7. Skin Flashcards

(20 cards)

1
Q

Where can cytokeratin be found?

A

Tonofilaments

How well did you know this?
1
Not at all
2
3
4
5
Perfectly
2
Q

What is the component found in the stratum granulosum?

A

Keratohyalin

How well did you know this?
1
Not at all
2
3
4
5
Perfectly
3
Q

What layer is missing in thin skin?

A

Stratum Lucidum

How well did you know this?
1
Not at all
2
3
4
5
Perfectly
4
Q

What cell is NOT found in the duct of merocrine sweat glands?

A

Myoepithelial cell

How well did you know this?
1
Not at all
2
3
4
5
Perfectly
5
Q

What is the name of the immune cells found in the skin?

A

Langerhans cell

How well did you know this?
1
Not at all
2
3
4
5
Perfectly
6
Q

What is the name of the cells which produce melanin?

A

Melanocytes

How well did you know this?
1
Not at all
2
3
4
5
Perfectly
7
Q

What is the name of the deeper layer of dermis?

A

Reticular dermis

How well did you know this?
1
Not at all
2
3
4
5
Perfectly
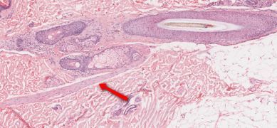
8
Q

What is the indicated structure

A

Arrector pili muscle

How well did you know this?
1
Not at all
2
3
4
5
Perfectly
9
Q

What gland empties into hair follicles at the top?

A

Apocrine sweat gland

How well did you know this?
1
Not at all
2
3
4
5
Perfectly
10
Q
A
How well did you know this?
1
Not at all
2
3
4
5
Perfectly
11
Q

The secretory portion of what gland is widely dilated?

A

Apocrine

How well did you know this?
1
Not at all
2
3
4
5
Perfectly
12
Q

What gland empties into the base of hair hollicles?

A

Sebaceous gland

How well did you know this?
1
Not at all
2
3
4
5
Perfectly
13
Q

Mitotic figures are most frequently seen in which layer of the skin?

A

Stratum germinativum

How well did you know this?
1
Not at all
2
3
4
5
Perfectly
14
Q

What is the name of the dermis which is closest to the epidermis?

A

Papillary dermis

How well did you know this?
1
Not at all
2
3
4
5
Perfectly
15
Q

Which is the main function of the eccrine sweat gland?

A

Thermoregulation

How well did you know this?
1
Not at all
2
3
4
5
Perfectly
16
Q

What is the muscle that is attached to a hair follicle called?

A

arrector pili

17
Q

Which portion of the eccrine sweat gland is sometimes described as being pseudostratified?

18
Q

In which layer of the skin would you find “prickle cells”?

A

Stratum spinosum

19
Q

What gland in the skin secretes in a holocrine fashion?

A

Apocrine gland

20
Q

What is the organelle into which melanin is deposited?