25.2 Flashcards

(148 cards)

1
Q

Compared to a normothermic patient, a patient with mild intraoperative hypothermia (35.0 oC) will have:
a) pericardial
b) thoracic
c) perisplenic
d) perinephric
e) perihepatic

A

perisplenic

How well did you know this?
1
Not at all
2
3
4
5
Perfectly
2
Q

Performing block of median nerve in cubital fossa. Which US probe to use?
a) Curvilinear
b) Linear probe 8-12 Hz
c) Linear probe 5-10 Hz
d) Thinner probe

A

linear probe 8-12Hz

How well did you know this?
1
Not at all
2
3
4
5
Perfectly
3
Q

Phaeochromocytoma - which drug to avoid?
a) metoclopramide
b) phentolamine
c) prazosin?
d) propofol
e) rocuronium

A

Metoclopramide

How Metoclopramide Affects Catecholamines:
1) Dopamine Blockade: Metoclopramide is a dopamine receptor antagonist, meaning it blocks dopamine’s inhibitory effect on sympathetic nerve endings, leading to increased catecholamine release.
2) Serotonin Receptor Activation: It also activates serotonin receptors, which further stimulates catecholamine and peptide secretion from tumor cells, especially in pheochromocytomas.
3) Increased Blood Pressure: This release causes moderate increases in systolic blood pressure and heart rate, with significant spikes in norepinephrine and epinephrine levels.

How well did you know this?
1
Not at all
2
3
4
5
Perfectly
4
Q

Intubate with 1mg/kg rocuronium. Surgery ceases. TOF count 0. PTC 2. What dose sugammadex to give?
a) 1mg/kg
b) 2mg/kg
c) 4mg/kg
d) 8mg/kg
e) 16mg/kg

A

4mg/kg

How well did you know this?
1
Not at all
2
3
4
5
Perfectly
5
Q

Opioid induced ventilatory impairment. Which is NOT a RF?
a) female
b) sleep disordered breathing
c) congestive cardiac failure (or some sort)
d) opioid naiive
e) long acting opioids?

A

A - female

Male is a risk factor

How well did you know this?
1
Not at all
2
3
4
5
Perfectly
6
Q

AFE diagnosis made via:
a) clinical diagnosis
b) cardiac monitoring of some sort
c) inflammatory complement system markers
d)Imaging of some sort? Think decreased LV function on echo

A

Clinical diagnosis and diagnosis of exclusion
UKOSS diagnostic criteria in BJA ed article

How well did you know this?
1
Not at all
2
3
4
5
Perfectly
7
Q

Quiescent IBD in pt. Which medication will prompt a flare?
a) paracetamol
b) ibuprofen
c) tramadol
d) celecoxib

A

Ibuprofen

“It is estimated that NSAIDs may cause clinical relapse in ∼20% of patients with quiescent inflammatory bowel disease (IBD).32 Coxibs do not appear to be associated with relapse of IBD, but caution should still be exercised.”
2023 BJA NSAIDs

How well did you know this?
1
Not at all
2
3
4
5
Perfectly
8
Q

Bronchopleural fistula pt in ICU. Which is the recommended ventilation strategy?
- 5 Options were 2 of 3 of TV/RR/PEEP (combos of high/low)
- Low TV and low rate
- high peep and high rate

A

https://litfl.com/bronchopleural-fistula/
strategy: controlled, assist control, intermittent mandatory
lowest possible TV
lowest possible PEEP
short inspiratory time
encourage spontaneous breathing

How well did you know this?
1
Not at all
2
3
4
5
Perfectly
9
Q

Re: site of CVL, subclavian lines have lowest complication rate of:
a) infection
b) pneumothorax
c) thrombosis
d) arterial puncture
e) infection and thrombosis

A

Infection and Thrombosis. https://www.ncbi.nlm.nih.gov/books/NBK557798/

How well did you know this?
1
Not at all
2
3
4
5
Perfectly
10
Q

What is the ASA status of a pt with a TIA from 2 years ago who has otherwise been well?
a) 1
b) 2
c) 3
d) 4
e) 5

A

3

How well did you know this?
1
Not at all
2
3
4
5
Perfectly
11
Q

In OT, what does the blue electric socket denote?
a)connected to backup power supply
b) cardiac protected
c) equipotential earthed
d) connected to uninterrupted power supply
e) connected to standard power point/RCD

A

E) Connected to UPS

Electrical circuits connected to the UPS are denoted by a dark blue power socket, and are reserved for essential equipment without adequate battery backup.
2015 BJA environmental emergencies

How well did you know this?
1
Not at all
2
3
4
5
Perfectly
12
Q

A 64 year old man presenting for elective surgery is on thyroxine 100 mcg daily. His thyroid function tests are:
- TSH <0.05
- Both T4 and T3 within normal limits

These results are most consistent with:
a) Overtreatment
b) Subclinical hyperthyroidism
c) ?Sick euthyroid
d) Multinodular goitre
e) Previous hypophyseal resection

A

Overtreatment
- as in thyroxine

If not on thyroxine, would be subclinical hyperthyroidism

How well did you know this?
1
Not at all
2
3
4
5
Perfectly
13
Q

What is the concern with EMLA use in preterm babies?
a) methaemoglobinaemia
b)increases sensitivity due to liver or something?

A

Methaemoglobinaemia

How well did you know this?
1
Not at all
2
3
4
5
Perfectly
14
Q

What volume of air is used for the cuff of classic LMA size 4 if the manometer is unavailable?
a) 20mL
b) 25mL
c) 30mL
d) 40mL
e) 15mL

A

C) 30mL

How well did you know this?
1
Not at all
2
3
4
5
Perfectly
15
Q

Brachial plexus picture

Thie picture was the standard ones in brain scape flash cardsa) Radial
b) msc
c) axillary

A
How well did you know this?
1
Not at all
2
3
4
5
Perfectly
16
Q

Anterior ischaemic optic neuropathy. What is characteristic?
a) visual inattention
b) resolves fully within 24-48hrs
c) papillary oedema
d) Intact pupil reflex
e) painful

A

Papillary Oedema

How well did you know this?
1
Not at all
2
3
4
5
Perfectly
17
Q

What is a risk factor for failed epidural blood patch for postdural puncture headache?
a) Using loss of resistance to air
b) Original dural puncture >5cm
c) Injection of epidural blood patch <48hrs after accidental dural puncture
d) Sitting up and performing
e) volume 20 mL used

A

Risk factors identified for failure include a history of migraine headache, accidental dural puncture at higher lumbar levels, and injection of epidural blood patch <48 h after accidental dural puncture.
BJA 2022 failed epidural

How well did you know this?
1
Not at all
2
3
4
5
Perfectly
18
Q

Which nerve innervates lower third molar tooth?
a) Mental
b) Inferior alveolar
c) Lingual
d) superior alveolar nerve

A

Inferior Alveolar

How well did you know this?
1
Not at all
2
3
4
5
Perfectly
19
Q

According to Brain Trauma Foundation guidelines, what is the lower limit that adult GCS can be used?
a) 2 y/o
b) 4 y/o
c) 6 y/o
d) 8 y/o
e) 10 y/o

A

2 y/o
-> as per perplexity: referenced the BTF website

How well did you know this?
1
Not at all
2
3
4
5
Perfectly
20
Q

Paeds pt with distended abdomen. What is an indication for urgent transfer to theatre?
a) Pneumoperitoneum on CXR
b) Positive eFAST scan
c) Shocked at scene
d) Unresponsive to 20mL/kg blood during transfer

A

A) Pneumoperitoneum

How well did you know this?
1
Not at all
2
3
4
5
Perfectly
21
Q

This type of tracheal tube is best described as a (picture of airway device shown)

(repeat of 20.1)a) Mini tracheostomy tube
b) South facing RAE
c) Laser tube
d) Laryngectomy tube

A

Rusch Larygoflex Reinforced Laryngectomy tube
https://www.teleflexarcatalog.com/anesthesia-respiratory/airway/product/121181080-rusch-laryngoflex-laryngectomy-tube

How well did you know this?
1
Not at all
2
3
4
5
Perfectly
22
Q

G6PD - what is the risk with giving methylene blue for shock?
a) Haemolytic anaemia
b) Serotonin syndrome
c)

A

B) Haemolytic Anaemia

How well did you know this?
1
Not at all
2
3
4
5
Perfectly
23
Q

This Doppler trace obtained by transoesophageal echocardiography of the descending aorta (see far right) suggests
a. Aortic dissection
b. Aortic stenosis
c. Aortic regurgitation
d. Normal flow
e. High flow state

23.1 repeata. Aortic dissection
b. Aortic stenosis
c. Aortic regurgitation
d. Normal flow
e. High flow state

A

AR - bidirectional

How well did you know this?
1
Not at all
2
3
4
5
Perfectly
24
Q

ECOG surgery - which affects least?
a) dexmedetomidine
b) ketamine
c) nitrous oxide
d) sevoflurane
e) midazolam

A

Electrocorticography

B) Ketamine
- probably: activates IEAs which is desirable

Dexmed and Midaz both suppress background EcOG
Sevo: suppresses at high MAC
N20: suppresses

How well did you know this?
1
Not at all
2
3
4
5
Perfectly
25
What is the lowest figure at which pulse pressure variation suggests fluid responsiveness? a) 8% b) 13% c) 5% d) 20%
13%
26
Which heart murmur sound is HOCM? https://en.wikipedia.org/wiki/Heart_murmur#/media/File:Phonocardiograms_from_normal_and_abnormal_heart_sounds.svg This picture was the exact same one, note it doesnt have HOCM. I used principle of it being a SAM lesion which might be similar to AS?a) crescendo/descendo systolic murmur
Same as aortic stenosis: crescendo decrescendo - THANK GOD I CHOSE THIS
27
What is the mechanism of action of octreotide in Upper GI bleeding? a) reduced splanchnic blood flow b) vasoconstriction c) increases platelet aggregation
MOA: splanchnic vasoconstriction
28
In neonatal resuscitation, what inspiratory pressure in H2O is recommended for positive pressure ventilation? a) 20 b) 25 c) 30 d) 15
Start at peak inspiratory pressure (PIP) of 30 cm H2O for a term neonate (20-25 cm H2O preterm neonate) and positive end expiratory pressure (PEEP) of 5 cm H2O at 40-60 breaths/minute https://www.seslhd.health.nsw.gov.au/sites/default/files/documents/Neoresusdelivery20.pdf
29
A patient has numbness and weakness in her hand postoperatively. You are trying to distinguish between an ulnar nerve lesion and a C8-T1 radiculopathy. You can diagnose a C8-T1 radiculopathy if she has weakness a) Thumb adduction b) Thumb abduction c) Fingers adduction d) Fingers Abduction e) Little finger flexion
21.1 repeat - thumb ABduction
30
What is an absolute contraindication to cardiopulmonary exercise testing? a) Unstable angina b) Pulmonary hypertension c) HOCM d) left main disease (untreated,BUT it didnt state "critical"
Unstable angina
31
The Glasgow Blatchford score is used to risk stratify: Repeat a) Pulmonary haemorrhage b) Traumatic intraperitoneal haemorrhage c) PPH d) SAH e) UGI bleed
Upper GI bleed
32
The manufacturer’s instructions for use of the i-gel supraglottic airway device recommend a minimum patient weight in kg of a) 1 b) 2 c) 3 d) 5 e) 10
2Kgs
33
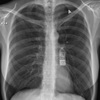
Pt with history of syncope. CXR with rectangular device near left nipple a) Implantable loop recorder b) Leadless PPM c) DBS
Loop Recorder
34
CXR with what seemed like CRT-D (3 leads). Where is the lead? a) RV b) LV c) RA d) Coronary sinus
Answer: Coronary Sinus
35
ANOVA is: a) comparison between two or more means b) bunch of other options that didnt make sense repeat from memory
Comparison between 2 or more means
36
What are the components of the MIST handover in trauma represents: Mechanism, Injury, Signs, Treatment - investigations/symptoms in there as decoys
Mechanism, Injury, Signs, Treatment - investigations/symptoms in there as decoys
37
Which is NOT a risk factor for emergence agitation in paeds? a) Nitrous oxide b) Male c) Autism spectrum disorder d) Volatile use e) Ages 2-5
a) N20
38
Post femoral block, how long should noninvasive monitoring occur for? a) 10 mins b) 15 mins c) 30 mins d) 60 mins
30mins
39
Vitamin C in acute pain. Which is true? a) IV does not work b) PO does not work c) dose dependent relationship d) reduced morphine requirements
Reduced morphine requirements - APSME
40
Lateral calf innervation (calf had nerve distributions). Had to identify which nerve to the right was the EXACT picture except the colors were different. Picture only had the right (posterior) image and wanted the blue section a) superficial peroneal b) sural c) lateral plantar d) saphenous nerve e) lateral cutaenous nerve
A. Superficial Peroneal n.
41
25 male with tibial shaft fracture who has pain,weakness dorsiflexion, some other symptoms. Which leg compartment affected by compartment syndrome? a) anterior b) medial c) lateral d) superifical posterior e) deep posterior
Anterior!
42
What type of variable influences dependent and independent variables? a) confounder b) mediator
Confounder
43
What is the minimum battery life of an anaesthetic machine?
30min
44
Mapleson without corrogated tubing Repeat question Optiosn had A B C D ect
C
45
What is the pin index system of medical air? a) 1-5 b) 2-5 c) 3-5 d) 1-6
1,5
46
The medication most strongly associated with an acute primary hypotensive reaction following transfusion of blood products is a. Aspirin b. Ibuprofen c. Hydralazine d. Metoprolol e. Perindopril
Made up options, but perindopril definitely in there
47
When is the risk of delayed cerebral ischaemia post subarachnoid haemorrhage highest? a) <24hrs b) 1-3 days c) 4-10 days d) >14 days
4-10 days
48
Which intervention has best mortality benefit for subarachonid haemorrhage? a) Clipping <24hrs b) Clipping >24hrs c) Coiling <24hrs d) Coiling >24hrs e) Vasopasm management
https://www.ahajournals.org/doi/10.1161/strokeaha.110.602888 Coil within 24hrs
49
Of the following, the congenital condition LEAST commonly associated with obstructive sleep apnoea in children is a) Prada Willi Syndrome b) Duchenne Muscular dystrophy c) Down Syndrome d) Spina bifida e) Tetralogy of Fallot
A: Tetrology of Fallot Prader Willi: OSA 79-94% Duchenne: 31-92% Down‘s: 50-80% SB: 60-80%
50
The blood product that contains the highest concentration of citrate is a) Plasma b) RBCs c) Platelets d) Cryoprecipitate e) Fibrinogen concentrate f) FFP was an option?
FFP
51
How soon will an activated charcoal filter reduce an anaesthetic machine to less than 5 parts per million? a) 3 mins b) 5 mins c) 10 mins
3 mins https://www.dynasthetics.com/Vapor-Clean/ lists <2mins
52
Crush injury - expected abnormality early: a) hypokalaemia b) hypocalcaemia c) hypophosphataemia d) metabolic alkalosis e) Hypouricemia
Hypocalcaemia. - due to influx into damaged cells - worsens coagulopathy and cardiac instability Other expected changes - hyperkalaemia - hyperphosphataemia - hyperuricaemia - metabolic acidosis
53
When will the SaO2 (of ABG) be higher than SpO2 (from pulse oximeter)? 24.1: A patient’s true arterial oxygen saturation will be lower than a pulse oximeter reading in the presence of (same options)a) Sickle cell b) Methylene blue c) CO poisoning
Carboxyhaemoglobin
54
Which nerves does first stage of labour transmit through? a) S2-S4 b) T10-L1 c) L1-L2 d) T12-L3
T10-L1
55
Epidural placed for postop pain. How soon after epidural removal can prophylactic clexane be given? "According to ASRA guidelines was quoted I think" a) 1hr b) 4hr c) 6hr d) 12hr e) 24hr
If question was how soon after removal of catheter can prophylactic cleaned be given A: 4hrs If question was how long to withhold prophylactic clexane prior to removal A: 12hrs (Fred) Think this was actually how long to withhold prophylactic clexane prior to epidural catheter removal - 12 hours as per ASRA (Abe)
56
Dialysis best at removing: a) warfarin b) rivaroxaban c) dabigatran d) apixaban e) clopidogrel
Dabigatran
57
Pt with known WPW. Develops rapid AF. Haemodynamically stable. What's the safest therapy? a) Digoxin b) Verapamil c) Cardioversion d) Metoprolol
https://litfl.com/wolff-parkinson-white-syndrome-ccc/ Likely electricity
58
Benzatropine ameliorates the side effects of drugs that antagonise a. Dopamine b) serotonin c) nicotine
Dopamine
59
Pts on SSRI perioperatively may experience all of these except: a) AFib b) bleeding c) mental status changes d) serotonin syndrome e) ventricular arrhythmias
E) ventricular arrhythmias Inhibit serotonin reuptake in platelets - increase bleeding transfusion risk A. Fib increased due to effects on conduction Mental status changes linked to to anticholinergic burden or withdrawal QT prolongation risk is minimal with SSRIs
60
When compared with nerve stimulator guided brachial plexus block, Ultrasound guided brachial plexus block results in a) less neuropraxia b) less risk of systemic toxicity c) reduced time to motor/sensory onset d) less pt satisfcation?
C) reduced time to motor/sensory block. - reduced risk of LAST also true
61
Pulse pressure variation has reliable utility in which condition: a) thoracotomy b) spontaneously breathing c) pulmonary hypertension d) septic shock e) Increased abdominal pressures
D) Septic shock Conditions for accurate PPV Fully Mechanical ventilated Sinus Rhythm TV 8ml/kg Closed chest No spontaneous breaths No R) heart failure or Pulmonary HTN No rise in abdominal pressure
62
A 35-year-old patient is undergoing a diagnostic laparoscopy. Three minutes after insufflation of CO2 her oxygen saturation falls to 85%. You note decreased air entry on the left side of her chest. Lung ultrasound on the left reveals lung pulse and no lung sliding. The best first action is to a) Needle decomp mid clav 2nd intercostal b) Finger decomp c) Chest drain insertion d) Withdrraw ETT 1-2cm
Withdraw ETT 1-2cm
63
IO sample correlates well for: a) Hb b) Potassium c) Platelets d) Chloride? e) WCC
A) Hb Potassium higher Platelets/WCC - poor/no correlation from bone marrow contamination Chloride moderate but inferior to Hb
64
Trigeminal neuralgia - 1st line management: a) Tramadol b) Amitriptyline c) Carbamazepine
Carbamazepine
65
ECG: what does it show? BBB a) 1st degree AV block b) Mobitz type 1 c) Mobitz type 2 d) Sinus bradycardia e) Complete heart block
66
Pacemaker code for V in NASPE/BPEG Generic (NBG) Pacemaker Code? a) Rate modulation b) Paced c) Sensed d) Response to sense e) Multi site pacing
Multisite pacing
67
NOF pt under GA. sBP drops to 75, you have given multiiple bouts of metaraminol with no improvement. ECG rhythm displayed (shows rapid AF, rate ~160). Next management: a) amiodarone 300mg IV b) cardioversion 200J c) adrenalin d) metoprolol
Shock
68
ALS in adult patient. VFib -> given 2 shocks, then IV adrenaline, then 1 shock. Next treatment: a) DCCV 200J b) amiodarone 300mg IV c) adrenaline 1mg IV d) lignocaine 100mg IV
Amiodarone
69
Dosing in anaphylaxis for paediatric patient in mcg/kg for moderate (it specified grade 2) anaphylaxis: a) 1 b) 2 c) 4 d) 10
2mcg/kg
70
1hr post open cardiac surgery. Pt arrests - they are ventilated. What's the next management? a) Immediate external cardiac massage b) Adrenaline 1mg c) Defibrillate as per cardial ALS d) Aim resternotomy within 30 minutes e) Switch from ventilator to BMV
defibrillate as per ACLS
71
For hyperkalaemic treatments, which has the most rapid onset of action? (or peak) a) IV insulin/dextrose b) IV sodium bicarbonate c) Nebulised salbutamol d) Resonium
IV insulin dextrose has the shortest onset time on the RCH guideline for hyperkalemia
72
Pt has had a miscarriage for emergency suction curettage. INR (or PT) 1.2x normal, aPTT 65 seconds. What test to order next? a) Mixing tests b) Fibrinogen d) Factor 8 test
A) Mixing studies Normal INR and increased APTT. Mixing study will determine whether this is due to factor deficiency or inhibitor (e.g lupus anticoagulant). Mixing patients plasma 1:1 with normal will correct APTT if factor deficiency and will remain high if anticoagulant.
73
A 45yo man presents with a hx of SOB and the following flow-volume loop is obtained. This is most consistent with (See far right) a) fixed b) variable intrathoracic c) variable extrathoracic d) early airflow obstruction
Variable intrathoracic - same as 22.1 I thought it showed decreased inspiration so would be extrathoracic variable? agree with this - extrathoracic variable
74
What is not in beriplex (or prothrombinex 4 factor) a) Factor 7 b) Factor 10 c) Factor 8 d) Protein C e) Factor 9
Factor 8
75
Differential hypoxia is a syndrome characterised by lower arterial oxygen saturation in the upper body. It is a complication specific to the use of a) VA ECMO b) VV ECMO c) ECCO2 device d) Haemodialysis e) Peritoneal dialysis
VA ECMO
76
Which von Willebrand Disease type is desmopressin ineffective? a) 1 b) 2a c) 2M d) 2N e) 3
Type 3 always ineffective https://www.rch.org.au/clinicalguide/guideline_index/Von_Willebrand_Disease_vWD/
77
Arndt bronchial blocker- which port does the blocker go down? Repeat style and showed all 4 ports as options.
Bronchial blocker goes down diagonal port. Circuit connects to the port at right angle Bronchoscope goes down port in continuation with ETT connection
78
An electrocardiogram (ECG) abnormality which is NOT usually associated with severe anorexia nervosa is a. Resting tachycardia b. Wandering pacemaker c. ST depression d. TWI e. Prolonged QT
21B repeat - resting tachycardia
79
Showing a modern chest drain, what do fluctuations in the blue chamber with the numbers 1-5 represent? a) Severity of air leak b) Suction c) Intrapleural pressure d) Collection chamber
Was poitning to air leak This exact image
80
Pt with lean body mass 50kg. Given 100mg lignocaine. If assuming max dose lignocaine 4mg/kg and bupivacaine 2mg/kg, how much bupivacaine can safely be given concurrently to this pt? a) 100mg b) 50mg c) 200mg d)
50mg
81
A patient who is day 3 post laparotomy has used 30 mg oxycodone intravenously via patient controlled analgesia in the last 24 hours. The approximate oral morphine equivalent daily dose is
90mg
82
Which antidiabetic med reduces renal glucose absorption? a) GLP1 agonists b) SGLT2 inhibitors c) sulphynlyrea
SGLT2 inhibitor
83
The part of the lung that is typically divided into apical, anterior and posterior segments is the a) RUL b) RML c) RLL d) LUL e) LLL
RUL
84
The shoulder joint receives sensory innervation from all of the following nerves EXCEPT the a) Axillary b) Long thoracic c) Lateral pectoral d) Suprascapular e) Subscapular
23.2 - ? long thorcic
85
SBP target if 80 year old male with TBI a)SBP 90 b) SBP 100 c) SBP 110
110
86
Obesity in pregnancy does not increase risk of - a. antenatal depression, b. cholestasis, c. pre eclampsia d gestational HTN
Antenatal Depression (Fred) - as per perplexity
87
A thoracic regional technique that will NOT provide analgesia for sternal fractures is a repeat optionsa. Transversus throacic plane block b. PECS I c. Parasternal intercostal nerve block
PECS 1
88
The MELD (Model for End-Stage Liver Disease) score includes all of the following parameters EXCEPT: a) Bilirubin b) INR c) Albumin d) Creatinine e) Sodium
24.1 - Albumin.. interestingly they didn't call it MELD-Na this time around but i still think the answer most correct is albumin
89
A 10-year-old child (weight 30 kg) presents to the emergency department in status epilepticus. They have received one dose of 10 mg midazolam buccally prior to arrival to hospital. According to Advanced Paediatric Life Support Australia guidelines the next drug treatment should be intravenous: a) Phenytoin b) Midazolam c) Propofol d) Levetiracetam
Midazolam
90
For a skewed distribution of data the best measure of dispersion of data is the a) range b) mode c) standard deviation d) variance e) Interquartile Range
Interquartile Range Range: ignores data density Mean: fail in skewed data due to distortion at tails Mode: measures central tendency - not dispersion SD: assumes normal distribution Variance: assumes normal distribution
91
As per 2021 Surviving Sepsis guidelines, when to start IV corticosteroids? a) Wait until synacthen test b) For 1hr if mAP <65 c) norad > 0.1mcg/kg/min for any duration d) norad > 0.25mcg/kg/min for at least 4 hours e) norad > 0.5mcg/kg/min for at least 2 hours
It is suggested that this is commenced at a dose of norepinephrine or epinephrine ≥ 0.25 mcg/kg/min at least 4 hours after initiation. 2021 Sepsis
92
Non-inferior study. Specific study crossed 0 but NOT non-inferior line. What does this result mean? The image to the right was the exact image. It wanted the 3rd from the top (non inferior) a) superior b) non inferior c) nonconclusive d) inferior
Non-inferior
93
First line treatment of extravasated norad is a) Remove cannula b) Flush cannula c) Cold compress d) SC phentolamine e) heparin
S/C phentolamine
94
NAP 7 most common cause of arrest intraop??? a) Anaphylaxis b) Cardiac Ischaemia c) Major haemorrhage
Major haemorrhage
95
Predictors of successful awake extubation after volatile anaesthesia in infants include a. 2mL/kg tidal volume b. grimacing c. coughing d. RR > 20 e. CO2 > 60
Grimacing Predictors: - eye opening - purposeful movements - conjugate gaze - TV >5ml/kg - grimace
96
Which drug to avoid in cocaine toxicity? A) Adenosine B) Diazepam C) Metoprolol D) Glyceryl trinitrate E) Verapamil
Metoprolol Results in unopposed alpha stimulation - unopposed vasoconstriction. Worsen HTN, coronary spasm, ischaemia.
97
You are performing femoral venous cannulation in an obese man under ultrasound guidance. The image quality is suboptimal as the vein is deep. The best way to improve the image quality is to a. Use higher frequency probe b. Use lower frequency probe c. increase the contrast
22B
98
Equity, fair access - which ethical principle does this represent? a) autonomy b) beneficence c) justice d) non-malifencence
Justice - as per perplexity “Justice in medical ethics emphasises fair, equitable and appropriate treatment and distribution of healthcare resources, ensuring no unfair disadvantage based on socioeconomic status, location or other factors”
99
When interpreting an arterial blood gas, a high serum anion gap is consistent with: a) Lithium toxicity b) Salicylate toxiticy c) Hypercholeraemia d) Hypoalbuminaemia e) Hypercalcaemia
B Salicylate toxicity ( L TKR - Toxins)
100
A medication that should be avoided in a patient with thyroid storm is: a) Ibuprofen b) Propranolol c) Potassium Iodide d) PTU: Propylthiouracil
A: ibuprofen - displace thyroid hormones from binding proteins - increases free T4/3 levels -> worsens thyrotoxicosis
101
The clinical laser type with the greatest tissue penetration is: a) Argon b) Nd:yag c) Er:yag d) Co2 e) Holmium
B) Nd:YAG - as minimally absorbed by Hb and water
102
Oral naltrexone should be ceased preoperatively for: a) 24 hours b) 48 hours c) 72 hours d) 96 hours
C) 72hrs
103
Which is not lost in anterior spinal artery syndrome? a) Pain b) Temperature c) Motor d) Proprioception e) Bladder function
a) Proprioception - Posterior Columns unaffected (Vibration and Proprioception) Anterior spinal artery syndrome usually includes tracts in the anterior two-thirds of the spinal cord, which include the CSTs, the spinothalamic tracts, and descending autonomic tracts to the sacral centers for bladder control. CST involvements produce weakness and reflex changes. A spinothalamic tract deficit produces the bilateral loss of pain and temperature sensation. Tactile, position, and vibratory sensation are normal. Urinary incontinence is usually present.
104
According to the 5th National Audit Project (NAP5), the incidence of awareness during general anaesthesia using a non-relaxant technique is approximately: a. 1:1360 b. 1:13,600 c. 1:136,000 d. 1:1,136,000
A: 1:136,000
105
A patient for elective general anaesthesia has been noted to be chewing gum in the pre-operative area. The most appropriate course of action is to: a) Delay 1 hour b) Delay 2 hours c) Delay 6 hours d) Discard gum then proceed without delay
D) discard and proceed without delay - as per ANZCA and ASA - negligible increase in gastric volumes
106
Preoperative predictors of chronic postsurgical pain do NOT include: a) Anxiety b) Depression c) Elderly d) Preop opioids e) preexisting chronic pain
C) elderly
107
Which intervention for acute pain does not reduce the risk of persistent postdischarge opioid use? a) Opioid wean preop b) Education/expectation setting preop c) Titrating opioids to pain scores alone d) Avoiding long-acting opioids
https://www.anzca.edu.au/getContentAsset/136f5a83-d1d0-4f34-be72-87b62b721d14/80feb437-d24d-46b8-a858-4a2a28b9b970/PS41(G)-Acute-pain-2023.pdf Titrate to pain scores alone
108
The analgesic drug with the most favourable Number Needed to Treat (NNT) for neuropathic pain is:?? a) Amitriptyline b) Gabapentin c) Tramadol d) Pregabalin e) Carbamazepine
A) amitriptyline = 3.6 Gabapentin = 6-8 Tramadol = 4-5 Pregabalin = 7-8 Carbemazepine = poor (except for trigeminal neuralgia where it’s the best.
109
A 36-year-old woman sustains an injury to her left arm and presents with pain. She informs you that she experiences unpleasant intermittent and spontaneous shooting sensations in her arm. This sensation is a. Dysaesthesia b. Allodynia c. Hyperalgesia d. Hyperaesthesia e. Paraesthesia
A) dysaesthesia
110
The nerve labelled with an arrow in the diagram below (diagram of lumbar plexus shown) is the This exact image was used
Obturator
111
14. Patients with rheumatoid arthritis and the most common form of atlantoaxial instability have a widened atlantodental interval. This is measured between the a) distance from posterior margin of dens to anterior surface of posterior arch of atlas b) distance from anterior margin of dens to anterior surface of posterior arch of atlas c) distance from posterior margin of dens to anterior surface of anterior arch of atlas d) distance from posterior margin of dens to posterior surface of posterior arch of atlas e) distance from anterior margin of dense to posterior surface of anterior arch of atlas
E) anterior margin of dens to to posterior surface of atlas
112
Intravenous dexmedetomidine use does NOT result in a) Hypertension b) Bradycardia c) Decreased urine output d) Decreased opioid consumption e) increased regional nerve block duration
C) decreased urine output - it actually increases GFR + UO
113
A patient under general anaesthesia monitored with transcranial cerebral oximetry has a decrease in their cerebral oxygen saturation. This is likely to be improved by an increase in all of the following EXCEPT A) Increased MAP B) Increased MV C) Increased anaesthetic depth D) Increased Hb
Increased Minute Ventilation
114
Ongoing cerebral seizure activity induced by electroconvulsive therapy should be medically terminated after a. 60 sec b. 90 sec c. 120 sec d. 150 sec
120 secs
115
ECT does NOT result in: a) initial sympathetic stimulation b) increased ICP c) decrease LV function for 4-6 hrs d) Increased SBP 30-40%
a) initial sympathetic stimulation
116
The Myocardial Injury after Non Cardiac Surgery study showed elevated troponin in the first three post-operative days was strongly associated with a) 30 day mortality b) 30 day MI
A) 30 day mortality MINS study n=15,065 patients. >45 y/o undergoing non cardiac surgery. Had troponins measured for 3 days post op. Elevated trop independently predicted 30 day mortality.
117
A man with a history of obesity and obstructive sleep apnoea has just had a transsphenoidal pituitary resection. Soon after extubation he is semi-conscious and is making a respiratory effort but has near complete upper airway obstruction with stridor. His arterial oxygen saturation is 93% and starting to fall. Your first actions should be to a) Propofol for LMA + PPV b) Oropharyn with PPV +/- deepen with propofol c) Nasopha with PPV d) Naso with CPAP 3) Oropharyngeal CPAP
A) propofol & LMA Chat GPT reckons e)
118
In the thigh, the adductor canal is bordered by all of the following EXCEPT a) Vastus medialis b) Adductor magnus c) Adductor longus d) Adductor brevis e) Sartorius
Adductor brevis
119
Safest approach for peribulbar if short eye length? a) Inferotemporal b) superior temporal c) medial canthal d) lateral canthal e) Other approaches
Inferotemporal
120
Assuming a blood volume of 80 ml/kg, a massive transfusion child is defined as a three-hour packed red blood cell (PRBC) transfusion volume of a) 20mk/kg b) 40ml/kg c) 60ml/kg d) 80ml/kg
40mL/kg
121
The antiemetic that interferes with the effectiveness of oral hormonal contraception is a) Aprepitant b) Ondansetron c) Metoclopramide
Aprepitant
122
Extraadrenal tumour with raised metanephrines. What management preop? a) Phentolamine b) Metoprolol c) Phenoxybenzamine d) Prazosin
Phenoxybenzamine
123
ROTEM: when does does fibrinolysis <15% considered normal? a) Lysis 30 b) Lysis 60
B: Lysis 60 Lysis 30 is 94-100%
124
DSA and was pointing to the: basilar artery
125
Desufflation after surgical pneumoperitoneum is NOT associated with an increase in a) Stroke work index b) Cardiac output c) Systemic vascular resistance d) Venous return e) LV stroke work
SVR
126
How to work out arterial pH from venous pH? a) add 0.03 b) add 0.3 c) subtract 0.03 d) subtract 0.3
A) add 0.03
127
Which is not expected with a good workiong intra-aortic balloon pump? a) Decreased renal blood flow b) Decreased Hb c) Decreased cardiac work d) Increased cardiac perfusion e) Increased aortic root diastolic pressure
A) decreased renal blood flow
128
Of the following, the drug which is most effective in the management of severe hyperthermia in serotonergic syndrome is a. Dantrolene b. Diazepam c. Paracetamol d. Rocuronium
Either D) Rocuronium or B) Diazepam
129
In order to minimise the risk of cardiac arrhythmia?? surgical diathermy has been designed to operate with a. High frequency b. High voltage c. Low frequency d. Low voltage e. Equipotential earthing
High frequency
130
All patients over 70 years of age having received either spinal or general anaesthesia at Hospital X are reviewed 3 years later to assess cognitive function. The aim of the study is to determine whether exposure to general anaesthesia or spinal anaesthesia impacts cognitive function. This trial design is best described as a a) RCT b) cohort study c) case-control study d) case series e) cross-sectional study
Cohort Study
131
Intraoperative lung protective ventilation strategies include all of the following EXCEPT a. Alveolar recruitment manouevres b. Individualised PEEP c. I:E ratio 1:3 d. TV 6-8ml/kg e. Minimising ventilatory driving pressure
C: I:E ration 1:3
132
A test for a condition which has a prevalence of 1 in 1,000 has a sensitivity of 100% and a specificity of 90%. The probability of a patient who receives a positive result actually having the condition is a. 1% b. 10% c. 90% d. 100%
A: 1% PPV = TP / TP + FP For example For prevalence of 1:1000 the number of TP = 1 False positives = 999 x 10% FP = 99 PPV = 1 / 1+99 PPV = 1%
133
Your patient underwent a stellate ganglion block two hours ago. Prior to discharge you are asked to review the patient in recovery because of a droopy upper eyelid. The patient would also be expected to have ipsilateral a) Pupillary constriction and reaction to light b) Pupillary constriction and no response to light c) Pupillary dilation and response to light d) Pupillary dilation and no response to light
Pupillary construction and reaction to light
134
Compared to a normothermic patient, a patient with mild intraoperative hypothermia (35.0 oC) will have: a. More bleeding, normal INR and APTT b. More bleeding, normal INR and raised APTT c. More bleeding, raised INR and normal APTT d. Unchanged bleeding, normal INR and APTT e. Unchanged bleeding, elevated INR and APTT
A: more bleeding, normal INT and APTT
135
The first-line drug recommended by both the Australian Resuscitation Council and the New Zealand Resuscitation Council to treat severe cyanide poisoning is a) methylene blue b) hydroxycobalamin c) sodium thiosulphate
Hydroxycobalamin
136
A respiratory effect of high flow nasal oxygen therapy is a. Reduced RR b. Reduced MV c. Increased work of breathing d. Increased Deadspace
A) reduced respiratory rate
137
Gastric US: Position and orientation (sagittal vs transverse) of probe a) Saggital midclavicular b) saggital midaxillary c) transverse subxiphoid d) saggital subxiphoid
Sagittal, subxiphoid
138
If group A RhD negative cryo is not available for use in an A RhD positive patient, of the following your next best choice should be a) Group AB Rh+ rhesus b) Group B Rh+ c) Group B Rh d)Group O Rh+ e) Group O Rh-
A) AB 2nd best option for patient with A blood type (as per lifeblood)
139
Button battery >20mm - timeframe to remove a) within 2hrs b) within 4hrs c) within 24hrs
FB BJA 2hrs if in oesophagus, or symptomatic in stomatch
140
Organ procurement after circulatory death is generally stood down if the time from cessation of cardiorespiratory support to circulatory death extends beyond a) 60min b) 90min c) 120min
B) 90 mins as per donate life
141
Breastfeeding pt: advice re: dumping/expressing a) express (to discard) then feed b) feed straight away c) delay 6hrs
Feed straight away
142
Brain death testing - what is NOT in the criterion? a) corneal reflex b) oculocephalic reflex c) must warm to >35 degrees degrees d) 2hrs GCS 3 + other criterion
https://anzics.org/wp-content/uploads/2022/04/Table-1.2.pdf: seems like oculocephalic less recommended as well There is a minimum 4-hour observation period prior to neurological determination of death using clinical examination alone. Throughout this observation period, all preconditions are met, the patient has a Glasgow Coma Scale of 3, with pupils nonreactive to light, absent cough/tracheal reflex and apparent apnoea on a ventilator. Following an acute hypoxic-ischaemic encephalopathy or hypothermia (<35°C) of duration greater than 6 hours, there should be a waiting period of 24 hours before determination of death using clinical examination alone.
143
ECG - (may have been complete heart block or 2nd degree AV block type 2; was a regular atrial rate) and asking for the atrial rate a) 60bpm b) 80bpm c) 100bpm d) 120bpm
144
How often do you have to monitor BSL's for a diabetic post-operatively in PACU a) 30 mins b) 1 hourly c) 2 hourly d 4 hourly
b) 1 hourly
145
A patient has a lung ultraosund which shows A lines and lung sliding. Which of the following is most likely a) PTX b) Pleural effusion c) Normal lung d) Pneumonia
D) normal lung
146
What is the observed common associated metabolic abnormality with hypercholermia? a) High-anion gap metabolic acidosis b) Normal-anion gap metabolic alkalosis c) High-anion gap metabolic acidosis d) Normal anion gap metabolic acidosis
d) NAGMA
147
Which of the following is an independent risk factor for increased PPH? a) Platelets 70 b) PT > 1.2 c) fibrinogen <2
Fibrinogen <2g/L
148
During a thyroidectomy, the surgeon is concerned the parathyroid glands have been devascularised. From the time of potenial damage, a serum calcium level should be checked in: a) 6 hours b) 12 hours c) 24 hours d) 36 hours
6hrs