4.12 Integument Flashcards

(38 cards)

1
Q

Functions of the skin

A

-Barrier for protection (against impact, friction and UV)
-Immunologic defense and wound healing
-Homeostasis (prevention of water loss/thermoregulation)
-Conveys sensory info to nervous system
-Exocrine function (secretition via sweat, sebaceous and apocrine glands)
-Endocrine function (vitamin D3)
-Dermatoglyphics (fingerprint)

How well did you know this?
1
Not at all
2
3
4
5
Perfectly
2
Q

what 3 layers is skin composed of?

A

Epidermis, dermis, hypodermis

How well did you know this?
1
Not at all
2
3
4
5
Perfectly
3
Q

_____ is derived from the ectoderm, while _______ are derived from the mesoderm

A

Ectoderm
Demis/hypodermis

How well did you know this?
1
Not at all
2
3
4
5
Perfectly
4
Q

what are the 2 different skin types? how are they different?

A
  1. Thick (has NO hair follicles, sweat glands)
    2 Thin (has hair follicles, sebaceous glands)
How well did you know this?
1
Not at all
2
3
4
5
Perfectly
5
Q

what are the layers of the epidermis? (from basal to surface)

A

S. basale
S. Spinosum
S. granulosum
S. Lucidum
S. corneum

How well did you know this?
1
Not at all
2
3
4
5
Perfectly
6
Q

______ is the layer where cells divide

A

S. basale

How well did you know this?
1
Not at all
2
3
4
5
Perfectly
7
Q

_____ is the layer that has many intermediate filaments and they attach to each other with desmosomes

A

S. spinosum

How well did you know this?
1
Not at all
2
3
4
5
Perfectly
8
Q

____ is the layer of skin that produces ceramides and has the water-lipid barrier

A

S. granulosum

How well did you know this?
1
Not at all
2
3
4
5
Perfectly
9
Q

_____ is the very top layer that can have keratinized cells

A

S. coreum

How well did you know this?
1
Not at all
2
3
4
5
Perfectly
10
Q

_________ are transported from the melanocyte’s cell body along the lengths of its dendritic extensions to the dendrite tips. These are then transferred to the______

A

Melanin-bearing melanosomes
epithelial cells

How well did you know this?
1
Not at all
2
3
4
5
Perfectly
11
Q

describe the process of melanin formation and transfer to keratinocytes

A

Promelanosome formation → synthesis of melanin in early melanosome → melanosome secretion → taken up by keratinocytes –> melanin goes above nucleus → protects DNA

How well did you know this?
1
Not at all
2
3
4
5
Perfectly
12
Q

_____ is the layer where the sweat gland ducts are

A

S. corneum

How well did you know this?
1
Not at all
2
3
4
5
Perfectly
13
Q

_____ are the most prominent cell in the epidermis. How can they be distinguished?

A

Keratinocytes
They can be distinguished from melanocytes and Langerhans cells in the epidermis by their larger size, intercellular bridges, and ample cytoplasm.

How well did you know this?
1
Not at all
2
3
4
5
Perfectly
14
Q

______ are invasive wandering cells that supply keratinocytes with melanin

A

melanocytes

How well did you know this?
1
Not at all
2
3
4
5
Perfectly
15
Q

where are melanocytes derived from?

A

neural crest

How well did you know this?
1
Not at all
2
3
4
5
Perfectly
16
Q

Melanocytes are considered a dendritic cell. Their cell body is in the epidermis

First is true, second is false
First is false, second is true
both false
both true

A

First is true, second is false

Melanocytes cell bodies are located at the basal layer

17
Q

the Ratio melanocytes:keratinocytes is ____ in all races, but varies across the body

18
Q

______ are dendritic cells in S. spinosum that play a role in allergies and are an APC

A

Langerhans Cells

19
Q

how can langerhans cells detect pathogenic antigens?

A

They can extend dendrites through tight junctions to detect and bind antigens

20
Q

where are langerhans cells derived from? where are they the most prevalent?

A

stem cells in bone marrow
Oral/vaginal epithelia

21
Q

_____ are modified epidermal cell that assists in acute sensory info

A

Merkel’s cells

22
Q

Merkels cells are present in _______ that have what kind of senses?

A

thick skin with acute senses (fingertips)

23
Q

Merkels cells do not bind to other cells with desmosomes. They do have dense granules

First false, second true
First true, second false
Both true
both false

A

first false, second true

They DO bind to other cells with desmoeomes, and they DO have dense granules

24
Q

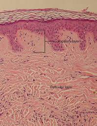
what are the 2 layers in the dermis?

A
  1. papillary dermis
  2. reticular dermis
25
The ____ layer has loose CT (type III collagen) while the _____ layer has dense irregular CT (type I collagen)
Papillary, reticular
26
what are some things that make up the papillary layer?
-Loose CT (Type III collagen) -Anchoring fibrils (Type VII collagen) -Elastic fibers (Oxytalan and Elaunin) -Small collagen fibers, thin elastic fibers -Small blood vessels and nerve endings terminating in dermis are concentrated in the papillae
27
The reticular layer has _____ elastic fibers
thick
28
what are some components of the hypodermis?
- Hypodermis: under dermis -Loose CT -Large blood vessels -Adipose tissue -Pacinian corpuscles
29
______ are more numerous in areas such as the soles of the feet, palms of the hand, armpits and groin (thick skin)
Sweat glands
30
______ are Found in thin skin (anywhere where there is hair)
Sebaceous glands:
31
what is a sweat gland made up of?
coiled tube, surrounded by a good blood supply, and a duct, which opens onto the skin surface through a pore.
32
what does a sebaceous gland look like?
branched acinar (spherical) glands which make an oily substance called sebum
33
______ sweat glands are in restricted locations and have simple coiled tubular glands. Their secretory product is viscous and odorless
apocrine
34
Some of the circulating blood volume in the skin will flow through ______ instead of capillaries to help regulate temperature
arteriovenous anastomoses (AVAs)
35
ABCDE rules of melanoma
Asymmetrical, Border, Color, Diameter, Evolving.
36
what are the specialized nerve/sensory receptors? and which have encapsulated nerve endings?
- Free nerve endings in epidermis - Merkel's ending - Pacinian corpuscles at dermo-hypodermal junction (encapsulated nerve endings) -Meissner corpuscles in dermal papillae (encapsulated nerve endings
37
what two things are found in the epidermis/dermis junction?
- Epidermal ridges (rete pegs) - Dermal infoldings (papillae)
38
where are epidermal ridges increased?
where stresses on skin are high