A newborn girl is vomiting after her feeds and has diarrhoea. She becomes jaundiced over the next few days. Her urine is tested and found to contain galactose. She is diagnosed as having galactosaemia.
Which enzyme is most likely to be deficient in classical Type 1 galactosaemia where both galactose and galactose 1-phosphate accumulate in tissues?
Aldose reductase
Galactokinase
Galactose 1-phosphate uridyl transferase
Glucose 6-phosphate dehydrogenase
UDP-glucose epimerase
Galactose 1-phosphate uridyl transferase
CORRECT. In Galactosaemia individuals are unable to utilise galactose obtained from the diet because of a lack of the kinase or transferase enzyme. The absence of the kinase is relatively rare and is characterised by accumulation of galactose in tissues. The absence of the transferase is more common and more serious as both galactose and galactose 1-phosphate accumulate in tissues.
A 23 year old male professional tennis player has complained of vague posterior pain in his right shoulder and paraesthesia over his right lateral arm for the past 3 months. Upon further investigation his consultant determines the man has quadrangular space syndrome, a compressive neuropathy of the axillary nerve and posterior circumflex humeral artery as they pass through the quadrangular space in the shoulder.
What structure forms the anterior border of this anatomical space?
Long head of Triceps Brachii
Teres Major
Teres Minor
Subscapularis
Surgical Neck of the Humerus
Subscapularis
CORRECT – Subscapularis forms the anterior border of the quadrangular space. The quadrangular space is one of the routes through which various structures are able to leave the axilla (the others being inferiorly and laterally to the upper limb and via the deltopectoral triangle). The quadrangular space is an intermuscular space through which the axillary nerve and posterior circumflex humeral artery (a branch of the axillary artery) and vein pass to encircle the surgical neck of the humerus. The anterior border is formed from subscapularis, the superior border is formed from teres minor, the lateral border is formed from the surgical neck of the humerus, the inferior border is formed from teres major and the medial border is formed from the long head of the biceps brachii.
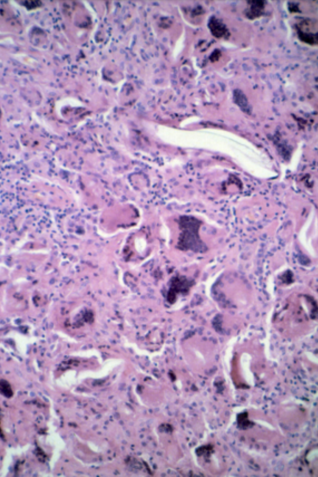
A 38 year old woman with a 15-year history of severe Crohn’s disease which is not responding to anti-inflammatory medication undergoes surgery to remove the most affected areas of the bowel. On a follow-up colonoscopy a nodule at the site of the surgery is still present and is biopsied. A histological section from the biopsy is shown below:
What is the most likely cause of the granuloma apparent in the section?
Granulomatosis with Polyangiitis
Crohn’s Disease
Extra-Pulmonary Tuberculosis
Surgical thread
Sarcoidosis
surgical thread
CORRECT – The image of the granuloma matches the structure of a foreign body granuloma. A foreign body granuloma contains macrophages, foreign body giant cells, epithelioid cells and some fibroblasts (at the periphery) but very few, if any, lymphocytes. They develop around any material that is not antigenic, e.g. a surgical thread.

A 73 year old woman visits her GP complaining that she sometimes wakes suddenly from sleep feeling short of breath. The GP examines the woman and finds a blood pressure of 98/82 mmHg, heart rate 110/min, respiratory rate 26/min and prominent distended neck veins when sitting upright. The woman has developed heart failure. One of the mechanisms by which the body adapts to this pathological condition is by increasing the synthesis of atrial natriuretic peptide (ANP) .
What is the primary mode of action of this hormone?
Decreases contractility of the myocardium
Decreases Na+ uptake from the nephron tubule
Increases Anti-Diuretic Hormone release
Increases Brain natriuretic peptide (BNP) production
Increases contractility of the myocardium
Decreases Na+ uptake from the nephron tubule
CORRECT – Atrial Natriuretic Peptide (ANP) is a hormone secreted by atrial cardiomyocytes in response to stretch. Therefore, in situations when there is an increased preload on the heart (i.e when the blood volume has been increased), there is more stretch in the atria and so there is a greater secretion of ANP. ANP acts by inhibiting renin secretion, promoting natriuresis (excretion of H2O and Na+ at the kidneys) and promoting vasodilation. By promoting the excretion of H2O and decreasing renin secretion, the blood volume will fall. The fall in blood volume decreases the end diastolic volume of the heart, decreasing the preload of the heart. By promoting vasodilation, the blood pressure of the heart will decrease, which will decrease the afterload on the heart. By decreasing the afterload and preload on the heart, the workload of the heart is reduced, potentially decreasing further deterioration. However, unfortunately, ANP and similar molecules (like brain natriuretic peptide) are not normally able to overcome the harmful effects of an increased blood volume (i.e the increased workload on the heart).
A 67 year old woman is admitted to the cardiac catheterisation lab following a myocardial infarction. The cardiologist plans to perform a percutaneous coronary intervention (PCI) and place a stent in her right coronary artery. He begins by inserting the catheter through a small incision in the right femoral artery.
Which option gives the correct order of arterial structures that the stent will pass through during this procedure?
A
B
C
D
E

B
CORRECT – A percutaneous coronary intervention is a combination of coronary angioplasty with stenting. This procedure is commonly used to widen blocked or narrowed coronary arteries, such as in cases of MI. Using x-ray imaging to monitor the procedure, the cardiologist guides a thin wire from the incision site, through the arteries, and into the narrowed coronary artery. Once in position, a small balloon with a stent fitted over it is inflated and the stent is left inside the artery holding it open. This helps ensure blood flow to the heart tissue.

A 77 year old woman with a history of atherosclerosis experienced a myocardial infarction (MI) three years ago. The woman has been noticing that since her MI she has become more breathless upon exertion and has been suffering from breathlessness when lying down (orthopnoea). The woman is diagnosed with left sided heart failure. A chest X-ray of the woman shows that she has also developed a pulmonary oedema.
Why does a patient with left sided heart failure suffer from breathlessness more when lying down?
Due to the formation of a pulmonary oedema around the apical capillaries of the pulmonary circulation
Due to the formation of a pulmonary oedema around the capillaries of the bronchial circulation
Due to the formation of a pulmonary oedema throughout the lung
Due to the formation of a pulmonary oedema around the capillaries at the base of the lung
Due to the formation of a pulmonary oedema around the capillaries of the legs
Due to the formation of a pulmonary oedema throughout the lung
CORRECT – In left sided heart failure, the cardiac output of the heart is decreased. This means that blood begins to accumulate in the left side of the heart and the pulmonary circulation. This accumulation can lead to pulmonary hypertension, raising the hydrostatic pressure of the capillaries of the pulmonary circulation and therefore leading to the formation of a pulmonary oedema. Due to the effect of gravity, when upright (orthostasis) the hydrostatic pressure of the pulmonary circulation is greatest at the base of the heart. This means that a pulmonary oedema normally forms at the base of the heart during orthostasis. As the capillaries at the apex and at the level of the heart are not surrounded by oedema, they can still function normally and so symptoms are much less severe when a patient is in this position. However, when the patient lies down, this effect of gravity is lost and so the increase in hydrostatic pressure affects all of the capillaries of the lung. Therefore, at this point symptoms are more severe

A 73 year old man is admitted to A&E with a central dull crushing chest pain. An ECG shows the presence of an elevated ST segment in leads I, aVL and V1 to V6, indicating an occlusion of the proximal left coronary artery. He is sent to the cath lab but on the way his mean arterial blood pressure (maBP) begins to fall dramatically. The man has entered cardiogenic shock.
How will the patient’s cardiovascular function be changed by this form of haemodynamic shock?
A
B
C
D
E
A
CORRECT – A corresponds to the changes that are seen in cardiogenic shock. Cardiogenic shock occurs when there is a failure in the pumping mechanism of the heart, leading to a fall in cardiac output. This means that the heart can fill as normal, however, it is unable to pump out the volume of blood required to maintain mean arterial blood pressure (maBP), leading to haemodynamic shock. As the blood pressure begins to fall, vascular smooth muscle cells vasoconstrict in order try to maintain maBP, leading to an increase in total peripheral resistance. The inability of the heart to pump blood leads to a backlog of blood in the pulmonary circulation (increasing pulmonary arterial pressure) and in the venous system (increasing central venous pressure). As the heart can fill as normal, the end diastolic volume remains normal in most cases, however, the accumulation of blood in the heart can also stretch the ventricles, meaning that there can actually be an increase in end diastolic volume in some cases. Causes of cardiogenic shock include serious arrhythmias, acute worsening of heart failure and severe myocardial infarctions of the left ventricle.

A 48 year old man with a background of chronic alcohol dependence sees his GP for advice. He has had multiple episodes of intermittent severe abdominal pain radiating to his back which are becoming more frequent. He also describes unplanned weight loss of 8kg over 6 months, and loose stools that float in the toilet pan. His BMI is 19 kg/m2and urinalysis shows glucose ++.
Which condition underlies all of the symptoms described?
Adrenal insufficiency
Chronic pancreatitis
Coeliac disease
Crohn’s disease
Ulcerative colitis
Chronic pancreatitis
CORRECT. Chronic heavy alcohol consumption can cause pancreatitis. Symptoms include constant pain in the upper abdomen that radiates to the back and weight loss caused by malabsorption of food. Diabetes may also develop if the pancreatic beta cells are damaged (causing glucosuria). Whilst other options listed can also occur with alcohol abuse, chronic pancreatitis is the only one that explains all the symptoms given.
A 38 year old man who is known to HIV positive develops purple skin lesions on his face. His GP explains that these lesions are Kaposi’s sarcoma, a type of cancer commonly found patients infected with HIV.
Why does infection with this virus increase the risk of carcinogenesis?
Decreased immunity
Increased cellular regeneration
Increased inflammation
Increased retinoblastoma protein activity
Inhibition of p53 activity
Decreased immunity
CORRECT – HIV is a retrovirus that infects and destroys CD4 cells. CD4 cells are vital in maintaining both humeral and cell-mediated immunity. Therefore, the destruction of these cells decreases the ability of an individual’s immune system to fight off infection. This leaves the individual more vulnerable to another, more carcinogenic microorganism for example the Human Herpesvirus 8 (HHV-8), which is the virus that causes Kaposi’s sarcoma. KSHV infections are much more prominent in immunocompromised patients, for example in people that have been infected by HIV.
Following a myocardial infarction, a 79 year old man is referred to the angioplasty clinic to remove a clot from his distal left anterior descending coronary artery. On admittance a 12-lead ECG is recorded.
Which ECG leads would give the best view to determine occlusion of this artery?
Leads AVL, AVF and AVR
Leads V1 and V2
Leads V1, V2, II III and AVF
Leads V3 to V4
Leads V5, V6, I and AVL
Leads V3 to V4
CORRECT - Leads V3 and V4 provide a view of the anteroapical aspect of the heart. This view will provide highlight any areas of the heart that have undergone an infarction as a response to an occlusion of the distal part of the left anterior descending coronary artery.
With regards to the image below, which of the following is true?
A becomes stretched during extension of the spine
B resists hyperextension of the vertebral column
C prevents hyperflexion of the vertebral column
D prevents hyperflexion of the vertebral column
E is taught during extension of the vertebral column
C prevents hyperflexion of the vertebral column
CORRECT – C refers to the posterior longitudinal ligament. The posterior longitudinal ligament runs posterior to the vertebral bodies, from the body of the axis (C2 vertebra) to the sacral canal. Superior to the axis, it continues as the tectorial membrane of the atlanto-axial joint (a strong band which covers the dens of the axis). It prevents hyperflexion of the vertebral column. Its main relevance clinically is that it reinforces the annulus fibrosus centrally so that intervertebral disc prolapse tends to occur lateral to the posterior longitudinal ligament. This type of prolapse is called a paracentral disc prolapse. As one flexes their spine, the posterior longitudinal ligament, ligamentum flavum, interspinous ligament and supraspinous ligament are all under tension. The vertebral bodies, intervertebral discs and anterior longitudinal ligament are under compression.

Which precursor molecule is used to synthesise the hormones aldosterone, testosterone and progesterone?
Cholesterol
Tyrosine
Amine hormone
Glycoprotein hormone
Correct. Steroid hormones are synthesised form cholesterol.
Which of the following would be classed as a secondary adrenal failure?
Autoimmune destruction of the adrenal cortex
Hypopituitarism resulting in ACTH deficiency
Hypoadrenalism due to chronic exposure to steroid drugs
Hypopituitarism resulting in ACTH deficiency
CORRECT.
Which cell type plays an important role in recycling iron lost from old red blood cells when they are taken out of circulation and destroyed?
Eosinophils
Lymphocytes
Macrophages
Neutrophils
Platelets
Macrophages
Correct. The iron lost from old red blood cells is scavenged by macrophages in the mononuclear phagocyte system (mainly in the spleen), and returned to the storage pool for re-use.
what does this ECG show

atrial fibrilliation
wavy baseline, no discernable p waves and irregular rhythm
what does this ECG show

first degree heartblock
PR interval is proloned but each p wave is still followed by a QRS complex
*slowing of the conductiron between the atria and the ventricles
what does this ECG show

third degree heart block
complete dissociation of the atria and the ventricles.1 Third-degree AV block exists when more P waves than QRS complexes exist and no relationship (no conduction) exists between them
how many seconds in 1 large square
0.2 or 200ms
how many seconds in 1 small square
0.04ms
what ion channels are primarily responsible for the slow pacemaker potential cells of the SAN?
L- type calcium channels
HCN channels
create the If current
what ion channels are primarily responsible for the slow pacemaker potential cells of the ventricular action potential?
voltage gated Na+ channels
in the cardiac cycle what happens to the pressure an volume in the left ventricle at the beginning of systole just after the mitral valve closes and before the aortic valve opens
name the venous drainage channel in the heart which receives blood from the cardiac veins and drains into the right atrium
coronary sinus