Acné Flashcards

(14 cards)

1
Q

Que se encuentra enfermo en el acné?

A
  • Enfermedad crónica de la unidad pilosebácea
How well did you know this?
1
Not at all
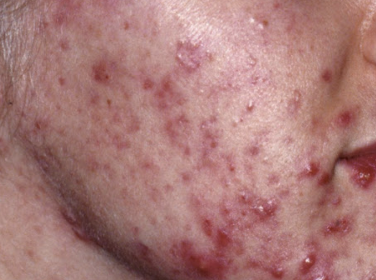
2
3
4
5
Perfectly
2
Q

Edad promedio de inicio :

A
  • 11.7 años
How well did you know this?
1
Not at all
2
3
4
5
Perfectly
3
Q

Microorganismo encargado más común:

A
  • Propinebacterium acnes
How well did you know this?
1
Not at all
2
3
4
5
Perfectly
4
Q

Cual es la lesión ELEMENTAL del acné?

A

Comedón / punto negro

How well did you know this?
1
Not at all
2
3
4
5
Perfectly
5
Q

Qué cicatrices puede dejar el acné?

A
  • Icepick / apróficas: hacia abajo
  • Hipertróficas
  • Queloides
How well did you know this?
1
Not at all
2
3
4
5
Perfectly
6
Q

Clasificación del acné por AAD:

A
  • Inflamatorio
    • Leve, moderado y severo
  • No inflamatorio
  • Formas especiales
How well did you know this?
1
Not at all
2
3
4
5
Perfectly
7
Q

Factores predisponentes:

A
  • Genética: 78%
  • Tabaquismo
  • Dieta: alto índice glucémico
How well did you know this?
1
Not at all
2
3
4
5
Perfectly
8
Q

Tratamiento acné comedónico:

A
  • Retinoides: exfoliación química –> tretinoina
  • Antimicrobianos: peroxido de benzoíla
  • Otros: Ác. salicílico
How well did you know this?
1
Not at all
2
3
4
5
Perfectly
9
Q

Los anticonceptivos orales son una opción terapéutica?

A
  • No, en todo caso los que tiene un efecto antiandrogénico. Aún así, no es una opción real.
How well did you know this?
1
Not at all
2
3
4
5
Perfectly
10
Q

Qué modalidad de acné es esta?

A
  • Papulopustulosa
How well did you know this?
1
Not at all
2
3
4
5
Perfectly
11
Q

Qué modalidad de acné es esta?

A
  • Nodulo/quístico
How well did you know this?
1
Not at all
2
3
4
5
Perfectly
12
Q

En la presentación moderada del nódulo/quístico, el tratamiento ese modifica de la siguiente forma:

A
  • AB orales –> tetraciclinas
  • Descartar alteraciones metabólicas
  • Isotretinoina: disminuye actividad de sebocito
How well did you know this?
1
Not at all
2
3
4
5
Perfectly
13
Q

Es una forma particularmente grave del nódulo/quístico:

A
  • Acné conglobata
  • Cara cuello y tronco, 15-25
  • Sotetinoina 0.5-1mg
How well did you know this?
1
Not at all
2
3
4
5
Perfectly
14
Q

Clasificación de Pillsbury:

A
  • Grado 1: comedones y quistes pequeños confinados a cara
  • Grado 4: Muchos comedones y lesiones profundas coalescentes, en cara y tórax .
How well did you know this?
1
Not at all
2
3
4
5
Perfectly