Question 2 A 5-year-old girl has a type III supracondylar humeral fracture after falling o of the monkey bars. Examination reveals normal motor function and sensation in all nerve distributions and a pink perfused hand but no palpable pulse. An urgent closed reduction of the fracture is performed with percutaneous pinning. Immediately after pinning, the hand is noted to be white; there is no pulse and no signal by Doppler. What is the most appropriate action?
RECOMMENDED READINGS
Kelly DM, Meier J. Shoulder, upper arm, and elbow trauma: Pediatrics. In: Cannada LK, ed. Orthopaedic Knowledge Update 11. Rosemont, IL: American Academy of Orthopaedic Surgeons; 2014:785-795. Shah AS, Waters PM, Bae DS.
Treatment of the “pink pulseless hand” in pediatric supracondylar humerus fractures. J Hand Surg Am. 2013 Jul;38(7):1399-403; quiz 1404. doi: 10.1016/j.jhsa.2013.03.047. Review. PubMed PMID: 23790425.
Weller A, Garg S, Larson AN, Fletcher ND, Schiller JR, Kwon M, Copley LA, Browne R, Ho CA. Management of the pediatric pulseless supracondylar humeral fracture: is vascular exploration necessary? J Bone Joint Surg Am. 2013 Nov 6;95(21):1906-12. doi: 10.2106/JBJS.L.01580. PubMed PMID: 24196459.
Question 6
Figure 6 is the radiograph of a 65-year-old right-hand-dominant woman with right upper extremity pain and deformity after falling down several steps. Her sensory functions are grossly intact, but motor strength is 4/5 for anterior interosseous nerve, posterior interosseous nerve, and ulnar nerve distributions distally. Her capillary re ll is 2 seconds, and her skin is intact. Evaluation reveals no other major injuries. In addition to careful evaluation of the joint proximally and distally, what is the best next step?
RECOMMENDED READINGS
Doornberg J, Lindenhovius A, Kloen P, van Dijk CN, Zurakowski D, Ring D. Two and three-dimensional computed tomography for the classi cation and management of distal humeral fractures. Evaluation of reliability and diagnostic accuracy. J Bone Joint Surg Am. 2006 Aug;88(8):1795-801. PubMed PMID: 16882904.
Galano GJ, Ahmad CS, Levine WN. Current treatment strategies for bicolumnar distal humerus fractures. J Am Acad Orthop Surg. 2010 Jan;18(1):20-30. Review. PubMed PMID: 20044489.
Question 10 Figures 10a and 10b are the radiographs of a 6-year-old girl who fell on her outstretched right hand. What is the best next step?
1- Closed reduction and casting of the supracondylar humeral fracture
2- Closed reduction and pinning with 2 or 3 laterally introduced pins of the supracondylar humeral fracture
3- Closed reduction and pinning with 2 laterally introduced pins and 1 medially introduced pin of the supracondylar humeral fracture
4- Open reduction and pinning of the supracondylar humeral fracture with 2 or 3 laterally introduced pins
5- Open reduction and pinning of the supracondylar humeral fracture with 2 laterally introduced pins and 1 medially introduced pin

2- Closed reduction and pinning with 2 or 3 laterally introduced pins of the supracondylar humeral fracture
RECOMMENDED READINGS
American Academy of Orthopaedic Surgeons: The Treatment of Pediatric Supracondylar Humerus Fractures. Rosemont, IL: American Academy of Orthopaedic Surgeons, September 2011. Available at http://www.aaos.org/research/guidelines/guide.asp. Accessed September 8, 2015. Mallo G, Stanat SJ, Ga ney J. Use of the
Gartland classi cation system for treatment of pediatric supracondylar humerus fractures. Orthopedics. 2010 Jan;33(1):19. doi: 10.3928/01477447-20091124-08. PubMed PMID: 20055347.
Figures 14a and 14b are the radiographs of a 6-year-old girl who fell on her outstretched right hand and is seen in the emergency department. She has decreased pulses and an under perfused hand. Closed reduction and pinning with 3 laterally introduced pins is performed. Pulses at the wrist are absent, and her hand is still under perfused. What is the best next step?
PREFERRED RESPONSE: 1 Explore the antecubital fossa
RECOMMENDED READINGS
American Academy of Orthopaedic Surgeons: The Treatment of Pediatric Supracondylar Humerus Fractures. Rosemont, IL: American Academy of Orthopaedic Surgeons, September 2011. Available at http://www.aaos.org/research/guidelines/guide.asp. Accessed September 8, 2015.
Garbuz DS, Leitch K, Wright JG. The treatment of supracondylar fractures in children with an absent radial pulse. J Pediatr Orthop. 1996 Sep-Oct;16(5):594-6. PubMed PMID: 8865043.
Question 18
A 24-year-old man has a low-velocity gunshot wound to his right humerus. It is an isolated injury, and he has complete radial nerve palsy. Optimal treatment should consist of antibiotics and
PREFERRED RESPONSE: 5 immobilization in a coaptation splint and observation of the radial nerve to see if function returns.
RECOMMENDED READINGS
Guo Y, Chiou-Tan FY. Radial nerve injuries from gunshot wounds and other trauma: comparison of electrodiagnostic ndings. Am J Phys Med Rehabil. 2002 Mar;81(3):207-11. PubMed PMID: 11989518.
Vaidya R, Sethi A, Oliphant BW, Gibson V, Sethi S, Meehan R. Civilian gunshot injuries of the humerus. Orthopedics. 2014 Mar;37(3):e307-12. doi: 10.3928/01477447-20140225-66. PubMed PMID: 24762161.
Question 32
Figures 32a through 32e are the radiographs, CT scans, and arthroscopic view of a 26-year-old man who was hit by a car and sustained an injury to his right knee. Treatment of his injury should include

PREFERRED RESPONSE: 3 Revascularization of the leg, ORIF of the medial tibial plateau, and repair or reconstruction of the LCL and posterolateral corner.
RECOMMENDED READINGS
Cole P, Levy B, Schatzker J, Watson JT. Tibial plateau fractures. In: Browner B, Levine A, Jupiter J, Trafton P, Krettek C, eds. Skeletal Trauma: Basic Science Management and Reconstruction. Philadelphia, PA: Saunders Elsevier; 2009:2201-2287.
Chang SM, Zhang YQ, Yao MW, Du SC, Li Q, Guo Z. Schatzker type IV medial tibial plateau fractures: a computed tomography-based morphological subclassi cation. Orthopedics. 2014 Aug;37(8):e699-706. doi: 10.3928/01477447-20140728-55. PubMed PMID: 25102505.
Question 40
Figures 40a through 40d are the radiographs and CT scans of an 18-year-old woman who sustained a tibia/ bula fracture. Prior to intramedullary nailing of the tibia, the physician should

PREFERRED RESPONSE: 4 perform reduction and internal xation of the intra-articular split.
RECOMMENDED READINGS
Tejwani N, Polonet D, Wolinsky PR. Controversies in the intramedullary nailing of proximal and distal tibia fractures. J Am Acad Orthop Surg. 2014 Oct;22(10):665-73. doi: 10.5435/JAAOS-22-10-665. PubMed PMID: 25281261.
Casstevens C, Le T, Archdeacon MT, Wyrick JD. Management of extra-articular fractures of the distal tibia: intramedullary nailing versus plate xation. J Am Acad Orthop Surg. 2012 Nov;20(11):675-83. doi: 10.5435/JAAOS-20-11-675. PubMed PMID: 23118133.
Question 57 (Item Deleted)
Figures 57a and 57b are the CT scanograms of a 24-year-old man who was shot in the left thigh. He sustained an isolated comminuted femoral shaft fracture. After performing a locked intramedullary nail procedure, the scanogram was taken to check rotational alignment. After reading the scanogram, what is the best next step?

PREFERRED RESPONSE: 3
RECOMMENDED READINGS
Lindsey JD, Krieg JC. Femoral malrotation following intramedullary nail xation. J Am Acad Orthop Surg. 2011 Jan;19(1):17-26. PubMed PMID: 21205764.
Gugala Z, Qaisi YT, Hipp JA, Lindsey RW. Long-term functional implications of the iatrogenic rotational malalignment of healed diaphyseal femur fractures following intramedullary nailing. Clin Biomech (Bristol, Avon). 2011 Mar;26(3):274-7. doi: 10.1016/j.clinbiomech.2010.11.005. Epub 2010 Nov 30. PubMed PMID: 21122956.
Figure 63
Figure 63 is the CT scan of a 43-year-old woman who was involved in a motor vehicle collision and sustained multiple injuries including a pelvic fracture. The injury shown in the CT scan is most consistent with a (an)
combined-mechanism (CM) injury with a VS mechanism with a completely unstable right hemipelvis and a LC injury resulting in a completely unstable left hemipelvis.
anteroposterior compression (APC) mechanism resulting in a completely unstable right hemipelvis.
APC mechanism resulting in a partially unstable right and left hemipelvis.
vertical shear mechanism resulting in a partially unstable left hemipelvis internal rotation and
a completely unstable right hemipelvis external rotation (open book).
lateral compression mechanism type 3 resulting in a partially unstable left hemipelvis internal
rotation and a partially unstable right hemipelvis external rotation (open book).

PREFERRED RESPONSE: 5
RECOMMENDED READINGS
Pennal GF, Tile M, Waddell JP, Garside H. Pelvic disruption: assessment and classi cation. Clin Orthop Relat Res. 1980 Sep;(151):12-21. PubMed PMID: 7418295.
Marsh JL, Slongo TF, Agel J, Broderick JS, Creevey W, DeCoster TA, Prokuski L, Sirkin MS, Ziran B, Henley B, Audigé L. Fracture and dislocation classi cation compendium - 2007: Orthopaedic Trauma Association classi cation, database and outcomes committee. J Orthop Trauma. 2007 Nov-Dec;21(10 Suppl):S1-133. PubMed PMID: 18277234.
Young JW, Burgess AR, Brumback RJ, Poka A. Pelvic fractures: value of plain radiography in early assessment and management. Radiology. 1986 Aug;160(2):445-51. PubMed PMID: 3726125.
Question 73
Figure 73a is the radiograph of a healthy 50-year-old farmer who was driving a pickup truck when he was involved in a motor vehicle collision. He arrived at the hospital 3 hours after the injury with right hip pain. You elect to reduce and x his hip. After obtaining informed consent, he is placed under general anesthesia and positioned on the fracture table. Figures 73b and 73c are the uoroscopic gures after your best attempt at reduction. What is the best next step?

PREFERRED RESPONSE: 4
RECOMMENDED READINGS
Pauyo T, Drager J, Albers A, Harvey EJ. Management of femoral neck fractures in the young patient: A critical analysis review. World J Orthop. 2014 Jul 18;5(3):204-17. doi: 10.5312/wjo.v5.i3.204. eCollection 2014 Jul 18. Review. PubMed PMID: 25035822.
Kregor PJ. The e ect of femoral neck fractures on femoral head blood ow. Orthopedics. 1996 Dec;19(12):1031-6; quiz 1037-8. Review. PubMed PMID: 8972521.
Upadhyay A, Jain P, Mishra P, Maini L, Gautum VK, Dhaon BK. Delayed internal xation of fractures of the neck of the femur in young adults. A prospective, randomised study comparing closed and open reduction. J Bone Joint Surg Br. 2004 Sep;86(7):1035-40. PubMed PMID: 15446534.3.
Gautam VK, Anand S, Dhaon BK. Management of displaced femoral neck fractures in young adults (a group at risk). Injury. 1998 Apr;29(3):215-8. PubMed PMID: 9709424.
Parker MJ. The management of intracapsular fractures of the proximal femur. J Bone Joint Surg Br. 2000 Sep;82(7):937-41. Review. PubMed PMID: 11041577.
Weinrobe M, Stankewich CJ, Mueller B, Tencer AF. Predicting the mechanical outcome of femoral neck fractures xed with cancellous screws: an in vivo study. J Orthop Trauma. 1998 Jan;12(1):27-36; discussion 36-7. PubMed PMID: 9447516.
Bosch U, Schreiber T, Krettek C. Reduction and xation of displaced intracapsular fractures of the proximal femur. Clin Orthop Relat Res. 2002 Jun;(399):59-71. Review. PubMed PMID: 12011695.
Garden RS. Malreduction and avascular necrosis in subcapital fractures of the femur. J Bone Joint Surg Br. 1971 May;53(2):183-97. PubMed PMID: 5578215.
Question 78
Figures 78a and 78b are the radiographs of a 62-year-old woman with long-standing type 1 diabetes mellitus who fell and injured her right ankle. Her HbA1c level is 8%, or 64 mmol/mol. She has loss of protective sensibility that is con rmed via testing with a 5.07 Semmes-Weinstein monofilament. What is the best next step?

PREFERRED RESPONSE: 4
RECOMMENDED READINGS
Rosenbaum AJ, Dellenbaugh SG, Dipreta JA, Uhl RL. The management of ankle fractures in diabetics: results of a survey of the American Orthopaedic Foot and Ankle Society membership. Foot Ankle Spec. 2013 Jun;6(3):201-5. doi: 10.1177/1938640013477132. Epub 2013 Feb 19. PubMed PMID: 23424187.
McCormack RG, Leith JM. Ankle fractures in diabetics. Complications of surgical management. J Bone Joint Surg Br. 1998 Jul;80(4):689-92. PubMed PMID: 9699839.
Wukich DK, Kline AJ. The management of ankle fractures in patients with diabetes. J Bone Joint Surg Am. 2008 Jul;90(7):1570-8. doi: 10.2106/JBJS.G.01673. Review. PubMed PMID: 18594108.
Question 82
A 23-year-old African American mother of 2 children from a low-income household is seen in the emergency department with a subtrochanteric hip fracture. She has a history of frequent emergency room visits for chronic low-back pain, abdominal pain, a sleep disorder, and severe headaches. She most likely
PREFERRED RESPONSE: 5
RECOMMENDED READINGS
Zillmer DA. Domestic violence: the role of the orthopaedic surgeon in identi cation and treatment. J Am Acad Orthop Surg. 2000 Mar-Apr;8(2):91-6. Review. PubMed PMID: 10799094.
AAOS Information Statement
Child Abuse or Maltreatment, Elder Maltreatment, and Intimate Partner Violence (IPV): The Orthopaedic Surgeon’s Responsibilities in Domestic and Family Violence http://www.aaos.org/about/papers/ advistmt/1030.asp Accessed September 8, 2015.
Question 91
Figures 91a and 91b are the current radiographs of a 60-year-old woman with type 1 diabetes mellitus who sustained a bimalleolar ankle fracture treated with open reduction and internal xation 6 weeks ago. What is the best next step?

PREFERRED RESPONSE: 4
RECOMMENDED READINGS
Rosenbaum AJ, Dellenbaugh SG, Dipreta JA, Uhl RL. The management of ankle fractures in diabetics: results of a survey of the American Orthopaedic Foot and Ankle Society membership. Foot Ankle Spec. 2013 Jun;6(3):201-5. doi: 10.1177/1938640013477132. Epub 2013 Feb 19. PubMed PMID: 23424187.
Wukich DK, Kline AJ. The management of ankle fractures in patients with diabetes. J Bone Joint Surg Am. 2008 Jul;90(7):1570-8. doi: 10.2106/JBJS.G.01673. Review. PubMed PMID: 18594108.
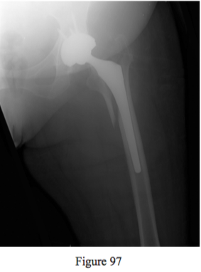
Question 97
Figure 97 reveals a fracture sustained by a 60-year-old man 5 weeks after he underwent total hip arthroplasty. What is the most appropriate way to treat this fracture?

PREFERRED RESPONSE: 4
RECOMMENDED READINGS
Masri BA, Meek RM, Duncan CP. Periprosthetic fractures evaluation and treatment. Clin Orthop Relat Res. 2004 Mar;(420):80-95. Review. PubMed PMID: 15057082.
Ko PS, Lam JJ, Tio MK, Lee OB, Ip FK. Distal xation with Wagner revision stem in treating Vancouver type B2 periprosthetic femur fractures in geriatric patients. J Arthroplasty. 2003 Jun;18(4):446-52. PubMed PMID: 12820087.
Question 102
Figures 102a and 102b are the radiographs of a 60-year-old woman who slipped and fell and is unable to bear weight. In the emergency department, she was found to be neurologically intact and had good pulses. What is the most likely diagnosis?

PREFERRED RESPONSE: 4
RECOMMENDED READINGS
Sohn HS, Yoon YC, Cho JW, Cho WT, Oh CW, Oh JK. Incidence and fracture morphology of posterolateral fragments in lateral and bicondylar tibial plateau fractures. J Orthop Trauma. 2015 Feb;29(2):91-7. doi: 10.1097/BOT.0000000000000170. PubMed PMID: 24978940.
Marsh JL. Tibial plateau fractures. In: Bucholz RW, Heckman JD, Court-Brown CM, Tornetta P, eds. Rockwood and Green’s Fractures in Adults. 7th ed. Philadelphia, PA: Lippincott Williams & Wilkins; 2012:1787-1789.
Question 107
Figures 107a through 107c are the radiographs of a 9-year-old girl who is seen in the emergency department 1 hour after a fall from monkey bars. A gross deformity is noted at the left elbow, but there are no lacerations or open areas in the skin. She is further assessed and found to have delayed capillary re ll, diminished radial artery pulsation in the ipsilateral hand, and decreased ability to ex her ngers and wrist (when compared to the contralateral side). What is the best next step?

PREFERRED RESPONSE: 1
Kelly DM, Meier J. Shoulder, upper arm, and elbow trauma: Pediatrics. In: Cannada LK, ed. Orthopaedic
RECOMMENDED READINGS
Knowledge Update 11. Rosemont, IL: American Academy of Orthopaedic Surgeons; 2014:785-795.
Carter CT, Bertrand SL, Cearley DM. Management of pediatric type III supracondylar humerus fractures in the United States: results of a national survey of pediatric orthopaedic surgeons. J Pediatr Orthop. 2013 Oct-Nov;33(7):750-4. doi: 10.1097/BPO.0b013e31829f92f3. PubMed PMID: 24025582.
Abzug JM, Herman MJ. Management of supracondylar humerus fractures in children: current concepts. J Am Acad Orthop Surg. 2012 Feb;20(2):69-77. doi: 10.5435/JAAOS-20-02-069. Review. PubMed PMID: 22302444.
Babal JC, Mehlman CT, Klein G. Nerve injuries associated with pediatric supracondylar humeral fractures: a meta-analysis. J Pediatr Orthop. 2010 Apr-May;30(3):253-63. doi: 10.1097/ BPO.0b013e3181d213a6. PubMed PMID: 20357592.
Question 111 (Item Deleted)
A woman with multiple injuries is unconscious. Her injuries include a closed comminuted tibial shaft fracture for which there is concern for the development of compartment syndrome. As intracompartmental pressure (ICP), systolic blood pressure (sBP), and diastolic blood pressure (dBP) are monitored, at which point is fasciotomy indicated?
PREFERRED RESPONSE: 3
RECOMMENDED READINGS
Whitesides TE, Heckman MM. Acute Compartment Syndrome: Update on Diagnosis and Treatment. J Am Acad Orthop Surg. 1996 Jul;4(4):209-218. PubMed PMID: 10795056.
Olson SA, Glasgow RR. Acute compartment syndrome in lower extremity musculoskeletal trauma. J Am Acad Orthop Surg. 2005 Nov;13(7):436-44. Review.PubMed PMID: 16272268.
Question 114
Scapular fractures are noteworthy for their associated injuries. Which imaging modality would identify the injury most commonly associated with scapular fractures?
PREFERRED RESPONSE: 2
RECOMMENDED READINGS
Lunsjo K, Tadros, Czechowski Jk, Abu-Zidan. Scapular fractures and associated injuries in blunt trauma: a prospective study. J Bone Joint Surg Br. 2006;88:Supp 1:141.
Baldwin KD, Ohman-Strickland P, Mehta S, Hume E. Scapula fractures: a marker for concomitant injury? A retrospective review of data in the National Trauma Database. J Trauma. 2008 Aug;65(2):430-5. doi: 10.1097/TA.0b013e31817fd928. PubMed PMID: 18695481.
Question 120
Figures 120a and 120b are the sagittal MR images of a man who injured his knee after he slipped and fell
on ice 2 days ago. He has severe knee pain and instability. Examination is di cult because of swelling, guarding, and apprehension. What is the indicated treatment?

PREFERRED RESPONSE: 4
RECOMMENDED READINGS
Matava MJ. Patellar Tendon Ruptures. J Am Acad Orthop Surg. 1996 Nov;4(6):287-296. PubMed PMID: 10797196.
Volk WR, Yagnik GP, Uribe JW. Complications in brief: Quadriceps and patellar tendon tears. Clin Orthop Relat Res. 2014 Mar;472(3):1050-7. doi: 10.1007/s11999-013-3396-6. Epub 2013 Dec 12. Review. PubMed PMID: 24338040; PubMed Central PMCID: PMC3916631.
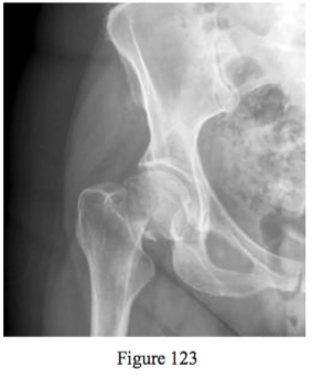
Question 123
Figure 123 is the anteroposterior radiograph of a 69-year-old active woman who fell o of a ladder and is unable to ambulate. Which treatment o ers the best long-term solution?

PREFERRED RESPONSE: 2
RECOMMENDED READINGS
Healy WL, Iorio R. Total hip arthroplasty: optimal treatment for displaced femoral neck fractures in elderly patients. Clin Orthop Relat Res. 2004 Dec;(429):43-8. PubMed PMID: 15577464.
Yu L, Wang Y, Chen J. Total hip arthroplasty versus hemiarthroplasty for displaced femoral neck fractures: meta-analysis of randomized trials. Clin Orthop Relat Res. 2012 Aug;470(8):2235-43. doi: 10.1007/s11999-012-2293-8. Epub 2012 Mar 1. PubMed PMID: 22395872; PubMed Central PMCID: PMC3392403.
Question 128
A 54-year-old man sustained a closed tibial shaft fracture that was treated with open reduction and internal xation using an intramedullary nail. On his follow-up visit, he noted that his foot was rotated di erently than the contralateral foot. Which imaging modality can be used to best evaluate the deformity?
PREFERRED RESPONSE: 5
RECOMMENDED READINGS
Puloski S, Romano C, Buckley R, Powell J. Rotational malalignment of the tibia following reamed intramedullary nail xation. J Orthop Trauma. 2004 Aug;18(7):397-402. PubMed PMID: 15289683.
Theriault B, Turgeon AF, Pelet S. Functional impact of tibial malrotation following intramedullary nailing of tibial shaft fractures. J Bone Joint Surg Am. 2012 Nov 21;94(22):2033-9. doi: 10.2106/JBJS.K.00859. PubMed PMID: 23172320.
Question 132
Which malunion is most commonly associated with intramedullary nailing (IMN) xation of proximal tibial shaft fractures?
PREFERRED RESPONSE: 2
RECOMMENDED READINGS
Ricci WM, O’Boyle M, Borrelli J, Bellabarba C, Sanders R. Fractures of the proximal third of the tibial shaft treated with intramedullary nails and blocking screws. J Orthop Trauma. 2001 May;15(4):264-70. PubMed PMID: 11371791.
Nork SE, Barei DP, Schildhauer TA, Agel J, Holt SK, Schrick JL, Sangeorzan BJ. Intramedullary nailing of proximal quarter tibial fractures. J Orthop Trauma. 2006 Sep;20(8):523-8. PubMed PMID: 16990722.
Hiesterman TG, Sha q BX, Cole PA. Intramedullary nailing of extra-articular proximal tibia fractures. J Am Acad Orthop Surg. 2011 Nov;19(11):690-700. Review. PubMed PMID: 22052645.
Question 135 (ADD IMAGE)
Figures 135a through 135c are the radiographs of a 78-year-old woman who sustained an elbow injury to her nondominant arm after a fall from a standing height. If considering total elbow arthroplasty vs internal fixation, the preferred surgical approach is