(3) Hematologic Disorders Flashcards

(48 cards)

1
Q

Sickle cell anemia involves a structural deformity of ____

A

hemoglobin

How well did you know this?
1
Not at all
2
3
4
5
Perfectly
2
Q

Thalassemia is a disorder of ____

A

hemoglobin synthesis

How well did you know this?
1
Not at all
2
3
4
5
Perfectly
3
Q

What is hemophilia?

A

Deficiency of clotting factors

How well did you know this?
1
Not at all
2
3
4
5
Perfectly
4
Q

Sickle cell and thalassemia are ____ anemias resulting in bone disorders.

A

Hemolytic

How well did you know this?
1
Not at all
2
3
4
5
Perfectly
5
Q

What are the effects of sickle cell anemia and thalassemia on bone?

A
  • marrow hyperplasia
  • growth disturbances (shorter bones)
How well did you know this?
1
Not at all
2
3
4
5
Perfectly
6
Q

What are the radiographic findings of sickle cell anemia and thalassemia?

A
  • osteopenia from birth
  • osteonecrosis (SC>)
  • “H-shaped” vertebra (SC>)
  • hair on end appearance of skull (T>)
  • Erlenmeyer flask deformity (T>)
How well did you know this?
1
Not at all
2
3
4
5
Perfectly
7
Q

What radiographic findings are specific to sickle cell anemia?

A
  • osteonecrosis
  • H-shaped vertebra
How well did you know this?
1
Not at all
2
3
4
5
Perfectly
8
Q

What radiographic findings are specific to thalassemia?

A
  • hair on end appearance of skull
  • Erlenmeyer flask deformity
How well did you know this?
1
Not at all
2
3
4
5
Perfectly
9
Q

How does an H-shaped vertebra compare to Schmorl nodes?

A

Bigger than Schmorl nodes

How well did you know this?
1
Not at all
2
3
4
5
Perfectly
10
Q

How does an H-shaped vertebra compare to nuclear impressions?

A

Sharper than nuclear impressions

How well did you know this?
1
Not at all
2
3
4
5
Perfectly
11
Q

What causes the hair on end appearance seen in thalassemia?

A

Marrow hyperplasia
(inner/outer table space fills w/ red marrow to ^RBCs, spreading inner & outer tables)

How well did you know this?
1
Not at all
2
3
4
5
Perfectly
12
Q

What are the clinical characteristics of hemophilia?

A
  • ^bleeding (^risk of hemorrhage, ^bruising)
  • M>F
  • repetitive hemarthroses —> deformities & arthropathy
How well did you know this?
1
Not at all
2
3
4
5
Perfectly
13
Q

What are the imaging features of hemophilia?

A
  • osteopenia
  • growth abnormalities (ballooning of epiphyses d/t early fusion of 2° oss. centers)
  • arthropathy
  • hemophiliac pseudotumors (geo. lytic)
How well did you know this?
1
Not at all
2
3
4
5
Perfectly
14
Q

What are the imaging features specific to hemophilic arthropathy?

A
  • bloody jt effusions
  • synovitis, pannus
  • cartilage degeneration (OA)
  • wide intercondylar notch
  • squaring of patella
  • predisposed to myositis ossificans
How well did you know this?
1
Not at all
2
3
4
5
Perfectly
15
Q

What is a differential diagnosis for ballooning of epiphyses seen in hemophilia?

A

JIA

How well did you know this?
1
Not at all
2
3
4
5
Perfectly
16
Q

What joint is most commonly affected by hemophilic arthropathy?

A

Knee

How well did you know this?
1
Not at all
2
3
4
5
Perfectly
17
Q

What are the 2 main subcategories of osteonecrosis?

A
  • avascular necrosis (AVN)
  • bone infarct
How well did you know this?
1
Not at all
2
3
4
5
Perfectly
18
Q

What part of bones is primarily affected by AVN?

A

Epiphysis

How well did you know this?
1
Not at all
2
3
4
5
Perfectly
19
Q

What part of bones is primarily affected by bone infarct?

A
  • metaphysis
  • diaphysis
How well did you know this?
1
Not at all
2
3
4
5
Perfectly
20
Q

What are 3 possible causes of osteonecrosis?

A

significant reduction/obliteration of blood supply to bone:
- arterial rupture (trauma)
- arterial blockage (thrombus, emboli, vasculitis)
- arterial compression (myeloproliferation)

21
Q

What is the mnemonic for the etiologic risk factors of osteonecrosis?

A
  • Pancreatitis, Pregnancy
  • Lupus
  • Alcoholism
  • Steroids (corticosteroids)
  • Trauma
  • Idiopathic, Infection
  • Caisson Dz (the Bends), Collagen vasc Dz, Cushing Dz
  • Rheumatoid arthritis, Radiation therapy
  • Amyloidosis
  • Gaucher Dz
  • Sickle cell Dz/thalassemia
22
Q

What are the clinical features of osteonecrosis?

A
  • location & etiology dependent
  • insidious onset
  • pain, antalgia, painful ROM, muscle atrophy
23
Q

Describe the typical pain of AVN.

24
Q

Describe the typical pain of bone infarct.

25
What is the radiographic latent period of osteonecrosis?
few weeks to 1 yr (if normal xrays w/ any PLASTIC RAGS risk factor, get MRI)
26
What are the 4 phases of avascular necrosis?
- avascular - revascularization - repair & remodeling - deformity
27
What are the imaging findings associated with the avascular phase of AVN?
- ^jt space - capsular swelling - appears same as normal bone radiographically
28
What are the imaging findings associated with the revascularization phase of AVN?
- **sclerosis** (snowcapping) - **flattening**/collapse of articular surface - **fragmentation** - subchondral cysts - subchondral Fx (crescent sign)
29
What is "snowcapping" as seen in AVN?
sclerosis: *weak* new bone formation on top of dead bone
30
What radiographic sign is indicative of a subchondral fracture due to AVN?
crescent sign (lucency under articular surface)
31
What are the imaging findings associated with the repair & remodeling phase of AVN?
no distinct findings
32
What are the imaging findings associated with the deformity phase of AVN?
secondary DJD
33
What are the imaging findings associated with bone infarct?
- does **not** weaken bone (rarely deformity/fracture) - stippled medullary calcification (occasionally *serpiginous* contour)
34
If bone infarct undergoes malignant degeneration, what does it become?
fibrosarcoma
35
Give 3 differentials in order of most to least likely for stippled calcification of a long bone in a patient over 40 years of age.
1. Chondrosarcoma 2. Infarct 3. Enchondroma
36
Give 3 differentials in order of most to least likely for stippled calcification of a long bone with a serpiginous contour.
1. Infarct 2. Enchondroma 3. Chondrosarcoma
37
Give 3 differentials in order of most to least likely for stippled calcification of a long bone in a patient with sickle cell anemia.
1. Infarct (PLASTIC RAGS risk factor) 2. Enchondroma 3. Chondrosarcoma
38
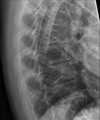
What distinctive vertebral body appearance is noted?
H-shaped vertebrae (DDx: Sickle cell anemia, thalassemia)
39
Give 2 differentials in order of likelihood.
1. Sickle cell anemia 2. Thalassemia
40
22 year old patient. Give 3 differentials in order of likelihood.
1. Infarct 2. Enchondroma 3. Chondrosarcoma
41
43 year old patient. Give 3 differentials in order of likelihood.
1. Chondrosarcoma (>40yrs) 2. Infarct (serpiginous contour) 3. Enchondroma
42
What is the most likely diagnosis? What bones are involved?
AVN of femoral head
43
Give 3 differentials in order of likelihood.
(Erlenmeyer flask deformity) 1. Thalassemia 2. Sickle cell anemia 3. Osteopetrosis
44
Give 2 differentials in order of likelihood.
1. Thalassemia 2. Sickle cell anemia
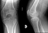
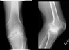
45
Name 4 major radiographic features on this radiograph.
- generalized osteopenia - widening of intercondylar notch - uniform jt space loss - ballooning of epiphysis
46
Give 2 differentials in order of likelihood. What 2 features support your diagnosis?
1. Hemophilia 2. JIA - ballooning of epiphysis - squaring of patella
47
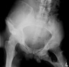
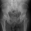
What is demonstrated in the right ilium?
Hemophiliac pseudotumor (geo. Lytic lesion)
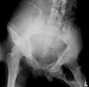
48
What is occurring medial to the left hip?
Myositis ossificans