Abdomen Flashcards

(18 cards)

1
Q
A
  1. Liver
  2. Faliciform ligament
  3. Abdominal aorta
  4. Abdominal esophagus
  5. Rt lung
  6. Lt lung
  7. Lt lung
  8. Lt rib
  9. Azygos vein
How well did you know this?
1
Not at all
2
3
4
5
Perfectly
2
Q
A
  1. Rt lobe of liver
  2. Lt lobe of liver
  3. Spleen
  4. Body of stomach filled with fluid
How well did you know this?
1
Not at all
2
3
4
5
Perfectly
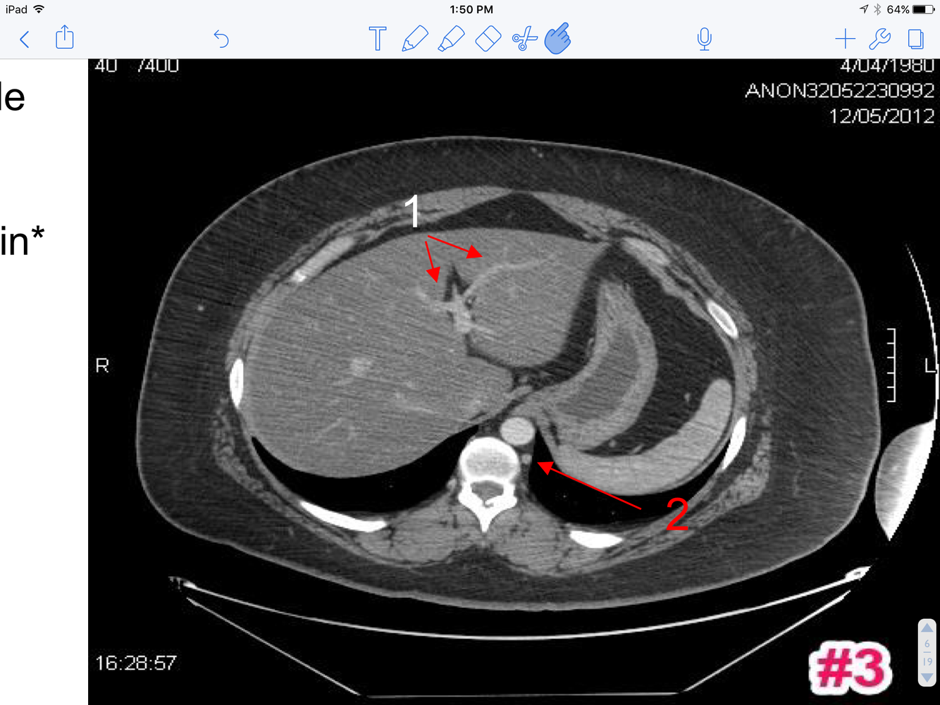
3
Q
A
  1. Branches of the Lt. branch of the portal vein
  2. Hemiazygos vein
How well did you know this?
1
Not at all
2
3
4
5
Perfectly
4
Q
A
  1. Ligamentum teres (fissure for)
  2. Splenic flexure
  3. Splenic vessel
  4. Tail of the Pancreas
  5. Rt & Lt crus of diaphragm
  6. Lt branch of portal vein
  7. Rt branch of the portal vein
  8. Intrahepatic inferior vena cava
How well did you know this?
1
Not at all
2
3
4
5
Perfectly
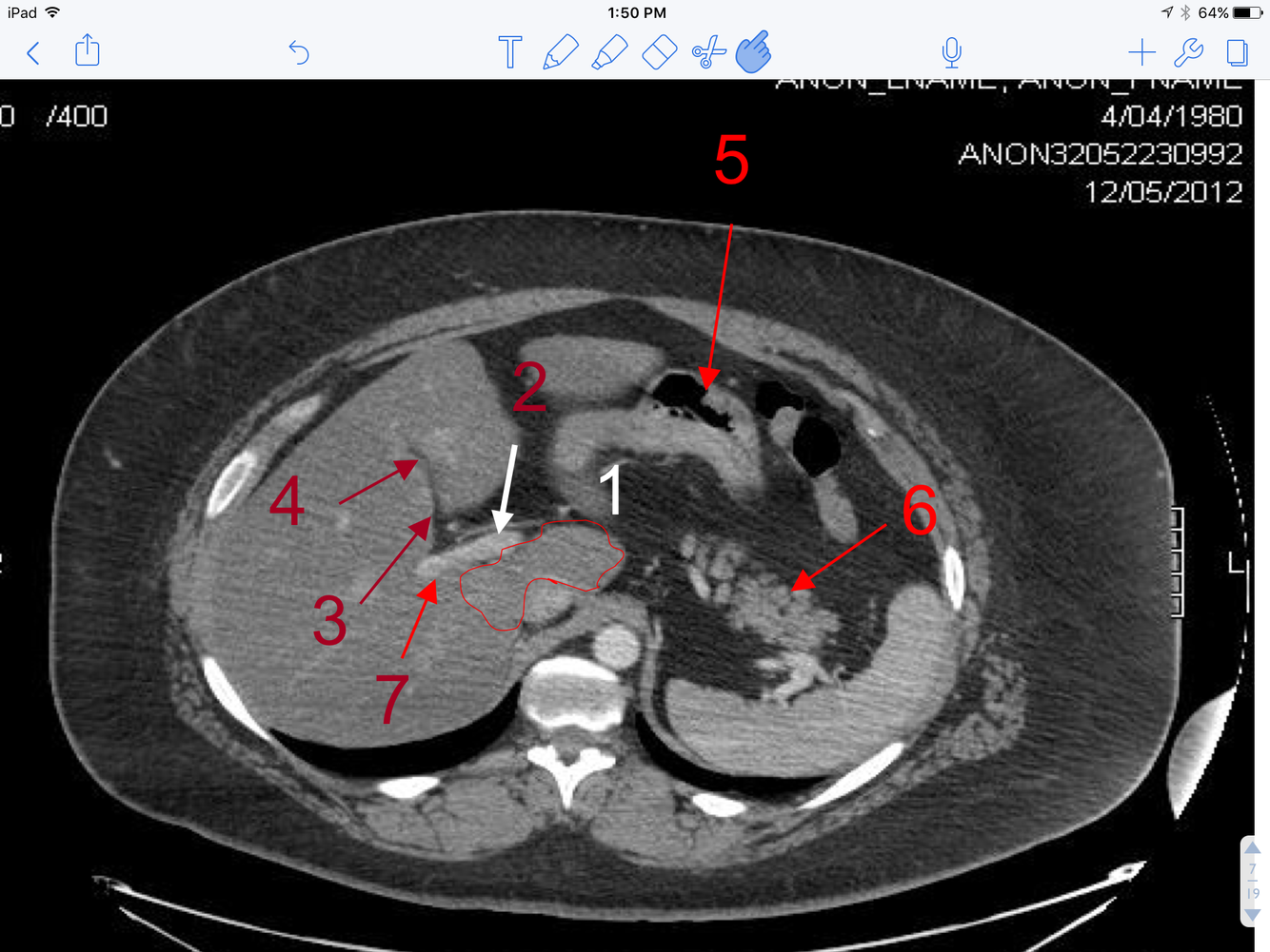
5
Q
A
  1. Caudate lobe of the liver (outlined)
  2. Lt branch of the portal vein
  3. Cystic duct of the gallbladder
  4. Neck of the gallbladder
  5. Gas in the body of the stomach
  6. Tail of Pancreas
  7. Rt branch of the portal vein
How well did you know this?
1
Not at all
2
3
4
5
Perfectly
6
Q
A
  1. Rt branch of the portal vein
  2. Lt branch of the portal vein
  3. Intrahepatic inferior vena cava
  4. Splenic vessels at the hilum of the spleen
  5. Quadrate lobe of the liver (outline)
  6. Hepatic artery proper in the porta hepatis
How well did you know this?
1
Not at all
2
3
4
5
Perfectly
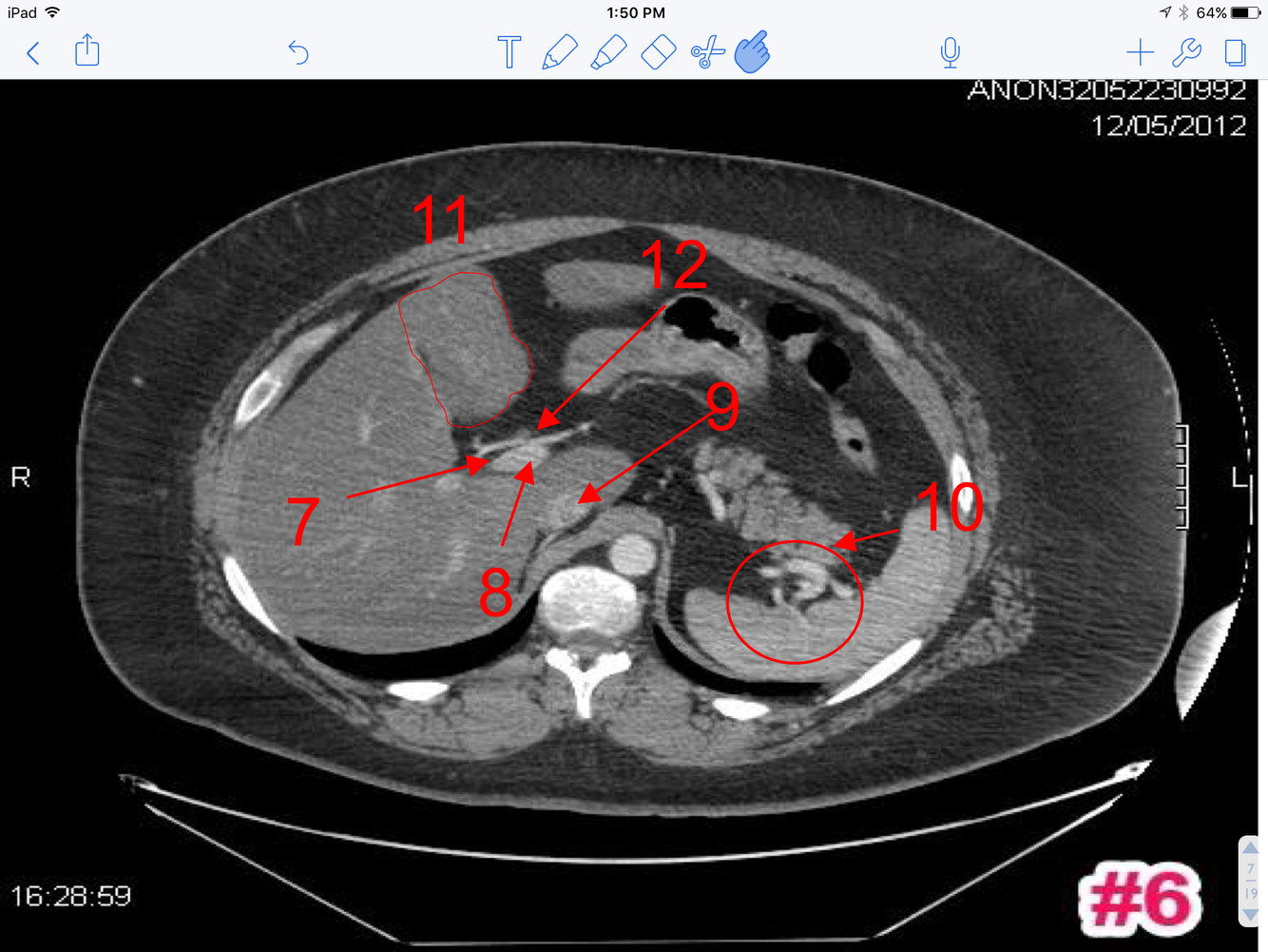
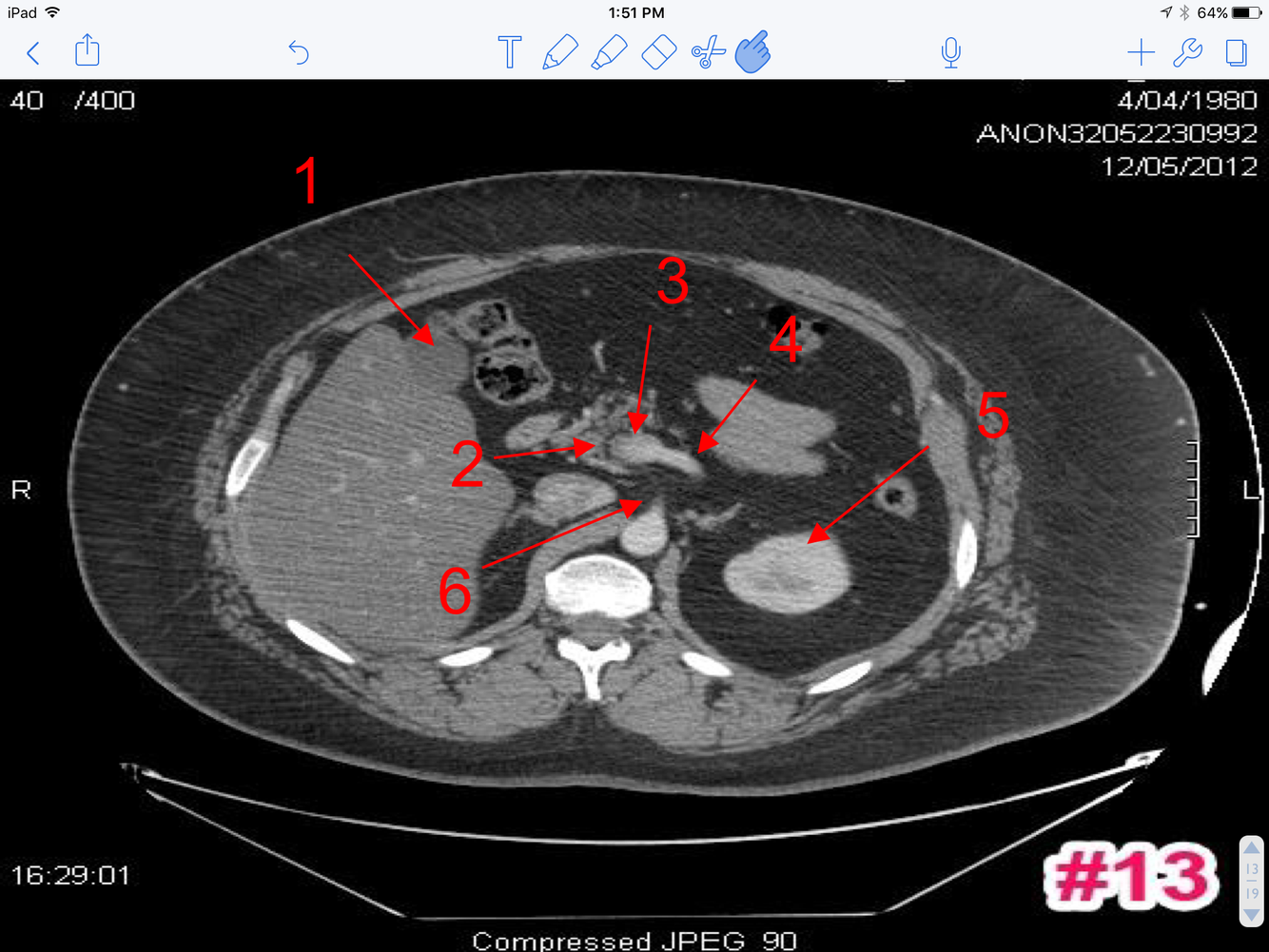
7
Q
A
  1. Body of gallbladder
  2. Pyloric part of the stomach
  3. Quadrate lobe of liver
  4. Portal vein
  5. Transverse colon
  6. Descending colon
How well did you know this?
1
Not at all
2
3
4
5
Perfectly
8
Q
A
  1. Body of gallbladder
  2. Portal vein
  3. Inferior vena cava
  4. Common hepatic artery
  5. Body of the Pancreas
  6. First part of the duodenum
  7. Splenic vein
  8. Splenic artery

11, Transverse colon

  1. Descending colon
How well did you know this?
1
Not at all
2
3
4
5
Perfectly
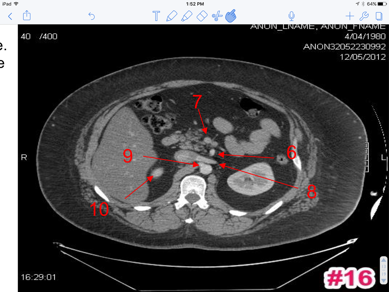
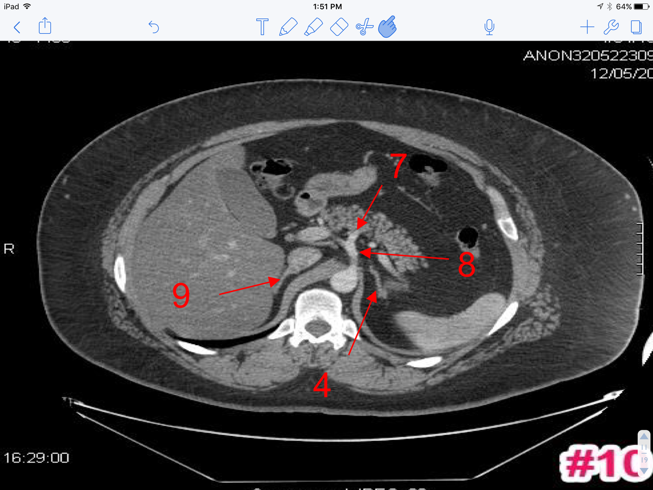
9
Q
A
  1. First part of duodenum (cap or bulb)
  2. Portal vein
  3. Inferior Vena Cava
  4. Lt. Adrenal Gland
  5. Splenic vein
  6. Common Hepatic Artery
  7. Splenic Artery
How well did you know this?
1
Not at all
2
3
4
5
Perfectly
10
Q
A
  1. Lt Adrenal Gland
  2. Splenic Artery
  3. Celiac axis (trunk)
  4. Rt. Adrenal
How well did you know this?
1
Not at all
2
3
4
5
Perfectly
11
Q
A
  1. Fundus of the gallbladder
  2. Uncinate process of pancreas
  3. Portal Vein
  4. Splenic Vein
  5. Upper Pole of Lt Kidney
  6. Superior mesenteric artery
How well did you know this?
1
Not at all
2
3
4
5
Perfectly
12
Q
A
  1. Superior mesenteric artery
  2. Superior mesenteric vein
  3. Lt. renal vein
  4. Rt. renal artery
  5. Upper pole right kidney
How well did you know this?
1
Not at all
2
3
4
5
Perfectly
13
Q
A
  1. Transversus abdominus muscle
  2. Lt. Internal abdominal oblique M
  3. Lt. External abdominal oblique M
  4. Rectus Abdominus
  5. Rt. Renal A
  6. Lt. Renal A
  7. Lt. Renal V
  8. Superior mesenteric A
  9. Superior mesenteric V
How well did you know this?
1
Not at all
2
3
4
5
Perfectly
14
Q
A
  1. Rt. renal A
  2. Lt. renal V
  3. Superior mesenteric A
  4. Superior mesenteric V
  5. Transverse colon
  6. Inferior Vena Cava
  7. Abdominal Aorta
How well did you know this?
1
Not at all
2
3
4
5
Perfectly
15
Q
A
  1. Transverse colon
  2. Ascending colon
  3. Loops of small bowel
  4. Rt. renal V
  5. Superior mesenteric A
  6. Superior mesenteric V
  7. Psoas major M
How well did you know this?
1
Not at all
2
3
4
5
Perfectly
16
Q
A
  1. Transverse colon
  2. Ascending colon
  3. Rt renal pelvis
17
Q
A
  1. Inferior mesenteric A*

*very small and can just been seen coming off the

abdominal aorta

  1. Rt. ureter
18
Q
A
  1. Inferior mesenteric A
  2. Cecum of colon
  3. Lower pole of the Lt. kidney