Abnormalities Flashcards

(65 cards)

1
Q

6 types of abnormalities of the teeth

A

Abnormalities in the:

  • Number of teeth
  • Size of teeth
  • Shape of teeth
  • Eruption of teeth
  • Structure of teeth
  • Acquired abnormalities
How well did you know this?
1
Not at all
2
3
4
5
Perfectly
2
Q

2 types of abnormalities of the number of teeth

A

Increased number of teeth

Reduced number of teeth

How well did you know this?
1
Not at all
2
3
4
5
Perfectly
3
Q

4 types of abnormalities resulting in increased number of teeth

A
  • Supernumary - supplemental
  • Mesiodens
  • Paramolar
  • Distomolar - distodens
How well did you know this?
1
Not at all
2
3
4
5
Perfectly
4
Q

3 types of abnormalities resulting in reduced number of teeth

A
  • Hypodontia
  • Oligodontia
  • Anodontia
How well did you know this?
1
Not at all
2
3
4
5
Perfectly
5
Q

Where do multiple supernumary teeth more commonly occur?

A

In the mandible

How well did you know this?
1
Not at all
2
3
4
5
Perfectly
6
Q

Where do single supernumary teeth more commonly occur?

A

Maxilla

How well did you know this?
1
Not at all
2
3
4
5
Perfectly
7
Q

Define supernumaries

A

Additional teeth that are smaller and misshapened

How well did you know this?
1
Not at all
2
3
4
5
Perfectly
8
Q

Define supplemental teeth

A

Additional teeth of normal size and shape

How well did you know this?
1
Not at all
2
3
4
5
Perfectly
9
Q

Define paramolar

A

Supernumary tooth in the molar region

How well did you know this?
1
Not at all
2
3
4
5
Perfectly
10
Q

Define distomolar or distodens

A

Supernumary tooth occuring distal to to the third molar

How well did you know this?
1
Not at all
2
3
4
5
Perfectly
11
Q

Define peridens

A

Supernumary tooth that erupts to the bucaal or lingual of the arch

How well did you know this?
1
Not at all
2
3
4
5
Perfectly
12
Q

Useful imaging technique for detecting location of supernumary teeth in the mandible

A

Occlusal

How well did you know this?
1
Not at all
2
3
4
5
Perfectly
13
Q

Radiographic examination technique that is useful to determine the location of supernumary teeth location in the maxilla

A

SLOB rule

How well did you know this?
1
Not at all
2
3
4
5
Perfectly
14
Q

Define mesiodens

A

Supernumary tooth that develops on the maxillary midline

How well did you know this?
1
Not at all
2
3
4
5
Perfectly
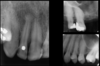
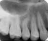
15
Q

Describe the characteristics of mesiodens (6)

A
  • Can prevent the eruption of central incisors
  • Small tooth in a vertical, inverted or horizontal position
  • Normal density of teeth
  • Usually more palatal
  • PDL space and lamina dura present
  • Normal tooth architecture
How well did you know this?
1
Not at all
2
3
4
5
Perfectly
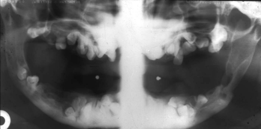
16
Q

4 skull abnormalities of cleidocranial dysplasia

A
  • Brachycephaly (reduced AP, increased width)
  • Delayed closure or open fontanelles
  • Open sutures
  • Wormian bones
How well did you know this?
1
Not at all
2
3
4
5
Perfectly
17
Q

Maxillary abnormality associated with cleidocranial dysplasia

A

Maxillary micrognathia:

  • Maxillary hypoplasia
  • Hypoplasia of maxillary sinuses
How well did you know this?
1
Not at all
2
3
4
5
Perfectly
18
Q

3 radiographic findings of cleidocranial dysplasia

A
  • Prolonged retention of deciduous teeth
  • Mulitple unerupted supernamary teeth resembling premolars
  • Maxillary hypoplasia
How well did you know this?
1
Not at all
2
3
4
5
Perfectly
19
Q

4 commonly missing teeth based in decreasing order of frequency

A
  1. 3rd molars
  2. 2nd premolars
  3. Maxillary laterals
  4. Mandibular central incisors
How well did you know this?
1
Not at all
2
3
4
5
Perfectly
20
Q

3 characteristics of hypohydrotic ectodermal dysplasia

A
  • Hypohydrosis (abnormally diminished perspiration)
  • Hypotrichosis
  • Hypodontia with conical teeth
How well did you know this?
1
Not at all
2
3
4
5
Perfectly
21
Q

Most frequently affected tooth by microdontia

A

Peg lateral incisor

How well did you know this?
1
Not at all
2
3
4
5
Perfectly
22
Q

Syndrome in which generalized micodontia can occur

A

Trisomy 21

How well did you know this?
1
Not at all
2
3
4
5
Perfectly
23
Q

Differential diagnoses for macrodontia

A

Fusion or gemination

How well did you know this?
1
Not at all
2
3
4
5
Perfectly
24
Q

Define talon cusp

A

T-shaped incisor edge due to a hyperplasia of the cingulum

How well did you know this?
1
Not at all
2
3
4
5
Perfectly
25
Radiographic appearance of talon cusps
* Pulp horn may be seen extending into the cusp * Well-defined radiopacity superimposed over the crown
26
Differential diagnosis for talon cusp
Mesiodens
27
Define dilaceration
Curved root that can compromise the success of endodontic therapy or complicate extractions
28
5 characteristics of taurodontism
* Found on molars * Single or multiple teeth * Unilateral or bilateral * Extension of the pulp chamber, shorter roots * Increased distance between CEJ and furcation
29
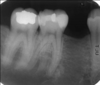
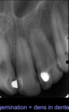
2 teeth most commonly affected by dens invaginatus (dens in dente)
Permanent maxillary lateral incisor Maxillary central incisor
30
3 characteristics of dens invaginatus
* Prominent palatal marginal ridges or cingulus, deep cingulum pit * Thin enamel in the invagination * A lot of variation in the severity of involvement
31
Importance of recognizing dens invaginatus radiographically
To prophylactically restore the pit and prevent endodontic therapy
32
Tooth most commonly affected by dens evaginatus
Mandibular premolar (Leong's premolar)
33
2 characteristics of dens evaginatus
Enamel covered tubercle on the occlusal surface with pulp horn Most often occurs in people of mongoloid origin
34
Risk of dens evaginatus
Tubercle is removed by attrition --\> Micro pulp exposure on a virgin tooth, pulp necrosis and possible periapical radiolucency
35
Define fusion
Fusion of 2 teeth --\> reduced number of teeth on the arch. Important to examine radiographically to reveal extent of fusion and decide on management
36
4 forms of fusion
* One large tooth * Bifid crowns with one root * 2 teeth united by dentin * Rarely, 2 teeth united by enamel
37
Define gemination
Division of a tooth bud of a single tooth --\> normal number of teeth on the arch Deciduous \> permanent Important to examine radiographically to reveal extent to decide on management
38
3 forms of gemination
* One large crown * Crown divided by a groove * 2 crowns with pulp chamber can be enlarged, but single, partially divided
39
Define concrescence
Roots of 2 teeth united by cementum. Teeth can fail to erupt or would be difficult to extract. PDL space is absent where the roots are fused. Several radiographcs me need to be taken to separate teeth
40
Teeth most commonly affected by concrescence
Maxillary molars
41
Define supernumary roots
Variation in the number of roots of teeth. Has some significance if an endodontic treatment is required
42
Define transposition
2 teeth exchange positions
43
Define secondary dentin
Deposition of new dentin after the formation of primary dentin, which are indistinguishable from each other. Normal process associated with aging. No consequence other than making endodontic therapy difficult if necessary
44
Radiographic appearance of secondary dentin
Reduction in the size of the pulp chamber and canal, loss of pulp horns
45
Define attrition
Flattening of the occlusal surface. Shortening of the height of the crown --\> deposition of secondary dentin that reduces the size of the pulp chamber
46
Importance of the radiographic detection of attrition
To detect a possible periapical radiolucency associated witha necrotic pulp when attrition is severe
47
Radiographic appearance of abrasion/ abfraction
Usually seen on canines and premolars as a triangular radiolucency at the inferior aspect of the crown. Important to detect in case of periapical radiolucency with necrotic pulp when abrasion is severe
48
Define pulp stones
Foci of calcification in the pulp chamber. No consequence other than making endodontic therapy difficult if necessary
49
Radiographic appearance of pulp stones
Only large stones visible. One or more multiple round or ovoid radiopacities in the pulp chamber or canal
50
Define pulp sclerosis
Diffuse type of pulp calcification that increases with age
51
Radiographic appearance of pulp sclerosis
Diffuse irregular radiopacities in the pulp chamber and canals
52
Define hypercementosis
Excessive deposition of cementum on the tooth root
53
3 situations in which hypercementosis occurs
* Supraerupted tooth * Inflammation * Hyperocclusion
54
Condition where generalized hypercementosis is seen
Paget's disease
55
Radiographic appearance of hypercementosis
Excessive amounts of cementum on the root. Cementum = less radiopaque than dentin. PDL and lamina dura around excessive cement.
56
4 types of amelogenesis imperfecta
* Hypoplastic * Hypomaturation * Hypocalcified * Hypomaturation (hypocalcified with taurodontism)
57
4 possible characteristics of amelogenesis imperfecta
* Square shape of crowns * Absent or thin enamel * Enamel of normal thickness but more radiolucent * Pitted enamel
58
2 types of dentinogenesis imperfecta
* Type I with osteogenesis imperfecta (skeletal defects) * Type II affects only the teeth
59
Clinical appearance of dentinogenesis imperfecta
Teeth are yellow to grey with an amber-like translucency
60
Radiographic appearance of dentinogenesis imperfecta
* Normal crowns appear bulbous because of a constriction at the CEJ * Obliteration of the pulp chambers
61
Clinical appearance of dentin dysplasia type I radicular
Normal color and shape of the teeth
62
radiographic appearance of dentin dysplasia type I radicular
* Short and abnormal shape of roots * Obliteration of the pulp chambers of the teeth before their eruption * Periapical radiolucencies
63
Clinical appearance of dentin dysplasia type II coronal
Teeth have the appearance of dentinogenesis imperfecta
64
Radiographic appearance of dentin dysplasia type II coronal (4)
* Normal size and shape of the roots * Obliteration of the pulp chambers of the teeth after their eruption * Pulp calcifications * Flame or thistle-tube pulp chambers
65
Define regional odontodysplasi
Defect of anemal and dentin affecting a few adjacent teeth and not all teeth