What are the main acquired bleeding disorders?
What is the function of vitamin K?
Vitamin K is necessary for the γ-carboxylation of glutamic acid residues on coagulation factors II, VII, IX and X and on proteins C and S. Without it, these factors cannot bind calcium that makes them active

What are causes of vitamin K deficiency?
What would you find on investigation of clotting screen in someone with Vitamin K deficiency?
What are features of vitamin K deficiency?
What causes vitamin K deficiency in newborn babies?
Classical haemorrhagic disease of the newborn
How does liver disease cause defects in haemostasis?
Why does thrombocytopenia occur in liver failure?
Results from hypersplenism due to splenomegaly associated with portal hypertension or from folic acid deficiency.
What causes vitamin K deficiency in liver failure?
Occurs owing to intrahepatic or extrahepatic cholestasis.
What is Disseminated Intravascular Coagulopathy?
A common state in which a combination of haemorrhage and thrombosis complicates another disorder. Activation of coagulation leads to the formation of microthrombi in numerous organs and to the consumption of clotting factors and platelets in the process of clot formation, in turn leading to a haemorrhagic diathesis.
What are causes of DIC?
What are obstetric causes of DIC?
What are traumatic causes of DIC?
What is the pathogenesis of DIC?
Centres on the enhanced generation of thrombin. Factors contributing to the process include increased TF expression, suboptimal function of natural anticoagulants and dysregulation of fibrinolysis. This dysregulated activity results in the production of plasmin, which causes digestion of fibrin and fibrinogen-generating split products (fibrinogen and fibrin degradation products; FDP), which themselves have an anticoagulant and anti-platelet effect and contribute to the haemorrhagic diathesis.
Thrombi, composed of platelets and fibrin, may be found in the microvasculature of brain, lungs, kidneys, heart, spleen and liver.
What are features of DIC?
Patient is often acutely ill and shocked
Presentation varies
Where does bleeding most commonly occur in DIC?
What are the most commonly involved organs in DIC?
What investigations would you do if you suspected DIC?
What might you find on investigation of PT in DIC?
Increased PT
What might you find on investigation of APTT in DIC?
Increased APTT
What might you find when investigating FBC in DIC?
Decreased platelets
What might you find on investigation of D-Dimer in DIC?
Greatly increased D-Dimer
What might you find on investigation of fibrinogen levels in someone with DIC?
Decreased fibrinogen - correlates with severity
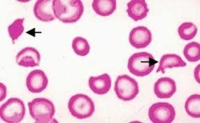
What might you find on blood film in someone with DIC?
Schistocytes - Microangiopathic haemolysis
