How is genetic variation ensured during meiosis?
What are the differences between male and female gametes?

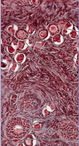
What is spermatogenesis and where/how does it occur?

What is the blood-testes barrier?
- Basal compartment = spermatogonia
- Adluminal compartment = spermatids

What are the two different types of spermatogonium?
D = dark (quiescent state if needed)
P = pale

What is a spermatogenic cycle and wave?
Cycle: time taken for spermatids at the same stage in the cycle to reappear within a given segment. approx 16 days
Wave: distance between groups of spermatids at the same level of maturation.
Allows male to always be fertile

What is spermiogenesis?

What is the structure of a sperm?
- Head: nucleus and acrosome layer for when touches ova
- Tail: motility. lots of mitochondria for ATP to provide energy for the flagella

What is sperm capacitation?

Where is the derivatives of semen?
- Fructose: to stop competition with lactobacilli for glucose
- Zinc: high conc means low motility

What is the process of oogenesis before birth?

After birth how does oogenesis continue in general?


Describe the three phases of a maturing oocyte.

- Antral: Fluid filled spaces between granulosa cells. Collective space called antrum, secondary follicle. Outer fibrous layer forms theca interna and externa.
- Preovulatory: LH surge so follicle completes meiosis I. One chosen to go to maturity - Graafian follicle. Will start meiosis II 3hrs before ovulation but stops in metaphase. Only completes meiosis II if fertilised, polar bodies discarded. No fertilisation the oocyte degrades after 24 hours

What other cells are released with the ova?

How does the process of actual ovulation occur?

Once the oocyte has left the ovary, what happens to the left over theca interna/externa cells?

How is the oocyte transported down the uterine tube?

What happens to the corpus luteum if fertilisation occurs?

What are the main differences between oogenesis and spermatogenesis?

What is the histological structure of an ovary?

Label the following histological images to explain what follicle is being shown in the ovary.


What does the corpus luteum look like histologically?

What week of embryological development do the germ cells arise?
3rd week