33B. Autointoxication ✅ Flashcards

(30 cards)

1
Q

Definition of autointoxication

A

Endogenic toxicosis = self-poisoning
Internal source is causing a poisoning

How well did you know this?
1
Not at all
2
3
4
5
Perfectly
2
Q

7 types of autointoxication

A
  1. Disorder of intermedier metabolism
  2. Retention autointoxication
  3. Hepatic autointoxication
  4. Putrid autointoxication
  5. Abnormal direction of metabolism
  6. Enterogenic autointoxication
  7. Resorption autointoxication
How well did you know this?
1
Not at all
2
3
4
5
Perfectly
3
Q

/1. Disorder of intermedier metabolism as type of autointoxication

A

The transformation of a substance at a certain step of the intermediate metabolism gets stuck

No pathological pathway !

How well did you know this?
1
Not at all
2
3
4
5
Perfectly
4
Q

Diabetic autointoxication. Ketosis

A
  • “diabetic toxins”: ketone bodies are accumulated with a non-treated diabetes mellitus type 1: acetoacetate, beta-hidroxi-butirate, acetone
  • prolonged fasting (keto-diet)
  • ketone bodies are produced in the mitochondria of the hepatocytes from acetyl-CoA
  • result: ketone toxicosis = ketosis
  • ketone bodies and unprocessed fatty acids are decreasing the blood pH: ketoacidosis (metabolic acidosis)
How well did you know this?
1
Not at all
2
3
4
5
Perfectly
5
Q

Diabetic autointoxication (ketosis). Symptoms

A
  • nausea and vomiting, pronounced thirst, excessive urine production and abdominal pain
  • acetone-breath
  • dehydration - dry mouth, decreased skin turgor
  • tachycardia and low blood pressure
  • cerebral edema, which may cause headache, coma, loss of pupillary light reflex and progress to death
How well did you know this?
1
Not at all
2
3
4
5
Perfectly
6
Q
A

Pancreas fibrosis in dog
Diabetic autointoxification

  • pancreas isn’t smooth, looks granulated
How well did you know this?
1
Not at all
2
3
4
5
Perfectly
7
Q

/2. Retention autointoxication. Meaning. Examples

A

The end products of normal metabolism are not excreted

Uremia. Uricosis. Icterus

How well did you know this?
1
Not at all
2
3
4
5
Perfectly
8
Q

Retention autointoxication. Uremia. Definition

A

Retention of various solutes that would normally be excreted by the kidneys, mainly
creatine, creatinine, urea, urine acid (birds)

Also hyaluronic acid, guanidine, guanidinoacetate, oxalate, SDMA (symmetrical dimethylarginine)

How well did you know this?
1
Not at all
2
3
4
5
Perfectly
9
Q

Complications of uremia

A
  • vascular damage -> haemorrhages, edemas
  • electrolyte abnormalities
  • renal osteodystrophy
  • multiorgan failure
How well did you know this?
1
Not at all
2
3
4
5
Perfectly
10
Q

Symptoms (and pathological lesions) of uremia

A
  • commonly in cats: ulcers in the mouth (urea from blood gets excreted to mucous membranes; urea will be broken down by bacteria to ammonia, which will damage mucosal cells -> necrosis on mucosal surface
  • damage of stomach mucosa
  • uremia encephalopathy (dilated blood vessels, edema)
How well did you know this?
1
Not at all
2
3
4
5
Perfectly
11
Q

?

A

Uricosis in birds

How well did you know this?
1
Not at all
2
3
4
5
Perfectly
12
Q

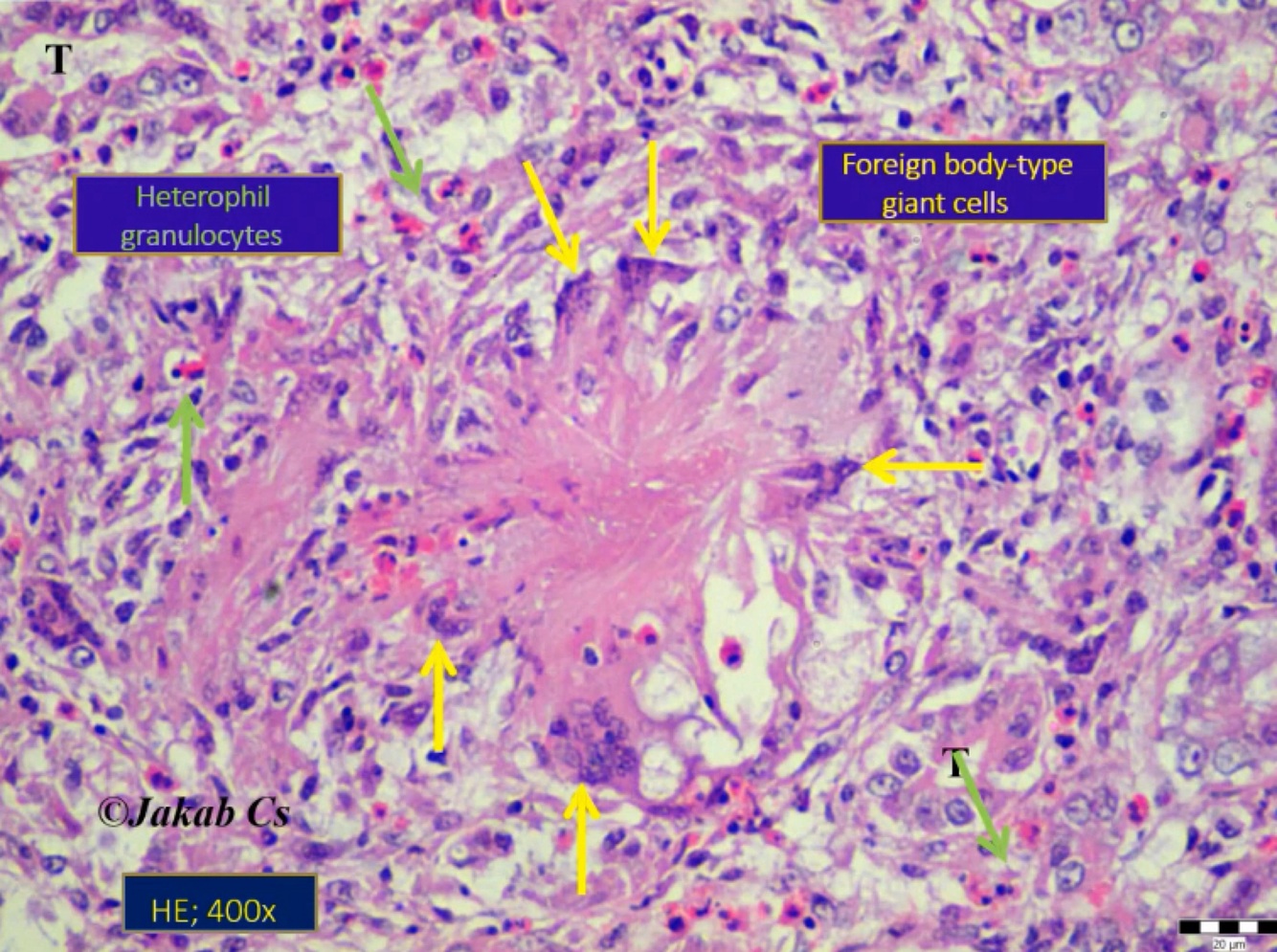
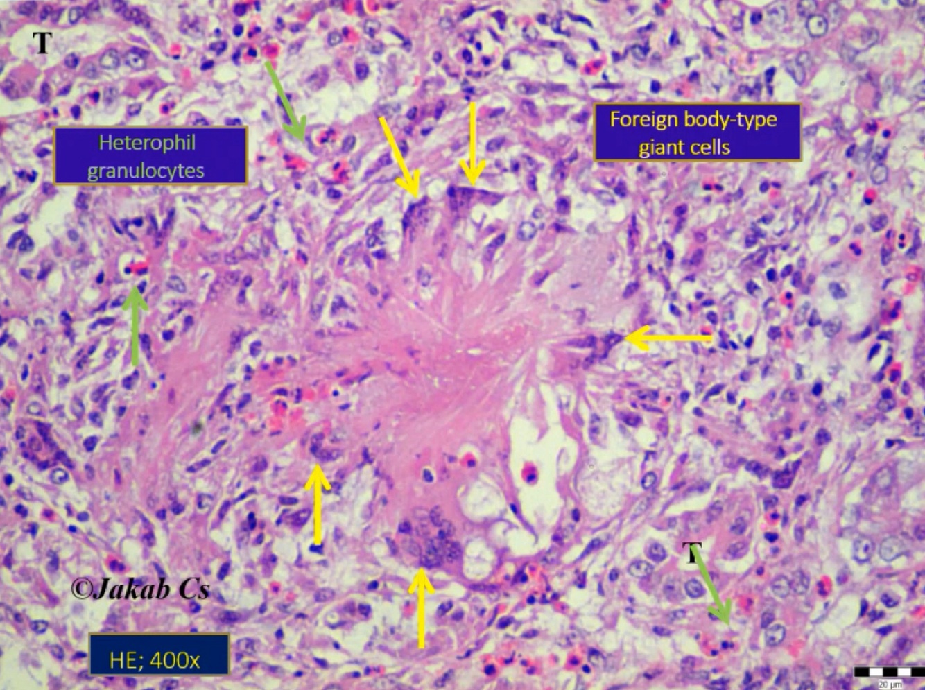
?

A

Granulomas in uricosis
Uric acid crystals act as foreign body —> granulomas

How well did you know this?
1
Not at all
2
3
4
5
Perfectly
13
Q

?

A

Uricosis.
Uric acid crystals act as foreign body —> granulomas

How well did you know this?
1
Not at all
2
3
4
5
Perfectly
14
Q

/3. Hepatic autointoxication

A

Hepatic parenchyma damaged (infection/poisoning/mechanical effect) —> fibrosis or cirrhosis

Fibrosis is followed by connective tissue proliferation
Cirrhosis = necrosis + regeneration + connective tissue proliferation

Systemic consequences:
- bilirubin retention
- gastro-enterogen autointoxication. Ammonia toxicosis. Hepatoencelopathy

How well did you know this?
1
Not at all
2
3
4
5
Perfectly
15
Q

Liver detoxification pathways

A

Phase 1
- oxidation, reduction and hydrolysis
- cytochrome P450 enzymes or Mixed Function Oxidase (MFO)
- membrane, hepatocyte
- chemical toxins

Phase 2
- conjugation (cystein, glycin, sulfur) to enable water solubility
- bile excretion
- urine excretion

How well did you know this?
1
Not at all
2
3
4
5
Perfectly
16
Q

Toxic effect of bilirubin

A
  • bilirubin is toxic in most biological systems tested
  • several mechanism have been suggested for this toxic effect, including inhibition of enzyme systems and inhibition of cell regulatory reactions (protein/peptide phosphorylation)
  • serum level of unconjugated bilirubin exceeds the albumin binding capacity —> bilirubin diffuses into the CNS —> permanent neurological damage or death
  • bilirubin encephalopathy with kernicterus
  • bilirubin-induced neurologic dysfunction (BIND): hypotonia, hypertonia, opisthotonus, retrocollis
17
Q

BIND - ?

A

Bilirubin-induced neurologic dysfunction

18
Q

/4. Putrid autointoxication

A

hystolyses produces toxin protein derivates (neurin, muscarin, mydatoxin = ptomains. Gangrene (tissue level). Inflammation + gangrene —> ichorous inflammation
—> sapraemia

19
Q

2 major types of gangrenes

A

Dry gangrene and wet gangrene

20
Q

Dry gangrene

A

Dry gangrene (gangrena sicca)
- Form of coagulative necrosis
- Affected part is dry, shrunken and dark reddish-black (because of haemostasis).
- Drying out prevents putrefaction
- With time lesion will separate from the body — autoaputatio

21
Q

Histology of gangrena

A
  • shrunk cells
  • hyperchromativ necked (kariopycnosis)
  • cells are integral
  • lack of autolysis, heterolysis
22
Q

Wet gangrene

A
  • damaged tissue can’t dry out
  • tissue is infected by saprogenic/saprophytic bacteria (e.g. Clostridium perfrigens or Bacillus fusiforms)
  • toxic products formed by bacteria are absorbed, causing systemic manifestation of sepsis
  • the affected part is edematous, soft, putrid, rotten and dark
23
Q

/5. Abnormal metabolism

A

Porphyria — is a condition when during the production of haemoglobin instead of the normal protoporphyrin 3 isomer the useless and toxic isomer 1 is being produced

(example for abnormal metabolism)

24
Q

/6. Enterogenic autointoxication, enterotoxaemia

A

Bacterial toxins produced inside the intestines cause an intoxication

Toxins were not just swallowed, but produced inside of the guts!!!

25
Examples of Enterogenic autointoxication, enterotoxaemia
- acute bovine pulmonary emphysema and edema (ABPEE) L-tryptophan -> **3-methylindole** - equine grass sickness (*Clostridium botulinum?*) - infectious necrotic enteritis of piglets and chickens: ***Clostridium perfrigens*** - rabbits: *E.coli, Clostridium perfrigens, Clostridium spiroforme*
26
Toxic colon
- the colon’s function is to prevent the absorption and facilitate the elimination of toxins with the feces - toxins in the feces: indol, skatol, phenol, methylmercaptan, urobilin, histidine, ammonia, putrescine, neurin, cadaverin, butyric acid, cholin, methylguanidine - constipation causes intestinal autointoxication/toxic colon
27
/7. Resorption autointoxication
Rupture, perforation or arrodation of the stomach or intestines will release content to the peritoneum, toxic compounds will be absorbed to the blood stream Digested food + enzymes + blood + profuse bacterial contamination
28
Morphological complications of the autointoxication
- main affected organs: liver, myocardium, kidney, brain - hydronic or vascuolar degeneration: histopathologically large cytoplasm: swelling, enlarged mitochondria - toxic hepatopathy - toxic myodegeneration - toxic nephropathy - toxic encelopathy - DIC (disseminated intravascular coagulopathy/microthrombosis) -> vasculitis
29
What’s the connection to autointoxication?
Haemorrhages are common in case of toxic material going through the body. Mainly haemorrhages happen under serous surfaces and often in the heart (lots of blood + pressure)
30
DIC