4. Stroke Flashcards

(49 cards)

1
Q

What are the two main types of stroke?

A

1) Infarction (~80%)
2) Haemorrhage (~20%)

How well did you know this?
1
Not at all
2
3
4
5
Perfectly
2
Q

Outline how stroke symptoms arise.

A

1) Cerebral hypoperfusion results in a lack of ATP
2) Active membrane transport ceases
3) Action potential threshold is not reached

How well did you know this?
1
Not at all
2
3
4
5
Perfectly
3
Q

What are the key features of stroke symptoms?

A
  • evolves suddenly (reflecting AP cessation)
  • focal (only neurovascular units in the concerned vascular territory are affected)
  • predominantly negative (reflecting loss of function due to AP cessation)
  • symptoms fit into vascular territory
How well did you know this?
1
Not at all
2
3
4
5
Perfectly
4
Q

Which area of the brain do the anterior cerebral arteries (ACA) supply?

A

Anteromedial area of the cerebrum

How well did you know this?
1
Not at all
2
3
4
5
Perfectly
5
Q

Which area of the brain do the middle cerebral arteries (MCA) supply?

A

Lateral cerebrum

How well did you know this?
1
Not at all
2
3
4
5
Perfectly
6
Q

Which area of the brain do the posterior cerebral arteries (PCA) supply?

A

Medial and lateral areas of the posterior cerebrum

How well did you know this?
1
Not at all
2
3
4
5
Perfectly
7
Q

What is the most commonly used classification for ischaemic strokes?

A

Bamford stroke classification

How well did you know this?
1
Not at all
2
3
4
5
Perfectly
8
Q

Which artery is affected in total anterior circulation stroke (TACS)?

A

TACS is a large cortical stroke affecting areas of the brain supplied by the anterior circulation.

How well did you know this?
1
Not at all
2
3
4
5
Perfectly
9
Q

What are the features of TACS?

A

All three of the following:

1) unilateral weakness of the face, arm and leg
2) homonymous hemianopia
3) higher cerebral dysfunction (e.g. dysphasia, visuspatial disorder)

How well did you know this?
1
Not at all
2
3
4
5
Perfectly
10
Q

Which artery is affected in partial anterior circulation stroke (PACS)?

A

PACS is a less severe form of TACS, in which only part of the anterior circulation (MCA and ACA) has been compromised.

How well did you know this?
1
Not at all
2
3
4
5
Perfectly
11
Q

What are the features of PACS?

A

Two of the following:

1) unilateral weakness of the face, arm and leg
2) homonymous hemianopia
3) higher cerebral dysfunction* (e.g. dysphasia, visuspatial disorder)

*Higher cerebral dysfunction alone is also classified as PACS.

How well did you know this?
1
Not at all
2
3
4
5
Perfectly
12
Q

Which artery is affected in posterior circulation syndrome (POCS)?

A

POCS involves damage to the area of the brain supplied by the posterior circulation.

How well did you know this?
1
Not at all
2
3
4
5
Perfectly
13
Q

What are the features of POCS?

A

One of the following:

  • cranial nerve palsy and a contralateral motor/sensory deficit
  • bilateral motor / sensory deficit
  • cerebellar dysfunction (e.g. vertigo)
  • isolated homonymous hemianopia
How well did you know this?
1
Not at all
2
3
4
5
Perfectly
14
Q

Which artery is affected in lacunar strokes (LACS)?

A

LACS is a subcortical stroke occurring secondary to occlusion of lenticulostriate arteries.

How well did you know this?
1
Not at all
2
3
4
5
Perfectly
15
Q

What are the features of LACS?

A

No loss of higher cerebral functions, plus one of:

  • pure sensory stroke
  • pure motor stroke
  • sensori-motor stroke
  • ataxic hemiparesis
How well did you know this?
1
Not at all
2
3
4
5
Perfectly
16
Q

What is neurological stereotyping?

A

The episodic recurrence of neurological disturbance in an identical fashion with complete resolution in between.

When there is evidence of stereotyping, this is suggestive of stroke mimics.

How well did you know this?
1
Not at all
2
3
4
5
Perfectly
17
Q

What are the mechanisms that can result in ischaemic strokes?

A

TOAST criteria:

1) Large artery atherosclerosis (embolus or thrombosis)

2) small vessel occlusion (lacune)

3) cardioembolism

4) stroke of other determined aetiology

5) stroke of undertermined aetiology

How well did you know this?
1
Not at all
2
3
4
5
Perfectly
18
Q

What are the divisions of inrtacerebral haemorrhage?

A
  • central / deep
  • lobar haemorrhage
How well did you know this?
1
Not at all
2
3
4
5
Perfectly
19
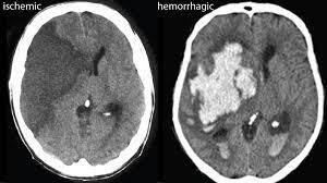
Q

How can haemorrhagic vs ischaemic strokes be differentiated?

A

CT or MRI imaging

How well did you know this?
1
Not at all
2
3
4
5
Perfectly
20
Q

What are the complications of stroke?

A

Premature death - usually related to post stroke complications and not the immediate compromise of brain cells.

Recurrence of stroke due to suboptimal secondary prevention.

Extension of stroke into ischaemic penumbra due to delayed treatment.

Infections due to aspiration (LRTI) or incomplete bladder emptying (UTI).

VTE, constipation and bed sores due to immobility.

Post stroke pain and fatigue.

Muscle spasticity, contractures and secondary epilepsy.

21
Q

What is included in the stroke bundle?

A
  • admission to stroke unit
  • revascularisation therapy
  • optimising physiology via surveillance, prevention and early intervention of complications
  • nutritional support
  • secondary prevention
  • rehabilitation and reablement
22
Q

What are the three broad recovery trajectories following stroke?

A

Early, high functioning plateau (e.g. TIA, minor stroke) showing excellent functional prognosis.

Early, low functioning plateau (e.g. TACS) with no meaningful improvement in function as time passes, signifying poor functional prognosis.

Delayed, medium functioning plateau (e.g. PACS) in which patients benefit from sustained rehabilitation efforts until a functional plateau is reached.

23
Q

What are the rules on driving following a stroke?

A

4-week period of driving restriction applies for standard car licenses.

1-year period of driving restriction applies for HGV licenses.

Residual field dysfunction is subjected to separate requirements before license reinstatement.

Persisting impairments is not an automatic disqualification - referral to Regional Driving Assessment Centres needed.

24
Q

What is the FAST test?

A

FAST test can help you recognise the most common signs of a stroke:

  • facial weakness
  • arm weakness
  • speech problems
  • time (acute onset)

If a patient is FAST positive, urgent assessment by stroke team required.

25
What is NIHSS?
An assessment tool used to measure stroke-related neurological deficit, used to evaluate and document neurological status in acute stroke patients. https://www.ninds.nih.gov/sites/default/files/documents/NIH_Stroke_Scale_508C_0.pdf
26
What is mRS?
An assessment tool used to measure the degree of disability in the daily activities of people. who have suffered a stroke. Assesses baseline function and can be used to evaluate treatment impact after interventions. https://www.mdcalc.com/calc/1890/modified-rankin-scale-neurologic-disability
27
What is ASPECTS score?
An assessment tool using early CT changes in a stroke to predict functional stroke outcomes. https://www.mdcalc.com/calc/3164/alberta-stroke-program-early-ct-score-aspects
28
How should ischaemic stroke be managed?
Revascularisation therapy (thrombolysis): IV alteplase within 4.5 hours of presentation. Mechanical thrombectomy within 6 hours for patients with large vessel occlusion.
29
What is malignant oedema?
A leading cause of early death following ischaemic stroke, where cerebral swelling causes transtentorial herniation.
30
What is the treatment of malignant oedema?
Decompressive hemicraniectomy (DHC). Referrals should be made to the neurosurgical unit within 24 hours, and surgery completed within 48 hours.
31
What interventions can be made for intracerebral haemorrhage?
- blood pressure control - correction of blood clotting abnormalities Evacuation of haematoma and ventricular drains are surgical options.
32
What assessment tools can be used to balance stroke risk vs bleeding risk?
Stroke risk: CHA2DS2-VASc Bleeding risk: ORBIT
33
When should antithrombotic therapy be initiated for primary prevention of a stroke?
DOACs if CHA2DS2-VASc >1 (male) or >2 (female)
34
What are the risk factors for strokes?
- hypertension - raised HbA1c - hypercholesterolaemia - obesity - physical inactivity - obstructive sleep apnoea
35
How can nutritional support following a stroke be met?
In the majority of stroke patients with unsafe swallow function, tube assisted enteral feeding (PEG or NG tubes).
36
What is the role of palliation in stroke medicine?
When prognosis is poor, palliation can be used to address pain, mouth and skin care, airway secretions. Tube assisted enteral feeding and IV hydration are not usual recommendations and patients can be fed orally for pleasure, accepting risk of aspiration.
37
What is the role of the ABCD2 score following TIA?
Up to 20% of TIAs can preceed stroke - ABCD2 score stratifies stroke risk following TIA.
38
Give some examples of stroke mimics.
Group 1 - readily recognised on brain imaging: - space occupying lesion - multiple sclerosis - subdural haematoma Group 2 - distinct non-stroke syndrome features: - BPPV - vestibular neuronitis - syncope - transient global amnesia Group 3 - subtle non-stroke syndrome features: - migraine with aura - focal siezures - functional syndrome
39
What is apparent neurological deficit?
The neurological dysfunction in patients with chronic stroke and residual areas of scar tissue. Symptoms recur due to underperformance of gliotic tissue in the context of suboptimal physiology (e.g. infection, hypotension, hypoglycaemia). Correction of disturbance will see return of baseline function.
40
What is the function of the anterior communicating artery (ACA)?
Supplies frontal, pre-frontal and supplementary motor cortex, as well as parts of the primary motor cortex and primary sensory cortex.
41
Presentation of ACA infarct.
- contralateral hemiparesis - loss of sensibility in lower limbs - urinary incontinence *ACA infarct is very rare due to collateral circulation provided by ACA.
42
What is the function of the middle cerebral artery (MCA)?
Supplies lateral cerebral surface, including main motor and sensory areas. Gives off striate arteries that supply deep structures, including the internal capsule.
43
Presentation of MCA infarct (middle artery syndrome).
- contralateral sensory loss of legs, arms, and lower two-thirds of the face - contralateral paralysis of arms, legs and face - ipsilateral eye deviation - contralateral homonymous hemianopia
44
What are the signs of upper motor neurone lesions (ie. stroke)?
- hypertonia - weakness - hyperreflexia - upgoing plantars
45
What are the signs of lower motor neurone lesion (LMN)?
- hypotonia - weakness - hyporeflexia - downgoing plantars
46
Broca's aphasia can be due to stroke affecting which artery?
Superior division of MCA, affecting left-sided hemisphere.
47
Wernicke's aphasia can be due to stroke affecting which artery?
Inferior division of MCA
48
What is hemineglect syndrome?
A group of symptoms arising from a right-sided hemisphere stroke (MCA): - anosognosia - apraxia - hemispatial neglect
49
Which artery is most commonly a source of berry aneurysms?
MCA Associated with risk factors such as ADKPKD, cigarette smoking, hypertension and age.