6.1 - Pénfigo Flashcards

(15 cards)

1
Q

Definición

A

Enfermedad autoinmunitaria de causa desconocida, caracterizada por ampollas intraepidérmicas en piel y mucosas,

Sin tx 100% muerte por sepsis -> Aureus

How well did you know this?
1
Not at all
2
3
4
5
Perfectly
2
Q

Lesión elemental

A

* Ampollas -> fácidas
* Eritema
* Costras mielecéricas

How well did you know this?
1
Not at all
2
3
4
5
Perfectly
3
Q

Epidemio

A
  • Poco más en mujeres
  • 40 - 60 años
How well did you know this?
1
Not at all
2
3
4
5
Perfectly
4
Q

Causas Med

A
  • Fenilbutazona -> AINE
  • Piroxicam
  • Rifampicina y captopril

Quemaduras y radioterapia

How well did you know this?
1
Not at all
2
3
4
5
Perfectly
5
Q

Clx

A
  • Mucho dolor
  • Dónde: Piel cabellida, pliegues inguinales, axulas, obligo y región submamaria
  • Mucosa más afectada: Oral
  • Anorexia
  • Fiebre
  • Vómito y diarrea
  • Problemas pulmonares y renales

signo de Nikolsky

How well did you know this?
1
Not at all
2
3
4
5
Perfectly
6
Q

Lab

A
  • Anemia
  • Sedimentación eritrocitaria
  • Leucocitosis
  • Eosinofilia
    * Examen de Tzank
How well did you know this?
1
Not at all
2
3
4
5
Perfectly
7
Q

Enf relacionada

A

Miasteia gravis

How well did you know this?
1
Not at all
2
3
4
5
Perfectly
8
Q

Examen de inmunohistoquímica

A
  • Pénfigo vulgar -> IgG
How well did you know this?
1
Not at all
2
3
4
5
Perfectly
9
Q

Tx

A
  • Prednisona inicial de 1 mg/kg/día -> 100mg/día sosten
  • Azatioprina azatioprina 2 mg/kg/día -> 100 mg/día sosten
  • Micofenolato de mofetilo (2 g/día)
How well did you know this?
1
Not at all
2
3
4
5
Perfectly
10
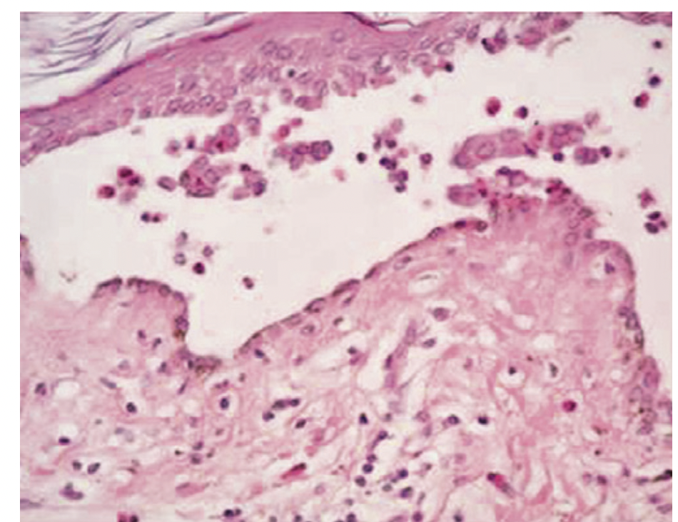
Q
A

Ampolla acantolítica epidérmica suprabasal

La biopsia se toma de una lesión reciente

How well did you know this?
1
Not at all
2
3
4
5
Perfectly
11
Q
A

Anticuerpos contra sustancia intercelular

presentan una configuración en panal de abeja

Se toma la biopsia en piel sana

How well did you know this?
1
Not at all
2
3
4
5
Perfectly
12
Q

Dx diferenical

A
  • Dermatitis Herpetiforme
  • Penfigoide
How well did you know this?
1
Not at all
2
3
4
5
Perfectly
13
Q
A

Pénfigo vulgar, piel cabelluda.

How well did you know this?
1
Not at all
2
3
4
5
Perfectly
14
Q
A

Pénfigo vulgar

How well did you know this?
1
Not at all
2
3
4
5
Perfectly
15
Q
A

Pénfigo foliáceo.

How well did you know this?
1
Not at all
2
3
4
5
Perfectly