDAVP may be useful in consult with haem 3 - absence - major bleeding - no effect of DDAVP factors not recommended in Type 1 TXA and DDAVP are recommended but DDAVP not in list TXA 10mg/kg IV q8h DDAVP 300mcg intranasal 90-120 mins preop (DDAVP increases factor VIII levels 2-5x via release of VWF which binds VIII and prevents its clearance) Treatment of bleeding in an individual with von Willebrand disease (VWD) depends on: 1. Severity of bleeding 2, Site of bleeding 3. the type of VWD 4. the previous responses to therapy. The two main approaches: 1. Increasing the level of normal von Willebrand factor (VWF) activity via DDAVP 2. Replacing the defective VWF with VWF concentrates VWF concentrates have been demonstrated to provide excellent to good hemostasis in a number of patient populations and a number of bleeding types. DDAVP is only effective in some individuals, produces a smaller increase in VWF activity, and has a later onset and shorter duration of action.
101
20.1 Dental damage risk to be determined in your department. 100 cases reviewed, zero cases of dental damage. What is the 95% confidence interval? a) 0/100 b) 1/100 c) 3/100 d) 5/100 e) 9/100
Answer: 3/100 In statistical analysis, the rule of three states that if a certain event did not occur in a sample with n subjects, the interval from 0 to 3/n is a 95% confidence interval for the rate of occurrences in the population. When n is greater than 30, this is a good approximation of results from more sensitive tests. For example, a pain-relief drug is tested on 1500 human subjects, and no adverse event is recorded. From the rule of three, it can be concluded with 95% confidence that fewer than 1 person in 500 (or 3/1500) will experience an adverse event. By symmetry, for only successes, the 95% confidence interval is [1−3/n,1]. The rule is useful in the interpretation of clinical trials generally, particularly in phase II and phase III where often there are limitations in duration or statistical power. The rule of three applies well beyond medical research, to any trial done n times. If 300 parachutes are randomly tested and all open successfully, then it is concluded with 95% confidence that fewer than 1 in 100 parachutes with the same characteristics (3/300) will fail.
102
20.1 When topicalising the airway prior to a nasal awake fibreoptic intubation, it is necessary to anaesthetise all of the following nerves EXCEPT the a) Anterior Ethmoidal b) Tonsillar c) Palatine d) Glossopharyngeal e) Lingual
e) Lingual Nose The nose is entirely innervated by branches of the trigeminal nerve. Septum and anterior parts of the nasal cavity are affected by the anterior ethmoidal nerve (a branch of the ophthalmic nerve). The rest of the nasal cavity is innervated by the greater and lesser palatine nerves (branches of the maxillary nerve). Pharynx The pharynx is largely innervated by the glossopharyngeal nerve. Innervation of the whole pharynx, posterior third of tongue, the fauces, tonsils, and epiglottis is from the glossopharyngeal nerve. Oropharynx The oropharynx is innervated by branches of the vagus, trigeminal, and glossopharyngeal nerves. The posterior third of the tongue, vallecula, and anterior surface of the epiglottis are innervated by the tonsillar nerve (a branch of the glossopharyngeal nerve). The posterior and lateral wall of the pharynx are innervated by the pharyngeal nerve (a branch of the vagus nerve). The tonsillar nerve affects the tonsils. The anterior twothirds of the tongue are innervated by the lingual nerve (branch of the mandibular division of the trigeminal nerve). Larynx The larynx is innervated by the vagus nerve Above the vocal cords (base of tongue, posterior epiglottis, aryepiglottic folds, and arytenoids), the internal branch of the superior laryngeal nerve (a branch of the vagus nerve) supplies innervation. For the vocal cords and below the vocal cords, the recurrent laryngeal nerve (a branch of the vagus nerve) is the supplier.
103
20.1 Prolonged block post mivacurium A)Sugammadex 4mg/kg B)Neostigmine 100microg/kg C)FFP 20ml/kg D)Pralidoxime E)Wait for it to wear off
E)Wait for it to wear off > Neostigmine inhibits plasma cholinesterases (that could slow mivacurium metabolism), but effects are less than the inhibition of acetylcholinesterases, resulting in a “net” reversal of nondepolarizing block. Dose in stem inappropriate though. > Administration of whole blood or FFP is not recommended unless there is another primary indication for the transfusion. > In patients with homozygous pseudocholinesterase deficiency, will result in prolonged NMB; monitor and await.
104
20.1 A patient with a history of paroxysmal atrial fibrillation and chronic obstructive airways disease develops a wheeze intraoperatively which resolves with administration of salbutamol via the endotracheal tube. Soon after, he develops rapid atrial fibrillation with a ventricular rate of 120 beats per minute, a BP of 90/60 and an ETCO2 of 40mmHg. His regular medications are inhaled salbutamol, inhaled salmeterol and digoxin 125mcg daily. The next most suitable treatment is: a) Amiodarone 150mg over 10 minutes then 0.5-1mg/min b) Digoxin 500mcg IV load c) Esmolol 500mcg/kg over 1-2 minutes then infusion at 50mcg/kg/min d) Cardioversion e) Metoprolol 2.5-5mg over minutes and repeated ever 2-3 minutes
Repeat: Addition of Digoxin in this answer stem could be prefered over Amiodarone
105
20.1 A woman who is 35 weeks pregnant presents with nausea and vomiting. Among other blood test abnormalities, her alanine transaminase (ALT) level is 400 IU/l (normal <34) and her International Normalized Ratio (INR) is 2.3. This is most consistent with a) Hyperemesis gravidarum b) HELLP syndrome c) PET with severe features d) Intrahepatic cholestasis of pregnancy e) Acute fatty liver of pregnancy
a) Acute fatty liver Key differences between AFLP and HELLP - Coagulopathy with deranged INR in AFLP Vs. Thrombocytopenia in HELLP - Thrombocytopaenia in HELLP, Plts tend to be unaffected in AFLP - Degree of transaminitis in stem consistent with aFLP Swansea Criteria for AFLP: Atleast 6 or more of the features described: - Vomiting - Abdominal pain - Polydypsia/polyuria - Encephalopathy - Elevated Bilirubin - Hypoglycaemia - Elevated urate - Leucocytosis - Ascites/ Bright liver on US scan - Elevated transaminases - Elevated Amonia - Renal impairment - Coagulopathy - Microvesicular streatosis on liver biopsy AFLP: Pathophysiology - Variant of pre-eclampsia - presents in the late 3rd trimester - more common in women with multiple pregnancies and lower BMI - Women with the condition are more likely to have children with disorders of B-fatty oxidation - Associated with high maternal mortality, on average 1 death per year Daignosis and presentation: - Diagnosis by Swansea criteria in absence of another explanation - Imaging with CT or MRI a liver biopsy or fat stain may support diagnosis - present with non-specific symptoms of: Nausea and vomiting Malaise Associated Htn and proteinuria - Renal impairment develops in 90% of patients - Fulminant hepatic failure can occur - Patients may develop hepatic encephalopathy, coagulopathy and profound hypoglycaemia - Metabolic acidosis and elevated lactate are not part of diagnostic criteria but are important features - Pancreatitis and ARDS are other rare complications Delivery and Anaesthetic concerns: - Delivery must be expedited once the patient is stablized due to high foetal mortality - Specific anaesthetic concerns are top correct hypoglycaemia and coagulopathy before delivery - Plt function tends to remain stable unlike HELLP syndrome - Uneventful regional anaesthesia has been reported and may improve hepatic blood flow but is often precluded due to coagulopathy - Symptoms can deteriorate post-partum with worsening liver, renal function and coagulopathy for 48hrs
106
20.1 In patients with sepsis and acute kidney injury, early renal replacement therapy (<12 hours) compared to a delayed strategy (48 hours) results in a) Decreased 90 day mortality b) No difference c) Decreased icu time d) Decreased length of admission e) Increased 90 day mortality
b) No difference NEJM: Timing of Renal-Replacement Therapy in Patients with Acute Kidney Injury and Sepsis Among patients with septic shock who had severe acute kidney injury, there was no significant difference in overall mortality at 90 days between patients who were assigned to an early strategy for the initiation of renal-replacement therapy and those who were assigned to a delayed strategy.
107
20.1 A 25-year-old man suffers a 30% total body surface area burn. A physiological change expected within the first 24 hours is a) Increase PVR b) Decreased SVR c) Increased cardiac index d) Increased stroke volume
a) Increase PVR UTD: Low cardiac output "ebb," phase (resuscitative phase) – In the first 48 hours after a major burn, cardiac output (CO) is reduced up to 60 percent from baseline due to: 1. hypovolemia from permeability-induced plasma loss 2. reduced myocardial response to catecholamines 3. increased systemic vascular resistance due to elevated vasopressin levels 4. depressed myocardial contractility 5. possible myocardial ischemia due to decreased coronary blood flow The large volumes that these patients require can sometimes result in over-resuscitation, leading to pulmonary edema and right heart failure. High cardiac output "flow," phase (recovery phase) During the recovery phase 72 to 96 hours postburn, hyperdynamic and hypermetabolic responses result in: 1. increased CO 2. Tachycardia 3. increased myocardial oxygen consumption 4. decreased systemic vascular resistance Elevation of catecholamines in major burns produces: 1. hyperdynamic circulation 2. augments energy expenditure 3. romotes protein catabolism in skeletal muscle. Nonselective beta blocker therapy is sometimes used to block catecholamine receptors, treat cardiac dysfunction, and modulate the hyperdynamic response during this phase
108
20.1 A 56 year old man has suffered a TBI. What SBP (mmHg) would you aim for? a) 90 b) 100 c) 110 d) 120 e) 140
b) 100 Brain trauma foundation Level III recommendation. To decrease mortality and improve outcomes: Maintain SBP at >100mmHg for patients 50 - 69 Maintain SBP at >110 for patients 15 - 49 Maintain SBP at >110 for patients 70 or older
109
20.1 The flow volume loop is most consistent with a) Variable intra-thoracic obstruction b) Variable extra-thoracic obstruction c) Fixed large airway d) Restrictive lung pattern e) Mixed pattern
b) Variable extra-thoracic obstruction
110
20.1 A 55-year-old man is found to be in atrial fibrillation. He has no previous medical history. Physical examination, blood pressure and fasting blood glucose are normal. Appropriate long-term management is A. Aspirin B. Dabigatran C. No anticoagulation D. Warfarin E. Rivaroxaban
C. No Anticoagulation - if male CHA2DS2-VASc score ≥2 to be recommended chronic OAC (Grade 1A). - if female CHA2DS2-VASc score ≥3 to be recommended chronic OAC (Grade 1A). * non-sex risk factor also holds bearing: - For patients with CHA2DS2-VASc score of 1 in males and 2 in females based on age 65 to 74 years, we recommend chronic OAC (Grade 1A). Up to date: Our approach to deciding whether to prescribe anticoagulant therapy for patients with AF (excluding those with rheumatic mitral stenosis that is severe or clinically significant [mitral valve area ≤1.5 cm2], a bioprosthetic valve [surgical or bioprosthetic] within the first three to six months after implantation, or a mechanical heart valve) is as follows: *For a CHA2DS2-VASc score ≥2 in males or ≥3 in females, we recommend chronic OAC (Grade 1A). *For a CHA2DS2-VASc score of 1 in males and 2 in females: -For patients with CHA2DS2-VASc score of 1 in males and 2 in females based on age 65 to 74 years, we recommend chronic OAC (Grade 1A). Age 65 to 74 years is a stronger risk factor than the other factors conferring one CHA2DS2-VASc score point. -For patients with other risk factors, the decision to anticoagulate is based upon the specific nonsex risk factor and the burden of AF. For patients with very low burden of AF (eg, AF that is well documented as limited to an isolated episode that may have been due to a reversible cause such as recent surgery, heavy alcohol ingestion, or sleep deprivation), it may be reasonable to forgo chronic OAC and institute close surveillance for recurrent AF, although it may not be possible to reliably estimate AF burden from surveying symptoms or infrequent monitoring. The frequency and duration of AF episodes vary widely over time, and episodes are often asymptomatic. *For patients with a CHA2DS2-VASc of 0 in males or 1 in females, we suggest against OAC (Grade 2C). Patient values and preferences may impact the decision. For example, a patient who is particularly stroke averse and is not at increased risk for bleeding may reasonably choose anticoagulation, particularly if the patient is a candidate for treatment with a direct oral anticoagulant (DOAC). 2019 AHA/ACC/HRS Focused Update of the 2014 AHA/ACC/HRS Guideline
111
20.1 The maximum fraction of inspired oxygen that can be prescribed with a Venturi mask is a) 30% b) 40% c) 50% d) 60% e) 70%
c) 60%
112
20.1 Interventions that reduce the risk of agitation following electroconvulsive therapy include all of the following EXCEPT a Low dose of propofol following the seizure b Low dose of midazolam following the seizure c Premedication with olanzapine d Premedication with dexmedetomidine e Induction with remifentanil
a) Remifentanil bolus Induction agents: Propofol: -0.75-2.5mg/kg - shortest seizure duration - improved CVS stability, less PONV, quicker emergence - pain on injection Etomidate - 0.15-0.3mg/kg - Prolonged seizure activity, may reduce seizure threshold - Useful in resistant seizures - Hyperdynamic response more pronounced compared with propofol, increased PONV, longer emergence time Methohexital - 0.5-1.5 mg/kg - "gold standard" for ECT seizure quality - long history of use - reduced availability; lack of familiarity with sue Thiopental - 2-5mg/kg - Seizure duration reduced but better than propofol - need to reconstitute, has increased dysrhythmias Ketamine - 0.7-2.8mg/kg - unclear effect on seizures: reduced and prolongesd in different studies - usefull in resistant seizures - emergence phenomena, reduced CVS stability and increases ICP Sevoflurane -6-8% inspired concentration; MAC1-2 - reduced seizure duration compared to methohexital - useful if difficult IV access, reduces uterine contractions in pregnancy - extra equipment needed; more time consuming Induction agents in the descending order of CMRO2 reducing ability: Propofol > sevoflurane > thiopental and methohexital > etomidate > ketamine. Induction agents in the descending order of CBF and ICP reducing ability: Propofol > thiopental and methohexital > etomidate > ketamine. Induction agents in the descending order of emergence time: Ketamine > etomidate > barbiturates > propofol > sevoflurane. Emergence time is the time from drug administration for general anaesthesia till eye opening or following commands. The differences in emergence time among induction agents suitable for ECT are small, and these small variations in emergence should not govern drug choice. Induction agents in descending order of seizure threshold reducing property are: Etomidate > ketamine > methohexital > thiopental > propofol. Opioid: - Alfentanil (10-20mcg/kg) or remifentanil (1mcg/kg) can be used along with the induction agent to increase the seizure duration and reduce haemodynamic response. - It is unclear if the effect on seizure duration is an inherent effect of the opioid or as a result of its dose sparing effect. NMB: -Neuromuscular blocking agents reduce muscular convulsions and decrease the risk of serious injury. - Sux at 0.5mg/kg most commonly used, larger doses upto 1.5mg/kg nay be required Adjuncts: - used to reduce dose of induction agent, or mitigate cardiovascular response to ECT in high risk patients - To treat adverse PNS effects Glycopyrolate: - superior anti-sialogogue effect - no adverse CNS effects - less post ECT tachycardia Atropine - routine atropine pre-medicattion is not recommended due to adverse effects of increased myocardial work and O2 demand To treat Adverse SNS effects: - B-blockers: atenolol (pre-ECT) or labetalol and esmolol (intra-ECT), this may reduce seizure duration -CCB: sublingual nifedapine and IV nicardipine for Htn but may reduce seizure duration - a-2 agonists: Dexmedetomidine blunts the hyperdynamic rsponse as does GTN and should be considered in patients at high risk of ischaemia - Dexmedetomidine reduces the incidence of post-ECT adverse effects such as headache, agitation, postictal delirium, or pain associated with propofol injection -IV lignocaine is not effective Emergence agitation: - Small doses of midazolam may be useful if simple measures such as a secluded, calm recovery environment do not help -However, we avoid administration of any benzodiazepine such as midazolam before performing an ECT procedure, due to known anticonvulsant properties that would make seizure induction more difficult - In patients with a history of severe postictal agitation, intravenous (IV) benzodiazepines or propofol may be administered at the end of the seizure Dexmedetomidine may be useful in the treatment of refractory cases
113
20.1 During trauma resuscitation in adults, contraindications to blind nasogastric tube insertion include all of the following EXCEPT A) Basal skull fracture B) Midface fracture C) Recent nasal surgery D) Oesophageal varices E) High C-spine fracture
E) High C-spine fracture Contraindications 1. Oesophageal stricture because of the risk for esophageal perforation 2. Basilar skull fracture or facial fracture due to the potential for intracranial misplacement 3. Avoided in patients with oesophageal varices because tube placement may trigger variceal bleeding 4. Patients with a bleeding diathesis, minimal trauma to the pharynx, esophagus, or stomach from nasogastric tubes can also lead to severe bleeding, and, thus, tubes are avoided whenever possible.
114
20.1 A patient with multiple co-morbidities has severe symptomatic aortic stenosis and is considered for an aortic valve replacement. Compared to an open surgical approach, a transcatheter aortic valve implantation (TAVI) has a) Reduced vascular injury b) Reduced mean valve gradient c) Reduced paravalvular leak d) Reduced complete heart block e) Reduced reintervention
b) Reduced mean valve gradient TAVI decreased: - AKI - AF - Transfusion - Mean prosthetic valve gradient TAVI increased: - Major vascular complications - Permanent pacemaker implantation - Paravalvular regurgitation - Need for re-intervention
115
Independent risk factors for bone cement implantation syndrome include all of these EXCEPT: A) diuretics B) general anaesthesia C) increasing age D) male gender E) severe cardiopulmonary disease
Grade 1: moderate hypoxia (Spo2<94%) or hypotension [fall in systolic blood pressure (SBP) >20%]. Grade 2: severe hypoxia (Spo2<88%) or hypotension (fall in SBP >40%) or unexpected loss of consciousness. Grade 3: cardiovascular collapse requiring CPR. Patient Risk factors: 1. old age 2. poor pre-existing physical reserve 3. impaired cardiopulmonary function -> NYHA 3 or 4 4. pre-existing pulmonary htn 5. Male Sex 6. Diuretics 7. ASA grade 3 or 4 8. osteoporosis 9. bony metastases 10. concomitant hip fractures (particularly pathological and intertrochanteric) (latter due to abnormal vascular channels through which marrow contents can enter the circulation) Surgical Risk factors 1. patients with previously un-instrumented fenoral canal > revision surgery 2. Use of long-stem femoral component Anaesthetic Risk reduction: - discussion between surgeons and anaesthetists over uncemented vs. cemented based on patient Hx particularly if lon-stem prosthesis, femoral fracture or patients with cardiorespiratory disease - no clear evidence regarding the impact of anaesthetic technique - increase inspired O2 considered in all patients at time of cementation - avoid intravascular volume depletion - Higher level of haemodynamic monitoring in high risk patients Factors NOT predictive of severe BCIS include: Arteriosclerosis Angina pectoris Congestive heart failure Beta-blockers Angiotensin-converting enzyme inhibitors.
116
20.1 Infrarenal aortic cross clamp will cause a(an): a) Increased by 40% b) Increased by 20% c) Unchanged d) Decreased 20% e) Decreased 40%
e) Decreased 40% Infra-renal aortic cross-clamping leads to a reduction in renal blood flow by up to 40%, as a result of an increase in renal vascular resistance of up to 75%. The mechanism underlying this increased resistance is uncertain but may, in part, be a result of the associated decrease in cardiac output during aortic cross-clamping, as well as because of humoral mechanisms, which lead to increased release of renin. After declamping, there is a maldistribution of renal blood flow away from the cortex for at least 60 min.
117
20.1 You want to position a internal jugular CVL with a CXR at the caval-atrial junction. Where is this? a) 2 vertebral bodies superior to carina b) 1 vertebral body superior to carina c) At the carina d) 1 vertebral body inferior to carina e) 2 vertebral bodies inferior to carina
e) 2 vertebral bodies inferior to carina
118
19.1, 20.1 Soon after a peribulbar block, the patient’s eye rapidly becomes proptosed and tense, and the visual acuity is markedly decreased. A lateral canthotomy is indicated to: a) Allow globe to continue to swell b) Drain blood from behind eyeball c) Allow the eye to proptose d) Reduce pressure on the optic nerve
c) Allow the eye to proptose Orbital Compartment Syndrome The orbital compartment is a fixed space with limited capacity for expansion. If something like blood fills part of that space the pressure increases and may result in ischaemia of the optic nerve or the retina. A lateral canthotomy is a way of releasing this pressure. You have up to approximately 2 hours before irreversible visual loss occurs. It may occur in less than 2 hours however, so speed is of the essence. use local anesthetic but warn the patient that they may feel pain Perform the canthotomy: place the scissors across the lateral canthus and incise the canthus full thickness Perform cantholysis: Grasp the lateral lower eyelid with toothed forcepsPull the lower eyelid anteriorlyPoint the scissors toward the patient’s nose, place the blades either side of the lateral canthal tendon, and cut. By cutting the canthal tendon,the counter pressure of the eyelid on the is relieved and the eye is allowed to proptose and pressure is relieved.
119
20.1 Epidural filters are designed to retain particles down to a diameter of A. 20 nanometers B. 200 nanometers C. 2 micrometers D. 20 micrometers E. 200micrometers
B. 200 nanometers (0.2 micrometres)
120
A 50-year-old woman has had a headache for the last month which is relieved by lying flat. She has had no medical procedure to her spine such as epidural, spinal or lumbar puncture. Her brain magnetic resonance imaging (MRI) scan shows diffuse meningeal enhancement and brain sagging. Her neurologist suspects spontaneous intracranial hypotension and asks you to do an epidural blood patch. No spinal imaging has been performed to confirm a cerebrospinal fluid (CSF) leak. You should A do blood patch at lumbar level with no further investigation B do LP to measure pressure if low do lumbar patch C do spine imaging if CSF leak present do blood patch at level D do spine imaging if CSF leak present do lumbar blood patch E refuse to do blood patch
A do blood patch at lumbar level with no further investigation
121
Your patient underwent a stellate ganglion block 2 hours ago. Prior to discharge you are asked to review the patient in recovery because of a droopy upper eyelid. The patient would also be expected to have ipsilateral a) Pupillary constriction and reaction to light b) Pupillary constriction and no response to light c) Pupillary dilation and response to light d) Pupillary dilation and no response to light
REPEAT a) Pupillary constriction and reaction to light Stellate ganglion block causes ipsilateral Horner's Syndrome: Ptosis (eyelid droop) Miosis (constricted pupils) Anhydrosis (loss of sweating) Enophthalmos (sinking of eyeball into the bony cavity that protects the eye) *Pupillary constriction in response to light is controlled by the Edinger-Westphal nucleus of CN3, which will remain intact.
122
In the management of anaphylaxis in a 5-year-old with no intravenous or intra-osseous access, the correct dose of intramuscular adrenaline is A. 20mcg B. 50mcg C. 100mcg D. 150mcg E. 300mcg
D. 150mcg
123
Of the following, the side-effect LEAST likely to be caused by adenosine administration is A. chest pain B. bronchospasm C. GI upset D. Flushing E. Dyspnoea
C. GI upset LITFL: chest pain/bronchospasm/flushing/SOB CLASS short acting anti-arrhythmic naturally occurring purine nucleoside MECHANISM OF ACTION depression of SA & AV nodal activity antagonises cAMP-mediated catecholamine stimulation of ventricular muscle -> negative chronotropy & dromotropy direct agonist at specific cell membrane receptors (A1 & A2) A1 = coupled to K+ channels by a guanine nucleotide-binding protein in supraventricular tissue. PHARMACEUTICS clear, colourless 3mg/mL in saline DOSE rapid IV bolus followed by saline flush 3mg -> 6mg -> 12mg (adult) 0.04 to 0.25mg/kg (children) INDICATIONS diagnosis and treatment of paroxysmal SVT ADVERSE EFFECTS bronchospasm flushing SOB Chest pain CONTRAINDICATIONS second and third degree AV block allergy care with asthma and COPD PHARMACOKINETICS Onset – 10 seconds Duration – 10 seconds Absorption – must be given IV Distribution Metabolism – absorbed by RBC’s and endothelium Elimination – t ½ = 10 seconds
124
The power of a two sample (two group) randomised controlled trial is NOT affected by (the) a) Sample size b) Statistical test c) P value d) Standard deviation/variance in sample e) Effect size ? same? The power of a statistical test is not affected by the: a) sample size b) population variability c) alpha error d) effect size e) robustness of the statistics
e) robustness of the statistics c) p-value The power of a study is determined by: Frequency of outcome being studied, magnitude of effect, study design, and sample size. The greater the error variance (or standard deviation) the less the power BARASH: Experimental Medicine: Statistical Analysis POWER: The error of failing to reject a false null hypothesis (false-negative) is called a type II or β-error. (The power of a test is 1−β.) The probability of a type II error depends on four factors. Unfortunately, the smaller the α, the greater the chance of a false-negative conclusion; this fact keeps the experimenter from automatically choosing a very small α. Second, the more variability there is in the populations being compared, the greater the chance of a type II error. This is analogous to listening to a noisy radio broadcast; the more static there is, the harder it will be to discriminate between words. Next, increasing the number of subjects will lower the probability of a type II error. The fourth and most important factor is the magnitude of the difference between the two experimental conditions. The probability of a type II error goes from very high, when there is only a small difference, to extremely low, when the two conditions produce large differences in population parameters. There are four options for decreasing type II error (increasing statistical power): (1) raise α, (2) reduce population variability, (3) make the sample bigger, and (4) make the difference between the conditions greater.
125
The part of the lung that is typically divided into medial and lateral segments is the a. Left upper lobe b. Lingula c. Right upper lobe d. Right middle lobe e. Right lower lobe
d. Right middle lobe
126
A patient has undergone a laparotomy with a central line inserted intra-operatively. In the PACU, the patient is dyspnoeic and a lung ultrasound is performed. The ultrasound, shown below, is consistent with A. Pneumonia B. Effusion C. Normal lung D. Pneumothorax E. Pleural odema
C. Normal lung - shows sandy shore sign of normal lung sliding Alternative: Absent sliding & PTx: Stratosphere sign
127
During a routine preoperative examination of a patient’s heart, you note exaggerated splitting of the second heart sound with inspiration. This is characteristically heard in A. Aortic Reguritation B. HOCM C. Left bundle branch block D. Mitral Stenosis E. Pulmonary Stenosis
E. Pulmonary Stenosis DERANGED PHYSIOLOGY: Splitting of the first heart sound Right bundle branch block can produce a split first heart sound - because the contraction of the right ventricle is delayed- the conduction occurs via the left ventricle rather than the bundle of His- and thefore the closure of the tricuspid valve occurs after a substantial delay. Atrial septal defect can result in a fixed split of the first heart sound Splitting of the second heart sound It is normal for this sound to be split. The high pressure in the systemic circulation slams the aortic valve shut rather abruptly, almost angrily. In contrast, low pressure of the pulmonary circulation tends to close the pulmonary valve gently, and therefore the pulmonary component of the second heart sound (P2) is usually delayed by about 20-30 milliseconds. It is also normal for increased right ventricular filling to cause a widening of the split. The more blood in the RV, the longer it takes to eject, and therefore the greater the delay until pulmonary valve closure. n the spontaneously breathing patient, the delay is greatest during inspiration. Naturally, in the patient ventilated with positive pressure the delay is greatest during expiration (positive pressure being a barrier to diastolic filling). Increased normal splitting of S2 Anything that delays the end of right ventricular systole can cause this sort of picture. Right bundle branch block - the delay in conduction via the left ventricle causes a delay in right ventricular contraction, and therefore a delay in pulmonary valve closure. The S1 will also be split. Ventricular septal defect - because the right ventricle receives a large volume load directly from the left ventricle, and therefore takes longer to complete its systolic contraction. Pulmonary valve stenosis - because the right ventricle takes longer to empty though a narrowed valve Mitral regurgitation- not because right ventricular contraction is delayed, but because left ventricular contraction is shortened (as the LV empties in both the aortic and the atrial directuion, systole is over very quickly). Fixed splitting of S2 Atrial septal defect - the atria, joined by a gaping hole in their seput, act as one atrium. The result is a reasonably equal distribution in volume betweent the right and left atrium. This way, both sides of the circulation share the same diastolic filling pressure. Dragging more volume into the right atrium with respiratory activity will not cause an inequality of ventricular filling (between the right and left ventricles) because the venous return will be "shared". Reversed splitting of S2 In this situation, P2 occurs before A2, and splitting widens during expiration (or inspiration in the mechanically ventilated patient). This only happens if the conduction to the left ventricle is delayed, or if the left ventricle is massively volume overload (and the right ventricle is not). Left bundle branch block - the left ventricle depolarises after the right ventricle, and A2 is delayed Aortic stenosis - the left ventricle empties slowly though a narrow valve Large patent ductus arteriosus - the left ventricle receives a backflow of blood from the aorta, which causes it to become volume-overloaded
128
A 72-year-old man with a murmur has a left heart catheter. Shown are the simultaneous waveforms in the aorta and left ventricle. The most likely diagnosis is A. Aortic regurgitation B. Aortic Stenosis C. HOCM D. Mitral regurg E. Normal
Answer: A Aortic regurgitation - lack of dichrotic notch, high pulse pressure https://www.ahajournals.org/doi/full/10.1161/CIRCULATIONAHA.111.060319#d1e195
129
A patient with known suxamethonium allergy is most likely to demonstrate cross reactivity with a. Mivacurium b. Cisatracurium c. Atracurium d. Rocuronium e. Cephazolin
Answer: d. Rocuronium BJA Anaphylaxis to neuromuscular blocking drugs: incidence and cross-reactivity in Western Australia from 2002 to 2011 https://academic.oup.com/bja/article/110/6/981/245571 Rocuronium has a higher rate of IgE-mediated anaphylaxis compared with vecuronium, a result that is statistically significant and clinically important. Cisatracurium had the lowest rate of cross-reactivity in patients who had previously suffered anaphylaxis to rocuronium or vecuronium. Anaphylaxis rates (highest to lowest) Primary anaphylaxis: rocuronium > atracurium > vecuronium > pancuronium = cisatracurium Cross-reactivity: suxamethonium > rocuronium > vecuronium > pancuronium > atracurium > cisatracurium
130
Following a severe spinal cord injury, return of reflexes is usually seen after a. <1 day b. 1-3 days c. 7 days d. 1-4 weeks e. >1 month
Answer: b, 1-3 days BJA 2013 Initial Management of Acute Spinal Cord Injury Spinal shock is the loss of reflexes below the level of SCI resulting in the clinical signs of flaccid areflexia and is usually combined with hypotension of neurogenic shock. There is a gradual return of reflex activity when the reflex arcs below redevelop, often resulting in spasticity, and autonomic hyperreflexia. This is a complex process and a recent four-phase classification to spinal shock has been postulated: areflexia (Days 0 – 1), initial reflex return (Days 1 – 3), early hyperreflexia (Days 4 – 28), and late hyperreflexia (1 – 12 months)
131
To minimise the risk of developing propofol infusion syndrome, the maximum recommended propofol infusion rate averaged over a 48-hour period is A. 2.5mg/kg/hr B. 5mg/kg/hr C. 7.5mg/kg/hr D. 10mg/kg/hr E. 12.5mg/kg/hr
A. 2.5mg/kg/hr Associated with high doses >4mg/kg/hr and prolonged use (>48hrs) Safe doses of propofol infusion for sedation in ICU are considered to be 1-4mg/kg/hr -> fatal Cases pf PRIS have been reported after infusion doses as low as 1.9-2.6mg/kg/hr Risk factors: i. Young age ii. Critical illness iii. High fat and low Carbohydrate intake iv. Inborn errors of mitochondrial fatty acid oxidation v. Catecholamine infusion/ High catecholamine and glucocorticoid levels vi. Steroid therapy vii. Severe head injuries Characteristics: i. Bradycardia ii. Severe metabolic acidosis iii. Cardiovascular collapse iv. Rhabdomyolysis v. Hyperlipidaemia vi. Renal failure vii. Hepatomegaly Management: - Routine monitoring of CK and triglycerides should be performed for the at risk population ○ Daily CK and triglyceridees after 48hrs of propofol infusion ○ Increasing CK in the absence of other pathology triggers suspiscion of PRIS - Propofol immediately stopped and alternative (midazolam and alfentanil) are used - PRIS is difficult to treat once it occurs - CVS support provided as needed - Renal replacement therapy may be required to treat lactic acidosis, clear propofol and its metabolites from the patient rapidly - Catecholamine resistant shock has been reported - Pacing has been used with limited success ECMO has been reported and successfully used in the CVS support of PRIS
132
The commonest primary cause of death from anaesthesia airway events in the NAP4 report was A. Barotrauma B. Aspiration C. Tracheostomy dislodged D. Bleeding post-trache insertion
B. Aspiration Aspiration was the single commonest cause of death in anaesthesia events. Poor judgement was the likely root cause in many cases which included elements of poor assessment of risk (patient and operation) and failure to use airway devices or techniques that would offer increased protection against aspiration. Several major events occurred when there were clear indications for a rapid sequence induction but this was not performed.
133
The ANZCA guidelines regarding pre-operative oral intake for infants under 6 months of age having an elective procedure under anaesthesia are a) Breast milk 2 hours before, clear fluids 1 hour before 3mls/kg b) Breast milk 2 hours before, clear fluids 1 hour before 5mls/kg c) Breast milk 3 hours before, clear fluids 1 hour before 3mls/kg d) Breast milk 3 hours before, clear fluids 1 hour before 5mls/kg e) Breast milk 4 hours before, clear fluids 1 hour before 3mls/kg
c) Breast milk 3 hours before, clear fluids 1 hour before 3mls/kg PS07 - patient preparation and preanaesthetic consultation
134
The manufacturer guidelines suggest the smallest sized endotracheal tube that should be safely passed over an Aintree Intubation Catheter is (internal diameter) size A. 4.0 B. 5.0 C. 6.0 D. 7.0 E. 8.0
Size 7.0 The Tube The endotracheal tube has a length and diameter. The endotracheal tubes size (“give me a 6.0 tube”) refers to its internal diameter in millimeters (mm). The ETT will typically list both the inner diameter and outer diameter on the tube (for example, a 6.0 endotracheal tube will list both the internal diameter, ID 6.0, and outer diameter, OD 8.8).
135
When providing anaesthesia for endovascular treatment of acute ischaemic stroke, the Society of NeuroInterventional Surgery and the Neurocritical Care Society recommend A. General anaesthesia B. Hypervolaemia C. Maintain temp <35 D. Maintain BGL 8-12 E. Maintain sBP 140-180
E. Maintain sBP 140-180 https://journals.lww.com/jnsa/Fulltext/2014/04000/Society_for_Neuroscience_in_Anesthesiology_and.1.aspx We recommend that hemodynamic monitoring and management, as outlined below, should be started as soon as diagnosis of AIS has been made (class IIa, level of evidence C). Heart rate and cardiac rhythm should be monitored continuously and blood pressure should be monitored continuously or measured at least once every 3 minutes. We recommend that systolic blood pressure should be maintained >140mm Hg (fluids and vaso- pressors) and <180mm Hg (with or without IV tPA), and diastolic blood pressure <105 mm Hg (class IIa, level of evidence B). Cause of hypotension should be investigated (volume depletion, myocardial infarction, cardiac arrhythmia, blood loss, retroperitoneal hemorrhage, and aortic dissection) and treated if possible. We also recommend that blood pressure targets may be adjusted (lowered) in communication with the neuro- interventionalists and neurologists following successful recanalization of occluded vessel(s) (class IIb, level of evidence C), as reperfused brain often lacks autor- egulation leading to high risk of hyperperfusion leading potentially to hemorrhagic conversion.
136
The maximum warm ischaemic time acceptable for procuring the kidney following donation after cardiac death is A. 30 mins B. 60 mins C. 90 mins D. 120 mins E. 180 mins
Warm ischaemia time: - Time from treatment withdrawal to the start of cold perfusion of the donated organs - Significance is the impact on graft function - Most important phase of WIT begins when the systolic BP is < 60mmHg - This includes the waiting period from the absence of circulation to the declaration of death and the time before initiating the flow of cold perfusate through the cannula Maximum WARM Ischaemia time - Heart 30 mins - Liver 30 mins - Pancreas 30 mins - Kidney 60 mins - Lungs 90 mins Maximum COLD Ischaemia time: - Heart = 4 hrs - Lungs = 6-8hrs - Liver/Pancreas = 12hrs (DBD)/6 hrs (DCD) - Kidneys = 18hrs (DBD)/ 12 hrs (DCD)
137
An ASA 1 28-year-old man attends for inguinal hernia repair under general anaesthesia. He is administered propofol 180mg morphine 8mg rocuronium 50mg cephazolin 2g Post induction he develops an erythematous rash on his chest and arms, swelling of his lips and face, and severe hypotension. Preliminary blood results show: (allergy related tests shown). Tryptase at 1 hour 321 (11) Tryptase at 3 hours 58 (11) RAST Morphine 29 (15) Serum IgE 88 (300) The most likely diagnosis is a. Morphine anaphylaxis b. Rocuronium anaphylaxis c. Cephazolin Anaphylaxis d. Propofol Anaphylaxis e. Opioid related histamine release
Answer: b. rocuronium anaphylaxis NB RadioAllergoabsorbentSpecificTesting is a serum test for specific IgE antibodies RAST morphine is both more sensitive and more specific than the RAST for individual NMBDs (due to reaction with quaternary ammonium) and is being used increasingly to determine NMBDs as cause of anaphylaxis. IKR! http://www.anzaag.com/anaphylaxis-management/testing-guidelines.pdf
138
A 43-year-old man is undergoing an elective endovascular coiling procedure for an 8 mm middle cerebral artery aneurysm. Midway through the procedure the interventionalist tells you they have ruptured the aneurysm. All of the following are appropriate initial interventions EXCEPT A. Decrease BP B. Give protamine C. Urgent transfer to theatre D. Continue coiling E. Mild hyperventilation
Answer: c. Urgent transfer to theatre BJA Anaesthesia for interventional neuroradiology https://academic.oup.com/bjaed/article/8/3/86/293346 Clinical signs of a rise in ICP or a sudden rise in blood pressure with or without a fall in heart rate should alert the anaesthetist to this possibility. Extravasation of contrast may also be seen. The goals are to increase coagulability by reversing heparin, decrease bleeding by lowering blood pressure (to the level before the bleed), control ICP with hyperventilation, head elevation, steroids and osmotic agents, control seizures, and initiate cerebral protection. Once the bleeding is controlled, the pressure may be raised to check for leaks. Usually, the coiling continues; rarely, a ventriculostomy may be required. If the coiling is unsuccessful, a rescue craniotomy and clipping will be required. Management may also involve performance of CT scans and subsequent transfer to ICU.
139
The needle tip pictured is called a a Sprotte b Whittacre c Quincke d Trocar e Tuohy
c Quincke Needles for spinal anesthesia or lumbar puncture can be classified according to the needle tip. Cutting-tip, or Quincke, needles have sharp, cutting tips, with the hole at the end of the needle. Whitacre and Sprotte needles are two types of pencil point, or noncutting tip needles. They have a closed tip shaped like a pencil, with the hole on the side of the needle near the tip. Pencil point needles are designed to minimize leak of cerebrospinal fluid after puncture and reduce the chance of postdural puncture headache.
140
Piped oxygen supply in major hospitals is predominantly sourced from A) Onsite oxygen concentrator B) Onsite oxygen cylinder bank C) Onsite oxygen liquid evaporator D) Offsite pipeline supply
C) Onsite oxygen liquid evaporator (VIE) VIE Pros and Cons Pros - Cheapest option for oxygen delivery and storage - Storing oxygen as a liquid is much more efficient than as a gas - Does not require power Cons - Set-up costs are expensive - Requires a back-up setup - Will waste large volumes of oxygen if not being used continuously - Fire and explosion risk
141
The water capacity of an oxygen transport cylinder is 2 litres. The gauge is reading 150 bar. At an oxygen flow rate of 10 litres per minute, the number of minutes the cylinder will last is A. 15 min B. 30 min C. 45 min D. 60 min E. 2 hours
B. 30 min P1x V1= P2xV2 150bar x 2l = 1bar x Unknown Volume 150 x 2/1= Unknown Volume 300L = unknown volume 300/10l/min = 30mins
142
In elderly non-diabetic patients, the use of aspirin in primary prevention of disease A) Increased risk of bleeding B) Reduced overall mortality C) Reduced CVS mortality D) Reduced cancer mortality E) ?
Unclear: age of patient not given in question, real answer for patient >70yrs old appears to be lack of net benefit but this is not a remembered option Answer: A) increased incidence of major bleeding Low-dose aspirin should not be administered on a routine basis for primary prevention of ASCVD among adults >70 years. Low-dose aspirin should not be administered on a routine basis for primary prevention of ASCVD among adults >70 years. 2019 ACC/AHA Guideline on the Primary Prevention of Cardiovascular Disease Aspirin Candidates — For the secondary prevention of ASCVD in patients with diabetes, we recommend aspirin (75 to 162 mg daily). For the primary prevention of ASCVD in patients with diabetes at increased cardiovascular risk (10-year risk >10 percent), we suggest aspirin (75 to 162 mg daily), although the evidence supporting this approach is weak and needs to be balanced with the increased risk of gastrointestinal bleeding. We do not routinely use aspirin for the prevention of ASCVD in adults with diabetes at low risk (10-year ASCVD risk <10 percent). (See 'Guidelines' below.) 2019 ACC/AHA Guideline on the Primary Prevention of Cardiovascular Disease Aspirin Aspirin is well established for secondary prevention of ASCVD and is widely recommended for this indication, but recent studies have shown that in the modern era, aspirin should not be used in the routine primary prevention of ASCVD due to lack of net benefit. Most important is to avoid aspirin in persons with increased risk of bleeding including a history of GI bleeding or peptic ulcer disease, bleeding from other sites, age >70 years, thrombocytopenia, coagulopathy, chronic kidney disease, and concurrent use of nonsteroidal anti-inflammatory drugs, steroids, and anticoagulants. The following are recommendations based on meta-analysis and three recent trials: Low-dose aspirin might be considered for primary prevention of ASCVD in select higher ASCVD adults aged 40-70 years who are not at increased bleeding risk. Low-dose aspirin should not be administered on a routine basis for primary prevention of ASCVD among adults >70 years. Low-dose aspirin should not be administered for primary prevention among adults at any age who are at increased bleeding risk.
143
Of the following, the agent that has the greatest capacity to absorb infrared radiation in the atmosphere is a) CO2 b) desflurane c) sevoflurane d) nitrous e) isoflurane
Repeat b) Desflurane Atmospheric heat absorbed by a substance compared with CO2 is its GWP GWP CO2 = 1 GWP N20 = 265 (atmospheric lifetime of 114yrs) GWP sevo = 130 (atmospheric lifetime of 1.1yrs) GWP desflurane = 2540 (atmospheric lifetime of 14yrs)
144
A 50-year-old man is admitted with a stroke and undergoes cerebral angiography. The artery marked on angiography is the a) Anterior Cerebral Artery b) Middle Cerebral Artery c) Posterior Cerebral Artery d) Basillar Artery e) Superior Cerebellar Artery
Answer: This time thought to be posterior cerebral (previously middle cerebral)
145
An awake patient in the post-anaesthesia care unit complains of breathlessness. The FiO2 through the patient’s rebreather mask is 40%. An arterial blood gas taken at the time shows (ABG shown). The alveolar-arterial gradient (in mmHg) is approximately Blood gas shows: PaO2 135 PaCO2 48 SpO2 100% The A-a gradient is: A. 5 B. 30 C. 60 D. 90 E. 110
D 90 A-a = PAO2 - PaO2 Alveolar air equation gives PAO2 PAO2 = PiO2 - PaCO2 / R PAO2 = 0.4 x (760 - 47) - 48 / 0.8 so, as PaO2 given as 135 A-a = 228 - 135 = 93
146
You are asked to review a patient two days after a difficult total knee replacement, which was undertaken under tourniquet with spinal anaesthesia in combination with an ultrasound- guided adductor canal block and high volume local anaesthetic infiltration by the surgeon. The patient complains of a new onset of leg weakness on the operative side. The nerve LEAST likely to be involved in this weakness is the A. Sciatic B. Femoral C. Peroneal D. Saphenous E. L4
Repeat D. Saphenous
147
The most common cause of airway compromise after anterior cervical spine surgery is A. Aspiration B. RLN injury C. Oedema D. Phrenic nerve injury E. Haematoma
C. Oedema Blue book 2017 The aetiology of UAO differs from that of airway compromise seen after thyroid or carotid surgery. Haematoma formation and cerebrospinal fluid leak are potential complications of CSS that usually present early in the postoperative period, whereas upper airway obstruction most commonly develops in the late postoperative period (days rather than hours). UAO occurs because of prevertebral tissue swelling that evolves late in the postoperative course. The danger is that the onset can be insidious in a ward environment, leading to late recognition and limited availability of practitioners with airway expertise12. Development of prevertebral oedema has been implicated in several near misses and deaths, which became the sentinel events that stimulated creation of departmental protocols to safely manage these patients postoperatively
148
A 35-year-old male, three days post laparoscopic sleeve gastrectomy has ongoing nausea and vomiting. His arterial blood gas measurement is as follows: (ABG shown) The best initial therapeutic option would be Blood gas given: hypokalaemia hypochloraemia alkalosis normal lactate a Laparoscopy b IV fluids and KCL c 4% albumin d HCl infusion e Acetazolamide
b IV fluids and KCL UTD Stricture post Lap Sleeve Gastrectomy management Although sleeve strictures have been reported in 0.26 to 4 percent of LSG operations, <1 percent result in symptoms that require endoscopic or surgical intervention A stricture can manifest acutely, early after surgery, or more chronically. Although strictures can occur anywhere along the long staple line, they are most often located at the level of the incisura angularis for anatomic reasons. The etiologies of post-LSG strictures are either mechanical or functional. Mechanical strictures usually derive from the use of small bougies, stapling too close to the bougie (especially at the incisura angularis), twisting of the staple line creating a "spiral" sleeve, or aggressive imbrication of the staple line. Functional stenoses derive from edema or hematomas at the staple line. As a result, functional stenoses are transient, which present immediately following LSG and resolve spontaneously with expectant treatment. Patients who present with obstructive symptoms during the early postoperative period should be resuscitated with hydration and antiemetic medications and studied with an upper gastrointestinal (UGI) series. Stable patients with a stricture can be observed to allow postsurgical mucosal edema to resolve, typically in 24 to 48 hours. Patients who cannot handle their own secretions require nasogastric tube decompression, preferably placed under fluoroscopic guidance. Patients with an acute stricture who do not respond to conservative management require early surgical reintervention. Laparoscopy could demonstrate kinking of the gastric tube, a tight suture, or a compressing hematoma. ●Endoscopy is a good initial treatment for short-segment strictures, most of which can be dilated with balloons. Multiple treatments in four- to six-week intervals are sometimes needed to treat the stricture and improve patient symptoms. Stents have also been tried but are not effective for post-LSG strictures. ●Laparoscopic seromyotomy is a treatment option for long-segment strictures . In a small retrospective study, patients treated with laparoscopic seromyotomy had good symptomatic relief. ●Conversion to an RYGB is the last option for patients with a refractory stricture who have failed all other treatments.
149
A fasted patient with type 2 diabetes mellitus presents for elective surgery. She has omitted one dose of a sodium-glucose co-transporter-2 (SGLT2) inhibitor. The lowest pinprick ketone level that would support a diagnosis of euglycaemic ketoacidosis is a) 0.3 b) 0.6 c) 1.0 d) 3.0
c) 1.0 Clinicians should consider DKA/euDKA in patients taking SGLT2i who have one or more of: - symptoms of abdo pain, nausea, vomiting, fatigue or metabolic acidosis (a normal or only modestedly elevated plasma glucose level does not exclude diagnosis) - finger prick capillary blood ketone ( or blood beta-hydroxybutyrate) level >1/0mmol/l with or without hyperglycaemia - Low (negative) Base Excess <-5mmol/l indicating metabolic acidosis on arterial or venous blood gasses If the blood ketone leve is >1.0mmol/l in an unwell patient on SGLT2i, take arterial or venous blood gases to measure the BE. If ketones >1.0mmol/l and BE <-5mmol/l the patient has presumed DKA If the BSL is <14mmol/l it is presumed euDKA > for a ward patient a MET team should be activated or ICU contacted for review in collaboration with endocrinology services > management priorities include: 1. Rehydration 2. IV insulin with added dextrose if BSL <15mmol/l 3. hourly monitoring of blood glucose, ketones and blood gases 4. All should be reviewed by an endocrinologist or on-call physician and critical care specialist
150
The transducer that provides the best resolution for an ultrasound guided median nerve block is a) 2 MHz b) 2-5 MHz c) 5-8 MHz d) 5-10 MHz e) 6-13 MHz
e) 6-13 MHz Atlas of Ultrasound-Guided Procedures in Interventional Pain Management, 13 (2011) The wavelength and frequency of US are inversely related, i.e., ultrasound of high frequency has a short wavelength and vice versa. US waves have frequencies that exceed the upper limit for audible human hearing, i.e., greater than 20 kHz.3 High-frequency ultrasound waves (short wavelength) generate images of high axial resolution. Increasing the number of waves of compression and rarefaction for a given distance can more accurately discriminate between two separate structures along the axial plane of wave propagation. However, high-frequency waves are more attenuated than lower frequency waves for a given distance; thus, they are suitable for imaging mainly superficial structures.5 Conversely, low-frequency waves (long wavelength) offer images of lower resolution but can penetrate to deeper structures due to a lower degree of attenuation. For this reason, it is best to use high-frequency transducers (up to 10–15 MHz range) to image superficial structures (such as for stellate ganglion blocks) and low-frequency transducers (typically 2–5 MHz) for imaging the lumbar neuraxial structures that are deep in most adults.
151
Prior to neuraxial block in a patient with normal renal function, apixaban should be ceased for a. 1 day b. 2 days c. 3 days d. 5 days e. 7 days
c. 3 days
152
A 50-year-old man has the following pulmonary function test result. The most consistent diagnosis is FEV1 98% predicted FVC 98% predicted DLCO 48% predicted a) Asthma b) Obesity c) Sarcoidosis d) Pulmonary hypertension
Repeat d) Pulmonary hypertension Normal spirometry + low DLCO Asthma: obstructive pattern and normal DLCO Obesity: restrictive pattern and normal DLCO Sarcoid: restrictive pattern and low DLCO
153
A 65-year-old woman has presented with a grade 2 subarachnoid haemorrhage equally suitable for treatment with surgical clipping or endovascular coiling. The factor shown to most effectively reduce mortality in early subarachnoid haemorrhage treatment is a) Nimodipine b) Tranexamic acid c) Early repair d) Atorvastatin e) EVD placement
c) Early repair Coil within 24 hours Early repair - the outcome in terms of survival free of disability at 1 year is significantly better with endovascular coiling. Preferably within 24 hours
154
Indications for the use of hyperbaric oxygen therapy in the treatment of acute carbon monoxide toxicity include all of the following EXCEPT a. Pregnancy b. COHb level 10% c. Difficult to examine patient as likely concomitant drug overdose d. Myocardial ischaemia e. Reduced GCS
b. COHb level 10%
155
An 80-year-old woman is admitted to hospital with respiratory failure. Her arterial blood gas on oxygen 4 litres per minute via a Hudson mask is as follows: (ABG shown) Which of the following most accurately describes this blood gas result? pH 7.2, pO2 91, pCO2 84, BE 16, HCO3- 43, Na 145 a) Metabolic alkalosis, acute resp acidosis + normal AG b) Metabolic alkalosis, resp acidaemia + abnormal AG c) Mixed acidaemia
Chronic respiratory acidosis pH 7.2 = acidaemia pCO2 84 = respiratory acidosis HCO3 43 = metabolic alkalosis à compensation expected is 3-4 mmol/L rise for every 10mmHg rise in PCO2. Expected metabolic compensation therefore is HCO3- 40.