What is the definition of Acute Abdomen?
Sudden onset of severe abdominal pain
What are the Acute Abdomen syndromes that require laparotomy? (2 things)
What are the Acute Abdomen syndromes that DO NOT require laparotomy? (2 things)
What are the organs that rupture in Acute Abdomen that will require laparotomy? (3 things)
What is the leading signs of organ rupture in Acute Abdomen? (2 things)
What are the causes of Peritonitis?
Perforation of
What are the signs of Peritonitis? (5 things)
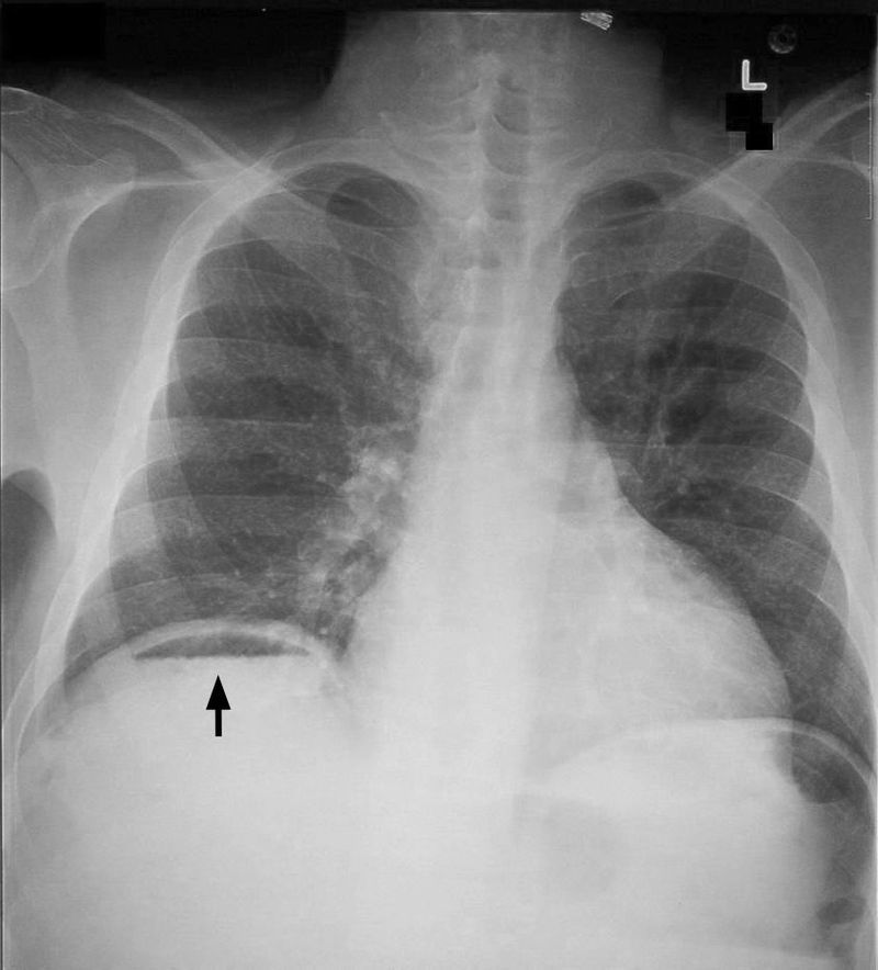
What may a CXR of Peritonitis show?
Gas under diaphragm
(aka Pneumoperitonuem)

How do you differentiate between Peritonitis and Acute Pancreatitis?
Both show same signs
BUT
Acute Pancreatitis DOES NOT require laparotomy
+ Serum Amylase in Pancreatitis will be HIGH
What are the causes of Local Peritonitis? (4 things)
When should a CT / US be done for Local Peritonitis?
When abscess formation suspected (swelling / swinging fever and high WBC)
What is a swinging fever?
Fever every few hours
How do you drain the abscess from Local Peritonitis?
What can Peritonitis cause in the bowel?
Ileus (loss of peristalsis in bowel aka bowel asleep)
What is Colic?
Pain that comes and goes
What is colic pain caused by?
Muscular spasm in a hollow viscus (gut / ureter / salpinx / uterus / bile duct / gall bladder)
What is the pain like in gall bladder colic?
Dull and constant
How does colic present different to peritonitis in patients?
Colic causes restlessness –> patient can be pacing around
How do you differentiate a diagnosis for Acute Abdomen?
Divide abdomen into 4 quadrants
What are the differentials of Acute Abdomen in the RUQ? (5 things)
What are the differentials of Acute Abdomen in the LUQ? (4 things)
What are the differentials of Acute Abdomen in the RLQ? (7 things)
What are the differentials of Acute Abdomen in the LLQ? (7 things)
What are the LAB investigations for Acute Abdomen? (4 things)