Additional Topics Flashcards

(1 cards)

1
Q
A

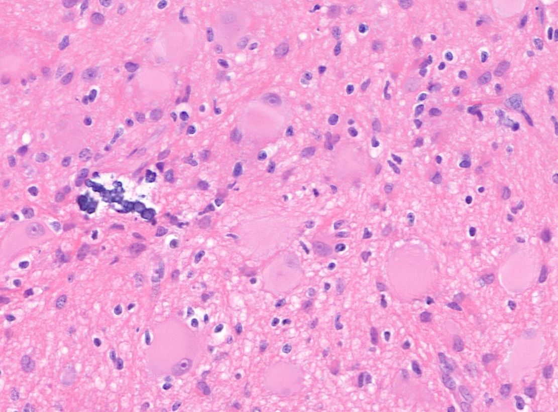
Cortical tuber

Characteristic lesion of tuberous sclerosis

Histologically, hamartomatous / developmental-type lesions with 3 hallmarks:
1. Microcalcifications
2. Balloon cells
3. Dysmorphic neurons

How well did you know this?
1
Not at all
2
3
4
5
Perfectly