Abnormal accumulations & calcifications Flashcards

(40 cards)

1
Q

Intracellular accumulation:

Type 1

A

Normal endogenous products are made at normal or increased rates & metabolism is not fast enough to remove it

How well did you know this?
1
Not at all
2
3
4
5
Perfectly
2
Q

Intracellular accumulation:

Type 2

A

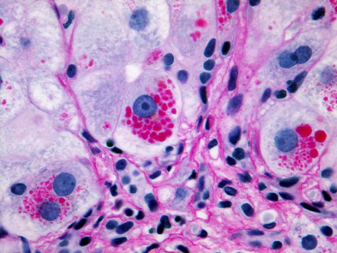
Abnormal accumulation of endogenous product because of defects in protein folding & transport or the cell can’t degrade the protein

How well did you know this?
1
Not at all
2
3
4
5
Perfectly
3
Q

Intracellular accumulation:

Type 3

A

A normal endogenous substance accumulates because of inherited defects in enzymes that are needed for metabolism of the substance

How well did you know this?
1
Not at all
2
3
4
5
Perfectly
4
Q

Intracellular accumulation:

Type 4

A

Build-up and deposition of an abnormal exogenous substance when the cell doesn’t have enzymatic machinery to degrade the substance or the ability to move it to other sites

How well did you know this?
1
Not at all
2
3
4
5
Perfectly
5
Q

What type of Intracellular accumulation type explains hepatic steatosis (fatty liver)

A

Type 1

How well did you know this?
1
Not at all
2
3
4
5
Perfectly
6
Q

Alpha1 antitrypsin deficiency is what kind of intracellular accumulation type?

A

Type 2

How well did you know this?
1
Not at all
2
3
4
5
Perfectly
7
Q

Tay Sachs & Gauchers disease are both what type of intracellular accumulation

A

type 3

How well did you know this?
1
Not at all
2
3
4
5
Perfectly
8
Q

Accumulation of carbon, silica, or asbestos are examples of what type of intracellular accumulation?

A

Type 4

How well did you know this?
1
Not at all
2
3
4
5
Perfectly
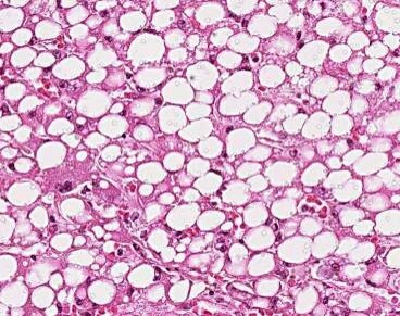
9
Q

Describe steatosis (fatty change)

A

An abnormal accumulation of triglycerides in the parenchyma of the liver, heart, muscle, or kidneys

Common causes are:
- alcoholism
- obesity
-diabetes

How well did you know this?
1
Not at all
2
3
4
5
Perfectly
10
Q

Alcohol induced fatty liver:

Describe the process

A
  1. Alcohol dehydrogenase & acetaldehyde dehydrogenase switch to shunting normal substrates to lipid synthesis (more NADH)
  2. More peripheral fat catabolism by activated hormone sensitive lipase (high blood LDLs)
  3. Impaired assembly and secretion of lipoproteins
How well did you know this?
1
Not at all
2
3
4
5
Perfectly
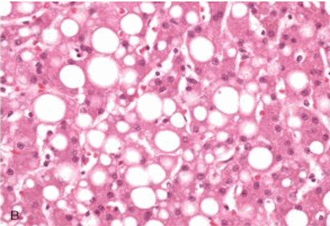
11
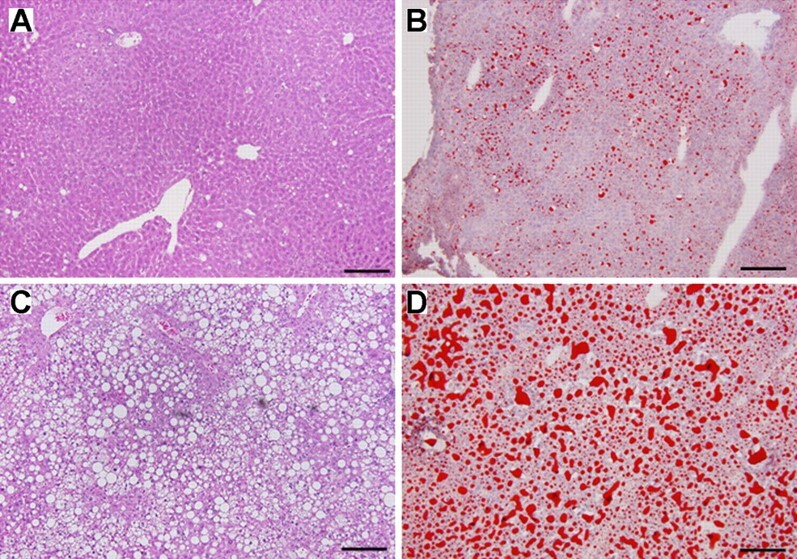
Q

The H&E and Oil red O staining show what condition?

A

Hepatic steatosis

How well did you know this?
1
Not at all
2
3
4
5
Perfectly
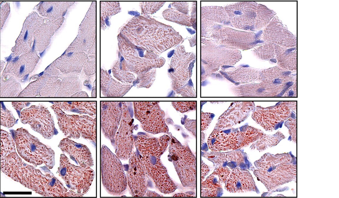
12
Q

Top of the histo slide shows _______
Bottom shows ________

A

diabetic/obesity induced intramyocardial lipid accumulation

How well did you know this?
1
Not at all
2
3
4
5
Perfectly
13
Q

The following histo slide shows what kind on intracellular body

A

Alcoholic hyaline (aka Mallory bodies) an accumulation fo cytoskeletal proteins in the liver cells common in alcoholic hepatitis

How well did you know this?
1
Not at all
2
3
4
5
Perfectly
14
Q

Describe the histo slide details

A

Xanthomas, an accumulation of cholesterol filled macrophages (foam cells) in subendothelial tissue and connective tissue because of hereditary hyperlipidemic states

How well did you know this?
1
Not at all
2
3
4
5
Perfectly
15
Q

Describe LDL catabolism without the presence of PCSK9

A
  1. When there’s no PCSK9, LDLR are made/inserted on hepatocytes membrane where it binds circulating LDL.
  2. LDLR-LDL complex enters the hepatocyte and disassociates in an endosome, so LDL can enter the lysosomal pathway (degraded) while LDLR is recycled
How well did you know this?
1
Not at all
2
3
4
5
Perfectly
16
Q

Describe LDL catabolism with the presence of PCSK9

A
  1. When PCSK9 is there it interacts with hepatocytes to blocks LDLR by entering the endosome and stopping LDLR-LDL dissociation
How well did you know this?
1
Not at all
2
3
4
5
Perfectly
17
Q

Describe LDL catabolism in the presence of PCSK9 & Ab(PCSK99)

A

When the body secretes anti-bodies against PCSK9 normal LDLR-LDL degradation happens

18
Q

Describe LDL catabolism in the presence of PCSK9, Ab(PCSK9), & Statin (drugs)

A
  1. Statins lower cell cholesterol thereby triggering SREBP genes to increase expression of PCSK9 & LDLRs
  2. Because Abs against PCSK9 are also there, LDLR-LDL’s can bind and are taken up faster with more LDLR recycling and LDL
19
Q

Intracellular accumulation of cholesterols and cholesterol esters:

Descried the lightly stained cells in the slide

A

Foam cells (aka lipid laden macrophages)

20
Q

This histo slide shows accumulation of what?

A

Cholesterol crystals

21
Q

Describe the features of Nieman-Pick disease (Type C)

A

An Auto REC condition due to mutations in the NPC1/2 genes involved in cholesterol trafficking via the endosomal lysosomal system (aka moving free cholesterol from lysosomes to cytoplasm).

It presents in childhood and the accumulation of cholesterol & glycosphingolipids in lysosomes causes ataxia, stuck looking up (vertical supranuclear gas palsy), dystonia, dysarthria, & psychomotor regression

22
Q

Describe the features of a1-antitrypsin deficiency

A

Heterozygous (PiMZ) & homozygous (PiZZ) present with mod-severe deficiencies respectively

Structural mutation in glycoprotein (lysine replaces glutamic acid @ 342) causes mutated variants of proteins that can’t migrate from the ER to the Golgi and accumulate in the ER as hyaline globules

23
Q

Histo slide suggests what condition?

A

a1-antrypsin deficiency

24
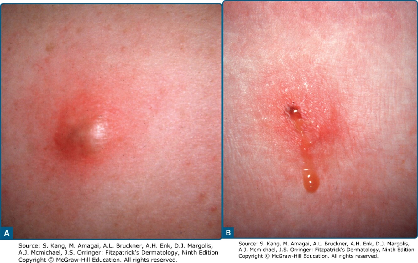
Q

Patient presents with a fluctuant abscess and when it’s excised for biopsy the discharge is an oily material. What is the condition?

A

a1-antitrypsin deficiency-associated panniculitis

25
The following histo slide describes what type of intracellular accumulation
Russel bodies (Intracell accumulation of immunoglobins) This happens when too much normal protein is made that it builds up in the ER and distends it looking like large eosinophilic inclusions
26
Describe Lipofuscin
The wear & tear pigment, it's the byproduct of lipid peroxidation & aging. It looks yellow-brown and typically happens in the liver and heart
27
Pathological forms of calcifications: Describe Dystrophic calcification
When Ca2+ is deposited in injured/abnormal necrotic tissue. It presents with NORMAL serum Ca2+
28
Pathological forms of calcifications: Describe the process of dystrophic calcification
Damaegd/necrotic cells release phosphate, Ca2+ comes and bind it to make Calcium phosphate which can then be stained with H&E (very basophilic)
29
Fat necrosis & saponification are an example of which type of pathological calcification accumulation?
Dystrophic
30
chronic pancreatic calcification, calcified atherosclerotic plaques, & periventricular calcification in CMV infection are considered which type of pathological calcification?
Dystrophic
31
Psammoma bodies are indicative of what type of cancer and are the result of which type of pathological calcification?
Meningioma is the cancer & dystrophic calcification is the pathology
32
Papillary cancer of thyroid, Ovarian serous cystadenocarcinoma, Meningiomas, & mesothelioma are all classified as which type of abnormal accumulation of calcium
Dystrophic calcification
33
Patient presents with pain, jaundice, & elevated pancreatic enzymes. X-ray shows the following, what is the condition?
Dystrophic calcification in chronic pancreatitis
34
84 yr old man dies upon autopsy his heart valves look like this, what is the underlying cause of death?
Dystrophic calcification causing aortic stenosis
35
This CT is indicative of what type of infection? & what type of accumulation is present?
CMV infection & dystrophic calcification
36
Pathological forms of calcifications: Describe Metastatic calcification
It is deposition of Ca2+ into NORMAL tissues because of HYPERCALCEMIA (elevated serum Ca2+)
37
Pathological forms of calcifications: Describe the process of metastatic calcification.
Increased levels of PTH can come from: - Parathyroid tumors - Ectopic secretions from malignant tumors - Normal bone reabsorption  - Hyperparathyroidism - Myeloma/Leukemia - Paget disease - Renal failure
38
Pathological forms of calcifications: Describe how renal failure lead to metastatic calcification.
Renal failure leads to phosphate retention leading to secondary hyperparathyroidism which pushes Ca2+ to enter normal tissue
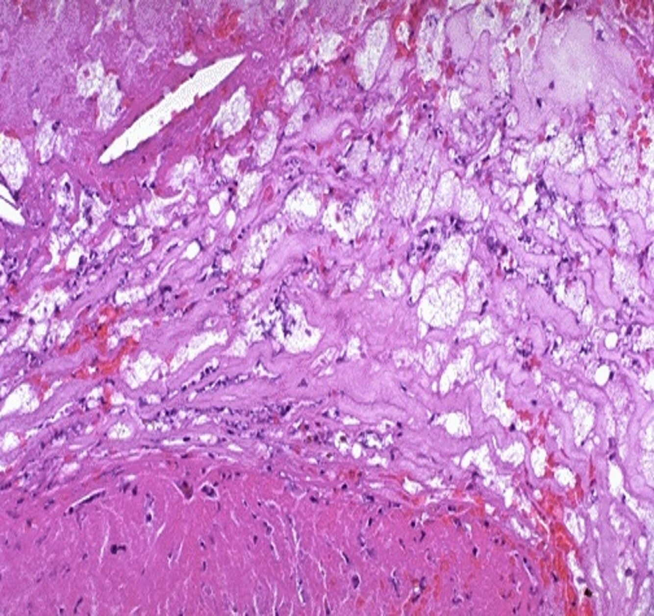
39
The following histo slide describes what type of accumulation within the alveoli
Metastatic calcification
40
The following histo slide describes what type of accumulation within glomerular/tubular basement membrane of the kidney?
Metastatic calcifications