5 liver function and form Flashcards

(21 cards)

1
Q

what are the learning objectives of this lecture?

A

-understand the major functions of the liver
-understand hepatic blood flow through the liver
-differentiate between the hepatic lobule and hepatic acinus
-identify the parenchymal and non-parenchymal cells of the liver and understand their roles
-understand the function of bile as well as the mechanisms of bile synthesis and transport in the liver
-identify major types of transporter proteins in the liver, where they are located and what constituents they transport

How well did you know this?
1
Not at all
2
3
4
5
Perfectly
2
Q

what is the liver?

A

-the liver is an essential organ of the body that performs over 500 vital functions
-constitutes 3-5% of the body mass in mammals
-may contain 10-15% of blood volume (circulation in the live is unlike that seen in any other organ)
-4 lobes in humans: shape is consistent within species but # and shape can differ between species

How well did you know this?
1
Not at all
2
3
4
5
Perfectly
3
Q

what is the anatomy of the liver?

A

strategically located for maintaining metabolic homeostasis
-between portal venous drainage system from the GI tract and the systemic circulation

-1st organ to encounter ingested nutrients, vitamins, metals, drugs and environmental toxicants
-ALL major functions of the liver can be affected by exposure to toxicants

How well did you know this?
1
Not at all
2
3
4
5
Perfectly
4
Q

what are the basic liver functions?

A
How well did you know this?
1
Not at all
2
3
4
5
Perfectly
5
Q

what are some consequences of impaired liver function?

A
How well did you know this?
1
Not at all
2
3
4
5
Perfectly
6
Q

what is hepatic blood flow?

A

unlike that seen in any other organ->majority is venous blood
-75% of the blood is venous blood from the portal vein
-25% of the blood is arterial blood (from the heart)

terminal branches of the hepatic portal vein and hepatic artery empty together and mix as they enter sinusoids in the liver

How well did you know this?
1
Not at all
2
3
4
5
Perfectly
7
Q

what is the classic model of the liver lobule?

A

-structure: a hexagonal structure of hepatocytes surrounding a central vein
-definition: a classic, structurally visible unit of the liver, where it is bordered by connective tissue
-focus: defines the liver based on its physical organization and the flow of blood towards the central vein
-components: a portal triad (hepatic artery, portal vein, and bile duct) is located at each of the six corners

How well did you know this?
1
Not at all
2
3
4
5
Perfectly
8
Q

what is the liver acinus (functional model)?

A

-structure: a diamond-shaped unit of hepatocytes oriented between a central vein and a portal triad
-definition: a functional unit centered on the blood supply from the portal triad, emphasizing metabolic activity
-focus: highlights the physiological gradients of oxygen and nutrients, which are crucial for understanding liver function and disease
-zones: the acinus is roughly divided into zones that correspond to distance from the arterial blood supply (oxygenation)

How well did you know this?
1
Not at all
2
3
4
5
Perfectly
9
Q

what are the acinar zones of hepatocytes?

A

zone 1
-1st exposure to nutrient-rich and O2-rich incoming blood and amino acids
-lots of gluconeogenesis, protein synthesis, oxidation/reduction processes, urea cycle, lipid and cholesterol metabolism
-susceptible to direct effects of drugs/toxicants

zone 2=transition zone (mix of both types)

zone 3
-glycolysis, lipogenesis, biotransformation/detox processes
-susceptible to hypoxic injury and indirect effect of toxicants requiring biotransformation

How well did you know this?
1
Not at all
2
3
4
5
Perfectly
10
Q

what are sinusoids?

A

-small, irregular, vascular spaces/channels
-blood flows through the sinusoids and empties into the central vein of each lobule

How well did you know this?
1
Not at all
2
3
4
5
Perfectly
11
Q

how do sinusoids differ from capillaries?

A

-their lumen is wider and irregular. Their walls may be incomplete

they are lined by “holey” endothelial cells->allows unimpeded flow of sinusoidal blood into space of Disse
-will bathe hepatocytes in nutrient-rich blood
-microvilli of hepatocytes extend into this space, allowing proteins and other plasma components from the sinusoids to be absorbed by the hepatocytes

How well did you know this?
1
Not at all
2
3
4
5
Perfectly
12
Q

what is the graph of a hepatocyte?

A
How well did you know this?
1
Not at all
2
3
4
5
Perfectly
13
Q

what is the graph of the main type of liver cell?

A

hepatocytes

How well did you know this?
1
Not at all
2
3
4
5
Perfectly
14
Q

what is hepatocyte structure?

A

membrane faces of the hepatocyte:
-sinusoidal (=basal)
-canalicular (=apical)

how does this differ from the structure of an epithelial cell?

How well did you know this?
1
Not at all
2
3
4
5
Perfectly
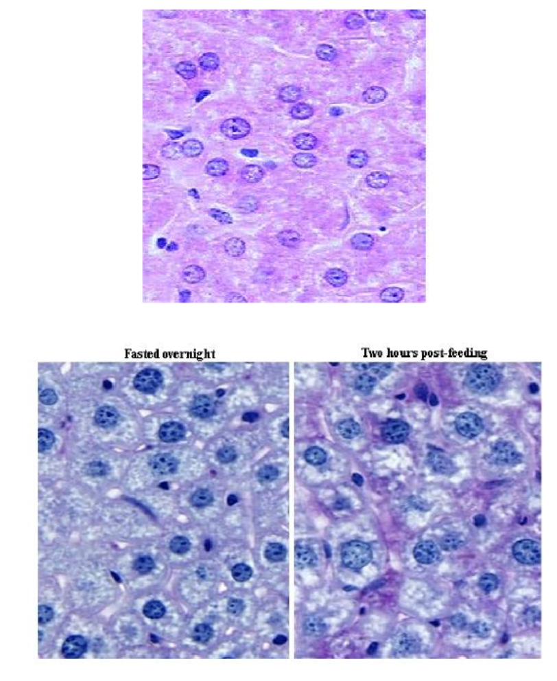
15
Q

what is hepatocyte function?

A

-extremely active in synthesis of protein and lipids for export-> lots of both rough and smooth ER, many stacks of Golgi membranes
-also synthesizes and secrete very low-density lipoproteins (VLDL)

high quantities of glycogen (polymer and storage form of glucose)
-can observe differences in fed and fast-state livers

How well did you know this?
1
Not at all
2
3
4
5
Perfectly
16
Q

what are the non-parenchymal cells in the liver?

A

-kupffer cells
-stellate cells (Ito cells)

bile?

17
Q

what are kupffer cells?

A

-active phagocytes=macrophages of the liver (80% of all fixed macrophages in body)
-the main cellular system for removal of particulate materials and microbes from the circulation
-functions: (1) ingest and degrade particulate matter (ex;microbes), (2) are sources of cytokines, (3) act as antigen presenting cells

18
Q

what are stellate cells (Ito cells)?

A

-major storage sites for vitamin A
-important role in liver response to injury
-usually inactive but when liver is damaged by xenobiotics or infection, activated cells secrete collagens, glycoproteins and proteoglycans
-chronic injury= fibrotic tissue and decrease in liver function

19
Q

what is bile? and what are the two major functions?

A

a complex fluid containing water, electrolytes and a large amount of organic molecules
-bile acids, glutathione, phospholipids, cholesterol, bilirubin, proteins, metals, ions and toxicants/xenobiotics

2 major functions of bile:
-bile contains bile acids, which are critical for digestion and absorption of fats and fat-soluble vitamins in the small intestine
-many waste products (including bilirubin) and toxicants are eliminated from the body by secretion into bile and elimination in feces

20
Q

what are bile acids?

A

bile contains bile acids
-derivatives of cholesterol synthesized in the hepatocyte
-critical for digestion and absorption of fats and fat-soluble vitamins in the small intestine

-hepatic synthesis of bile acids accounts for the majority of cholesterol breakdown in the body

21
Q

what are hepatic transporter proteins?

A

found on both hepatocytes and cholangiocytes
1. basolateral influx (uptake) transporters are responsible for the hepatic uptake of xenobiotics and conjugated bile acids from the liver sinusoids
-located on the sinusoidal membrane=extract solutes from blood
-solute carrier (SLC) superfamily carry out this function
2. transporters located on the apical membrane are responsible for the efflux of both drug metabolites and bile constituents, such as bile salts, into the bile canaliculus
-ATP-binding cassette B1 protein (ABCB1), also know as multidrug resistance type 1 protein (MDR1), and P-glycoprotein (P-gp)
3. efflux elimination of drug metabolites into the sinusoidal for urinary excretion via the kidneys