45 Temporal Bone Trauma Flashcards

(21 cards)

1
Q

What are the common causes of temporal bone trauma and how frequent is this injury?

A

What are the common causes of temporal bone trauma and how frequent is this injury?

Temporal bone trauma can be classified as blunt or penetrating. Blunt trauma is most commonly the result of motor vehicle accidents (31%), followed by assaults, falls, and motorcycle accidents. Penetrating trauma is almost exclusively due to gunshot wounds. Temporal bone trauma is most common in the second through fourth decades of life and most often in males. In head trauma of sufficient magnitude to fracture the skull, 14% to 22% of these patients sustain a temporal bone fracture. When fractures occur, 90% are associated with intracranial injuries and 9% are associated with cervical spine injuries. Sixty percent are open fractures, draining bloody otorrhea or CSF fluid, and 8% to 29% occur bilaterally.

How well did you know this?
1
Not at all
2
3
4
5
Perfectly
2
Q

What important structures course through the temporal bone that may be subject to injury during temporal bone trauma?

A

What important structures course through the temporal bone that may be subject to injury during temporal bone trauma?

The temporal bone is extremely complex; it houses ossicles, cochlear and vestibular organs, the vestibulocochlear nerve (IIX), the facial nerve (VII), the carotid artery, and the jugular vein. Other nerves passing near or through the temporal bone are the abducens nerve (VI), glossopharyngeal nerve (IX), vagus nerve (X), and spinal accessory nerve (XI), which can also be injured during temporal bone fractures. The multiple foramina and canals in the skull base weaken the bone and are responsible for the patterns seen in temporal bone fractures.

How well did you know this?
1
Not at all
2
3
4
5
Perfectly
3
Q

The temporal bone has several parts; what are they?

A

The temporal bone has several parts; what are they?

The squamous portion is a flat plate that is the lateral wall of the middle cranial fossa housing the middle meningeal artery; it includes the zygomatic arch and glenoid fossa. The tympanic portion is a horseshoe-shaped incomplete ring of bone that makes up most of the external auditory canal. Medially it forms the tympanic sulcus which holds the tympanic membranes annular ligament. The styloid process projects inferiorly from the vaginal process of the temporal bone. It lies anterior to CN VII and lateral to the carotid artery. The petrous portion is the pyramid-shaped medial portion of the temporal bone that separates the middle and posterior cranial fossa. It is extremely solid and protects the auditory and vestibular organs within the otic capsule. The internal auditory canal is located medially on the posterior surface. The inferior surface contains the carotid canal and the jugular foramen. The posterior part of the petrous bone contains the mastoid, which is filled with air cells and lined with mucous membrane.

How well did you know this?
1
Not at all
2
3
4
5
Perfectly
4
Q

What are the important elements of the initial history of a patient with temporal bone trauma in an emergency?

A

What are the important elements of the initial history of a patient with temporal bone trauma in an emergency?

The initial history should include the mechanism of injury, time of onset of symptoms, presence or absence of hearing loss, vertigo, and facial weakness. In facial nerve trauma, the prognosis and approach to treatment depend partially on whether the onset of paralysis was immediate of delayed. Often, patients with severe head trauma that results in temporal bone fractures are unconscious. In these cases, the history must be obtained from family, paramedics, and emergency department personnel.

How well did you know this?
1
Not at all
2
3
4
5
Perfectly
5
Q

How are temporal bone fractures classified?

A

How are temporal bone fractures classified?

Temporal bone fractures are classically described as either longitudinal or transverse; however, most fractures are actually in an oblique or mixed pattern (Figure 45-1). They can also be described as otic capsule-sparing or disrupting to emphasize the functional sequelae of the fracture, and other authors have described them according to the portion of the temporal bone involved (squamous, tympanic, mastoid, and petrous).

Figure text: Temporal bone fractures, longitudinal (L), transverse (T), and oblique (O).

How well did you know this?
1
Not at all
2
3
4
5
Perfectly
6
Q

Describe “longitudinal temporal bone fractures” and their significance.

A

Describe “longitudinal temporal bone fractures” and their significance.

Traditionally longitudinal fractures are most common, accounting for 80% of temporal bone fractures. They are otic capsule sparing in 95% and are caused by blunt trauma to the temporoparietal region. They extend from the squamous part of the temporal bone, down the external auditory canal (EAC), through the middle ear (disrupting the ossicular chain), parallel to the long axis of the petrous pyramid to the foramen lacerum. Up to 30% of the time they can extend to the opposite temporal bone and become bilateral. These fractures have a 20% incidence of facial nerve injury and often produce conductive hearing loss (CHL) rather than sensorineural hearing loss (SNHL). Tympanic membrane rupture and ear canal lacerations are common and can be associated with cerebrospinal fluid (CSF) otorrhea.

How well did you know this?
1
Not at all
2
3
4
5
Perfectly
7
Q

Describe “transverse temporal bone fractures” and their significance.

A

Describe “transverse temporal bone fractures” and their significance.

Transverse fractures are associated with high morbidity and fortunately are less common, representing 20% of temporal bone fractures. The injury usually results from severe blunt trauma to the occiput or frontal region. The fracture often begins at the foramen magnum and crosses the long axis of the petrous pyramid at right angles and can have a higher incidence of otic capsule disruption. They have a 50% facial nerve injury rate, severe SNHL or mixed (CHL + SNHL) hearing loss, with intense vertigo. Because the tympanic membrane is usually intact, CSF leakage into the middle ear usually presents as CSF rhinorrhea via the eustachian tube.

How well did you know this?
1
Not at all
2
3
4
5
Perfectly
8
Q

What physical findings should you look for when evaluating someone with suspected temporal bone fracture?

A

What physical findings should you look for when evaluating someone with suspected temporal bone fracture?

  • 
Facial nerve weakness may be sudden or delayed in onset; documentation is important because sudden loss of function may require urgent intervention.

  • 
Hearing loss may be conductive, sensorineural or both; hearing can be tested in the awake patient with a 512-Hz tuning fork and deferred in the unconscious patient.

  • 
Nystagmus results from vestibular injury or perilymphatic fistula. Sudden severe vertigo with SNHL is associated with otic capsule disruption.

  • 
Tympanic membrane and external auditory canal lacerations are often seen with longitudinal fractures.

  • 
Hemotympanum is blood within the middle ear space.

  • 
CSF otorrhea occurs through a lacerated ear drum most often with longitudinal fractures.

  • 
CSF rhinorrhea occurs through the eustachian tube with an intact TM, which is commonly seen in transverse fractures.
  • 
Battle’s sign is postauricular ecchymosis arising from bleeding from the mastoid emissary vein.

  • 
Raccoon eyes is periorbital ecchymosis arising from middle and anterior cranial fossa fractures from meningeal tears that cause venous sinus bleeding into the orbit.

How well did you know this?
1
Not at all
2
3
4
5
Perfectly
9
Q

What complications are associated with temporal bone fracture?

A

What complications are associated with temporal bone fracture?

  • 
Facial nerve injury is common and may be temporary or permanent.

  • 
CSF leak is common and generally improves within 7 days.

  • 
Hearing loss is common and may be conductive, sensorineural or both.

  • 
Vertigo is common and may be mild to very severe and constant or positional.

  • 
Vascular injuries are uncommon except in severe blunt or penetrating trauma where angiography for carotid, vertebral, and middle meningeal artery injury may be required.

  • 
Facial hypesthesia or hypoesthesia is uncommon and due to injury to the trigeminal nerve on the surface of the petrous bone in Meckel’s cave.

  • 
Diplopia is uncommon and due to abducens nerve injury as it courses through Dorello’s canal.

  • Cholesteatoma may be a late finding from displaced canal skin or tympanic membrane skin into the middle ear or mastoid spaces.

How well did you know this?
1
Not at all
2
3
4
5
Perfectly
10
Q

Describe the difference between penetrating and blunt temporal bone trauma.

A

Describe the difference between penetrating and blunt temporal bone trauma.

Although less frequent, penetrating trauma of the temporal bone is most often from gunshot injury and more severe. It is more destructive than blunt injury with intracranial complications to the temporal lobe, cranial nerves, and the carotid artery. The facial nerve is commonly injured in its vertical or extratemporal segments. The destructive nature is associated with missile velocity. High-velocity missiles penetrate the bone and cause temporary cavity formation and secondary missile formation from dislodged bone fragments. Angiography of the carotid and vertebral arteries should be done. Injuries of these vessels are often treated at the time of angiography.

How well did you know this?
1
Not at all
2
3
4
5
Perfectly
11
Q

What are the best imaging studies for temporal bone fracture?

A

What are the best imaging studies for temporal bone fracture?

Patients with severe head trauma often have a computed tomography (CT) scan of the head to assess for intracranial hemorrhage. Additional imaging of the temporal bone with axial and coronal thin-section high-resolution CT scanning with bone algorithms is indicated in the presence of facial paralysis, CSF leakage, EAC fracture and canal disruption, vascular injury, and conductive hearing loss. Preoperative assessment with a CT scan for patients with significant conductive hearing loss may be necessary for information to guide surgical exploration and ossicular reconstruction. Carotid angiography, MRA, or CTA may be indicated for patients with transient or persistent neurologic deficits. Conventional radiographs no longer play a role in the evaluation of patients with suspected temporal bone fracture.

How well did you know this?
1
Not at all
2
3
4
5
Perfectly
12
Q

What physical findings on initial examination of a temporal bone fracture might require early surgical intervention by the otolaryngologist?

A

What physical findings on initial examination of a temporal bone fracture might require early surgical intervention by the otolaryngologist?

Facial nerve injury, CSF leak, hearing loss, and vertigo on initial examination may warrant early surgical intervention. The finding of most importance to the otolaryngologist is immediate onset of facial nerve paralysis. Patients with immediate onset of paralysis likely represent an injury that would result in a poor outcome; these patients may require facial nerve exploration, decompression, nerve repair, or nerve grafting. A fine cut (1 mm) CT scan of the temporal bone that suggests bony impingement or transection can be helpful in deciding to explore and repair the nerve.

How well did you know this?
1
Not at all
2
3
4
5
Perfectly
13
Q

What are the most likely sites of facial nerve injury in temporal bone fractures?

A

What are the most likely sites of facial nerve injury in temporal bone fractures?

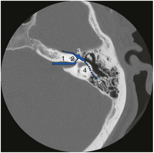
The site of facial nerve injury is in the perigeniculate region in most patients, possibly from tethering by the GSPN. Damage can also occur in the “horizontal” or tympanic segment and in the labyrinthine segment by direct injury or nerve edema (Figure 45-2). Chang and Cass reviewed surgical findings of four types of facial nerve pathology after temporal bone trauma. The authors’ review of 67 longitudinal fractures from three studies revealed that 76% of fractures had bony impingement or intraneural hematoma, and 15% had transection. The remainder had no visible pathology except neural edema. In contrast, of 11 transverse fractures reviewed, 92% were transected, and 8% had bony impingement.

Figure text: CT image of the facial nerve through the left temporal bone, segments include from proximal to distal; 1) meatal segment, 2) labyrinthine segment, 3) perigeniculate area, 4) “horizontal” or tympanic segment, and descending to the stylohyoid foramen as the 5) “vertical” or mastoid segment.

How well did you know this?
1
Not at all
2
3
4
5
Perfectly
14
Q

How is an injured facial nerve evaluated in an obtunded or unconscious patient?

A

How is an injured facial nerve evaluated in an obtunded or unconscious patient?

Facial nerve evaluation begins after stabilization of serious and life-threatening injuries. Facial nerve examination by gross facial function in the unconscious patient can be elicited as a grimace in response to painful stimuli. Patients with immediate onset of paralysis can be tested with the Hilger nerve stimulator, using NET (minimal nerve excitability testing) and MST (maximum stimulation test) between days 3 and 7 post injury. If no loss of stimulability occurs the patient is observed. If the nerve loses stimulability within 1 week of the injury, facial nerve exploration is considered. Electroneuronography (ENoG) uses bipolar stimulating and recording electrodes. Evoked compound muscle action potential (CAP) is measured and the diminution in amplitude is indicative of percentage of degenerated nerve fibers. If ENoG demonstrates more than 90% degeneration of the CAP at 6 days and more than 95% in 14 days, recovery is unlikely and surgical exploration or decompression of the facial nerve may be indicated. Traditional electromyography (EMG) performed by monopolar intramuscular recording electrodes shows voluntary activity (innervated muscle) and fibrillation potentials (denervated muscle). EMG is most useful 2 to 3 weeks after paralysis and offers little additional information in the acute setting for a decision to operate.

How well did you know this?
1
Not at all
2
3
4
5
Perfectly
15
Q

What are the surgical approaches to facial nerve decompression?

A

What are the surgical approaches to facial nerve decompression?

Facial nerve injuries involving the otic capsule with loss of hearing are explored by a translabyrinthine approach. For otic capsule sparing fractures and intact hearing two approaches are used. In patients with well-aerated mastoid air cells or with ossicular discontinuity, a transmastoid/supralabyrinthine approach is used. In patients with poorly aerated mastoid cells or when a severed facial nerve is encountered in the supralabyrinthine approach, a combined transmastoid/middle cranial fossa technique is used.

How well did you know this?
1
Not at all
2
3
4
5
Perfectly
16
Q

What causes CSF otorrhea and rhinorrhea and what are the dangers?

A

What causes CSF otorrhea and rhinorrhea and what are the dangers?

CSF leaks occur in 17% of temporal bone fractures and represent a serious risk of meningitis. Fractures in the floor of the middle cranial fossa drain into the middle ear (epitympanum and antrum) and mastoid air cells. CSF otorrhea results when the tympanic membrane is perforated and CSF rhinorrhea results when the tympanic membrane is intact and CSF exits through the eustachian tube into the nose. CSF fistulas of 7 days or less have a 5% to 10% incidence of meningitis, and those for more than 7 days have a 50% to 90% incidence of meningitis. Otic capsule fractures have a higher risk of delayed meningitis due to the inability of enchondral bone to remodel and heal.

17
Q

How is persistent CSF fistula treated?

A

How is persistent CSF fistula treated?

CSF fistulas generally close within 7 to 10 days with bed rest, head elevation, and avoiding activities that increase intracranial pressure. Antibiotics are not routinely prescribed in cases with CSF leakage, for fear of masking early infection and development of drug resistance. Patients should be questioned frequently about meningeal symptoms of headaches with nuchal rigidity and photophobia. A lumbar puncture should be performed if meningitis is suspected, before beginning antibiotic therapy. If spontaneous resolution does not occur, lumbar drainage is attempted for 72 hours and surgical exploration can be considered. Otic capsule disrupting fractures with profound sensorineural hearing loss are treated with mastoidectomy and middle ear obliteration. In this procedure, the middle ear contents are removed, temporalis fascia is used to cover the fracture line, the middle ear is obliterated with an abdominal fat graft, and the eustachian tube and EAC are closed. Otic capsule sparing fracture treatment depends on the location of the fracture and accessibility. Most are closed through a mastoidectomy and facial recess approach. Those associated with brain herniation or areas difficult to reach are treated by middle fossa craniotomy.

18
Q

What are the types of vertigo that occur following temporal bone trauma?

A

What are the types of vertigo that occur following temporal bone trauma?

There are five types of posttraumatic vertigo. The most common form of posttraumatic vertigo is concussive injury to the membranous labyrinth. These patients have a positional vertigo with a normal VNG, requiring only symptomatic treatment. Otic capsule disrupting temporal bone fractures produce a severe ablative vertigo with intensity that will decrease after 7 to 10 days and then decrease steadily over the following 1 to 2 months, leaving an unsteady feeling that lasts 3 to 6 months until compensation occurs. Intense nystagmus (third degree) is present initially, with the fast component beating away from the fracture site. This nystagmus progressively diminishes in intensity and then disappears over time. Posttraumatic benign positional vertigo is usually delayed on onset and is treated by the Epley maneuver. Posttraumatic vertigo and fluctuating SNHL may indicate a perilymphatic fistula which is initially treated with conservative measures and can require surgical closure. Last, posttraumatic endolymphatic hydrops may develop much later and presents as fluctuating hearing loss, tinnitus, and aural fullness with vertigo. Treatment is similar to that of Ménière’s disease.

19
Q

What kinds of hearing loss are seen with temporal bone trauma? How are they treated?

A

What kinds of hearing loss are seen with temporal bone trauma? How are they treated?

Conductive hearing loss (CHL) is the most common type of hearing loss associated with temporal bone trauma. It is usually temporary and caused by blood in the middle ear, edema or tympanic membrane perforation. It may be persistent if the injury results in failure of the perforation to heal or an ossicular discontinuity. The incus is most prone to fracture and joint separation due to its minimal stabilizing elements. The malleus and stapes are stabilized by multiple ligaments, tendons, and the tympanic membrane. Surgical exploration of the middle ear with CHL is usually done 3 to 6 months after injury as 75% of these patients return to normal. Those with persistent tympanic membrane perforation or ossicular discontinuity will require tympanoplasty and ossicular chain reconstruction. Sensorineural hearing loss (SNHL) is less common and results from an otic capsule disruption injury. It may also occur from a perilymphatic fistula, noise injury, concussion injury, or direct injury to the central auditory system. Longitudinal fractures commonly produce a CHL with high tone SNHL from inner ear concussion. Transverse fractures commonly produce a severe SNHL or mixed (SNHL and CHL) loss.

20
Q

Should a paralyzed facial nerve be explored after temporal bone fracture?

A

Should a paralyzed facial nerve be explored after temporal bone fracture? Controversy.

Recommendations for surgery are based on three poor prognostic factors for spontaneous improvement: (1) immediate onset of paralysis, (2) amount of worsening on ENoG testing, and (3) evidence of nerve transection or bony impingement by CT scan.

Pros: Patients with immediate onset of complete facial paralysis following temporal bone trauma have a relatively poor prognosis. This is often due to transection of the facial nerve and the time of injury. Extensive data from nonrandomized studies in the treatment of Bell’s palsy support the use of ENoG in the prognosis of an intact facial nerve that meets criteria for degeneration. Data on its use to guide treatment of traumatic facial paralysis are only emerging and confined to case series which suggest a favorable prognosis in patients with degeneration to less than 90% of normal within 6 days or less than 95% of normal within 14 days after injury (Figure 45-3).

Cons: Approximately 50% of patients with immediate-onset, complete paralysis recover normal or near-normal facial function. Surgical indications for posttraumatic intratemporal facial paralysis are poorly defined and randomized controlled studies of surgical versus nonsurgical treatments do not exist. Most recommendations for exploration of the facial nerve are based on personal opinion and data from case series to identify poor prognostic factors and the population most likely to benefit from surgery. The use of ENoG criteria for temporal bone trauma surgery is limited, as it has been more studied in Bell’s palsy. More than 90% of individuals without poor prognostic factors listed above are likely to recover near-normal facial function (House-Brackmann grade 1 or 2) (Table 45-1) with conservative treatment.

21
Q

Should patients with CSF leak due to temporal bone fracture receive antibiotics?

A

Should patients with CSF leak due to temporal bone fracture receive antibiotics? Controversy.

The incidence of meningitis in patients with CSF leaks ranges from 2% to 88%, with the most significant factor being the duration of leakage. The incidence of meningitis in temporal bone fractures without CSF fistula is low and antibiotic prophylaxis has no role in these cases. The use of antibiotic prophylaxis in temporal bone fractures with CSF leak is controversial because its use has not been shown to be beneficial in small studies, and appears only minimally significant in meta-analysis.