Qu’est-ce que l’acnée vulgaire?
C’est un synonyme de l’acné juvénile. C’est une dermatose inflammatoire des follicules pilo-sébacés, donc une inflammation de la glande sébacée.
C’est assez fréquent, on en voit chez 85% des individus de 12-24 ans, et chez 15-35% des adultes (F>>H) entre 30 et 40 ans.
L’acnée est assez importante car elle peut causer des cicatrices et/ou avoir des répercussions psychosociales, comme de l’anxiété, de la dépression et un isolement social.

Quelle est la pathogénèse de l’acnée vulgaire?
C’est une pathogénèse multifactorielle impliquant quatre
facteurs principaux:

En quoi consiste les anomalies de kératinisation et l’obstruction des follicules pilo-sébacés?
Il y a une kératinisation anormale des cellules du follicule avec un retard de desquamation et une cohésion accrue. Cela cause une formation de bouchon corné à la sortie du follicule pileux, ce qui crée des microcomédons, comédons ouverts et fermés (accumulation de cornéocytes)

En quoi consiste la stimulation hormonale et la production accrue de sébum?
Il y a une augmentation des androgènes surrénaliens et gonadiques, ce qui cause une stimulation de la production de sébum. Il y a donc une hyperséborrhée (peau grasse). La stimulation hormonale est vraiment le facteur premier; si on n’a pas d’hormone, on n’a pas d’acnée.
La composition du sébum est de:

Qu’est-ce que le Propionibacterium acnes?
C’est un bacille gram +, anaérobe, de la flore normale du follicule pileux
Dans l’acné, l’excès de sébum et l’accumulation de cornéocytes permettent la prolifération de P acnes. Il y a une production de lipases bactériennes qui transforment les TG du sébum en AG libres, qui induisent l’inflammation, la production de médiateurs pro-inflammatoires (IL-1, TNF-alpha)
P. acnes libère aussi des enzymes protéolytiques et des facteurs chimiotactiques qui stimulent davantage l’inflammation et le recrutement de neutrophiles.
Le P. acnes vient donc défaire l’équilibre
Enfin, en quoi consiste l’inflammation (4e étape) de l’acnée vulgaire?
Il y a un recrutement intense de neutrophiles qui ingèrent les bactéries, ce qui va libérer des enzymes hydrolytiques. Cela va causer une rupture de la paroi folliculaire et alimenter l’inflammation intense et la réaction à un corps étranger

Donc peut-on faire une petite recap de la pathogénèse de l’acnée vulgaire?

Quelles sont les lésions caractéristiques de l’acnée vulgaire?
Il y a 3 principaux types de lésions dans l’acnée :
1. Lésions obstructives
2. Lésions inflammatoire
3. Cicatrices
Les principales zones affectées par l’acnée sont les zones riches en unités pilo-sébacées, soit le visage, la poitrine, le dos et les épaules.
Qu’est-ce qu’un comédon?
C’est une accumulation excessive de sébum, sécrété par la glande sébacée, et remplissant le pore de la peau.
Il peut être de trois types :
Qu’est-ce?

Comédon
Qu’est-ce?

Papule, pustule, nodule
Qu’est-ce?

Kystes. Rouge = inflammatoire, couleur peau = non inflammatoire
Qu’est-ce?

Cicatrices atrophiques d’acnée
Qu’est-ce?

Cicatrices hypertrophiques et chéloïdiennes. Elles peuvent être prurigineuses
Qu’est-ce?

Cicatrices hypertrophiques et chéloïdiennes d’acnée
Qu’est-ce?

Cicatrices hyperpigmentées d’acnée
Quels sont les 4 stades de l’acnée vulgaire?
Stade I
Stade II
Stade III
Stade IV
À quel stade est cet acné?

Stade I : acné légère
Quel est le niveau de cet acné?

Stade II : légère à modérée
Quel est le niveau de cet acné?

Modéré
Quel est le niveau de cet acné?

Modéré
Quelle est la sévérité de cette acnée?

Sévère
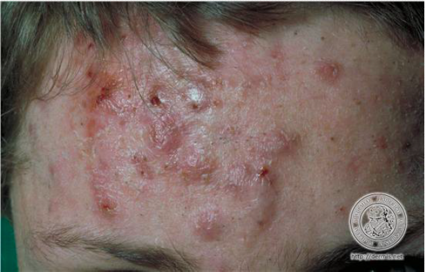
Quelle est la sévérité de cette acnée?

Sévère
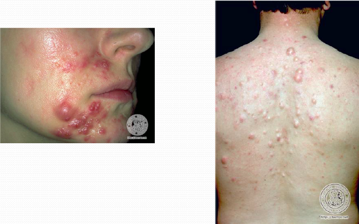
Quelle est la sévérité de cet acné?

Sévère