What is an abscess?
A collection of pus; a complication of acute inflammation

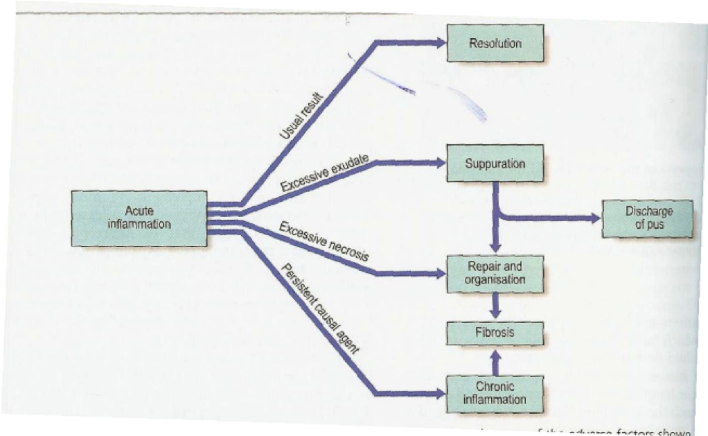
What is acute inflammation?
The initial tissue reaction to injury
What are the 4 signs of acute inflammation?
–Rubor (redness)
–Calor (heat)
–Tumor (swelling)
–Dolor (pain)
–Functio laesa (loss of function)
What are the 3 phases of AI?
What vascular changes occur during AI?
Initial vasoconstriction followed by dilation and increased vascular permeability
What is extravasation of WBCs?
The movement of leukocytes out of the circulatory system and towards the site of tissue damage or infection.
Describe the process of extravasation of WBCs?
Blood vessel dilation diagram

What is opsonisation mediated by?
IgG or C3
Describe pathway of phagocytosis
What is rubor (redness) in AI caused by?
Vasodilation
What is calor (heat) in AI caused by?
Caused by hyperaemia (an excess of blood in the vessels) and systemic increase in temperature due to cytokines
What is tumor (swelling) in AI caused by?
Caused by localised oedema
What is dolor (pain) in AI caused by?
Caused by to cytokines (bradykinin, serotonin, prostaglandins) and physical pressure
What is functio laesa (loss of function) in AI caused by?
Caused by pain and swelling
What is suppuration?
The formation of pus:
What is suppuration usually due to?
A bacterium (pyogenic bacteria)
What can suppuration form?
An abscess - a collection of pus in the body eg. in an organ, soft tissue, skin
Are abscesses accessible to antibiotics?
No
How are abscesses usually managed?
Incision and drainage
What does granulation tissue contain?
Capillaries, oedema, white cells and fibroblasts

How is angiogenesis involved in healing and repair?
Plays a crucial role in wound healing by forming new blood vessels from preexisting vessels by invading the wound clot and organising in to a microvascular network throughout the granulation tissue
What is VEGF?
Vascular endothelial growth factor (VEGF) is a signalling protein that promotes the growth of new blood vessels.
What is ‘organisation’?
When resolution and regeneration are not possible, necrotic cells are replaced with collagen; this is termed organisation, or repair by scar formation.