A: Bones Flashcards

(18 cards)

1
Q

Epiphyseal plate

A

Growth plate during childhood.
Hyaline cartilage is present until growth stops. When bone fuses after growth has stopped, it is replaced by epiphyseal line.

How well did you know this?
1
Not at all
2
3
4
5
Perfectly
2
Q

Medullar/marrow cavity

A

hollow cavity in centre of bone. Contains yellow marrow.

How well did you know this?
1
Not at all
2
3
4
5
Perfectly
3
Q

Blood supply in bones?

A

Blood vessels enter nutrient foramen in diaphysis.

How well did you know this?
1
Not at all
2
3
4
5
Perfectly
4
Q

Periosteum

A

Periosteum is the lining outside of the bone, continuous with articular cartilage.
Periosteum is firmly attached to the bone via perforating fibres.

How well did you know this?
1
Not at all
2
3
4
5
Perfectly
5
Q

Endosteum

A

Endosteum is the lining within the bone.

How well did you know this?
1
Not at all
2
3
4
5
Perfectly
6
Q

Function of trabeculae?

A

Trabeculae are aligned along stress lines so bone can withstand it.

How well did you know this?
1
Not at all
2
3
4
5
Perfectly
7
Q

Osteoblast vs osteoclast?

A

Osteoblast = blood forming
Osteoclast = blood reabsorption

How well did you know this?
1
Not at all
2
3
4
5
Perfectly
8
Q

Intramembranous ossification?

A

Sheet-like connective tissue is replaced by bone tissue

How well did you know this?
1
Not at all
2
3
4
5
Perfectly
9
Q

Endochrondal ossification

A

Hyaline cartilage is replaced by bone tissue

How well did you know this?
1
Not at all
2
3
4
5
Perfectly
10
Q

Where does bone deposition happen

A

Periosteal + Endosteal surfaces

How well did you know this?
1
Not at all
2
3
4
5
Perfectly
11
Q

Stages of healing a fracture

A
  1. Hematoma forms
  2. Internal callus formed, made from fibrous tissue and cartilage
  3. Cartilage is replaced by bone (endochondral ossification)
  4. Trabeculae aligned to withstand stresses.
How well did you know this?
1
Not at all
2
3
4
5
Perfectly
12
Q

Type of fracture

A

Compression fracture

How well did you know this?
1
Not at all
2
3
4
5
Perfectly
13
Q

Type of fracture

A

Communited

How well did you know this?
1
Not at all
2
3
4
5
Perfectly
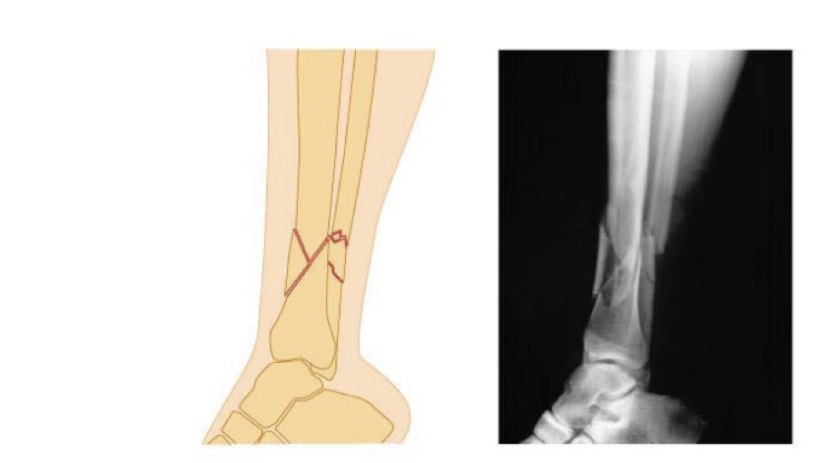
14
Q

type of fracture

A

Spiral

How well did you know this?
1
Not at all
2
3
4
5
Perfectly
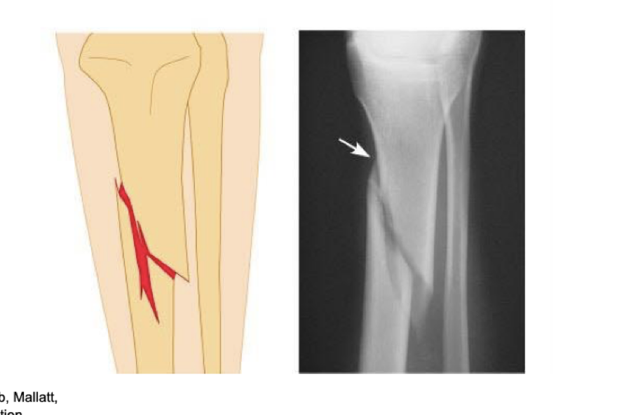
15
Q

Type of fracture

A

Epiphyseal

How well did you know this?
1
Not at all
2
3
4
5
Perfectly
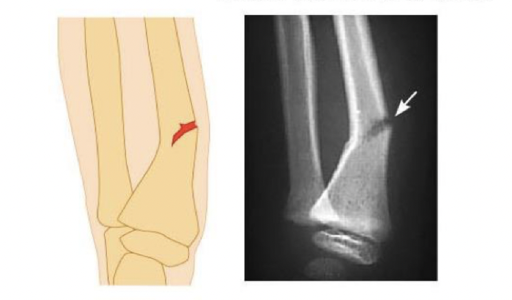
16
Q

Type of fracture

17
Q

Type of fracture

18
Q

Osteoporosis

A

low bone mineral density/ mass. Bone reabsorption outpaces bone deposition.