5. Lucent Lesions Flashcards

(61 cards)

1
Q

Useful mnemonic fo lucent bone lesions

A

FOG MACHINES
Fibrous Dysplasia
Osteoblastoma
Giant Cell Tumor

Metastasis, MYeloma
Aneurysmal bone cyst
Chondroblastoma
Hyperparathyroidism
Infection (Osteomyelitis)
Non-ossifying fibroma (NOF)
Enchondorma
Simple (uncameral) Bone cyst

Seriously in the real world bone lesions only come in 3 flavors;

  1. Bad (cancer or infection.
  2. Obviously benign
  3. Ehh hard to tell
How well did you know this?
1
Not at all
2
3
4
5
Perfectly
2
Q

For multiple choice, when you encounter a lucent bone lesion you can expect one of two questions

A

(1) what is it ? or (2) what is it associated with ?

A useful mental exercise when eliminating muhiple choice distractors is to ask yourself “why is it NOT this?”

How well did you know this?
1
Not at all
2
3
4
5
Perfectly
3
Q

Best method to figure out lucent lesions:

A
  1. Age = growth plates open? kid; no degen? - young adult; degen? - older than 40
  2. Location - Metaphysis, Epiphysis, Diaphysis?
  3. Classic locations and looks
How well did you know this?
1
Not at all
2
3
4
5
Perfectly
4
Q

Age - Key FactsAn

A

< 30 = EG, ABC, NOF, Chondroblastoma, SBC

Any age = Infection

> 40 = Mets and Myeloma (unless its neuroblastoma)

How well did you know this?
1
Not at all
2
3
4
5
Perfectly
5
Q

Location - Key facts:

EPIPHYSIS

A

Four horseman of the EPIPHYSIS!

AIG “the evil” Company = AIGC

Aneurysmal Bone cyst (ABC) - ABC is usually metaphyseal, but after the growth plate closes, it can extend into the epiphysis
Infection (osteomyelitis)
Giant cell tumor (GCT)
Chondroblastoma

How well did you know this?
1
Not at all
2
3
4
5
Perfectly
6
Q

Benign epiphyseal = Four horseman of the Epyphisis (AIGC)

vs

Malignant Epiphyseal

A

Benign epiphyseal = Four horseman of the Epyphisis (AIGC)
ABC, Infection,
vs

Malignant Epiphyseal = Clear Cell Chondrosarcoma

How well did you know this?
1
Not at all
2
3
4
5
Perfectly
7
Q

Location - Key facts:

METAPHYSIS

A

The metaphysis is the fastest growing area of a bone, with the best blood supply.

Increased predilection for Mets and Infection

How well did you know this?
1
Not at all
2
3
4
5
Perfectly
8
Q

Fibrous Dysplasia

A

skeletal developmental anomaly of osteoblasts

failure of normal maturation and differentiation which results in replacement of the normal medullary space.

“no periosteal reaction or pain,”

How well did you know this?
1
Not at all
2
3
4
5
Perfectly
9
Q
A

Fibrous dysplaisa

Sheperd Crook

-Coxa VarusAngulation -Classicfor FD (but can be seen in Paget and Ol)

How well did you know this?
1
Not at all
2
3
4
5
Perfectly
10
Q

Adamantinoma:

A

A total zebra {probably a unicorn). A tibial lesion that resembles fibrous dysplasia (mixed lytic and sclerotic). It is potentially malignant.

How well did you know this?
1
Not at all
2
3
4
5
Perfectly
11
Q

Nonossifying Fibroma (NOF) I Fibrous Cortical Defect (FCD)

A

Very common - Childre - will regress

Location: Metaphysis near the physis

TESTABLE association: NF1

How well did you know this?
1
Not at all
2
3
4
5
Perfectly
12
Q

“fibroxanthoma”

A
How well did you know this?
1
Not at all
2
3
4
5
Perfectly
13
Q
A

Nonossifying Fibroma (NOF)’

eccentric with a thin sclerotic border (remember GCTs don’t have a sclerotic border).

How well did you know this?
1
Not at all
2
3
4
5
Perfectly
14
Q

Jaffe-Campanacci Syndrome

A

Syndrome o f multiple NOFs, cafe-au-lait spots, mental retardation, hypogonadism, and cardiac malformations. They’re at high risk for pathological fractures.

How well did you know this?
1
Not at all
2
3
4
5
Perfectly
15
Q

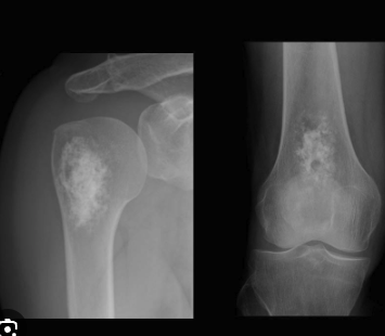
Enchondroma

A

This guy is a tumor of the medullary cavity composed of hyaline cartilage

Age: 10-30

The sneaky thing about this lesion is that it looks different depending on the body part it is in.

  • Humerus or Femur = Arcs and Rings
  • Fingers or Toes = Lytic
How well did you know this?
1
Not at all
2
3
4
5
Perfectly
16
Q
A

Enchondroma

The ARCS AND RINGS is the more classic textbook look with the irregularly speckled calcification of chondroid matrix

Just like fibrous dysplasia, classic matrix is not found in the fingers or toes

How well did you know this?
1
Not at all
2
3
4
5
Perfectly
17
Q

the most common cystic lesion in the hands and feet

A

Enchondroma

How well did you know this?
1
Not at all
2
3
4
5
Perfectly
18
Q

Differentiating Enchondroma vs Low Grade Chondrosarcoma

A
How well did you know this?
1
Not at all
2
3
4
5
Perfectly
19
Q

Enchondroma

When multiple — especially when in the hands you should think syndromes

A
How well did you know this?
1
Not at all
2
3
4
5
Perfectly
20
Q

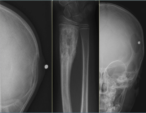
Eosinophilic Granuloma (EG)

A

This is typically included in every differential for people less than 30 (peak age is 5-10). It can be solitary (usually) or multiple.

How well did you know this?
1
Not at all
2
3
4
5
Perfectly
21
Q

Eosinophilic Granuloma

There are 3 classic appearances - for the purpose of multiple choice:

A

(1) Vertebra plana in a kid
(2) Skull with lucent “beveled edge” lesions (also in a kid).
(3) “Floating Tooth” with lytic lesion in alveolar ridge — this would be a differential case

How well did you know this?
1
Not at all
2
3
4
5
Perfectly
22
Q
A

The appearance is highly variable and can be lytic or blastic, with or without a sclerotic border, and with or without a periosteal response. Can even have an osseous sequestrum.

As such, EG can be very similar in appearance to a Brodie abscess / subacute osteomyelitis (similar imaging, similar ages - peds).

How well did you know this?
1
Not at all
2
3
4
5
Perfectly
23
Q

Classic DDx for Vertebra Plana (MELT)

A
  • Mets / Myeloma
  • EG
  • Lymphoma
  • Trauma / TB
How well did you know this?
1
Not at all
2
3
4
5
Perfectly
24
Q

Classic DDx for Osseous Sequestrum

A

Osteomyelitis
Lymphoma
Fibrosarcoma
EG

How well did you know this?
1
Not at all
2
3
4
5
Perfectly
25
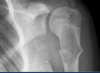
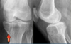
Giant Cell Tumor (GCT) Key Criteria - Physis MUST be closed - Non Sclerotic Border - Abuts the articular surface
26
Giant Cell Tumor (GCT)
20-30 = physis closed (MUST) Location: Knee - Most common Association: ABC (can turn into them) Quasi malignant (5% - lung mets) Fluid levels on MRI
27
“Pain at night, relieved by aspirin. ”
Osteoid Osteoma
28
Osteoid Osteoma
Age: Adolescent 10-25 Oval lytic lesion (“lucent nidus”) surrounded by dense sclerotic cortical bone (“periosteal reaction”). Most Classic Locations: FEMORAL NECK 1. Meta/diaphysis of long bones (femoral neck = Most common) 2. Posterior elements of the spine Tx: percutaneou RF ablation
29
Osteoid osteoma MRI
“large amount of edema for the size of the lesion.”
30
painful scoliosis with the convexity pointed away from the lesion.
Osteoid osteoma
31
osteoid osteoma that is larger than 2 cm
Osteoblasoma
32
< 30 years They are most likely to show this in the posterior elements. It also occurs in the long bones (35%) and when it does it is usually diaphyseal (75%). Mention when ABC is mentioned.
33
Aneurysmal Bone Cyst (ABC)
Aneurysmal bone cysts are aneurysmal lesions of bone with thin- walled, blood-filled spaces (fluid-fluid level on MRI). Age: < 30 Location: Tibia > Vert > Femur > Humerus Assoc: Up to 40% of secondary ABC's are associated with giant cell tumor of bone. DDx for fluid-fluid level on MRI
34
Classic DDx for Lucent Lesion in Posterior Elements:
Osteoblastoma ABC Met
35
Solitary (Unicameral) Bone Cyst
< 30 TUbular bones: Humerus, femur “Always located centrally.” It’s going to be shown one of two ways: (1) With a fracture through it in the humerus (probably with a fallen fragment sign) or (2) As a lucent lesion in the calcaneus (probably with a fallen fragment sign).
36
Solitary (Unicameral) bone Cyst The "fallen fragment sign" (bone fragment in the dependent portion of a lucent bone lesion) is pathognomonic of solitary bone cyst.
37
Brown Tumor (Hyperparathyroidism)
localized accumulations of giant cells and fibrous tissue (in case someone asks)
38
Hyperparathyroidism They appear as lytic or sclerotic lesions with other findings of hyperparathyroidism (subperiosteal bone resorption). In other words, they need to tell you he/ she has hyperparathyroidism first.
39
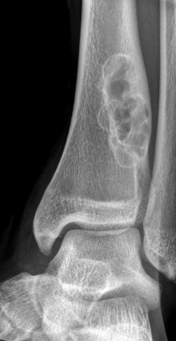
Chondroblastoma
Age: Kids (5-25) They classically show it in two ways (1) in the epiphysis of the tibia on a 15 year old, or (2) in an epiphyseal equivalent: Patella, calcaneous, carpal bones, all the apophyses
40
Chondroblastoma A thin sclerotic rim, extension across the physeal plate (25-50%), periostitis (30%). Actual location: femur > humerus > tibia NOT T2 bright. When you have a chondroblastoma in the hip, it tends to favor the GREATER TROCHANTER (more than thefemoral epiphysis).
41
Chondromyxoid Fibroma
This is the least common benign lesion of cartilage < 30 METAPHYSIS: osteolytic, elongated in shape, eccentrically located,
42
The HIP Greater Trochanter
Remember this is an epiphyseal equivalent and the chrondroblastomas prefer it to the femoral epiphysis. Plus, you can have avulsions of the gluteus medius and minimus.
43
The HIP Lesser Trochanter
An avulsion here without significant clinical history should make you think pathologic fracture.
44
The HIP The Intertrochanteric Region
Classic DDx here: Lipoma, Solitary Bone Cyst, Monostotic Fibrous Dysplasia, Liposclerosing Myxofibroma.
45
Classic (& sneaky non-classic) Lesions that can be shown in the calcaneus.
First: use location within the bone Second: use characteristic appearance as a secondary discriminator.
46
Chondroblastoma in the Calcaneous
Most classic epiphysis lesion with a preference for the superior epiphysis near the talocalcaneal articulation (although they can be at any of the 3 epiphysis).
47
GCT in the calcaneous
Can also involve the epiphysis (although it typically starts out metaphyseal and grows into the epiphysis). Remember these things required a closed physis. The Posterior Metaphysis / Epiphysis is favored.
48
Osteid osteoma in the calcaneous
Talus > Calcaneus Similar to Chondroblastoma in favoring the superior epiphysis Distinction is the sclerotic thickening of the adjacent bone and the radiolucent nidus.
49
Older Patient + Subtalar degenerative change / Obvious Arthritis
Geode
50
Osteomyelitis & Mets in the calcaneous
In both cases the involvement favors the posterior meta-epiphvseal region (which has the richest blood supply), with lesions potentially growing large enough to involve the entire calcaneus.
51
Solitary Bone Cyst in the calcaneous
The “fallen fragment” will be more in the bottom if shown
52
intraosseous in the calcaneous
53
Pseudo-cyst in the calcaneus
his area is sometimes called the “pseudo-cyst triangle” and is obnoxiously located in the same anterior 1/3 as the SBC and Lipoma.
54
Metastatic Disease
Should be on the differential for any patient over 40 with a lytic lesion. RENAL CA is ALWAYS Lytic
55
Classic Blastic Lesions
Prostate, Carcinoid, Medulloblastoma
56
Classic Lytic LesionL:
Renal and Thyroid
57
Prostate Met vs Bone Island??? =
Bone scan Bone island = mild Prostate MEt = Hot
58
Multiple Myeloma (MM)
Plasma cell proliferation increases surrounding osteolytic activity (in case someone asks you the mechanism). 40s-90s
59
Multiple Myeloma They usually have discrete margins, and can be solitary or multiple. Additional classic (testable) scenario: MM manifesting as Diffuse Osteopenia
60
Myeloma Related Condition
Plasmacytoma (usually under 40): “Mini Brain Appearance ”- Plasmacytoma in vertebral body
61
POEMS syndrome:
""Myeloma with Sclerotic Mets.'’ Polyneuropathy, Organomegaly, Endocrinopathy, Monoclonal plasma cell disorder, Skin changes