Acute pancreatitis Flashcards

(63 cards)

1
Q

Acute pancreatitis is the sudden inflammation and destruction of the pancreas. This is generally causes by injury to the acinar cells and impaired secretion of proenzymes from the acinar cells. What is the common surgical incidence of acute pancreatitis?

1 - 0.56/100,000
2 - 5/6/100,000
3 - 56/100,000
4 - 560/100,000

A

3 - 56/100,000

  • 1/2000 hospital admissions in developed countries
How well did you know this?
1
Not at all
2
3
4
5
Perfectly
2
Q

What is the mortality rate of acute pancreatitis?

1 - 0.5%
2 - 5%
3 - 25%
4 - 50%

A

2 - 5%

  • others say it ranges between 2-6%
  • 20% develop severe acute pancreatitis
How well did you know this?
1
Not at all
2
3
4
5
Perfectly
3
Q

Are men or women more likely to develop acute pancreatitis?

A
  • women
How well did you know this?
1
Not at all
2
3
4
5
Perfectly
4
Q

At what age does the incidence of acute pancreatitis peak at?

1 - 20 y/o
2 - 30 y/o
3 - 40 y/o
4 - 50 y/o

A

4 - 50 y/o

How well did you know this?
1
Not at all
2
3
4
5
Perfectly
5
Q

The mnemonic I GET SMASHED:

  • I = idiopathic
  • G = gallstones
  • E = ethanol
  • T = trauma
  • S = steroids
  • M = mumps virus
  • A = autoimmune
  • S = scorpion bite
  • H = hypercalcaemia/ hypertriglyceraemia
  • E = ERCP
  • D = drugs

Which of 3 of these are the 3 most common causes in the correct order in the UK?

1 - I, G, E
2 - G, E, I
3 - G, I, E
4 - E, I, G

A

2 - G, E, I

1 - gallstones 50%
2 - ethanol 25%
3 - idiopathic 15-25%

How well did you know this?
1
Not at all
2
3
4
5
Perfectly
6
Q

Which 2 of the following is how alcohol causes acute pancreatitis?

1 - increased zymogen secretion
2 - decreased zymogen secretion
3 - increased fluid and bicarbonate secretion
4 - decreased fluid and bicarbonate secretion

A

1 - increased zymogen secretion
4 - decreased fluid and bicarbonate secretion

  • decreased fluid secretions causing thick solution and blockage of the pancreatic duct
  • dysfunction in membrane trafficking, where lysosomes and zymogens may come into contact, and the pancreas undergoes autodigestion
How well did you know this?
1
Not at all
2
3
4
5
Perfectly
7
Q

What is the primary pathophysiology of acute pancreatitis?

1 - membrane instability and early activation of zymogens
2 - blocked bile ducts
3 - inflamed pancreatic tissue
4 - trypsin activation

A

1 - membrane instability and early activation of zymogens

  • closely followed by trypsin activation, which can then lead to interstitial oedematous pancreatitis
How well did you know this?
1
Not at all
2
3
4
5
Perfectly
8
Q

At what age does the incidence of acute pancreatitis peak at?

1 - 20 y/o
2 - 30 y/o
3 - 40 y/o
4 - 50 y/o

A

4 - 50 y/o

How well did you know this?
1
Not at all
2
3
4
5
Perfectly
9
Q

If a patient with acute pancreatitis undergoes a laparotomy, the surgeon may see white patches on the great omentum and mesentery, which is fat saponification (fat necrosis). This leads to what being sequestered in this area and a drop in blood levels?

1 - Na2+
2 - Ca2+
3 - Mg2+
4 - Cl-

A

2 - Ca2+

How well did you know this?
1
Not at all
2
3
4
5
Perfectly
10
Q

If acute pancreatitis continues, there is activation of the complement and cytokine systems, which can subsequently lead to what?

1 - systemic inflammatory response syndrome (SIRS) and organ failure
2 - sepsis
3 - pancreatic pseudocyst formation
4 - perforation

A

1 - systemic inflammatory response syndrome (SIRS) and organ failure

  • this can be detected on CT
How well did you know this?
1
Not at all
2
3
4
5
Perfectly
11
Q

If the pancreas begins to become necrotic this can lead to what?

1 - perforation
2 - necrotising pancreatitis
3 - cholecystitis
4 - haemorrhage

A

2 - necrotising pancreatitis

  • increased risk of mortality
  • increased risk of infection with gram negative bacteria
  • can lead to dark blood collection in abdominal cavity called acute haemorrhagic pancreatitis
How well did you know this?
1
Not at all
2
3
4
5
Perfectly
12
Q

In a patient with acute pancreatitis, what is the description of the pain in which they present with?

1 - gradual onset of epigastric pain
2 - sudden onset of right hypochondriac pain
3 - sudden onset of epigastric pain
4 - intermittent epigastric pain

A

3 - sudden onset of epigastric pain

  • often it is poorly localised
  • some patients describe it as moving through to the back
How well did you know this?
1
Not at all
2
3
4
5
Perfectly
13
Q

Which of the following is NOT a clinical feature of acute pancreatitis?

1 -sudden onset of epigastric pain
2 - vomiting
3 - only comfortable when lying down
4 - restless

A

3 - only comfortable when lying down

  • this can occur as peritonitis sets in, other wise patients assume the pancreatic position (knees to chest)
How well did you know this?
1
Not at all
2
3
4
5
Perfectly
14
Q

Amylase is often a blood test that is performed in a patient with suspected acute pancreatitis. What levels are generally confirmatory of acute pancreatitis?

1 - >100IU/ml
2 - >300IU/ml
3 - >700IU/ml
4 - >1000IU/ml

A

4 - >1000IU/ml

  • often this is 3 times the normal level
  • need to use caution as amylase levels can dip following an acute presentation
How well did you know this?
1
Not at all
2
3
4
5
Perfectly
15
Q

Although serum amylase is used to try and diagnose patients with acute pancreatitis, but it has a poor association with disease severity. What other marker is more useful?

1 - CRP
2 - LDH
3 - troponin
4 - CK

A

1 - CRP

How well did you know this?
1
Not at all
2
3
4
5
Perfectly
16
Q

What is the most sensitive measure used to diagnose a patient with acute pancreatitis?

1 - CRP
2 - amylase
3 - LDH
4 - plasma lipase

A

4 - plasma lipase

  • also has a longer half life than amylase, so easier to detect later in the disease
  • not widely used due to accessibility
How well did you know this?
1
Not at all
2
3
4
5
Perfectly
17
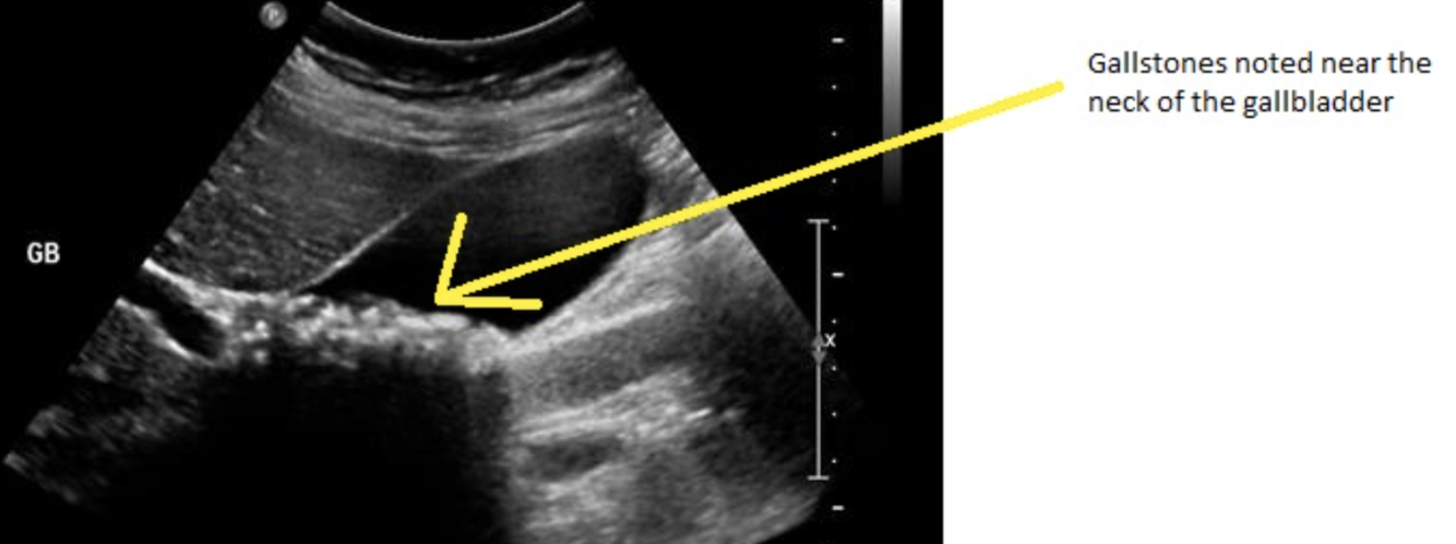
Q

When trying to diagnose a patient with acute pancreatitis we need to rule out the most common cause. What is the first line imaging used for this?

1 - MRI
2 - CT
3 - X-ray
4 - ultrasound

A

4 - ultrasound

  • reliably identifies gallstones and biliary dilation
How well did you know this?
1
Not at all
2
3
4
5
Perfectly
18
Q

CT scan has limited for diagnosing acute pancreatitis. When is it generally used?

1 - when patient is terminally unwell
2 - clinical and biochemical findings are equivocal
3 - patient has a large BMI
4 - patient has chronic pancreatitis

A

2 - clinical and biochemical findings are equivocal

  • can be helpful in severe pancreatitis
  • needs to be performed at 72-96 hours
How well did you know this?
1
Not at all
2
3
4
5
Perfectly
19
Q

If a patient has acute pancreatitis and the cause has been confirmed due to gallstones. How soon should an ERCP be performed with a sphincterotomy?

1 - <12 hours
2 - <48 hours
3 - <72 hours
4 - <96 hours

A

3 - <72 hours

How well did you know this?
1
Not at all
2
3
4
5
Perfectly
20
Q

If a patient has acute pancreatitis and the cause has not been confirmed the patient may have an MRCP. Which of the following is the MRCP not great at identifying in a patient with acute pancreatitis?

1 - ductal stones
2 - CBD/PD anatomy
3 - pancreatic anatomy
4 - aetiology not related to gallstones

A

3 - <72 hours

  • 4 - aetiology not related to gallstones
How well did you know this?
1
Not at all
2
3
4
5
Perfectly
21
Q

Patients with acute pancreatitis are graded either mild or severe. To do this we can use the Ranson score or the modified version of the Ranson score, called the modified Glasgow score. The modified Glasgow score can be remembered using the mnemonic PANCREAS. What does the P stand for?

1 - Pao2
2 - pancreas inflammation
3 - polyuria
4 - PaCo2

A

1 - Pao2

  • levels <8 kPA or 60mmHg
How well did you know this?
1
Not at all
2
3
4
5
Perfectly
22
Q

Patients with acute pancreatitis are graded either mild or severe. To do this we can use the Ranson score or the modified version of the Ranson score, called the modified Glasgow score. The modified Glasgow score can be remembered using the mnemonic PANCREAS. What does the A stand for?

1 - Alzheimer’s
2 - acute onset
3 - age
4 - acidity

A

3 - age

  • > 55 years
How well did you know this?
1
Not at all
2
3
4
5
Perfectly
23
Q

Patients with acute pancreatitis are graded either mild or severe. To do this we can use the Ranson score or the modified version of the Ranson score, called the modified Glasgow score. The modified Glasgow score can be remembered using the mnemonic PANCREAS. What does the N stand for?

1 - pneumonia
2 - necrosis
3 - new onset
4 - neutrophil count

A

4 - neutrophil count

  • > 15 x 109/L
How well did you know this?
1
Not at all
2
3
4
5
Perfectly
24
Q

Patients with acute pancreatitis are graded either mild or severe. To do this we can use the Ranson score or the modified version of the Ranson score, called the modified Glasgow score. The modified Glasgow score can be remembered using the mnemonic PANCREAS. What does the C stand for?

1 - cancer
2 - calcium
3 - creatinine
4 - cough

A

2 - calcium

  • <2mmol/L
How well did you know this?
1
Not at all
2
3
4
5
Perfectly
25
Patients with acute pancreatitis are graded either mild or severe. To do this we can use the Ranson score or the modified version of the Ranson score, called the modified Glasgow score. The modified Glasgow score can be remembered using the mnemonic PANCREAS. What does the R stand for? 1 - rigor mortis 2 - raynauds 3 - raised plasma urea 4 - raised creatinine
3 - raised plasma urea
26
Patients with acute pancreatitis are graded either mild or severe. To do this we can use the Ranson score or the modified version of the Ranson score, called the modified Glasgow score. The modified Glasgow score can be remembered using the mnemonic PANCREAS. What does the E stand for? 1 - enzymes 2 - elevated urea 3 - exudate 4 - extrusion
1 - enzymes - plasma lactate dehydrogenase (LDH)
27
Patients with acute pancreatitis are graded either mild or severe. To do this we can use the Ranson score or the modified version of the Ranson score, called the modified Glasgow score. The modified Glasgow score can be remembered using the mnemonic PANCREAS. What does the A stand for? 1 - albumin 2 - acetate 3 - aminoglutinase 4 - amylase
1 - albumin - <32g/L
28
Patients with acute pancreatitis are graded either mild or severe. To do this we can use the Ranson score or the modified version of the Ranson score, called the modified Glasgow score. The modified Glasgow score can be remembered using the mnemonic PANCREAS. What does the S stand for? 1 - serum CRP 2 - sugar (plasma glucose) 3 - serial acute episodes
2 - sugar (plasma glucose) - >10 mmol/L
29
Using the modified Glasgow score for acute pancreatitis, how many of the PANCREAS mnemonic criteria does a patient need to be classed as severe pancreatitis? 1 - >2 2 - >3 3 - >4 4 - >5
2 - >3
30
In a patient with acute pancreatitis that is mild in severity, they can often present as: - well with minimal systemic features - epigastric pain - diffusely tender distended abdomen - absent or minimal bowel sounds (ileus) - mild jaundice (periampullary odema) Taking these into account, which of the following is NOT a common differential for this type of pain, excluding acute pancreatisis? 1 - biliary colic 2 - acute cholecystitis 3 - peptic ulcer 4 - bowel obstruction
4 - bowel obstruction
31
In a patient with acute pancreatitis that is severe in severity, they can often present as: - apathetic (lethargy) - grey and shocked - abdominal signs of peritonitis - extreme guarding and tenderness Taking these into account, which of the following is NOT a common differential for this type of pain, excluding acute pancreatitis? 1 - biliary colic 2 - faecal peritonitis 3 - concealed haemorrhage (AAA) 4 - bowel infarction/ischaemia
1 - biliary colic - an early and dangerous complication of severe pancreatitis is Acute respiratory distress syndrome (ARDS)
32
All of the following are treatments for a patient with mild pancreatitis. In addition to trying to treat the underlying cause, which one of the following should NOT be used, unless infected necrosis is confirmed? 1 - analgesia 2 - prophylactic antibiotics 3 - IV fluid resuscitation 4 - normal dietary intake
2 - prophylactic antibiotics - if cannot eat then use NG tubes - alcohol should be discouraged
33
If a patient has severe pancreatitis, is the main conservative management of air, resuscitation fluids, analgesia and NG feeding any different?
- no - if feeding tubes are not tolerated then total parental nutrition may be needed
34
If a patient has severe pancreatitis, they are likely to have electrolytes disturbances and lose large volumes of protein rich fluid into the peritoneal cavity. These patients need to be monitored carefully. Which of the following is not one of these measures? 1 - cardiac monitoring with transoesophageal doppler 2 - fluid output (mainly urine) 3 - sepsis 4 - adrenal function
4 - adrenal function
35
Which of the following is NOT a scoring system for staging pancreatitis? 1 - Ranson score 2 - Apache score 3 - Modified Glasgow score 4 - Parklands grading
4 - Parklands grading
36
In pancreatitis CRP is not specific, but once levels reach above 150 mg/L this is a good marker of disease severity, necrosis and inflammation. What time period is this effective in measuring? 1 - <12 hours 2 - <24 hours 3 - 48 hours 4 - 72 hours
3 - 48 hours
37
Mortality is a complication of pancreatitis. What is the mortality of patients with severe pancreatitis? 1 - 2-3% 2 - 10-15% 3 - 10-30% 4 - >50%
3 - 10-30% - obese patients have a higher mortality
38
Mortality is a complication of pancreatitis. The mortality of patients with severe pancreatitis is between 10-30%. What do these patient generally die from? 1 - pancreatic organ failure 2 - acute respiratory syndrome or pulmonary failure 3 - cardiac failure 4 - renal failure
2 - acute respiratory syndrome or pulmonary failure - other can also kill patients, including hypotension and disseminated intravascular coagulation
39
In patients with severe pancreatitis, they can develop pancreatic and peripancreatic (around the pancreas) necrosis as a complication of pancreatitis. What time frame does this generally occur in? 1 - <48 hours 2 - <72 hours 3 - <1 week 4 - <2 weeks
4 - <2 weeks - best diagnosed using a CT with contrast
40
In patients with severe pancreatitis, they can develop pancreatic and peripancreatic (around the pancreas) necrosis as a complication of pancreatitis, which generally occurs in <2 weeks. What are these patients at an increased risk of? 1 - transverse colon perforation 2 - stomach abscess 3 - infection 4 - pneumoperitoneum
3 - infection - gas bubbles may be seen in the pancreas - infections can often be fatal in these patients
41
In a patient with severe pancreatitis, they can develop fluid collections around the pancreas as a complication of pancreatitis. This is normally self resolving within 6 weeks, but if not what can be done to treat this? 1 - CT guided percutaneous drain 2 - steroids and antibiotics 3 - antibiotics 4 - Whipple operation
1 - CT guided percutaneous drain - >6 weeks it is called a pancreatic pseudocyst - can also develop into a pancreatic abscess
42
A pseudocyst is a walled off collection of pancreatic enzymes, inflammatory fluid and necrotic tissue. How common is this as a complication? 1 - 0.1-0.8% 2 - 1-8% 3 - 11-18% 4 - 21-38%
2 - 1-8% - not a true cyst as it does not contain an epithelial lining
43
What is the imaging modality of choice to identify if a patient has a pancreatic pseudocyst? 1 - ultrasound 2 - MRI 3 - X-ray 4 - CT
4 - CT
44
A pancreatic abscess is a complication of pancreatitis. What is the incidence of pancreatic abscess? 1 - 0.1-0.4% 2 - 1-4% 3 - 11-14% 4 - 21-34%
2 - 1-4% - this is a pus filled collection that can be lined by multiple cell types
45
A pancreatic abscess is a complication of pancreatitis with an incidence of 1-4%. What is the tell tale sign that a patient has a pancreatic abscess? 1 - constant fever 2 - rise in amylase >1000 3 - swinging fever 4 - raised LFTs
3 - swinging fever
46
A haemorrhagic psuedoaneurysm can form as a complication of severe acute pancreatitis. Why do these form? 1 - necrotic pancreas damages blood vessels 2 - pancreatic enzymes are acid and can damage surrounding blood vessels 3 - fistula with blood vessels can form 4 - hypotension causes abnormal blood flow
2 - pancreatic enzymes are acid and can damage surrounding blood vessels - enzymes have a low pH and can damage surrounding blood vessels
47
Which of the following 2 are late complications of acute pancreatitis? 1 - liver failure 2 - diabetes 3 - malabsorption 4 - peptic ulcers
2 - diabetes 3 - malabsorption - pancreas cannot function properly anymore, can also occur in chronic pancreatitis
48
Patients with pancreatitis can develop recurrent and chronic pancreatitis. Chronic pancreatitis is defined as the irreversible morphological changes that cause loss of pancreatic function. Are all the pancreatic attacks severe?
- no - first 2 generally, and the rest are mild, with the patient fit and well in between
49
What is the incidence of chronic pancreatitis, defined as the irreversible morphological changes that cause loss of pancreatic function? 1 - 0.6-0.7 / 100,000 2 - 6-7 / 100,000 3 - 60-70 / 100,000 4 - 600 - 700 / 100,000
2 - 6-7 / 100,000
50
What % of patients with acute pancreatitis will go on to develop chronic pancreatitis? 1 - 0.1% 2 - 1% 3 - 10% 4 -30%
3 - 10%
51
Chronic pancreatitis is most likely to lead to which 2 of the following conditions? 1 - Diabetes Mellitus 2 - Splenomegaly 3 - Fat malabsorption 4 - Appendicitis
1 - Diabetes Mellitus 3 - Fat malabsorption - essentially this is pancreatic endocrine (T1DM) and exocrine insufficiency (malabsorption) - treatment of PI is with Pancreatin which is exogenous faecal elastase
52
Chronic pancreatitis, defined as the irreversible morphological changes that cause loss of pancreatic function is NOT associated with which one of the following factors (those that may cause chronic pancreatitis)? 1 - smoking 2 - cystic fibrosis 3 - kidney failure 4 - autoimmune disease
3 - kidney failure
53
Patients with pancreatitis can develop recurrent and chronic pancreatitis, where the first 2 attacks are normally bad, but the rest are less lethal. What are the 2 most common causes of these recurrent attacks? 1 - infection 2 - alcohol relapse 3 - gallstones 4 - trauma
2 - alcohol relapse 3 - gallstones
54
Some patients with pancreatitis can develop pancreatic attacks that are similar to acute pancreatitis, but they are prolonged. Although the initial symptoms are similar, there is one constant in chronic pancreatitis, what is it? 1 - raised amylase 2 - raised CRP 3 - severe and unrelenting pain 4 - raised WCC
3 - severe and unrelenting pain - generally no other abdominal signs - so severe it can drive patients to suicide (up to 8%)
55
Chronic pancreatitis, defined as the irreversible morphological changes that cause loss of pancreatic function. What is the best marker for diagnosis of chronic pancreatitis (insufficiency of pancreas)? 1 - amylase 2 - pancreatic lipase 3 - faecal calprotectin 4 - faecal elastase
4 - faecal elastase - enzyme produced by the liver, low levels suggest chronic insufficiency - can also be used to identify cancer risk
56
When suspecting a patient with chronic pancreatitis, defined as the irreversible morphological changes that cause loss of pancreatic function. what 2 other conditions must be ruled out? 1 - carcinoma of the pancreas 2 - abdominal aortic aneurysm 3 - chronic pancreatic inflammation 4 - mesenteric ischaemia
1 - carcinoma of the pancreas 3 - chronic pancreatic inflammation - diagnosis needs to be made to provide analgesia
57
Chronic pancreatitis, defined as the irreversible morphological changes that cause loss of pancreatic function. Which of the following is NOT a symptom of chronic pancreatitis? 1 - weight loss 2 - anaemia 3 - abdominal pain 4 - diarrhoea
2 - anaemia - diarrhoea is due to pancreatic exocrine failure
58
Although the following all provide measures of diagnosing chronic pancreatitis. Rank the following in order of sensitivity? 1 - endoscopic ultrasound (EUS) 2 - faecal elastase 3 - CT scan 4 - MRCP
1 - endoscopic ultrasound (EUS) 4 - MRCP 3 - CT scan 2 - faecal elastase - EUS using the Rosemont criteria to diagnose the patient
59
If a patient with chronic pancreatitis has malabsorption due to impaired exocrine function, what can they be prescribed? 1 - analgesia 2 - creon 3 - diabetes medication 4 - dietician support
2 - creon - mixture of pancreatic enzymes
60
If a patient with chronic pancreatitis has malabsorption due to impaired endocrine function, what can they be prescribed? 1 - analgesia 2 - creon 3 - diabetes medication 4 - dietician support
3 - diabetes medication
61
Chronic pancreatitis can cause duodenal stenosis, how? 1 - narrowing of duodenum due to weight loss 2 - fistula formation narrowing duodenum 3 - pancreatic enzymes degrade duodenum 4 - head of pancreas increase in side due to abscess or inflammation
4 - head of pancreas increase in side due to abscess or inflammation
62
What is the tumour marker the pancreas? 1 - carcinoembryonic antigen (CEA) 2 - Alpha Fetoprotein (AFP) 3 - Beta-2-microglobulin (B2M) 4 - carbohydrate antigen (CA) 19-9
4 - carbohydrate antigen (CA) 19-9
63
Which condition can lead to a thickening of the pancreatic secretions, that subsequently leads to blocked ducts and an inflamed pancreas? 1 - type 1 diabetes 2 - cystic fibrosis 3 - malignancy 4 - alpha Fetoprotein (AFP)
2 - cystic fibrosis - digestive are enzymes are secreted into the pancreatic duct - bicarbonate and chloride are transported across to the duct via CFTR, with water following creating a soluble alkaline fluid - cystic fibrosis leads to thickening and a blockage