(3) MOCE Flashcards

(88 cards)

1
Q

What are the 4 most common primary malignancies of bone from most to least common?

A

MOCE:
- multiple myeloma
- osteosarcoma
- chondosarcoma
- Ewing sarcoma

How well did you know this?
1
Not at all
2
3
4
5
Perfectly
2
Q

Which of the 4 most common primary malignancies of bone occur in older populations?

A

Multiple Myeloma & Chondrosarcoma
(MOCE)

How well did you know this?
1
Not at all
2
3
4
5
Perfectly
3
Q

Which of the 4 most common primary malignancies of bone occur in younger populations?

A

Osteosarcoma & Ewing sarcoma
(MOCE)

How well did you know this?
1
Not at all
2
3
4
5
Perfectly
4
Q

What is the most common primary malignancy of bone?

A

Multiple myeloma

How well did you know this?
1
Not at all
2
3
4
5
Perfectly
5
Q

What is the second most common primary malignancy of bone in elderly patients?

A

Chondrosarcoma

How well did you know this?
1
Not at all
2
3
4
5
Perfectly
6
Q

What is the second most common primary malignancy of bone in kids?

A

Ewing sarcoma

How well did you know this?
1
Not at all
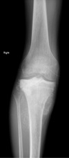
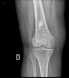
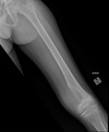
2
3
4
5
Perfectly
7
Q

What is the most common malignancy of bone?

A

metastatic disease

How well did you know this?
1
Not at all
2
3
4
5
Perfectly
8
Q

What is your list of differential diagnoses for a 55 year old patient with an aggressive radiographic lesion?

A
  1. mets
  2. multiple myeloma
  3. lymphoma
How well did you know this?
1
Not at all
2
3
4
5
Perfectly
9
Q

What is on your list of differential diagnoses for a 55 year old patient with an aggressive radiographic lesion, and raindrop skull?

A
  1. Multiple myeloma
  2. mets
  3. lymphoma
How well did you know this?
1
Not at all
2
3
4
5
Perfectly
10
Q

What is on your list of differential diagnoses for a 55 year old patient with an aggressive radiographic lesion, and a serum M-protein spike on serum protein electrophoresis?

A
  1. Multiple myeloma
  2. mets
  3. lymphoma
How well did you know this?
1
Not at all
2
3
4
5
Perfectly
11
Q

What are the clinical findings that may or may not be present in a patient with multiple myeloma?

A
  • age 50-70
  • patho Fx
  • bone pain
  • weakness & fatigue (anemia)
  • fever & weight loss
  • bleeding & bruising
  • neuro signs
  • ^bacterial infections (especially lung)
How well did you know this?
1
Not at all
2
3
4
5
Perfectly
12
Q

What age group is primarily affected by multiple myeloma?

A

50-70 years

How well did you know this?
1
Not at all
2
3
4
5
Perfectly
13
Q

Multiple myeloma cells secrete ____ that recruit ____

A

cytokines
osteoclasts

How well did you know this?
1
Not at all
2
3
4
5
Perfectly
14
Q

What is the preferential location of multiple myeloma?

A
  • vertebrae
  • skull
  • ribs
  • pelvis
  • femur
How well did you know this?
1
Not at all
2
3
4
5
Perfectly
15
Q

Why would a patient with multiple myeloma present with fatigue?

A
  • loss of white & red marrow (replaced by B-lymphocyte lineage) causes anemia
How well did you know this?
1
Not at all
2
3
4
5
Perfectly
16
Q

What is the prognosis of multiple myeloma?

A
  • treatment options poor (radiation, chemo, marrow transplant)
  • 90% die within 3 yrs (++ aggressive)
  • infection or renal failure common causes of death (less normal marrow to produce functioning WBCs)
How well did you know this?
1
Not at all
2
3
4
5
Perfectly
17
Q

Multiple myeloma is a tumor of uncontrolled proliferation of ____ which produces ____

A

B-lymphocyte marrow
B-lymphocytes
(single cell lineage of B-lymphocytes)

How well did you know this?
1
Not at all
2
3
4
5
Perfectly
18
Q

What do B-lymphocytes produce?

A

Antibodies/immunoglobulins (Ig’s)

How well did you know this?
1
Not at all
2
3
4
5
Perfectly
19
Q

What is unique about immunoglobulins produced by multiple myeloma?

A

selectively make short chain only (no long chain)

How well did you know this?
1
Not at all
2
3
4
5
Perfectly
20
Q

What are Bence-Jones proteins?

A

Short chain of immunoglobulin proteins selectively produced by B-lymphocytes of multiple myeloma

How well did you know this?
1
Not at all
2
3
4
5
Perfectly
21
Q

What are the 2 major proteins in blood?

A

albumin
globulin

How well did you know this?
1
Not at all
2
3
4
5
Perfectly
22
Q

What is a normal A:G ratio?

A

albumin > globulin in blood

How well did you know this?
1
Not at all
2
3
4
5
Perfectly
23
Q

What happens to the A:G ratio with multiple myeloma and why?

A
  • globulin > albumin
  • reverses due to overproduction of Ig’s
How well did you know this?
1
Not at all
2
3
4
5
Perfectly
24
Q

What would you suspect in a patient who says they chew ice a lot, have been progressively fatigued lately, and has pale mucous membranes inside their cheeks and under their tongue?

A

iron deficiency anemia
(need labs to diagnose; pale mucous membranes instead of pink)

How well did you know this?
1
Not at all
2
3
4
5
Perfectly
25
What are the early stage imaging findings of multiple myeloma?
- normal radiographs - diffuse/generalized osteopenia (1st radiographic sign) - possible insufficiency/fatigue Fx
26
What are the late stage imaging findings of multiple myeloma?
- permeative or moth-eaten osteolysis (as osteoblasts are inhibited) - vertebral collapse - sparing of pedicles (no winking owl or blind vertebra) - bone scan often normal
27
What is the term for the radiographic sign that is characteristic of multiple myeloma in the skull?
raindrop skull
28
What is the first radiographic sign of multiple myeloma?
generalized osteopenia
29
What is the term for the solitary form of multiple myeloma?
plasmacytoma
30
What age group is primarily affected by plasmacytomas?
40-75 yrs
31
What is the prognosis of a plasmacytoma?
70% develop into multiple myeloma
32
What are the radiographic characteristics of a plasmacytoma?
- geographic lytic - soap bubble appearance - highly expansile
33
Where do osteosarcomas frequently metastasize to?
Lungs, other bones
34
What is the term for large soft tissue masses in the lung due to metastasis of an osteosarcoma?
Cannon ball mets
35
Which pattern of destruction is linked to a more aggressive type of osteosarcoma? A) mixed B) blastic C) lytic
lytic (more aggressive builds less bone)
36
What general pattern of destruction may be seen in an osteosarcoma?
Can be blastic or lytic or both
37
Which primary malignancies of bones prefer to metastasize to other bones?
1 MC: Ewing sarcoma 2 MC: Osteosarcoma
38
Most osteosarcomas are (blastic/lytic/mixed)
blastic
39
What is the common treatment for an osteosarcoma?
- amputation + chemo/radiation therapy - limb salvage surgery
40
What population is primarily affected by osteosarcomas?
Bimodal: - 10-25 years (75%; primary) - Older adults with predisposing conditions (secondary)
41
What is the most common primary bone tumor in children?
Primary osteosarcoma
42
What conditions can predispose older adults to developing a secondary osteosarcoma?
- malignant degeneration of benign process (Pagets, fibrous dysplasia, osteochondroma) - Hx of radiation therapy (20 yr latency period)
43
What is the most common primary malignancy of bone in kids?
osteosarcoma
44
What is the second most common primary malignancy of bone?
Osteosarcoma
45
An osteosarcoma presents on an x-ray as a densely blastic mass. Is this more or less aggressive than an osteosarcoma that appears purely lytic?
less
46
What are the 5 types of primary osteosarcomas?
- central/conventional - multicentric - parosteal - telangiectatic - extraosseous
47
How might a patient with an osteosarcoma present clinically?
- age 10-25 yrs - painful swelling of involved limb (typically LE) - typically complains of jt pain
48
What are the preferential locations of primary osteosarcomas?
- metaphysis - tubular long bones (LE; only 3.5-7% in spine) - femur - tibia - humerus - pelvis - spine
49
What radiographic appearance is associated with a primary osteosarcoma?
cumulus cloud appearance (blastic lesion)
50
What are the radiographic findings specific to an osteoblastic osteosarcoma?
- cumulus cloud appearance - lobulated ossified soft tissue mass
51
What are the radiographic findings of a primary osteosarcoma?
- osteoblastic or permeative osteolytic - cortical destruction - aggressive periosteal Rxn - soft tissue mass not always ossified
52
How can you tell the difference between a parosteal osteosarcoma and myositis ossificans?
Zonal phenomenon: - parosteal osteosarc. ossifies inside out - myositis oss. ossifies outside in (use CT if no previous imaging to compare)
53
Chondrosarcomas are comprised of ____
Hyaline cartilage
54
What are the 2 classifications of chondrosarcomas by location?
- central (intramedullary) - peripheral (surface of bone)
55
What is the preferential location of chondrosarcoma?
- metaphyseal or diaphyseal - pelvis - long bones (femur & humerus) - ribs
56
What age group is primarily affected by chondrosarcomas?
40-60 yrs
57
What causes the white appearance of chondrosarcomas on x-ray?
cartilage attracts Ca2+ --> calcification (NOT ossification) (similar appearance to enchondroma)
58
What pattern of destruction is seen in a chondrosarcoma?
permeative or motheaten lytic
59
What type of matrix calcification is seen in a chondrosarcoma?
- 66% stippled (popcorn, flocculent, or arc & rings) - 33% purely osteolytic (no calcification)
60
Where do secondary chondrosarcomas originate?
form in pre-existing cartilage tumors: - enchondromas: - osteochondromas
61
Primary chondrosarcomas arise ____
de novo
62
Secondary chondrosarcomas arise ____
from malignant degeneration
63
What is the 3rd most common malignant bone tumor?
chondrosarcoma
64
What are the clinical features of a chondrosarcoma?
- age 40-60yrs - asymptomatic initially, pain in late stage - large soft tissue mass - severe pain after patho Fx
65
What periosteal reaction is seen in a chondrosarcoma?
laminated or spiculated
66
What are the radiographic characteristics of a chondrosarcoma?
- permeative/motheaten osteolysis - stippled calcification or pure osteolysis - **large (calcified) soft tissue mass)** - laminated/spiculated periosteal Rxn
67
Where do chondrosarcomas commonly metastasize to?
lungs
68
What is the mnemonic for differential diagnoses of stippled calcification?
ICE (infarct, chondrosarc., enchondroma)
69
What are the possible treatments for chondrosarcomas?
- local excision - segmental resection - amputation
70
What age group is primarily affected by Ewing sarcomas?
10-25 years
71
What is the preferential location of Ewing sarcoma?
mid-diaphysis of long bones: - femur - pelvis - tibia - humerus - fibula
72
What is the most common primary malignancy of bone to metastasize to other bones?
Ewing sarcoma
73
How would a patient with Ewing sarcoma present clinically?
- age 10-25 yrs - localized pain & swelling - may mimic infection (fever, ^ESR, anemia)
74
What is the treatment for Ewing sarcoma?
chemo/radiation therapy & limb-sparing surgery
75
What are the radiographic characteristics of Ewing sarcoma?
- permeative/motheaten lytic destruction - long ZoT - cortical disruption (**saucerization** - rare) - laminated/spiculated periosteal Rxn - may extend to soft tissues - patho Fx (can look like osteomyelitis --> send to ER)
76
What bone pathologies would you include in your differential diagnosis if you see aggressive bone destruction radiographically in a patient under 25 years old?
OLEO: - osteosarcoma (aggressive kid tumor) - Ewing sarcoma (aggressive kid tumor) - lymphoma (any age) - osteomyelitis (appears same; more common in kids)
77
What rare radiographic sign is pathognomonic for Ewing sarcoma?
cortical saucerization (thin whittled edge, like teacup saucer; d/t soft tissue mass)
78
What is on your list of differential diagnoses in order from most to least likely?
1. Mets 2. Multiple myeloma 3. Lymphoma
79
What would prompt you to put multiple myeloma at the top of your list of differential diagnoses?
- lab findings (M spike) - raindrop skull
80
What is on your list of differential diagnoses from most to least likely?
1. Multiple myeloma 2. Mets 3. Lymphoma
81
10 year old boy with lower leg pain and swelling. What is on your list of differential diagnoses in order from most to least likely?
Aggressive in kid = OLEO 1. Osteomyelitis 2. Osteosarcoma (metaphyseal) 3. Ewing sarcoma 4. Lymphoma
82
18 year old with pain and swelling of the lower leg. What is on your list of differential diagnoses in order from most to least likely?
Aggressive in kid = OLEO 1. Osteosarcoma (metaphyseal) 2. Ewing sarcoma 3. Lymphoma 4. Osteomyelitis (blastic = infection 4th)
83
80 year old female with pain and swelling in the right knee. What is on your list of differential diagnoses in order from most to least common?
Stippled calcification = ICE 1. Chondrosarcoma 2. Infarct (Serpiginous) 3. Enchondroma
84
Give a list of differentials in order from most to least likely.
1. Chondrosarcoma (large calcified soft tissue mass) 2. Enchondroma 3. Infarct
85
Give a list of differentials in order from most to least likely.
Aggressive in kid = OLEO 1. Osteomyelitis 2. Ewing sarcoma (diaphyseal) 3. Osteosarcoma 4. Lymphoma
86
80 year old female with pain and swelling in the right knee. Stippled calcification and history of Alcoholism. What is on your list of differential diagnoses in order from most to least common?
Stippled calcification = ICE 1. Chondrosarcoma 2. Infarct (plastic rags risk factor) 3. Enchondroma
87
39 year old female with pain and swelling in the right knee. Stippled calcification and known Gaucher disease. Also history of pregnancy. What is on your list of differential diagnoses in order from most to least common?
Stippled calcification = ICE 1. Infarct (plastic rags risk factor) 2. Enchondroma 3. Chondrosarcoma
88
39 year old female with pain and swelling in the right knee. Stippled calcification with Serpiginous contour. What is on your list of differential diagnoses in order from most to least common?
Stippled calcification = ICE 1. Infarct (Serpiginous contour) 2. Enchondroma 3. Chondrosarcoma