Orientation dg et principales PID aigues

10 principales étiologies de PID sub-aigues / chroniques

EFR dans les PID : important +++ à connaitre
► TV restrictif :
►Altération de la fonction échangeur du poumon
5 lésions radiologiques typiques du TDM dans les PID

Algorythme dg des PID chroniques

Lésions élémentaires ?
Dg ?

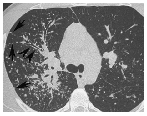
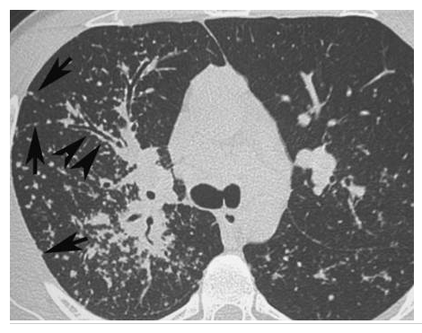
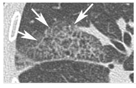
Sarcoïdose.
Présence de micronodules dans la région moyenne des poumons, situés en région sous-pleurale, le long des septa interlobulaires (flèches) et le long des bronches (têtes de flèches).

Lésions élémentaires ?
Dg ?

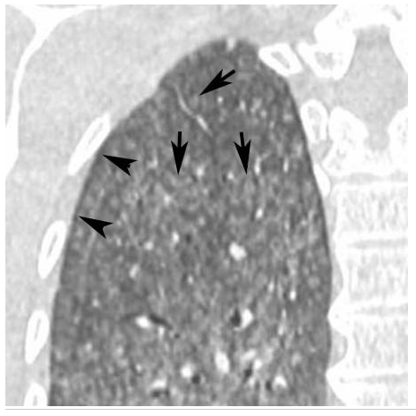
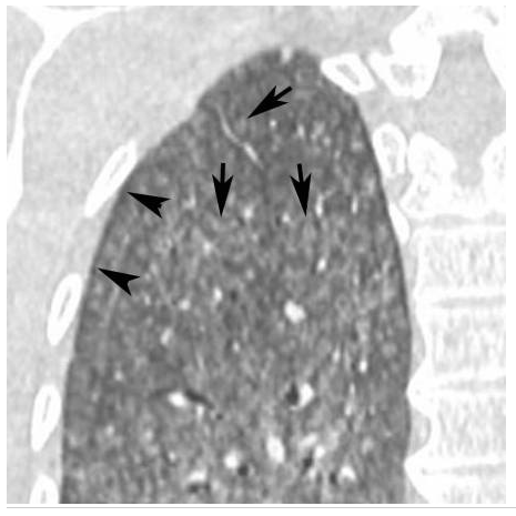
Pneumopathie d’hypersensibilité.
Agrandissement sur le sommet droit d’une coupe frontale. Micronodules à limites floues (flèches) de distribution diffuse dans les deux poumons. Leur topographie centrolobulaire est attestée par l’absence de micronodules sous-pleuraux (têtes de flèches).

Lésions élémentaires ?
Dg ?


Lésions élémentaires ?
Dg ?


Anomalies évocatrices :
micronodules de topographie sous-pleurale, septale et péri-broncho-vasculaire ⇒ ? ;
lignes septales irrégulières et nodules => ?
lignes septales régulières, opacités en verre dépoli et épanchement pleuraux dans => ?
réticulations intralobulaires et rayon de miel dominant de topographie basale et corticale dans =>
plages de condensation périphérique ou de verre dépoli dans => ?
micronodules centrolobulaires flous et/ou verre dépoli diffus dans => ?
micronodules de topographie sous-pleurale, septale et péri-broncho-vasculaire pour la sarcoïdose ;
lignes septales irrégulières et nodules dans la lymphangite carcinomateuse ;
lignes septales régulières, opacités en verre dépoli et épanchement pleuraux dans l’œdème interstitiel cardiogénique ;
réticulations intralobulaires et rayon de miel dominant de topographie basale et corticale dans la fibrose pulmonaire idiopathique ;
plages de condensation périphérique ou de verre dépoli dans la pneumonie organisée cryptogénétique ;
micronodules centrolobulaires flous et/ou verre dépoli diffus dans la pneumonie d’hypersensibilité.
Fiche FPI
= Plus fréquente des PID de cause inconnue : âge moyen = 65 ans, prédominance masculine
Clinique :
Paraclinique :