What are the three types of pilosebaceous units?
What is a pilosebaceous unit?
**Mitotically active undifferentiated cells in the matrix of the hair bulb
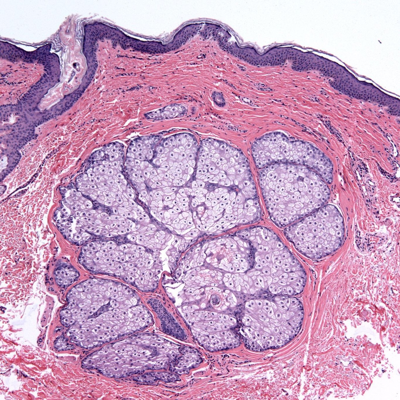
What are sebaceous glands? Where are they most dense?
Produce sebum “oil” (triglycerides, free FAs, squalene, wax/sterol esters, and free sterols)
Greatest density on face and scalp (but located everywhere!)
How do sebaceous glands release secretions? When are they most active?
Holocrine secretion; “explosive” secretion that also releases part of the cells cytoplasm
**Active at birth but decreased during infancy. Sebum again stimulated by androgen production (5 alpha dihydrotestosterone) in puberty

What are the steps of the hair cycle?
Describe telogen effluvium
Describe alopecia areata
(Often asymptomatic)
Contrast eccrine and apocrine sweat glands
Eccrine
Apocrine
Describe Anagen effluvium
How can you differentiate eccrine and apocrine glands in histology?
Eccrine
Apocrine

Define hyperhidrosis and anhidrosis
hyperhidrosis; overactivity of sweat glands
anhidrosis/hypohydrosis; when sweat glands are absent/reduced (e.g. ectodermal dysplasia)
Describe acne vulgaris
Primary lesions= papules, pustules, nodules, cysts

What are comedones?
the characteristic lesions in non-inflammatory acne
Describe inflammatory acne
Still presents with comedones, but the type of inflammatory lesions vary dependent on the type of inflammatory response;
**more commonly causes scarring than non-inflammatory
What are the treatments for acne?
How does puberty make acne worse?
Androgens (testosterone/DHT) stimulate sebum production and hyperproliferation of follicular kertainocytes
Describe Propionibacterium acnes
“P. acnes”
What is the MOA of systemic antibiotics for acne? What are some side effects?
**Tetracyclines (tetracycline, doxycycline, minocycline)
SE:
What is the MOA of oral contraceptives for acne? What are some side effects?
**Good for inflammatory papules/pustules, peri-menstrual flare
SE: N/V, abnormal menses, weight gain, breast tenderness, thrombophlebitis, hypertension
What is isotretinoin? When is it indicated?
A systemic retinoid, indcated with:
**Want cumulative dose 120-150 mg/kg (1mg/kg/day BID x 5 months)
Describe tinea versicolor
Primary lesions= macules, patches
Secondary lesions= color (hyper/hypo), scale