8/20- Platelets Flashcards

(43 cards)

1
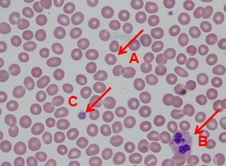
Q

Which cell is a platelet?

  1. A
  2. B
  3. C
A

Which cell is a platelet?

  1. A
  2. B

3. C

How well did you know this?
1
Not at all
2
3
4
5
Perfectly
2
Q

Describe the process of megakaryopoiesis

A

HSC -> myeloid SC -> committed progenitor -> megakaryoblast -> megakaryocyte

  • Endomitosis results in polyploid, lobulated eccentric nucleus (characteristic of mature megakaryocyte)
  • Megakaryocyte undergoes shedding (ctyoplasmic granulation and fragmentation) to create platelets
How well did you know this?
1
Not at all
2
3
4
5
Perfectly
3
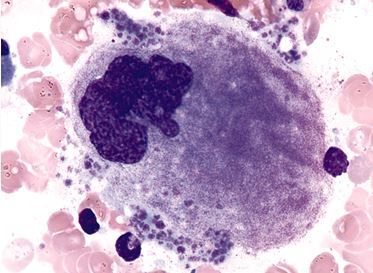
Q

What is this?

A

Platelets forming on the periphery of a megakaryocyte

  • Large cell (about 50x RBC!)
  • Eccentric multilobulated nucleus
  • Granular cytoplasm

(Normally about 0.1% of all nucleated BM cells)

How well did you know this?
1
Not at all
2
3
4
5
Perfectly
4
Q

How many platelets are made per megakaryocyte?

How many made per day?

A

1000-5000 platelets/megakaryocyte

10^11 each day

How well did you know this?
1
Not at all
2
3
4
5
Perfectly
5
Q

Where do platelets get sequestered?

Consequences?

A

1/3 of platelet mass is sequestered in the spleen

  • Liver dz -> splenomegaly -> increased sink size -> decreased platelet count
How well did you know this?
1
Not at all
2
3
4
5
Perfectly
6
Q

What is thrombopoietin? Where is it made?

A
  • Primary hematopoietic GF regulating megakaryocyte growth and number
  • Made in liver (mostly) and kidneys
How well did you know this?
1
Not at all
2
3
4
5
Perfectly
7
Q

Mechanism of TPO signaling?

A
  • TPO binds c-MPL on megakaryocytes and platelets
  • Platelet/megakaryocyte mass serves as skin: plasma levels increased with low platelet count, driving increased production
How well did you know this?
1
Not at all
2
3
4
5
Perfectly
8
Q

What is the structure of a platelet?

  • Diameter
  • Nucleus?
  • Shape
  • Volume
A
  • 1-4 um
  • Anucleate
  • Discoid
  • MPV: 7-11 fL
How well did you know this?
1
Not at all
2
3
4
5
Perfectly
9
Q

What membrane glycoproteins do platelets have?

A

- GPIIb-IIIa: fibrinogen receptor

- GPIb-IX-V: von Willebrand factor receptor

- GPIa-IIa, GPVI: collagen receptors

How well did you know this?
1
Not at all
2
3
4
5
Perfectly
10
Q

What granules do platelets have?

A

Alpha granules:

  • Larger and more abundant
  • vWF, platelet factor 4, fibrinogen, factor V

Dense granules (delta):

  • About 10x fewer than alpha
  • Small mcls: ADP, ATP, serotonin, Ca, Mg
How well did you know this?
1
Not at all
2
3
4
5
Perfectly
11
Q

What is GPIIb-IIIa?

  • Amount
  • Function
  • Targeting drugs
  • Associated diseases
A
  • Most abundant platelet membrane protein (50-80K)
  • Platelet activation -> conformational change with high affinity for fibrinogen -> aggregation
  • Target of drugs in CAD: abciximab, tirofiban, eptafibatide
  • Congenital defects: Glanzmann thrombasthenia
How well did you know this?
1
Not at all
2
3
4
5
Perfectly
12
Q

The blood protein fibrinogen forms bridges between platelets by binding to what?

A

GpIIb/IIIa proteins

  • Mediates platelet aggregation
How well did you know this?
1
Not at all
2
3
4
5
Perfectly
13
Q

What is GPIb-IX-V?

A

Principal receptor for vWF

  • vWF binds to subendothelial collagen
  • GPIb-IX-V tethers platelets via vWF
  • Binds other proteins: thrombin, P-selectin
How well did you know this?
1
Not at all
2
3
4
5
Perfectly
14
Q

What disease is associated with GP Ib-IX-V? Characteristics?

A

Congenital defects: Bernard-Soulier

  • Giant platelets
  • Thrombocytopenia
  • Bleeding
How well did you know this?
1
Not at all
2
3
4
5
Perfectly
15
Q

What are the steps in the formation of a platelet plug?

A

Adhesion

Activation

  • Shape change
  • IIb-IIIa activation to fibrinogen receptor
  • Secretion/release reaction (ADP, fibrinogen, vWF, calcium, TXA2)
  • Phosphatidylserine expression (acceleration of Xase by 20M; acc of prothrombinase by 300K)

Aggregation

How well did you know this?
1
Not at all
2
3
4
5
Perfectly
16
Q

Overall schematic of secondary hemostasis (picture)

A
How well did you know this?
1
Not at all
2
3
4
5
Perfectly
17
Q

What is a “qualitative” platelet disorder?

A

Have enough platelets, but they’re not functioning correctly

How well did you know this?
1
Not at all
2
3
4
5
Perfectly
18
Q

What are some inherited qualitative platelet disorders?

A
  • Glanzmann thrombasthenia
  • Bernard-Soulier syndrome
  • Storage pool diseases
  • Non-classic disorders more common, less defined
19
Q

Characteristics of Glanzmann thrombasthenia?

A

Qualitative platelet disorder

  • Abnormal GP IIb/IIIa
  • Purpura, epistaxis, gingival bleeding, and menorrhagia
  • Defective aggregation to all agonists except ristocetin
20
Q

Characteristics of Bernard-Soulier syndrome?

A

Qualitative platelet disorder

  • Abnormal GP Ib-IX-V
  • Giant platelets and thrombocytopenia
  • Decreased aggregation with ristocetin; normal to others
21
Q

Characteristics of storage pool diseases?

A

Qualitative platelet disorder

  • Alpha-granule deficiency: gray platelet syndrome (alpha granules are most prominent component of platelets)
  • Dense-granule deficiency: Hermansky-Pudlak
22
Q

What may cause acquired platelet dysfunction?

A
  • Aspirin, NSAIDs
  • Many other drugs: beta-lactam Abx, CCBs, SSRIs
  • Renal failure
  • Liver dz

(- Cardiopulmonary bypass)

(- MPDs/MDS)

(- Dysproteinemias)

23
Q

How does diabetes affect platelet function?

A

Increases reactivity

24
Q

What types of bleeding symptoms typically characterize platelet disorders?

A

Mucocutaneous bleeding

25
What is this?
Petechiae
26
What characterizes a quantitative platelet disorder?
Problem in the number of platelets (rather than functionality)
27
Don't memorize these numbers: Conceptual framework for bleeding risk with acute (non-immune) thrombocytopenia
Need to have pretty decreased counts to have daily life affected
28
Differential diagnosis (etiologies) of thrombocytopenia?
_Increased Destruction/Consumption:_ **- Immune-mediated (including drugs)** **- Thrombotic microangiopathy (TTP/HUS, HELLP)** - Disseminated intravascular coagulation (DIC) - Kassabach-Merritt syndrome - Extracorporeal circulation _Decreased Production:_ - Alcohol - Chemotherapy - Aplastic anemia - Nutritional deficiencies (e.g. B12) - Infections (including sepsis) - Inherited disorders - MDS, fibrosis, leukemia, metastatic dz _Other:_ - Spurious (increased platelet clumping) - Hypersplenism - Massive transfusions (dilutional) - Anaphylaxis
29
What is ITP? What causes it?
**Immune-Mediated Thrombocytopenia** - Accelerated platelet destruction due to phagocytosis of Ab-coated platelets by reticuloendothelial system (Mphages in spleen, liver, and BM) - Auto-antibodies (mainly **IgG**) vs. common platelet glycoproteins cross-react with autologous and transfused platelets
30
Immune thrombocytopenias can be broken down into what main causes?
**Neoplasia** - Hodgkin's dz - NHL - CLL - Solid tumors **Autoimmune Disease** - Lupus - Antiphospholipid syndrome - AIHA (Evan's syndrome) - Thyrotoxicosis *_- Primary ITP (esp kids)_* **Immune dysregulation** - HIV - Common variable immunodeficiency - ALPS - BMT **Alloimmune thromboctyopenias** - Post-transfusion purpura - Neonatal alloimmune thrombocytopenia
31
What are some treatment options for ITP?
_Acutely:_ - Observation - Steroids (may take a few days) - Intravenous immune globulin (IVIg) (quicker) - Anti-D immune globulin - Platelet transfusion generally ineffective _Chronically:_ - Splenectomy - Rituximab - Additional immunosuppressive agents - Thrombopoietin mimetic agents (romiplostim, altrombopag)
32
What are some sources of drug-induced immune thrombocytopenias?
HIT: heparin induced thrombocytopenia!
33
Case) - 40 yo teacher can't find words at black board and confused at home - Seems clear in ER but has seizure - Petechiae on her legs - Post-ictal CBC: - Hct = 25 - WBCs normal - Platelets = 25,000 - PT and PTT normal - BUN and creatinine are 35/2.0 - LDH significantly elevated - Temp = 100.8
PBS: - Evidence for hemolytic anemia (MAHA)
34
What is the classic pentad of clinical elements present in TTP? Diagnostic triad?
_Classic pentad:_ 1. Fragmentation hemolysis 2. Thrombocytopenia 3. Fluctuating neurological changes 4. Renal insufficiency 5. Fever _Diagnostic triad:_ 1. Fragmentation hemolysis 2. Thrombocytopenia 3. Elevated LDH
35
Do's and Dont's of acute therapy for TTP?
_Do:_ - Plasma exchange - Corticosteroids - Plasma infusion (for congenital TTP) _Don't:_ - Platelet transfusion - Anti-platelet drugs - DDAVP
36
What are some inherited thrombocytopenia abnormalities?
- May-Hegglin - Bernard-Soulier, Grey Platelet Syndrome - Wiskott-Aldrich (small platelets) - Fanconi anemia, congenital amegakaryocytic thrombocytopenia - Other disorders and mutations being ID'd
37
Characteristics of **May-Hegglin** disorder?
Form of inherited thrombocytopenia - MYH9 class of disorders - Non muscle heavy chain of myosin - Dohle-like inclusions - Giant platelets
38
Case) - 23 yo female with rash on ankles/shins and easy bruising for 10 days on her arms and sides (no trauma) - Nosebleeds, gum bleeding with flossing, unusually heavy menses 1 wk ago that persists - Upper respiratory infection 3 weeks ago now resolved - Normal PE but her stool is guaiac positive - Some petechiae/blood blisters (wet purpura) in mouth - CBC normal except for platelet count (3,000) What is the most likely diagnosis? A. Acute leukemia or lymphoma B. TTP C. Immune thrombocytopenia (ITP) D. Lupus E. Pseudothrombocytopenia
What is the most likely diagnosis? A. Acute leukemia or lymphoma B. TTP **C. Immune thrombocytopenia (ITP)** D. Lupus E. Pseudothrombocytopenia - Not TTP because red blood cells look nice
39
Case cont'd) How would you treat this patient? A. Observation B. Platelet transfusion C. Oral steroids D. Oral steroids and IVIg E. Splenectomy
How would you treat this patient? A. Observation B. Platelet transfusion C. Oral steroids **D. Oral steroids and IVIg** E. Splenectomy
40
What is the key GF for megakaryopoiesis and the primary bone marrow cell it affects?
- Thrombopoietin - Megakaryocytes
41
What is the avg platelet lifespan in circulation and the typical proportion of platelet mass sequestered in the spleen?
- **7-10 day** lifespan in circulation - **1/3** of mass sequestered in spleen
42
What are the 3 mechanisms that can lead to thrombocytopenia and examples of each?
1. Increased destruction 2. Decreased production 3. Sequestration
43
What are some thrombyctopenic conditions for which platelet transfusion is not considered first line therapy?
- HIT - TTP - "ITP"