6 - Lung Flashcards

(55 cards)

1
Q

What are the 3 most common cancers (most to least)?

A
  • Breast
  • Lung (most common cancer death)
  • Prostate
  • Bowel
How well did you know this?
1
Not at all
2
3
4
5
Perfectly
2
Q

How common is lung cancer and what are the different types?

A

-Small-cell lung cancer (SCLC) (20%)

-Non-small cell lung cancer (NSCLC) (80%)

  • Adenocarcinoma (most common)
  • Squamous cell carcinoma (second most common)
  • Large cell

-Mesothelioma

How well did you know this?
1
Not at all
2
3
4
5
Perfectly
3
Q

What cells do each of the subtypes of lung cancer originate from and what is the general prognosis?

A
  • SCLC: endocrine APUD cells (Kulchitsky). Poorest prognosis
  • Adenocarcinoma: mucus secreting cells
  • Squamous cell: squamous cells
  • Mesothelioma: pleural cells. Poor prognosis

Adenocarcinoma is ‘non smokers’ cancer and SCLC is almost exclusively in smokers

How well did you know this?
1
Not at all
2
3
4
5
Perfectly
4
Q

What are the risk factors for lung cancer?

A
  • Smoking (tobacco and cannabis)
  • Occupation exposure (asbestos, silica, welding fumes, coal)
  • Male
  • Lung disease e.g COPD, ILF
  • Radon gas
  • Passive smoking
  • HIV
  • Organ transplantation
  • Radiation exposure (X-ray, gamma rays).
  • Beta-carotene supplements in smokers
How well did you know this?
1
Not at all
2
3
4
5
Perfectly
5
Q

Where do non-small cell lung carcinomas tend to occur?

A

Adenocarcinoma (40%): lung peripheries

Squamous cell (20%): centrally and present with pneumonia due to bronchus obstruction

Large: metastasise early

How well did you know this?
1
Not at all
2
3
4
5
Perfectly
6
Q

What is the course of small cell lung carcinoma?

A

Poor prognosis

  • Early metastases and aggressive
  • Paraneoplastic syndrome
  • Tends to occur exclusively in smokers
How well did you know this?
1
Not at all
2
3
4
5
Perfectly
7
Q

What is the course of mesothelioma?

A
  • Strongly linked to asbestos inhalation
  • Latent period of up to 45 years
  • Poor prognosis
  • Palliative chemotherapy
How well did you know this?
1
Not at all
2
3
4
5
Perfectly
8
Q

How may a patient present with lung cancer that has not metastasised? (history)

A

Most common

  • Asymptomatic
  • Cough
  • Malaise
  • Weight loss

Others

  • Haemoptysis
  • Chest pain
  • SOB
  • Paraneoplastic syndrome
  • Fever
  • Hoarseness (due to involvement of the recurrent laryngeal nerve)
  • SVCO obstruction
How well did you know this?
1
Not at all
2
3
4
5
Perfectly
9
Q

What signs might you see on examination when a patient has lung cancer?

A
  • Clubbing
  • Hypertrophic pulmonary osteoarthropathy (HPOA)
  • Lymphadenopathy (supraclavicular)
  • Stridor
  • Wheeze
  • Reduced chest expansion
  • Dull percussion over mass
  • Signs of pleural effusion (exudative): stony dull percussion, reduced breath sounds, reduced vocal fremitus
How well did you know this?
1
Not at all
2
3
4
5
Perfectly
10
Q

SVCO may be the first presentation of lung cancer, what are the symptoms of this?

A
  • Engorgement of vessels in the neck and face
  • Shortness of breath
  • ‘Fullness’ of the head
How well did you know this?
1
Not at all
2
3
4
5
Perfectly
11
Q

How may a Pancoast tumour present?

A

Tumour of pulmonary apex

  • Horner’s syndrome
  • Pain in the shoulder that radiates into the arm and hand
  • Atrophy of muscles of the upper limb
  • Oedema of the upper limb
How well did you know this?
1
Not at all
2
3
4
5
Perfectly
12
Q

How may lung cancer present if it has metastasised?

A
  • Bone: bone pain, raised ALP
  • Brain: focal and non-focal neurology
  • Liver: abnormal LFTs
  • Adrenal glands: common site of metastasis but asymptomatic
How well did you know this?
1
Not at all
2
3
4
5
Perfectly
13
Q

What are 5 paraneoplastic syndromes associated with lung cancer, which type of lung cancer and why do they occur?

(Paraneoplastic sindrome usually small cell lung cancer)

A
  1. Hypercalcaemia
  • Stones, bones, groans
  • Usually squamous cell carcinoma
  • Due to bony metastases and secretion of PTHrP and calcitriol

2. SIADH

  • Usually small cell
  • Ectopic ADH secretion so hyponatraemia

3. Cushing’s Syndrome

  • Usually small cell
  • Ectopic ACTH secretion so more glucocorticoids made

4. Lambert Eaton Syndrome

  • Usually small cell
  • Antibodies to voltage gated calcium channels
  • Similar to myasthenia gravis

5. Hypertrophic osteoarthropathy

  • Clubbing and periostitis
  • Symmetrical, painful arthropathy affecting the distal joints
How well did you know this?
1
Not at all
2
3
4
5
Perfectly
14
Q

How may Lambert Eaton syndrome present?

A
  • Proximal muscle weakness
  • Diplopia
  • Ptosis
  • Slurred speech
  • Dysphagia
  • Autonomic dysfunction e.g dry mouth, blurred vision, dizzy

Due to immune system making antibodies against SCLC that also attack VGCC on presynaptic motor neurones

How well did you know this?
1
Not at all
2
3
4
5
Perfectly
15
Q

Why may someone with lung cancer have a hoarse voice and SOB?

A
  • Hoarse voice: recurrent laryngeal nerve palsy
  • SOB: phrenic nerve palsy
How well did you know this?
1
Not at all
2
3
4
5
Perfectly
16
Q

What is the two week wait referral criteria for suspected lung cancer?

A

Send straight to MDT with no CXR if

  • Suggestive CXR findings
  • Unexplained haemoptysis and aged over 40

OR

Send for CXR if

Over 40 with (see image!!!)

How well did you know this?
1
Not at all
2
3
4
5
Perfectly
17
Q

When should you refer someone immediately to hospital with suspected lung cancer?

A
  • SVCO
  • Stridor
How well did you know this?
1
Not at all
2
3
4
5
Perfectly
18
Q

What investigations are done in a 2 week wait referral for suspected lung cancer and what will they show if it is lung cancer?

A

Bloods

  • FBC: may be anaemia
  • U+Es: may be hyponatraemia
  • LFTs: raised if metastasis
  • Bone profile (inc calcium): Raised ALP if metastases, raised calcium if SCC)

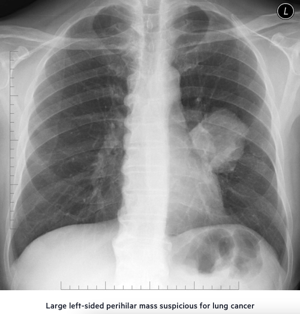
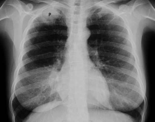
Chest X-Ray!!!!

  • Focal lesion
  • Pleural effusion
  • Widened mediastinum due to enlarged hilar lymph nodes
  • Diaphragm collapse
How well did you know this?
1
Not at all
2
3
4
5
Perfectly
19
Q

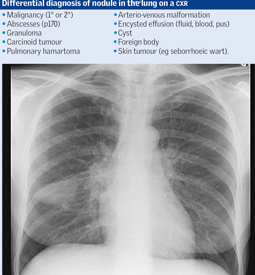
What are some differentials for a pulmonary nodule on CXR other than lung cancer?

A
How well did you know this?
1
Not at all
2
3
4
5
Perfectly
20
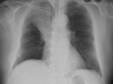
Q

How does lobar collapse present on CXR?

A
  • Tracheal deviation towards side of collapse
  • Mediastinal shift towards side of collapse
  • Elevation of the hemidiaphragm
How well did you know this?
1
Not at all
2
3
4
5
Perfectly
21
Q

What further investigations are done if CXR shows a suspicious finding for lung cancer?

A

Need to stage and find out the histology for the management

Imaging

  • Staging CT chest (+ neck and upper abdomen) with contrast: solitary irregular pulmonary nodule. May show lymph node involvement. Neck and the upper abdomen to look for liver or adrenal metastasis
  • PET-CT: injection of FGD-18 (radiolabelled glucose) as radioactive tracer
  • CT/MRI brain: ordered to exclude cerebral metastasis

Histology and Special

  • Bronchoscopy with endobronchial ultrasound-guided transbronchial needle aspiration or ‘EBUS-TBNA’: can take washings/brushings for cytological analysis or ultrasound-guided biopsy of paratracheal and peri-bronchial intra-parenchymal lung lesions
  • Percutaneous tissue biopsy from lymph node or metastasis
  • Cytology of pleural aspirate
How well did you know this?
1
Not at all
2
3
4
5
Perfectly
22
Q

What is the first investigation to do after a suspicious CXR?

A

CT chest, neck and upper abdomen before any bronchoscopy or biopsy

How well did you know this?
1
Not at all
2
3
4
5
Perfectly
23
Q

What other investigation is needed if there is a suspected lung cancer and the possibility of surgical resection?

A

Lung Function Tests and CVS review

Allows clinicians to estimate if the patient will have sufficient residual lung capacity following a wedge resection, a lobectomy or pneumonectomy

More important for those with pre-existing lung disease e.g emphysema

24
Q

How is NSCLC staged?

25
How is SCLC staged?
**VALSG staging** **Limited disease**: tumour not spread beyond hemithorax, regional nodes that may be treated with single radiotherapy field **Extensive disease**: tumour spread beyond hemithorax or extensively through the hemithorax, distant metastasis, malignant effusions or contralateral hilar/supraclavicular involvement
26
What factors does the management of lung cancer depend on?
* Cancer cell type * Staging * Performance status of patient * Patient's wishes
27
What are APUD cells that SCLC arises from?
28
What is the first step in management of any confirmed lung cancer?
**Stop smoking interventions** * Inform people that smoking increases the risk of pulmonary complications after lung cancer surgery * Offer nicotine replacement therapy * Do not postpone surgery for lung cancer to allow people to stop smoking
29
What are the surgical resection options for lung cancer?
* **Wedge resection** involves taking a segment or wedge of lung (a portion of one lobe) * **Lobectomy:** removing the entire lung lobe containing the tumour (most common) * **Pneumonectomy:** removing an entire lung The types of surgery that can be used are: * **Thoracotomy** – open surgery with an incision * **Video-assisted thoracoscopic surgery** (**VATS**) –“keyhole” surgery * **Robotic surgery**
30
What are the three common thoracotomy incisions?
* ***Anterolateral*** incision around front and side * ***Axillary*** incision in axilla * ***Posterolateral*** incision around back and side (most common)
31
How is thoracoscopic surgery different to laparoscopic?
Thorascopic done by deflating lung, laparoscopic done by inflating abdomen
32
What are some contraindications to lung cancer surgery?
33
What is the management for NSCLC?
* **Lobectomy with curative intent** is first line. Can be open or thoracoscopic. Do hilar and mediastinal lymph node sampling * **Curative radical stereotactic radiotherapy** if decline above * **Chemotherapy** adjunct to surgery or radiotherapy * **Systemic anti-cancer therapy (SACT)** with stage III and IV non-squamous NSCLC to control disease and improve quality of life
34
What is **Systemic anti-cancer therapy (SACT)** used in non-squamous NSCLC?
Specific therapies (checkpoint inhibitors) used in non-squamous NSCLC for patients with specific identifiable mutations that demonstrate a predisposition to a certain treatment * **Epidermal growth factor receptor tyrosine kinase (EGFR-TK) mutation:** Afatinib, erlotinib and gefitinib. These are all EGFR-TK inhibitors * **Anaplastic lymphoma kinase-positive (ALK) gene rearrangement:** Crizotinib, ceritinib and alectinib. These are all ALK inhibitors
35
What gene mutations present in lung cancer are favourable for treatment? (can be used for targeted therapies)
**_On cancer_** * EGFR-TK * ALK * ROS-1 **_On T-Cells_** * PD-L1 at 50% or above if no above mutations
36
Give some examples of monoclonal antibodies that act in lung cancer if target therapy cannot be used as there are no gene mutations? (NSCLC)
**Checkpoint inhibitors** * Nivolumab (Opdivo) and pembrolizumab (Keytruda) blocks PD-1 * Atezolizumab, Avelumab and Durvalumab block PD-L1
37
If NSCLC has no gene mutations so cannot have systemic anti cancer therapy, what chemotherapy are they offered instead?
Usually platinum based
38
How is SCLC managed?
* Usually metastatic disease by time of diagnosis so **palliative chemoradiotherapy that is platinum based** * Some scope for monoclonal antibodies * Patients with very early stage disease (T1-2a, N0, M0) are now considered for surgery
39
What are some palliative interventions for all lung cancers?
* **Palliative radiotherapy:** for endobronchial obstruction or bone metastases * **Pleural aspiration of effusion or pleurodesis** to relieve symptoms * **Psychosocial and physio support for breathing contro**l and dealing with breathlessness * **Opioids,** such as codeine or morphine, to reduce cough * **Stent insertion** if SVCO * **Dexamethasone** if brain metastases
40
What is the prognosis with lung cancer?
* **One-year survival**: 40.6% * **Five-year survival**: 16.2%
41
Why is a chest drain left in after a thoracotomy?
* Allows air and fluid to exit the thoracic cavity and the lungs to expand * External end of the drain is placed underwater, creating a seal to prevent air from flowing back through the drain, into the chest * Should be swinging with normal respiration
42
What are the common causes of pneumonitis in lung cancer treatment?
* **Radiation therapy** * Immunotherapy * Lung cancer itself * Breathing in toxin/allergen
43
What are the symptoms of pneumonitis?
* Shortness of breath. * Low sats * Fever * Cough * Chest pain with breathing Do CXR, Chest CT, Lung function tests and bloods/sputum to rule out infection
44
How is radiation pneumonitis treated?
* Long course prednisone * Oxygen therapy * Decongestants * Cough suppressants * Bronchodilators * NSAIDs Need to treat as can lead to pulmonary fibrosis
45
What are some side effects of surgical resection for lung cancer?
* **Excess bleeding** * **VTE**: PE or DVT * **Wound infections** * **Pneumonia** * **Pain** * **Limited mobility** for few months * **Breathless** * **Limited exercise capacity** * **Potential need for oxygen therapy**
46
Why is there no lung cancer screening in the UK?
* It isn't clear that screening everyone saves lives from lung cancer * The tests have risks that could cause more lung damage * They can be expensive * Overdiagnosis of non-life threatening lung cancer
47
Where does lung cancer tend to metastasise to first?
* Supraclavicular lymph nodes * Adrenal glands
48
What is the general consensus for lung cancer treatment?
* **Stage ½:** Surgery * **Stage ¾:** Chemotherapy
49
What is the prognosis with SCLC?
4-12 weeks if left untreated 15 months survival with chemotherapy
50
What is the most common presentation of lung cancer that leads to a diagnosis?
Emergency like SVCO
51
What supportive care is done for lung cancer?
52
What is prophylactically done in SCLC?
Prophylactic cranial radiotherapy as 50% develop brain mets
53
What are the different ways of getting tissue samples for diagnosing lung cancer?
* **Sputum cytology** * **EBUS** (only biopsies central lymph node) * **Bronchoscopy** (biopsy of central primary tumour) * **CT guided biopsy** (biopsy of primary peripheral tumours)
54
How do lung cancers appear histologically?
55
What do we need to check all NSCC for?
PDL1 (immunohistology) Pembrialuzimab