What are the precursor tissues of hte lower respiratory tract?
Endoderm: creates the pharynx (cranial foregut) > respiratory diverticulum > forms the epithelial lining of: larynx, trachea, bronchi, and lunga.
Mesoderm > lateral mesoderm > splanchnic mesoderm > forms the cartilage, smooth muscle, elastic tissue and fibrous CT of the trachea, bronchi, and lungs.

What part of respiratory development occurs in the embryonic phase (weeks 4-7)?
Lung primordium appears and the initial airway branching occurs.
A diverticulum comes off the developing foregut and begins to branch. The foregut becomes the esophagus and the diverticulum becomes the trachea.

What two anomalies can occur during the embryonic phase?
Inadequate partitioning, perhaps due to abnormal or insufficient development of tracheoesophageal septum.
Anatomic anomalies such as the absence of lungs, extra lobes, ectopic lobes, or absence of lobes, abnormal or insufficient branching, an accessory lungs, bronchogenic cysts, and pulmonary vascular anomalies.
A 32 week old male is 3.2 kg (small), has a normal prenatal US, but has excess secretions and RDS 30 minutes after birth. We are unable to pass an NG tube. What do you suspect is happening
Esophageal atresia/transesophageal fistula - this is a failure of the separation between the esophagus and the trachea.
Most common is distal fistula, resulting in reflux of gastric contents into lungs.

What are symptoms of esophageal atresia/transesophageal fistula and how would you diagnose it?
Air in bowel on xray confirms distal tracheoesophageal fistula. You can often tell because the NG tube can’t be placed.
Bronchoscopy identifies the fistula.

How often does Esophageal atresia/transesophageal fistula have associated anomalies? What is the significance of having an amomaly?
50% of patients have anomalies. Most common with isolated esophageal atresia and least common with isolated tracheoesophageal fistula.
Smaller infants have more associated anomalies.
Anomalies are the main determinants of survival.
What are some common associated anomolies that occur with Esophageal atresia/transesophageal fistula?
Cardiac (30%): VSD, PDA, ASD, tetrology, right-sided aortic arch
GI (12%): imperforate anus (opening missing), duadenal atresia, malrotation, etc.
GU: renal agenesis or dysplasia, polycystic kidneys.
MSK: hemivertabrae, radial dysplasia or amelia, polydactyly.
What are the most important indications of survival in kids with Esophageal atresia/transesophageal fistula?
The presence of other anomalies and birth weight.
What is the preoperative management of Esophageal atresia/transesophageal fistula?
What makes a child a candidate for primary repair? In what instances would their repair be delayed?
Primary repair: healthy, near term, no major cards anomalies, no significant pulmonary disease.
Delayed repair: significant pulmonary compromise, significant cardiac anomalies, long-gap atresias. Venting gastrostomy, proximal pouch decompression.
How would you do pre-op managed isolated esophageal atresia?
How do you operatively approach esophageal atresia with distal tracheoesophageal fistula? What is the landmark for the fistula?
Lateral thoracotomy.
The azygous vein is the gateway to finding the fistula because it’s right on top of it. It gets tied off.

What occurs during the pseudoglandular phase of pulmonary development (6-16 weeks)?
Airway branching continues.
Most of the bronchial tree is completed by the end of 16 weeks.

What occurs during the canalicular phase of pulmonary development (weeks 16-26)? What is the significance of the end of this time period?
Capillary density increases
Alveolar cells (pneumocytes) begin to differentiate.
Weeks 22-24 is the limit of extrauterine viability (usually with assistance).
What occurs during the terminal sac phase of pulmonary development (week 26-birth)?
Distal airways dilate, forming terminal sacs (primitive alveoli).

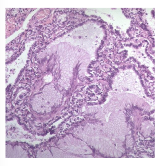
What is congenital cystic adenomatoid malformation (CCAM)? How is it thought that this occurs?
Mass of pulmonary tissue in which there’s proliferation of bronchial structures at the expense of alveolar development.
Embryonic speculation: asynchronous maturation of the developing lung bud and surrounding mesenchyme between the 16th and 20th weeks, resulting in the overgrowth of the terminal airway structures.
Adenomatoid: refers to the histological pattern given by the proliferation of the bronchial glandular elements.
What is the histopathology of congenital cystic adenomatoid malformation (CCAM)? What are the different types?
Alveolar spaces lined by a combination of both respiratory and mucus-secreting epithelium, forming glandular (“adenomatoid”) architecture.
Type 1: large macroscopic cysts
Type 2: small macroscopic cysts
Type 3: microscopic cysts

What are common clinical characteristics of a baby with congenital cystic adenomatoid malformation (CCAM)?
Usually affects a single lobe. Progressive airway trapping leads to distension.
What occurs with respiratory distress from congenital cystic adenomatoid malformation (CCAM)?
Occurs usually within the first days of life.
See tachypnea and hypoxia, requiring intubation.
Infant needs emergent surgery; the procedure of choice is an anatomic lobectomy.
What affect does congenital cystic adenomatoid malformation (CCAM) have on the rest of the organs within the chest cavity during development? What is the worst case scenario?
Can result in hydrops (this is the worst case - fetal heart failure), severe respiratory failure, pulmonary infection, or no symptoms.
Have been reports of cancers developing in CCAMs, at as young as 1 yo.
How would you treat nonemergent congenital cystic adenomatoid malformation (CCAM)?
Plain film chest xray in neonatal period.
Follow up CT scan within 1-2 months.
Elective resection within first 3-6 mo of life (if you wait until 6 months there’s a higher risk of infection).
What occurs in the alveolar phase of lung development (32 weeks to 8yrs)? What occurs during postnatal development?
Alveolar phase: alveoli formation begins by subdivision of terminal sacs (septation); alveolar septum (walls) become thinner
Postnatal: most alveoli form after birth and formation is proportional to body growth

Formation of the airways in the lung proceeds in what direction?
In the proximal to distal direction.
What do the prenatal lungs contain? What happens when this isn’t present?
Fluid
Insufficient fluid production by the lung leads to hypoplastic lung.