8.2.2: Strangles Flashcards

(17 cards)

1
Q

Causative agent of strangles

A

Strep equi var equi

How well did you know this?
1
Not at all
2
3
4
5
Perfectly
2
Q

How is strangles transmitted?

A
  • Fomites
  • Direct contact
  • Contaminated surfaces etc.
How well did you know this?
1
Not at all
2
3
4
5
Perfectly
3
Q

Clinical signs of strangles

A
  • Sudden pyrexia 48hrs pre-shedding -> important in management of outbreaks
  • Mucopurulent nasal discharge
  • Retropharyngeal and submandibular LN abscessation
  • Pharyngitis: nasal discharge, dysphagia, cough, laryngeal-associated pain, extended head position
How well did you know this?
1
Not at all
2
3
4
5
Perfectly
4
Q

When does lymph node abscessation happen in strangles and which lymph nodes are most commonly affected?

A

Occurs 3-14 days after infection
Most common LNs:
1. Retropharyngeal - these commonly rupture into the guttural pouches
2. Submandibular
3. Parotid
4. Cranial cervical

How well did you know this?
1
Not at all
2
3
4
5
Perfectly
5
Q
A

Moderate lymphoid hyperplasia (seen with strangles)

How well did you know this?
1
Not at all
2
3
4
5
Perfectly
6
Q
A

Guttural pouch empyema
The retropharyngeal lymph nodes rupture into the guttural pouches, filling the pouches with mucopurulent fluid.

How well did you know this?
1
Not at all
2
3
4
5
Perfectly
7
Q

Complications of strangles

A
  • Pneumonia: bronchopleural fistula ends up leading to pneumothorax
  • Distant abscesses due to lymphatic or haematogenous spread
  • Development of severe dyspnoea -> may require tracheostomy
  • Uncommon: purpura haemorrhagica, immune-mediated myositis, myocarditis are all possible
How well did you know this?
1
Not at all
2
3
4
5
Perfectly
8
Q

Purpura haemorrhagica

A

Type III hypersensitivity reaction that occurs weeks after infection

How well did you know this?
1
Not at all
2
3
4
5
Perfectly
9
Q

Diagnostic testing for acute strangles

A
  • Optimal test = qPCR of nasopharyngeal lavage, followed by nasopharyngeal swabbing, then nasal swabbing
  • Culture (34-45% sensitivity, very specific)
How well did you know this?
1
Not at all
2
3
4
5
Perfectly
10
Q

Diagnostic testing for persistent infection with strangles

A
  • qPCR of endoscopic guttural pouch lavage x3 (7 days apart) = best
  • Could do culture - this is very specific but has many false negatives.
How well did you know this?
1
Not at all
2
3
4
5
Perfectly
11
Q

How could you screen for animals that have been exposed to strangles?

A
  • Dual target ELISA -> use this to screen for exposed animals
  • This can help you select animals for guttural pouch lavage qPCR testing
How well did you know this?
1
Not at all
2
3
4
5
Perfectly
12
Q

When in a strangles outbreak should you begin to search for animals in the carrier state?

A
  • Search for horses in carrier state 3-4 weeks after the last case in the outbreak was identified
  • Any time before this is too early!
How well did you know this?
1
Not at all
2
3
4
5
Perfectly
13
Q

Treatment of strangles

A
  • NSAIDs to manage pyrexia and pain
  • Soft, palatable, calorific diet for anorexia/dysphagia
  • Abscess management: hot packing, surgical drainage and lavage only once completely matured otherwise will result in incomplete drainage
  • Isolation
  • Nursing care
How well did you know this?
1
Not at all
2
3
4
5
Perfectly
14
Q

Treatment of the complications of strangles

A
  • Guttural pouch lavage
  • Antibiotics are controversial - not enough evidence to prove they prevent LN abscessation
  • Treat persistently infected animals with benzylpenicillin reverse thermodynamic gel
  • Give antibiotics to horses with severe dyspnoea, dysphagia, or persistent high fever - controversial
  • Abscess drainage and lavage
  • Other treatment according to specific complication
How well did you know this?
1
Not at all
2
3
4
5
Perfectly
15
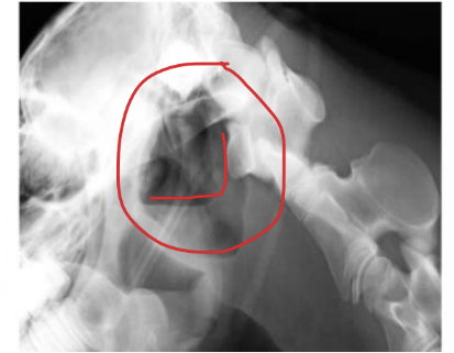
Q

This is a latero-lateral view of the caudal part of the head. What is circled?

A

Guttural pouch
* Should be translucent
* Is in part radiopaque due to enlarged retropharyngeal LN bulging into the base of the guttural pouch

How well did you know this?
1
Not at all
2
3
4
5
Perfectly
16
Q

This is a latero-lateral view of the head. What abnormal findings are present?

A

Guttural pouch with chondroids
* Pus within the guttural pouches was not evacuated; remained, dessicated and formed chondroids
* These contain visible bacteria within them
* Bacteria can survive in here for a very long time
* Must remove chondroids to clear the infection and then treat

17
Q

This is a latero-lateral view of the head. What abnormal findings are highlighted?

A

Visible fluid line within the guttural pouch
This is due to the presence of pus in the guttural pouch