What age group is at greatest risk for developing PDPH?
Patients age 20 to 40.
Where does the dural sac terminate in infants?
As low as S3
(which means that intrathecal injection during a caudal which is typically done at level S4-S5 is a possible complication)
How does total spinal block initially present in an infant?
Apnea, immobility WITHOUT initial change in HR or BP.
The hemodynamic stability is proposed to occur due to the relatively low sympathetic tone present in an infant compared with that in an adult. Bradycardia can develop but would most likely be delayed and assocaited with the development of hypoxemia.
Point out the findings and make the diagnosis.

Evolving inferoposterolateral infarction (STEMI).

In the event percutanous intervention is unavailable to treat an acute STEMI, what should the next-line intervention be?
Thrombolytic therapy, if appropriate.
Coronary bypass is not recommended in the setting of an acute STEMI and may even be harmful.
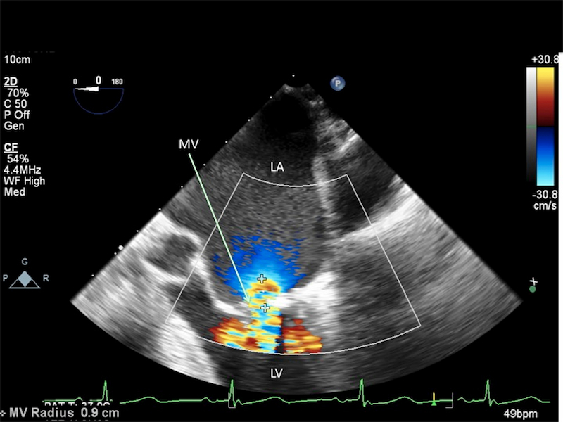
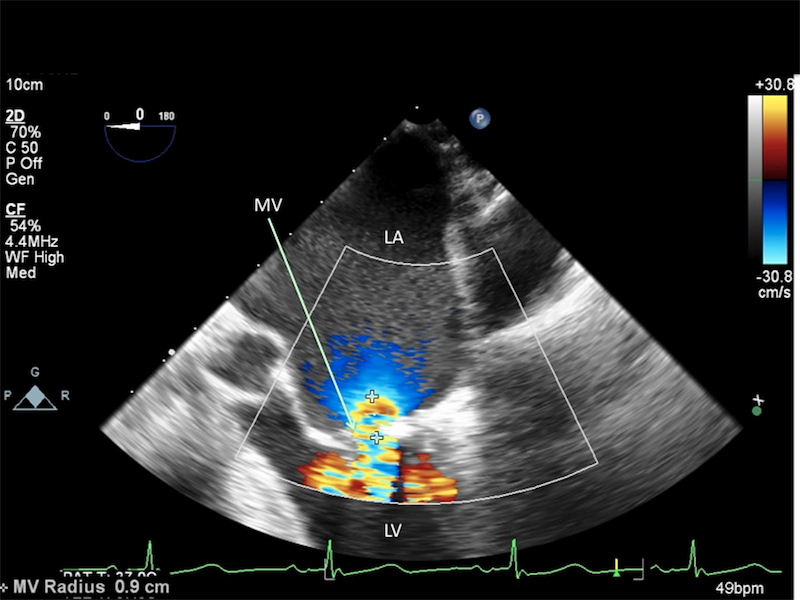
Make the diagnosis and describe the findings.

Mitral stenosis
Transesophageal echocardiogram 2-dimensional midesophageal view of mitral stenosis. Mitral valve (MV) with minimal opening during diastole. Flow acceleration of color Doppler indicates significant left atrium (LA) to left ventricular (LV) gradient. This patient requires a prolonged diastolic phase for adequate LV filling and ultimately cardiac output.

How does mitral stenosis affect PAOP?
PAOP will be overestimated.
Define rheobase.
the minimum current intensity necessary to depolarize a nerve
Define chronaxie
the minimum duration of the electrical stimulus when the intensity is twice the rheobase
Why is it that a nerve stimulator can elicit a motor response without inducing pain or paresthesia? (Give the answer in terms of chronaxie and rheobase).
The ability to elicit a motor response without inducing pain or paresthesia is due to the fact that the chronaxy in motor nerves (A-alpha fibers) is lower than that of sensory nerves (A-delta and C fibers).
What does the phrase accomodation of an electrical stimulus mean in the context of nerve-stimulation guided regional techniques?
Accommodation occurs when a subthreshold stimulus inactivates sodium conductance before stimulation threshold is achieved. This may result in the inability of a properly positioned needle to stimulate the nerve fiber. A square wave stimulus is used to minimize the likelihood of accommodation.
Which electrode (cathode or anode) will more easily elicit a motor response?
Cathode
Using the cathode requires significantly less current to elicit a motor response.
How does insulation of an peripheral nerve electric stimulating needle change the properties of the needle?
Insulation of the stimulating needle focuses the current density at the tip of the needle. This results in the ability to use a lower current to stimulate the nerve.
Use of an uninsulated needle has been demonstrated to produce a motor response even when the tip of the needle is as much as 0.8 cm beyond the nerve.
What is perhaps the most common physical finding in patients with SLE?
Pericarditis.
78% of all SLE patients have pericarditis.
Slightly over 50% of all SLE patients have asymptomatic pericarditis and roughly an additional 25% become symptomatic.
(Put another way, nearly 80% of SLE patient have pericarditis and of those, 1/3 will have symptoms of pericarditis)
What are side effects of cyclophosphamide?
What drugs commonly used for lupus-related sequelae can cause myelosuppression?
What are side effects of azathioprine?
What are side effects of methotrexate?
What are side effects of hydroxychloroquine?
Name two thienopyridine drugs.
What is the mechanism of action of clopidogrel and ticlopidine?
These two thienopyridine drugs inhibit ADP receptors on platelets.
What is the mechanism of action of dipyridamole?
This antiplatelet agent inhibits the uptake of adenosine into platelets.
What is the mechanism of action of aspirin’s antiplatelet activity?
Aspiring inhibits the conversion of arachidone acid to thromboxane A2 by cyclooxygenase 1.
What is the mechanism of action of tirofiban?
Tirofiban is an antiplatelet drug that competitively inhibits glycoprotein IIb/IIIa receptors.