What is the number one risk factor for atherosclerosis?
Age
What has been proven to be an outstanding biomarker for atherosclerosis?
CRP
Decribe the sensitivity of angiography?
The progression of atherosclerosis and the clinical risk of atherosclerotic plaques are underestimated by angiography.
Poorly sensitive b/c vessels have compensatory mechanism to maintain the diameter of their lumen
Describe the state of the lumen throughout the progression of atherosclerosis?

Fill in this chart……….


What is a good modality for plaque imaging?
Ultrasound and virual histology
What is true about the plaques that rupture leading to atherosclerosis?
Plaques that rupture leading to atherosclerosis are not often the most stenotic by angiography
What is Virchow’s triad of the pathogenesis of thrombosis?
Injury to endothelium, altered blood flow, and increased coagulability of the blood
What are the atheroprone sites?
Areas where turbulence creates low shear stress
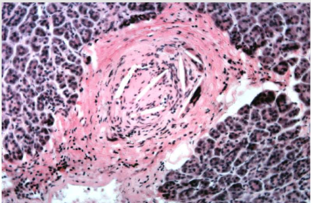
What can be seen in this thrombus?

Lines of Zahn
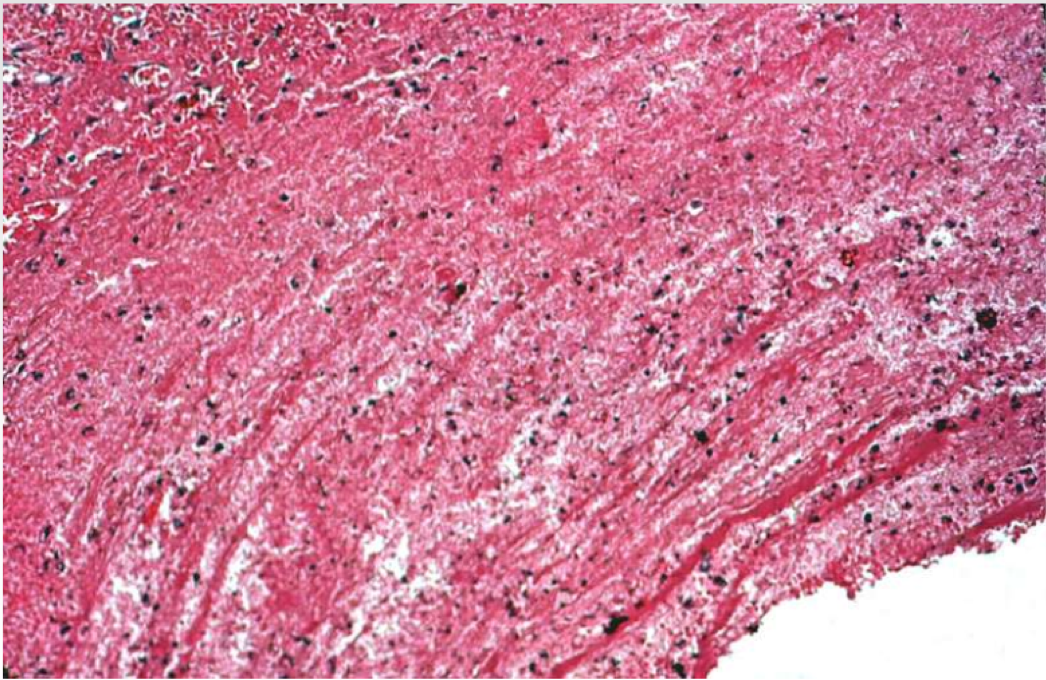
What is this?

Cholesterol emboli
When you see cholesterol clefts think about atherotic embolic dz

Aneurysm, aortic dissection

Cholesterol embolization due to aneurysm