:) Flashcards

(90 cards)

1
Q

What does first and second downward deflections on V1 LBBB represent? [2]

A

he first downward deflection represents the right ventricle, and the slightly delayed 2nd downward deflection corresponds to the depolarisation of the left ventricle.

How well did you know this?
1
Not at all
2
3
4
5
Perfectly
2
Q

How can you tell if ST elevation is significant? [1]

A

ST elevation is significant when it is greater than 1 mm (1 small square) in 2 or more contiguous limb leads or >2mm in 2 or more chest leads.​

How well did you know this?
1
Not at all
2
3
4
5
Perfectly
3
Q

State two causes of tracheal deviation towards [2] and away from [2] trachea

A
  • Towards: pneumonectomy or collapsed lung​
  • Away from: tension pneumothorax and pleural effusion
How well did you know this?
1
Not at all
2
3
4
5
Perfectly
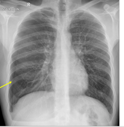
4
Q

This shows?

A

pneumothorax

How well did you know this?
1
Not at all
2
3
4
5
Perfectly
5
Q
A

.pneumoperitoneoum- perforation ​

How well did you know this?
1
Not at all
2
3
4
5
Perfectly
6
Q

10-29% risk of CAD: What investigation is most appropriate?​

Angiography​

Full blood count​

Functional imaging – Stress echo​

CT calcium scoring​

Rule out non-cardiac causes of chest pain

A

10-29% risk of CAD: What investigation is most appropriate?​

Angiography 61-90%​

Full blood count​

Functional imaging – Stress echo 30-59%​

CT calcium scoring – measurement of calcium present in coronary arteries: assess degree of coronary artery disease​

Rule out non-cardiac causes of chest pain - <10%​

How well did you know this?
1
Not at all
2
3
4
5
Perfectly
7
Q

Postural hypotension is associated with?:​

SBP decrease by >10mmHg​

SBP decrease by >20mmHg​

SBP decrease by >20mmHg, DBP decrease by >10mmHg​

SBP decrease by >20mmHg, DBP increase by > 10mmHg​

SBP decrease by >30mmHg, DBP decrease by >15mmHg​

A

Postural hypotension is associated with?:​

SBP decrease by >10mmHg​

SBP decrease by >20mmHg​

SBP decrease by >20mmHg, DBP decrease by >10mmHg​

SBP decrease by >20mmHg, DBP increase by > 10mmHg​

SBP decrease by >30mmHg, DBP decrease by >15mmHg​

How well did you know this?
1
Not at all
2
3
4
5
Perfectly
8
Q

Draw a graph of up and down lung

A
How well did you know this?
1
Not at all
2
3
4
5
Perfectly
9
Q

What is the name of this sign and what is it testing? [1]

A

Phalens sign: The Phalen maneuver is performed by having the patient hold both wrists in complete and forced flexion (pushing the dorsal surfaces of both hands together) for 30-60 seconds. This can increase the pressure in the carpal tunnel.

How well did you know this?
1
Not at all
2
3
4
5
Perfectly
10
Q

What ligaments holds up the uterus to prevent it from prolapsing? [1]

A

cardinal ligament

How well did you know this?
1
Not at all
2
3
4
5
Perfectly
11
Q

Why does cleft palate occur? [1]

A

Failure of palatal shelves to fuse (from maxillary prominences)

How well did you know this?
1
Not at all
2
3
4
5
Perfectly
12
Q

internal thoracic artery is a branch of? [1]

A

the subclavian artery

How well did you know this?
1
Not at all
2
3
4
5
Perfectly
13
Q
  1. Carpal tunnel syndrome surgery. What do the surgeons have to cut through to get to the median nerve?
A

flexor retinaculum

How well did you know this?
1
Not at all
2
3
4
5
Perfectly
14
Q

Where is the appendix?

A

(the junction of the lateral and middle thirds of a line joining the umbilicus with the right anterior superior iliac spine (ASIS)

How well did you know this?
1
Not at all
2
3
4
5
Perfectly
15
Q

Great sciatic foramen contents?

A
How well did you know this?
1
Not at all
2
3
4
5
Perfectly
16
Q

Lesser sciatic foramen contents?

A
How well did you know this?
1
Not at all
2
3
4
5
Perfectly
17
Q

How do you calculate mean arterial pressure? [1]

A

MAP = DP + 1/3(SP – DP) or MAP = DP + 1/3(PP)

Where DP is the diastolic blood pressure, SP is the systolic blood pressure, and PP is the pulse pressure. This method is often more conducive to measuring MAP in most clinical settings as it offers a quick means of calculation if the blood pressure is known.

How well did you know this?
1
Not at all
2
3
4
5
Perfectly
18
Q

Order of vasculature and veins in intercostal groove? [3]

A

Vein, artery, nerve. The vein is the most superior, the artery is inferior to it, and then the intercostal nerve is the most inferior in the neurovascular bundle.
intercostal arteries which are branches of the descending aorta. The arteries have a thicker wall and so the blood in the lumen does not make them appear
dark as the veins.

How well did you know this?
1
Not at all
2
3
4
5
Perfectly
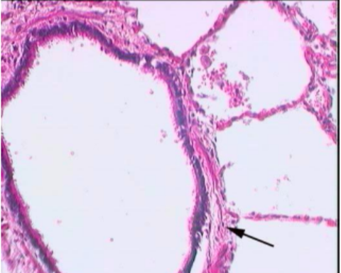
19
Q
  1. collagen fibres
  2. smooth muscle
  3. hyaline cartilage
  4. elastic fibres
  5. elastic cartilage
A

Elastic fibres in the wall of the bronchiole are continuous with those in the surrounding interalveolar septa. Radial traction on these fibres helps to keep the a
open.

How well did you know this?
1
Not at all
2
3
4
5
Perfectly
20
Q
A

anterior
interventricular
sulcus

How well did you know this?
1
Not at all
2
3
4
5
Perfectly
21
Q
  1. muscularis propria
    (externa)
  2. lamina propria
  3. adventitia
  4. serosa
  5. submucosa
  6. muscularis mucosae
A
  1. muscularis propria
    (externa)
  2. lamina propria
  3. adventitia
  4. serosa
    5. submucosa
  5. muscularis mucosae
How well did you know this?
1
Not at all
2
3
4
5
Perfectly
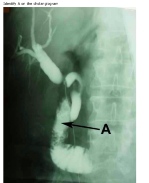
22
Q
A

in this cholangiogram the radioopaque dye has entered the duodenum (A is pointing to the 2nd part). The plicae circulares can be seen.

How well did you know this?
1
Not at all
2
3
4
5
Perfectly
23
Q
A

masseter supplied
by mandibular nerve

How well did you know this?
1
Not at all
2
3
4
5
Perfectly
24
Q
A

periosteum

How well did you know this?
1
Not at all
2
3
4
5
Perfectly
25
State 4 reasons why urine specific gravity might be riased in a urinanalysis [4]
* Adrenal glands do not produce enough hormones (Addison disease) * Heart failure * High sodium level in the blood * Loss of body fluids (dehydration) * Narrowing of the kidney artery (renal artery stenosis) * Shock * Sugar (glucose) in the urine * Syndrome of inappropriate ADH secretion (SIADH)
26
State 4 reasons for reduced urine specific gravity
Damage to kidney tubule cells (renal tubular necrosis) Diabetes insipidus Drinking too much fluid Kidney failure Low sodium level in the blood Severe kidney infection (pyelonephritis)
27
1. fibrocollagenous tissue 2. newly formed bone 3. calcified cartilage 4. hyaline cartilage (normal) 5. bone marrow
1. fibrocollagenous tissue **2. newly formed bone** 3. calcified cartilage 4. hyaline cartilage (normal) 5. bone marrow
28
Brachial plexus
M: C5-7 A: C5-6 M: C5-T1 R: C5-T1 U: C8-T1
29
In this photograph of an atrioventricular valve, label A
**anterior papillary muscle of right ventricle** The moderator band carries Purkinjie fibres from the interventricular septum to the anterior wall of the right ventricle and to the anterior papillary muscle of the tricuspid valve.
30
Identify A on the MR angiogram of the heart and great vessels
left ventricle
31
left common carotid arteryx
32
posterior papillary muscle
33
lung lesions - miliary TB 2. cardiomegaly 3. cavitations - pneumonia 4. hyperinflation COPD 5. pulmonary hypertension
**lung lesions - miliary TB** 2. cardiomegaly 3. cavitations - pneumonia 4. hyperinflation COPD 5. pulmonary hypertension
34
left pulmonary artery
35
Draw and label a kidney
36
1 Renal vein 2 Renal artery 3 Renal pelvis 4 Abdominal part of ureter 5 Major renal calyx 6 Cribriform area of renal papilla 7 Cortex of suprarenal gland 8 Medulla of suprarenal gland 9 Cortex of kidney 10 Medulla of kidney 11 Renal papilla 12 Minor renal calyx 13 Renal sinus 14 Renal columns 15 Fibrous capsule of kidney
37
Major calyx
38
Major calyx
39
Bile duct
40
1. membranous urethra 2. prostatic urethra 3. ejaculatory duct 4. spongy urethra
1. membranous urethra
41
hepatic portal vein
42
hepatic portal vein
43
**medullary ray**
44
Before 9 weeks, **erythrocytes** in early blood vessels are **nucleated**. Here you see capillaries with these nucleated cells.
45
6. Cytotrophoblast shell The cytotrophoblast shell is in contact with the maternal tissue (decidua basalis) extending past the lacunae filled with maternal blood.
46
suspensory ligament
47
**Cytotrophoblast cells** extend out of the villus to form branches in the lacunae and also when invading into the endometrium. The cytotrophoblast cells are stained brown in this preparation. If in contact with maternal blood, the surface becomes covered by syncytiotrophoblast.
48
lung hilum
49
Macrophage
50
1. oesophagus 2. stomach 3. small intestine 4. colon
2. stomach
51
ID B
head of pancreas
52
lymphocyte
53
3. 18.5 - 24
54
right superior lobar bronchus The superior lobar bronchus supplies the superior lobe of the right lung. The bronchus intermedius has a vertical route and divides into the middle and inferior lobar bronchii.
55
3. plicae circulares
56
A patient has a blood pressure of 120 mmHg systolic and 90 mmHg diastolic and a cardiac output of 5 l/min. What is the total peripheral resistance?
BP = CO X TPR TPR: CO/BP
57
Formula for BMI? [1]
Weight / Height^2 (Kg/m2)
58
B?
1. lamina of cricoid cartilage 2. epiglottis 3. tracheal ring 4. ariepiglottic fold 5. lamina of thyroid cartilage
59
Monocyte
60
ID B
Genioglossus
61
ID A
plicae circulares
62
syncytiotrophoblast
63
1. chorion 2. amnion 3. stratum basalis of the endometrium 4. decidua capsularis 5. myometrium 6. decidua basalis
The **decidua basalis** is the maternal part of the placenta derived from the endometrial tissue where the embryo implanted.
64
3. cell death
65
Which cranial nerve innervates the structures that form in the arrowed pharyngeal arch?
6. cranial nerve V (mandibular branch)
66
What stage of the endometrial cycle is depicted? [1]
The stratum functionalis of the endometrium has thin, straight glands in its early proliferative phase.
67
1. primordial 2. secondary (antral) 3. Graafian 4. primary 5. atretic 6. growing
6. growing A growing follicle has several layers of granulosa cells associated with the large central oocyte. A primary has one layer
68
A? 1. middle lobar bronchus of the right lung 2. inferior lobar bronchus of the left lung 3. inferior lobar bronchus of the right lung 4. superior lobar bronchus of the left lung 5. superior lobar bronchus of the right lung 6. right main bronchus
4. superior lobar bronchus of the left lung
69
pulmonary plexus
70
The **conjoint tendon** makes up the main part of the medial portion of the posterior wall of the inguinal canal
71
transversus abdominus
72
hyaline cartilage
73
thoracic
74
**1. A-band** 2. M-line 3. Z-line 4. H-zone 5. I-band
75
Tibia fractured
76
ACh
77
B
78
Which structure passes along the groove labelled E
tendon for the long head of biceps
79
iliopsoas
80
lamina
81
biceps tendon
82
Identify the location of the tendon of flexor carpi radialis
E
83
proliferating
84
1. osteoblasts **2. osteoprogenitor cells** 3. chrondrocytes 4. osteocytes 5. osteoclasts
85
6. ciliary ganglion
86
trochlear
87
Which part of the large bowel is intraperitoneal?
Transverse colon
88
Tragus
89
Barrets osephagus shows what type of cancer? [1]
Barrett's oesophagus is a condition where there is metaplasia of the cells in the lower portion of the oesophagus. The stratified squamous epithelium of the oesophagus is replaced with simple columnar epithelium, similar to that found in the colon. Barrett's oesophagus can progress into **adenocarcinoma**.
90
Anatomical snuff box?