what is this condition

RAMSAY-HUNT SYNDROME: facial n palsy due to shingles by varicella zoster - can cause appearance of vesicles around auricle
what is this condition and explain why it has occured. how should it be treated

PINNA HAEMATOMA with CAULIFLOWER DEFORMITY
Blunt injury to pinna… accumulation of blood between cartilage and perichondrium… cartilage deprived of blood supply… avascular and pressure necrosis of tissue… fibrosis and new asymmetrical cartilage dev.
Requires prompt drainage, measures to prevent re-accumulation and re-apposition of 2 tissue layers.
what is this condition and what are the main symptoms

OTITIS EXTERNA - inflammation of EAM (can be acute, recurrent or chronic) caused by infection or eczema
Symptoms:
1- pain
2- pruritis
3- discharge
4- temporary dulled hearing
what is otosclerosis
fusion of ossicles at articulations… sound vibrations cannot be transmitted… progressive hearing loss (conductive)
what is this condition, which signs suggest this and explain how this occurs

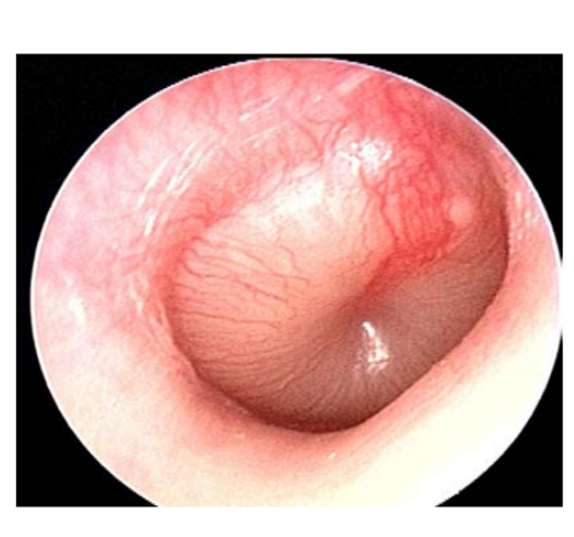
OTITIS MEDIA WITH EFFUSION (glue ear): build-up of fluid and negative pressure in middle ear due to Eustachian tube dysfunction (eg enlarged pharyngeal tonsils or adenoids). Causes decreased mobility of TM (retracted inwards) and ossicles, affecting hearing.
Signs: retracted and straw-coloured TM
describe the management of otitis media with effusion. are there any possible complications
Management:
Complications: predisposes to otitis media as effusion allows pathogen growth
what is this condition, suggest signs and symptoms of this

ACUTE OTITIS MEDIA - acute middle ear infection
Signs: red +/- swollen TM with loss of normal landmarks
Symptoms: otalgia and other non-specific symptoms, eg temp
suggest possible complications of acute otitis media
1- TM perforation (due to increased pressure)
2- facial n involvement
rarer:
3- mastoiditis
4- intracranial complications (meningitis, sigmoid sinus thrombosis, brain abscess)
why is acute otitis media more common in children than adults
eustachian tube is shorter and more horizontal so easier passage for infection from nasopharynx and can block more easily, compromising ventilation and drainage
which condition is this, what are the associated signs and explain why this can occur

MASTOIDITIS: middle ear communicates posteriorly via mastoid antrum with mastoid air cells, providing potential route for middle ear infections to spread into mastoid bone
Signs: external rubor and swelling which pushes ear anteriorly
what is cholesteatoma and which signs suggest this condition
1- painless often smelly otorrhea
2- crusting and retraction of superior TM
3- +/- hearing loss
what is labyrinthitis and what symptoms suggest this
1- vertigo
2- nausea and vomiting
3- hearing loss (+/- tinnitus
what is benign paroxysmal positional vertigo and how can this be treated
what is Meniere’s disease
what is the most common cause of hearing loss in >55 yo
PRESBYACUSIS: degeneration of cochlear stereocilia with age
describe how to perform the 2 tests differentiating between conductive and sensorineural hearing loss
what are the test results in conductive and sensorineural hearing loss?
CONDUCTIVE:
SENSORINEURAL:
Weber’s: sound heard in normal ear but not affected ear